- 1. 【🎥35秒】口の中に現れる白い模様?平扁苔癬の癌化リスク
- 2. 🔍扁平苔癬の基本情報
- 2.1. 📌どんな病気?〜特徴と種類〜
- 2.1.1. 🖐皮膚型と👄口腔型の違い
- 2.2. 🚨自覚症状が出にくい場合の注意点
- 2.3. 👄発症しやすい部位と患者層の特徴
- 2.4. 💊治療方法と難しさ
- 2.5. ⚠️癌化リスクと定期的な観察の必要性
- 2.6. 🧬主な原因と誘因
- 2.6.1. 🧠免疫異常との関係
- 2.6.2. 🧪金属アレルギーとの関連性
- 2.6.3. 💊薬剤性との見分け方(薬疹との違い)
- 2.6.4. 😥ストレス・遺伝・女性ホルモンの関与も?
- 3. 📷症状チェック|このようなサインに注意
- 3.1. 👄口腔扁平苔癬の症状
- 3.2. 🖐皮膚の扁平苔癬の症状
- 4. 🧪診断方法と検査内容
- 4.1. 🦷視診・問診
- 4.2. 🔬確定診断のための生検(病理検査)
- 4.3. 🧾血液検査・金属アレルギー検査の活用
- 5. 💊治療方法と対応策
- 5.1. 💉薬物療法の基本
- 5.2. 🩺原因除去療法
- 5.3. 🧘セルフケアと生活習慣の見直し
- 6. ⚠️癌化リスクと定期的なフォローの重要性
- 6.1. 🔄白板症との鑑別
- 6.2. 🧫前癌病変としての管理
- 6.3. 📅半年〜1年ごとの定期検診のすすめ
- 7. 🏥扁平苔癬の専門治療が受けられるクリニック
- 7.1. 📍口腔外科・皮膚科どちらにかかる?
- 8. 📝よくある質問(Q&A)
- 8.1. 💬自然治癒することはあるの?
- 8.2. 💬うつる病気なの?
- 8.3. 💬治療後も再発する可能性は?
- 9. 🧾まとめ|扁平苔癬は早期発見・適切なケアがカギ🔑
- 10. 江戸川区篠崎で口腔内の違和感や網目状の白い斑点が気になる方へ
- 11. 【動画】舌癌や歯肉癌の初期症状を口内炎などと比較
- 12. 筆者・院長

「口の中に白い模様が…これって何?」そんな不安を感じたことはありませんか?
扁平苔癬(へんぺいたいせん)は、口腔や皮膚に現れる慢性的な炎症性疾患で、自覚症状がないまま進行することもあります。特に「口腔扁平苔癬」はまれに癌化するリスクもあるため、早期の発見と専門的な対応が大切です。
この記事では、扁平苔癬の特徴や原因、治療法、日常生活での注意点まで、専門的な視点でわかりやすく解説します。
【🎥35秒】口の中に現れる白い模様?平扁苔癬の癌化リスク
🔍扁平苔癬の基本情報
📌どんな病気?〜特徴と種類〜
扁平苔癬(へんぺいたいせん)は、皮膚や粘膜に白いレース状の模様や紅斑、びらんなどを引き起こす慢性の炎症性疾患です。免疫異常が関係しているとされ、特に40代以降の女性に多く見られます。

🖐皮膚型と👄口腔型の違い
- 皮膚型は手首、足首、腰回りなどに紫紅色のかゆみを伴う発疹が現れます。
- **口腔型(口腔扁平苔癬/OLP)**は、頬の内側や歯茎、舌の側面にレース状の白斑ができ、痛みやしみる症状が出ることもあります。
🚨自覚症状が出にくい場合の注意点
口腔扁平苔癬は痛みがないまま進行することが多く、歯科健診などで偶然発見されることもあります。放置すると、びらんや潰瘍へ進行する場合があるため、定期的な口腔内チェックが大切です。
👄発症しやすい部位と患者層の特徴
- 舌や頬の内側など柔らかい粘膜にできやすい。
- 特に中高年の女性に多く見られるのが特徴です。
💊治療方法と難しさ
- 原因と推定されるものを一つずつ探って治療を進めます。
- 粘膜病変にはステロイド剤の塗布などの治療を行います。
- ただし、原因特定が難しいため、難治性疾患といわれています。
⚠️癌化リスクと定期的な観察の必要性
- 約1〜2%の確率で癌化する可能性があります。
- 癌化リスクは高くないとはいえ、2〜3ヶ月に一度の歯科での経過観察が推奨されます。
🧬主な原因と誘因
扁平苔癬の明確な原因は解明されていませんが、以下のような複数の要因が関与していると考えられています。
🧠免疫異常との関係
自己免疫疾患の一種とされ、自分の免疫が誤って皮膚や粘膜を攻撃してしまうことが原因のひとつと考えられています。
🧪金属アレルギーとの関連性
歯科金属(パラジウム、ニッケルなど)によるアレルギー反応が扁平苔癬を誘発することがあります。特に口腔型では、該当金属の除去によって症状が改善することもあります。
💊薬剤性との見分け方(薬疹との違い)
一部の薬(降圧剤・NSAIDs・抗菌薬など)が原因で**類似症状を引き起こす「薬剤性苔癬様反応」**と間違われることがあります。服用歴や発症時期、病理組織検査による鑑別が重要です。
😥ストレス・遺伝・女性ホルモンの関与も?
慢性的なストレス、ホルモンバランスの変化、さらには遺伝的素因も関与している可能性があります。特に更年期以降の女性に多いことから、女性ホルモンとの関係性も注目されています。
📷症状チェック|このようなサインに注意
扁平苔癬は、皮膚と粘膜に現れる慢性的な炎症性疾患で、症状の現れ方が場所によって異なります。早期発見のためには、特徴的な症状を知っておくことが大切です。
👄口腔扁平苔癬の症状
口の中に現れる扁平苔癬(口腔扁平苔癬)は、特に以下の部位に特徴的な変化が見られます。
- 頬の内側・舌・歯ぐきに現れるレース状の白い模様(白斑)や紅斑
→ 特に頬粘膜の左右対称に現れることが多く、見た目に気づきにくいことも。 - 食事中のしみる感じ、歯磨き時の痛みや違和感
→ 辛い物や熱い飲み物で痛みが強くなる傾向があります。 - びらん(ただれ)や潰瘍を伴う場合もあり、出血や強い痛みを引き起こすことも
→ 慢性化・悪化する前に早めの対処が必要です。
📌注意:口腔扁平苔癬は初期には自覚症状がないことも多く、歯科医院での定期的なチェックが重要です。

舌の裏側に出来た扁平苔癬
レース状の白い病変が舌の裏側粘膜にできています。これは扁平苔癬です。

舌の側面に出来た扁平苔癬
舌の奥の側面にできた扁平苔癬ですが、 痛みがないため本人が気づくことはまずなく、歯医者で発見されることがほとんどです。

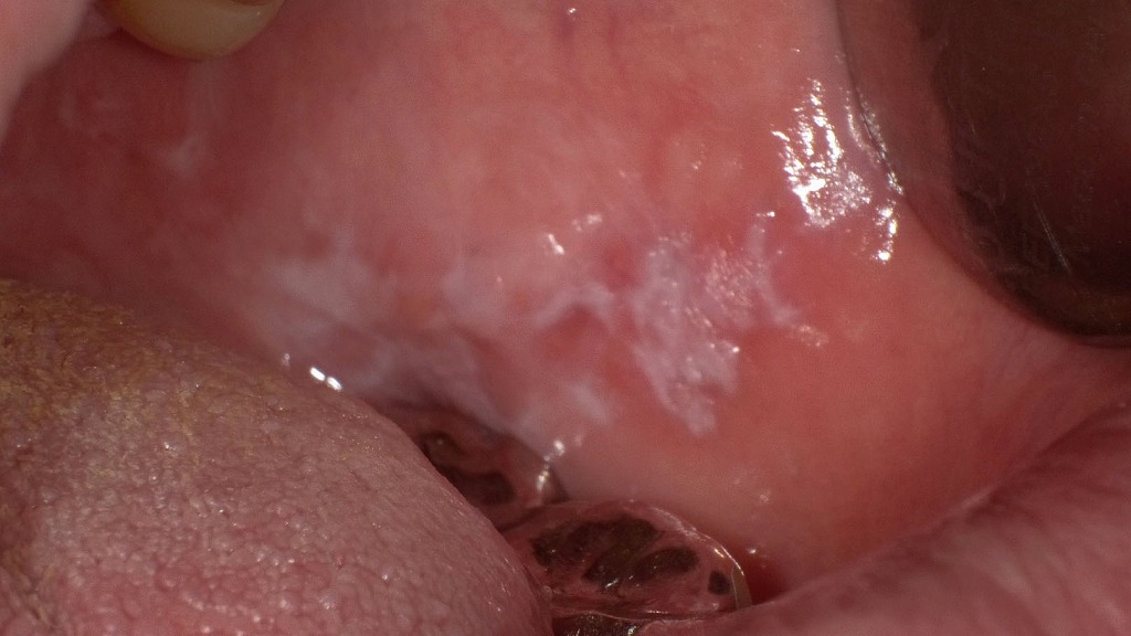
口腔扁平苔癬に特徴的な白色レース状病変
頬粘膜にみられる白色の網状(レース状)変化と発赤を伴う病変です。口腔扁平苔癬では、粘膜表面にこのような白斑が出現し、しみる・違和感・軽い痛みを伴うことがあります。慢性的に経過するため、定期的な経過観察が重要です。

白色病変を呈する口腔扁平苔癬(白板症との鑑別が必要な所見)
頬粘膜に白色の網状・斑状病変を認めます。境界がやや不整で、周囲に発赤を伴っている点が特徴的です。口腔扁平苔癬ではこのようなレース状白斑がみられることが多く、均一で擦過しても除去できない白板症との鑑別が重要となります。臨床所見に加え、必要に応じて経過観察や病理組織学的検査を行います。
🖐皮膚の扁平苔癬の症状
皮膚に出る扁平苔癬は、以下のような見た目と感覚の特徴があります。
- 手首・足首・腰などに現れる紫紅色(赤紫)の小さな盛り上がり(丘疹)
→ 光に当てるとやや光沢を帯びて見えることもあります。 - 丘疹の表面が扁平で、やや光沢があるのが特徴
→ 時に細かい線状模様(Wickham線条)が見えることも。 - 強いかゆみを伴うことが多い
→ 掻くことで皮膚が厚くなったり、色素沈着が残ることもあります。
📌皮膚型も慢性化しやすいため、かゆみが続く場合は皮膚科での診断が推奨されます。
🧪診断方法と検査内容
扁平苔癬は、見た目が他の疾患と似ていることもあり、複数の検査による総合的な診断が必要です。特に「口腔扁平苔癬(OLP)」は、がんとの鑑別も重要なポイントとなります。
🦷視診・問診
まず行われるのが、目視での診察(視診)と問診です。
- 白斑や紅斑の形状・範囲・左右対称性などを確認
- 痛みの有無や、服用中の薬、アレルギー歴などをヒアリング
📌視診だけでは確定できない場合、次の検査に進みます。
🔬確定診断のための生検(病理検査)
診断の確定には、生検(バイオプシー)による病理組織検査が重要です。
- 病変部の一部を局所麻酔下で採取
- 顕微鏡で扁平苔癬特有の「苔癬型反応」や「帯状のリンパ球浸潤」などの所見を確認
- 悪性疾患(扁平上皮がん)との鑑別にも有効
🧠「びらん型」や「紅斑型」は見た目だけでは診断が難しく、病理検査が欠かせません。
🧾血液検査・金属アレルギー検査の活用
扁平苔癬の原因や誘因を探るために、追加の検査が行われることもあります。
- 血液検査:自己免疫異常や糖尿病、肝機能の評価など全身状態をチェック
- 金属アレルギー検査(パッチテスト):歯科金属によるアレルギー反応が疑われる場合に実施
🔎特に口腔扁平苔癬では、歯の詰め物(クラウンやインレー)との接触部に病変が集中する場合、金属除去による改善が期待できます。
📣複数の情報を総合して診断することが、適切な治療への第一歩です。疑わしい症状がある場合は、早めに歯科や皮膚科を受診しましょう。
💊治療方法と対応策
扁平苔癬の治療は、症状の重症度や原因の特定の有無によって異なります。完治が難しいケースもありますが、症状のコントロールや再発予防を目的としたアプローチが可能です。
💉薬物療法の基本
もっとも一般的なのが、症状を緩和するための薬物療法です。特に口腔扁平苔癬では以下の治療が行われます。
- ステロイド含嗽剤(うがい薬)や外用薬
→ 痛みや炎症を抑える効果があり、びらんや潰瘍がある場合に有効です。 - 抗ヒスタミン薬
→ 皮膚型でかゆみが強い場合に使用されることがあります。 - 免疫抑制剤(タクロリムス軟膏など)
→ ステロイドが効きにくいケースや長期使用が難しい場合に用いられます。
📌副作用や使用期間には注意が必要なため、歯科や皮膚科での定期的なフォローが欠かせません。
🩺原因除去療法
扁平苔癬が特定の外的要因によって引き起こされている場合は、原因を取り除くことが改善への近道となります。
- 金属除去(メタルフリー治療)
→ 銀歯やクラウンなど、金属成分(パラジウム・ニッケルなど)が原因と考えられる場合、アレルギー検査を参考にして除去・交換することで症状が改善する例があります。 - 服用薬の見直し
→ 高血圧や糖尿病などの治療薬が原因となっていることもあるため、医科との連携のもとで代替薬を検討することがあります。
📌自己判断で中止せず、必ず医師・歯科医師と相談することが大切です。
🧘セルフケアと生活習慣の見直し
症状の悪化や再発を防ぐためには、日常生活でのケアや意識の改善も重要です。
- 刺激物の回避
→ アルコール、タバコ、香辛料、熱い飲食物などは口腔粘膜を刺激し、症状を悪化させる恐れがあります。 - ストレス管理
→ 扁平苔癬はストレスと関連が深いため、リラクゼーションや趣味、軽い運動などで心身を整えることが勧められます。 - 睡眠と栄養のバランスを整える
→ 免疫力の維持や回復には、十分な睡眠と栄養バランスの取れた食事が不可欠です。
📣**扁平苔癬の治療は「抑える」「取り除く」「整える」の3方向からのアプローチが大切です。**根気よく向き合いながら、医療機関と二人三脚でコントロールしていきましょう。
⚠️癌化リスクと定期的なフォローの重要性
扁平苔癬は慢性炎症性疾患ですが、特に口腔扁平苔癬はまれに癌化するリスクが報告されています。適切な診断と継続的な経過観察が欠かせません。
🔄白板症との鑑別
口腔粘膜に白い病変が出現する疾患には「白板症」もあり、扁平苔癬と区別が難しいケースもあります。
- 白板症は6〜9%で癌化するリスクがあるため、病理検査による正確な鑑別が重要です。

舌の粘膜に白く角化した病変が認められる白板症の一例です。擦っても取れない白色病変が特徴で、慢性的な刺激(喫煙、歯の接触、補綴物など)が関与することがあります。白板症は前がん病変とされることもあるため、経過観察や必要に応じた精密検査・生検が重要です。
🧫前癌病変としての管理
びらん型や紅斑型の口腔扁平苔癬は、WHOでも前癌病変として分類されることがあります。
- 炎症が長期化すると細胞異形成のリスクが高まるため、症状が落ち着いていても定期観察が必要です。
📅半年〜1年ごとの定期検診のすすめ
扁平苔癬は再発を繰り返す傾向があり、変化の早期発見がリスク管理のカギです。
- 特に口腔型は歯科での半年〜1年に一度の経過観察を推奨します。
- 自覚症状がなくても写真記録や再検査での変化確認が有効です。
🏥扁平苔癬の専門治療が受けられるクリニック
📍口腔外科・皮膚科どちらにかかる?
扁平苔癬の症状が現れる部位によって、受診すべき診療科が異なります。
- 口腔内(頬の内側、舌、歯ぐきなど)に症状がある場合
→ 歯科口腔外科や歯科医院を受診しましょう。口腔内の専門的な診察と治療が受けられます。 - 皮膚(手首、足首、腰回りなど)に症状がある場合
→ 皮膚科を受診してください。皮膚の専門医による診察と治療が行われます。
症状が複数の部位にわたる場合や、原因が特定しにくい場合は、総合病院の歯科口腔外科や皮膚科での診察を検討すると良いでしょう。
📝よくある質問(Q&A)
💬自然治癒することはあるの?
扁平苔癬は自然に軽快する場合もありますが、完治まで至ることはまれです。特に口腔扁平苔癬は、慢性的に続くケースが多く、症状が悪化・再燃することもあります。
📌軽度な場合は経過観察のみで済むこともありますが、びらん型や紅斑型は積極的な治療が必要です。
💬うつる病気なの?
扁平苔癬は感染症ではなく、他人にうつることはありません。
- ウイルスや細菌によるものではないため、家族や友人に感染する心配はありません。
- ただし、見た目に不安を感じることもあるため、医療機関で正しい診断を受けることが大切です。
💬治療後も再発する可能性は?
はい、扁平苔癬は再発しやすい疾患です。
- 特にストレスや体調の変化、刺激物の摂取などが引き金となり、症状が再び現れることがあります。
- また、原因が完全に取り除けない場合(免疫異常や金属アレルギーなど)、慢性的に経過することもあります。
📌そのため、治療後も定期的な診察とセルフケアの継続がとても重要です。
👩⚕️不安や疑問があれば、かかりつけ医や歯科医に遠慮なく相談しましょう。早期の対応と正しい知識が、安心につながります。
🧾まとめ|扁平苔癬は早期発見・適切なケアがカギ🔑
扁平苔癬は、口腔や皮膚に症状が現れる慢性炎症性疾患で、時に痛みやかゆみ、見た目の変化によるストレスを引き起こすこともあります。特に口腔扁平苔癬は前癌病変として注意が必要なため、自己判断せず専門医の診断を受けることが大切です。
- 📌早期発見・正確な診断によって、重症化や癌化リスクを未然に防げます
- 💊薬物療法や原因除去療法、セルフケアの継続が症状の安定につながります
- 📅定期的な通院・経過観察により、再発や悪化を防ぐことが可能です
👩⚕️「いつもと違う」「気になる症状がある」そんなときは、早めの受診と専門医のサポートを受けましょう。
日常生活の中でのちょっとした気づきが、健康を守る第一歩になります。
江戸川区篠崎で口腔内の違和感や網目状の白い斑点が気になる方へ

それは「扁平苔癬」という病気かもしれません。自覚症状が少ないまま進行し、まれに癌化するリスクもあるため、専門的な診断と継続的なケアが大切です。
当院では、扁平苔癬の早期発見・的確な診断・丁寧な説明を心がけ、患者さま一人ひとりに寄り添った治療を行っております。
江戸川区篠崎でお口の健康に不安がある方は、お気軽にご相談ください。 もし、悪性の可能性がある場合には、生検で確定診断が必要なので大学病院をご紹介いたします。
江戸川区篠崎にて、口腔粘膜疾患の検査をご希望の方は当院までお気軽にご相談下さい。
【動画】舌癌や歯肉癌の初期症状を口内炎などと比較
筆者・院長

深沢 一
Hajime FUKASAWA
- 登山
- ヨガ
メッセージ
日々進化する歯科医療に対応するため、毎月必ず各種セミナーへの受講を心がけております。
私達は、日々刻々と進歩する医学を、より良い形で患者様に御提供したいと考え、「各種 歯科学会」に所属すると共に、定期的に「院内勉強会」を行う等、常に現状に甘んずる事のないよう精進致しております。 又、医療で一番大切な事は、”心のある診療”と考え、スタッフと共に「患者様の立場に立った診療」を、心がけております。


