- 1. 🦷 エナメル質とは?
- 1.1. 🔰 エナメル質の役割
- 1.1.1. 🛡 虫歯から守る盾
- 1.1.2. 💪 噛む力に耐える強さ
- 1.1.3. ✨ 白さや透明感を決める
- 1.2. ⚠️ エナメル質が弱くなる原因
- 1.2.1. 🍹 酸性飲食物による酸蝕症
- 1.2.2. 🦠 虫歯菌の酸
- 1.2.3. 😬 歯ぎしり・摩耗
- 1.2.4. ⏳ 加齢や強すぎるブラッシング
- 1.3. ❗ エナメル質が溶けるとどうなる?
- 1.4. 🛠 エナメル質を守る方法
- 1.4.1. 💧 フッ素を活用
- 1.4.2. 🥛 CPP-ACP(MIペースト)
- 1.4.3. 🍋 酸性飲料を控える
- 1.4.4. 🪥 正しいブラッシング
- 1.4.5. 😴 歯ぎしり対策
- 1.5. 🏥 歯科医院でできるケア
- 2. 💡 よくある質問(FAQ)
- 3. ✅ まとめ|エナメル質を守ることが歯の寿命を延ばすカギ
- 4. 🌸 江戸川区篠崎でエナメル質のケアをお考えの方へ
- 5. 【動画】ステイン着色汚れをクリーニングするエアフロー
- 6. 筆者・院長

✅ 歯の健康を支えるうえで最も大切な組織のひとつが「エナメル質」です。
エナメル質は歯の一番外側を覆い、虫歯や摩耗から歯を守る役割を持っています。
しかし、一度失われると再生することはなく、毎日のケアや生活習慣が歯の寿命を左右します。
この記事では、エナメル質の基本的な役割から、弱くなる原因、そして守るための具体的な方法までを分かりやすく解説します。
「歯を長持ちさせたい」「虫歯になりやすいのはなぜ?」と気になる方はぜひご覧ください。
🦷 エナメル質とは?
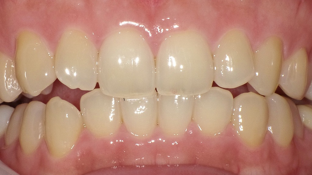
エナメル質は、歯の一番外側を覆う硬い組織で、人体で最も硬い部分といわれています。
噛む力や酸から歯を守る「バリア」のような役割を担っていますが、一度失われると再生できません。


歯の表面を覆うエナメル質は、人体で最も硬い組織でありながら、わずかな透明性を持っています。この透明感によって、内側の象牙質の色がやさしく透け、自然で立体的な歯の色調が生まれます。エナメル質が健康な状態に保たれているほど、歯はツヤがあり、清潔感のある見た目になります。逆に、摩耗や脱灰が進むと透明感が失われ、黄ばみやくすみが目立ちやすくなります。日々のケアは、このエナメル質を守ることが美しい歯の第一歩です。
🔰 エナメル質の役割
🛡 虫歯から守る盾
細菌が作り出す酸に耐え、歯の内部を守ります。
💪 噛む力に耐える強さ
硬い食べ物を噛んでも割れにくい強度があります。
✨ 白さや透明感を決める
歯の見た目の美しさにも大きく影響します。
⚠️ エナメル質が弱くなる原因
🍹 酸性飲食物による酸蝕症
ジュースや炭酸飲料の飲み過ぎで溶けやすくなります。
🦠 虫歯菌の酸
ミュータンス菌が作る酸で「脱灰」されます。
😬 歯ぎしり・摩耗
強い力で擦り減り、徐々に薄くなっていきます。
⏳ 加齢や強すぎるブラッシング
年齢や間違ったケア方法でも失われることがあります。
❗ エナメル質が溶けるとどうなる?
- 初期虫歯(白濁や白斑)
- 知覚過敏(冷たい物がしみる)
- 虫歯の進行(C1〜C4へ進む)
- 黄ばみや透明感の低下
🛠 エナメル質を守る方法
💧 フッ素を活用
フッ素入り歯磨き粉や歯科医院でのフッ素塗布。
🥛 CPP-ACP(MIペースト)
カルシウム補給で再石灰化をサポート。
🍋 酸性飲料を控える
「だらだら飲み」を避けることが大切。
🪥 正しいブラッシング
力を入れすぎず、やわらかめの歯ブラシで磨く。
😴 歯ぎしり対策
マウスピースを使って摩耗を防ぐ。
🏥 歯科医院でできるケア
- 定期的なクリーニング(PMTC)
- フッ素塗布やシーラント
- エナメル質形成不全やホワイトスポットの審美治療
💡 よくある質問(FAQ)
Q:エナメル質は再生するの?
→ 一度失うと再生しません。再石灰化で補修は可能。
Q:子どもの歯のエナメル質は弱い?
→ 大人に比べて薄く、虫歯になりやすい傾向があります。
Q:ホワイトニングで傷つく?
→ 適切な方法なら問題ありませんが、自己流はリスクがあります。
✅ まとめ|エナメル質を守ることが歯の寿命を延ばすカギ
- エナメル質は「歯を守る盾」
- 一度失うと戻らないため予防が重要
- フッ素・正しい歯磨き・定期検診で生涯健康な歯を維持できます
🌸 江戸川区篠崎でエナメル質のケアをお考えの方へ

当歯科クリニック(江戸川区篠崎駅南口徒歩1分)では、エナメル質を守るための予防歯科・定期検診・フッ素塗布などを行っています。
「歯がしみる」「白い斑点が気になる」「虫歯になりやすい」といった症状は、エナメル質のダメージが原因かもしれません。
当院では、精密診断や、フッ素塗布・MIペーストによる再石灰化ケアを取り入れ、患者さま一人ひとりに合わせたサポートを行っています。
江戸川区篠崎エリアで「歯を長く大切にしたい」とお考えの方は、ぜひ当院へお気軽にご相談ください。
【動画】ステイン着色汚れをクリーニングするエアフロー
筆者・院長

深沢 一
Hajime FUKASAWA
- 登山
- ヨガ
メッセージ
日々進化する歯科医療に対応するため、毎月必ず各種セミナーへの受講を心がけております。
私達は、日々刻々と進歩する医学を、より良い形で患者様に御提供したいと考え、「各種 歯科学会」に所属すると共に、定期的に「院内勉強会」を行う等、常に現状に甘んずる事のないよう精進致しております。 又、医療で一番大切な事は、”心のある診療”と考え、スタッフと共に「患者様の立場に立った診療」を、心がけております。


