- 1. 🦷 銀歯を白くしたい方へ|セラミック・ジルコニア・保険治療を徹底解説
- 1.1. 💭 銀歯を白くしたいと思う理由
- 1.2. 🪞保険の銀歯の見た目
- 1.2.1. 🦷 上顎第二小臼歯(赤矢印上)
- 1.2.2. 🦷 下顎第一大臼歯(赤矢印下)
- 1.2.3. 🔍 まとめ
- 1.3. ⚙️ 銀歯を白くする4つの主な方法
- 1.3.1. ① ジルコニアクラウン(高強度・長寿命)
- 1.3.2. ② セラミッククラウン(審美性◎)
- 1.3.3. ③ ハイブリッドセラミック(コスパ重視)
- 1.3.4. ④ コンポジットレジン(小さい銀歯向け・保険適用)
- 1.4. ジルコニアセラミッククラウンを装着した症例:側面観
- 1.4.1. 🦷 対象歯(赤矢印部)
- 1.4.2. 💎 ジルコニアセラミックの特徴
- 1.4.3. 👁️🗨️ 見た目の特徴
- 1.4.4. ⚙️ 機能面
- 1.4.5. 🩺 総評
- 1.5. 📊 治療方法別の特徴と比較表
- 1.6. 🏥 保険で白い歯にできるケース
- 1.7. 🪞 治療の流れと期間の目安
- 1.8. 💰 費用と支払い方法
- 2. ⚠️ 銀歯を白くする際の注意点
- 2.1. 🌸 銀歯を白くするメリット・デメリットまとめ
- 3. 🦷 まとめ|自分に合った素材で“理想の白い歯”に✨
- 4. 江戸川区篠崎で「銀歯を白くしたい」とお考えの方へ🏡
- 5. 【動画】ホワイトスポットをアイコンで治す
- 6. 【動画】初期虫歯COを削らずに自分で治す方法
- 7. 筆者・院長

「笑ったときに銀歯が目立つのが気になる」「口を開けるとキラッと見えるのがイヤ」——そんなお悩みを抱えていませんか?
最近では、銀歯を自然な白い歯に変える治療を希望する方が増えています🦷✨
セラミック・ジルコニア・ハイブリッド素材を使えば、見た目だけでなく、金属アレルギーや歯ぐきの黒ずみ対策にもつながります。
この記事では、銀歯を白くする主な方法・費用・保険との違い・治療の流れを、歯科医の視点でわかりやすく解説します。
🦷 銀歯を白くしたい方へ|セラミック・ジルコニア・保険治療を徹底解説
💭 銀歯を白くしたいと思う理由

銀歯は保険で安く治療できる反面、見た目の問題で悩む方も多いです。
鏡を見たときや会話のときに、銀色の歯がキラリと光ると気になってしまいますよね😅
さらに、金属アレルギーや**歯ぐきの黒ずみ(メタルタトゥー)**の原因になることもあります。
最近では見た目だけでなく、健康のためにも「白い歯に変えたい」という方が増えています。
✅ 銀歯を白くしたい主な理由
- 見た目を自然にしたい
- 口を開けても清潔な印象を保ちたい
- 金属アレルギーを避けたい
- 歯ぐきの黒ずみを改善したい
- 長く持つ素材に変えたい
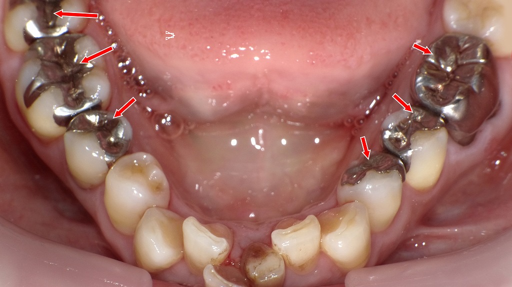
🪞保険の銀歯の見た目
この画像の赤い矢印で示された部分に 保険診療で装着された金属の補綴物(銀歯) です。

🦷 上顎第二小臼歯(赤矢印上)
- 銀色の**クラウン(全部被せ物)**が装着されています。
- これは一般的に「保険の銀歯(メタルクラウン)」と呼ばれるものです。
- 金銀パラジウム合金(いわゆる“銀歯”)が使用されており、強度は高いものの、
金属色が目立つため審美性(見た目)に劣るのが欠点です。
🦷 下顎第一大臼歯(赤矢印下)
- 銀色の部分的な詰め物(インレー)が見えます。
- こちらも保険の金銀パラジウム合金インレーで、虫歯治療後の欠損部を補うために装着されたものです。
- 咬合面のみに金属が見える形で、クラウンよりも削る量が少ないのが特徴です。
- 長期間使用すると、二次う蝕(再び虫歯ができる)や金属の腐食・変色が起こることがあります。
🔍 まとめ
| 部位 | 補綴物の種類 | 材質 | 特徴 |
|---|---|---|---|
| 上顎第二小臼歯 | 銀歯(クラウン) | 金銀パラジウム合金 | 強度は高いが審美性に劣る |
| 下顎第一大臼歯 | インレー(部分的な詰め物) | 金銀パラジウム合金 | 保険適用、耐久性あり、見た目は劣る |
このような銀歯は保険適用で安価に治療できる利点がありますが、
最近ではより自然な見た目のセラミック・ハイブリッドレジンに変更する患者さんも増えています。
⚙️ 銀歯を白くする4つの主な方法


銀歯を白くするには、主に次の4つの選択肢があります👇
① ジルコニアクラウン(高強度・長寿命)
💎 近年人気No.1の素材。人工ダイヤにも使われる「ジルコニア」は、非常に硬くて丈夫。
見た目も自然で、奥歯など強い力がかかる部位にも最適です。
金属を使わないためアレルギーの心配もなく、長期的にも安心です。
💰 費用:8〜18万円/本
🕒 寿命の目安:10〜15年以上
② セラミッククラウン(審美性◎)
透明感とツヤのある仕上がりが魅力のオールセラミック。
前歯のように見た目が重視される部位におすすめです。
天然歯と見分けがつかないほど自然で、変色もしにくい✨
💰 費用:7〜15万円/本
🕒 寿命の目安:10〜15年

上顎1・2・3番に、金属を使用しないオールセラミッククラウンを装着した状態です。
矢印部は歯頸部のなじみを示しており、天然歯に近い色調と透明感が得られています。
金属を使わないため、歯ぐきの黒ずみが起こりにくく、審美性と生体親和性の両立が可能な補綴治療です。
③ ハイブリッドセラミック(コスパ重視)
セラミックとレジン(樹脂)の混合素材。
見た目と費用のバランスが良く、**「自然にしたいけど費用を抑えたい」**方に人気です。
ただし、長期使用でやや変色しやすい傾向があります。
💰 費用:5〜10万円/本
🕒 寿命の目安:7〜10年
④ コンポジットレジン(小さい銀歯向け・保険適用)
小さな銀歯であれば、保険で白い樹脂に詰め替えることも可能です。
ただし、強度や耐久性は限られるため、奥歯などには不向きな場合もあります。
💰 費用:保険適用で数千円〜
🕒 寿命の目安:3〜5年
ジルコニアセラミッククラウンを装着した症例:側面観
この画像は、左上の第2小臼歯(通称「左上5番」)にジルコニアセラミッククラウンを装着した症例を示しています。以下に詳細を解説します。

🦷 対象歯(赤矢印部)
赤い矢印で示されている歯が左上5番(上顎第2小臼歯)です。
この歯にはジルコニアセラミック冠が装着されています。
💎 ジルコニアセラミックの特徴
- ジルコニア(内側):高強度で耐久性があり、金属アレルギーの心配がない。
- セラミック(外側):天然歯に近い透明感と色調を再現できる。
- 審美性と機能性を兼ね備え、奥歯でも長期間安定した使用が可能です。
👁️🗨️ 見た目の特徴
- 周囲の天然歯と色調・形態の調和がとれています。
- 歯頚部(歯ぐきとの境目)も自然で、歯肉の炎症や段差が見られません。
- 光の反射も自然で、人工歯特有の違和感が少ない仕上がりです。
⚙️ 機能面
- 咬合関係(上下の歯のかみ合わせ)も良好で、機能的な補綴物として適正に調整されています。
- 隣在歯との接触も自然で、**食片圧入(食べかすが挟まること)**が起きにくい設計です。
🩺 総評
この症例は、審美性・適合性・機能性のバランスがとれた良好な補綴治療例です。
ジルコニアセラミックは、特に金属を使いたくない方や自然な見た目を重視する方に適した選択肢です。
📊 治療方法別の特徴と比較表
| 素材 | 見た目 | 耐久性 | 保険適用 | 費用目安 | 寿命の目安 |
|---|---|---|---|---|---|
| ジルコニア | ◎自然で丈夫 | ◎非常に長持ち | × | 8〜18万円 | 約15年〜 |
| セラミック | ◎透明感あり | ◎長持ち | × | 7〜15万円 | 約10〜15年 |
| ハイブリッド | ○自然だがやや変色 | ○中程度 | △(一部保険可) | 5〜10万円 | 約7〜10年 |
| レジン | △限界あり | △やや弱い | ○ | 数千円〜 | 約5年 |
💡前歯なら「セラミック」・奥歯なら「ジルコニア」など、
部位によって素材を使い分けるのもおすすめです。
🏥 保険で白い歯にできるケース
「銀歯を白くしたいけど、できれば保険で…」という方も多いですよね。
そんな方におすすめなのが**CAD/CAM冠(キャドカムかん)**です💡
✅ CAD/CAM冠とは?
プラスチックとセラミックを混ぜた素材で、保険適用が認められています。
以前は前歯や小臼歯のみでしたが、条件を満たせば奥歯(6番)にも適用されることがあります。
⚠️注意点
- 強度が低く、欠けたり摩耗する可能性あり
- 変色しやすく、長期的にはセラミック・ジルコニアより劣る
コスパ重視なら良い選択ですが、「長く持たせたい」なら自費素材が安心です😊
🪞 治療の流れと期間の目安

銀歯を白い歯に変える一般的な流れは次の通り👇
1️⃣ 銀歯を除去
2️⃣ 歯の形を整える
3️⃣ 型取り・仮歯装着
4️⃣ セラミック・ジルコニアなどを装着

🕒 通院回数:2〜3回(期間は1〜2週間程度)
短期間で見た目が大きく変わるため、結婚式や転職前に希望される方も多いです💐
💰 費用と支払い方法
素材や部位によって費用は変動しますが、
一般的な目安は以下の通りです👇
- ジルコニア:8〜18万円/本
- セラミック:7〜15万円/本
- ハイブリッド:5〜10万円/本
- 保険CAD/CAM冠:約3,000〜5,000円(3割負担時)
💳 デンタルローンや分割払いに対応している歯科も多く、
医療費控除の対象になる場合もあります。
⚠️ 銀歯を白くする際の注意点
- 銀歯を外す際に歯を削る量が増える場合がある
- ジルコニアやセラミックは硬く、噛み合わせ調整が必要なことも
- ホワイトニングでは銀歯は白くならない(表面の金属は変化しません)
治療後も定期的なメンテナンス🪥と正しいブラッシングが大切です。
🌸 銀歯を白くするメリット・デメリットまとめ
| メリット | デメリット |
|---|---|
| 自然で明るい笑顔に✨ | 費用が高くなることがある |
| 金属アレルギーを防げる | 一部保険適用外 |
| 歯ぐきの黒ずみを防止 | 削る量が増えることがある |
| 長期的に清潔・衛生的 | 硬い素材は調整が必要 |
🦷 まとめ|自分に合った素材で“理想の白い歯”に✨
銀歯を白くする方法は、「見た目」「強度」「費用」のバランスで選ぶことが大切です。
特にジルコニアは見た目・耐久性・安全性のすべてに優れ、
「長く白さを保ちたい」方におすすめです💎
まずは歯科医院で、あなたに合った素材や治療方法を相談してみましょう😊
江戸川区篠崎で「銀歯を白くしたい」とお考えの方へ🏡

「銀歯を自然な白い歯にしたい」——そんな想いを、当歯科クリニックが叶えます✨
セラミック・ハイブリッドなど、多彩な素材の中からあなたに最適な方法をご提案。
**見た目も機能も両立する“理想の白い歯”**を一緒に目指しましょう。
【動画】ホワイトスポットをアイコンで治す
【動画】初期虫歯COを削らずに自分で治す方法
筆者・院長

深沢 一
Hajime FUKASAWA
- 登山
- ヨガ
メッセージ
日々進化する歯科医療に対応するため、毎月必ず各種セミナーへの受講を心がけております。
私達は、日々刻々と進歩する医学を、より良い形で患者様に御提供したいと考え、「各種 歯科学会」に所属すると共に、定期的に「院内勉強会」を行う等、常に現状に甘んずる事のないよう精進致しております。 又、医療で一番大切な事は、”心のある診療”と考え、スタッフと共に「患者様の立場に立った診療」を、心がけております。


