- 1. 差し歯と継続歯の違いとは?🦷種類・治療の流れを徹底解説
- 1.1. 差し歯とは?基本の仕組みと役割
- 1.1.1. 差し歯が必要になるケース
- 1.2. 差し歯治療の流れ🛠️
- 2. 差し歯の治療例
- 2.1. 神経の死んだ歯の変色
- 2.1.1. 🦷 見られる症状の特徴
- 2.1.2. 🩺 原因
- 2.1.3. 💡 治療法
- 2.2. メタルコアによる支台築造とシェードテイキング
- 2.2.1. 🦷 写真の概要
- 2.2.2. 🩺 治療の流れ(この段階の意味)
- 2.2.3. 💡 補足解説
- 2.3. オールセラミッククラウンを装着
- 2.3.1. 🦷 写真の概要
- 2.3.2. 💡 オールセラミッククラウンの特徴
- 3. 差し歯と継続歯の違いとは?
- 3.1. 継続歯とは?
- 3.1.1. 誤解されやすいポイント
- 4. 差し歯と継続歯の種類・費用・寿命の解説
- 4.1. 差し歯に使われる素材の種類💎
- 4.1.1. 保険適用の差し歯
- 4.1.2. 自費診療の差し歯
- 4.2. 差し歯と継続歯のメリット・デメリット比較🔍
- 4.3. 差し歯の寿命とメンテナンス⌛
- 4.3.1. 長持ちさせるポイント
- 4.4. 差し歯・継続歯のトラブルと対処法⚠️
- 4.5. 他の治療法との比較🦷
- 4.6. 差し歯・継続歯にかかる費用💰
- 4.6.1. 保険診療
- 4.6.2. 自費診療
- 5. まとめ✅
- 6. 🦷差し歯と継続歯どっちがいい?江戸川区篠崎の歯科医が解説
- 7. 【動画】ステイン着色汚れをクリーニングするエアフロー
- 8. 筆者・院長

✅ 「差し歯と継続歯って同じもの?それとも違うの?」🦷
歯科医院でよく聞く言葉ですが、両者には明確な違いがあります。差し歯は歯の根に被せ物を装着する治療で、継続歯は金属やファイバーの土台を歯根に差し込み、その上に被せ物をする方法です。
この記事では、差し歯と継続歯の違い、治療の流れ、素材の種類、費用や寿命、トラブル時の対処法までわかりやすく解説します。
差し歯と継続歯の違いとは?🦷種類・治療の流れを徹底解説
差し歯とは?基本の仕組みと役割
差し歯とは、大きな虫歯や外傷で歯の一部を失ったときに、残った歯根を利用して人工の歯(クラウン)を被せる治療法です。
自然な見た目と咬む機能を取り戻せるため、多くの患者さんが選ぶ治療のひとつです。

差し歯が必要になるケース
- 虫歯で歯の大部分が欠けてしまったとき
- 外傷や事故で歯が折れたとき
- 神経治療(根管治療)を行い歯が脆くなったとき
差し歯治療の流れ🛠️
- 虫歯や感染部分を取り除く
- 歯根にコア(土台)を入れる(メタルコアまたはファイバーコア)
- 型取りを行う
- 仮歯を装着
- 最終的な差し歯(クラウン)を装着

👉 神経がある歯では土台を使わず被せる場合もあります。
差し歯の治療例
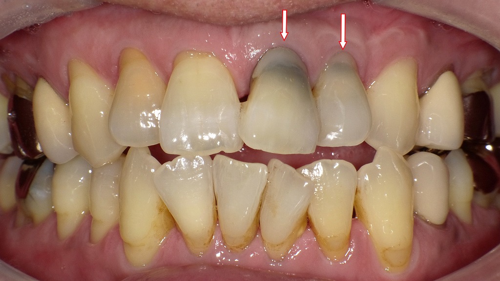
神経の死んだ歯の変色
この画像は、上顎前歯部の歯の変色の状態を示しています。赤い矢印で示された歯(上の前歯2本)は、いずれも神経が死んでいる(失活歯)ために黒ずんで見えています。以下に詳しく解説します。

🦷 見られる症状の特徴
- 歯の変色(灰色〜黒っぽい色)
- 神経(歯髄)が死んでしまうと、歯の内部の血液やタンパク質が分解され、歯の内側から変色します。
- このような変色は、打撲・虫歯・過去の根管治療などが原因で起こります。
- 歯肉(歯ぐき)の黒ずみ
- 矢印の部分で、歯肉がやや黒っぽく見えるのは、歯の中の古い根管充填材(ガッタパーチャなど)が透けている可能性があります。
- いわゆる「メタルタトゥー」や「根尖部の変色」によるものです。
- 歯列・歯石の沈着
- 下の前歯や臼歯部に歯石やステインの沈着も見られ、歯肉炎や歯周病の兆候があると考えられます。
🩺 原因
- 外傷(転倒・打撲など)による歯髄壊死
- 深い虫歯が神経に達して壊死した
- 過去に根管治療を受けたが、内部の変色が進行した
💡 治療法
- 根管治療(根の中の清掃・消毒・充填)
- 既に失活している場合は、感染を防ぐために根管治療を行います。
- 再治療が必要なこともあります。
- 歯のホワイトニング(ウォーキングブリーチ)
- 神経がない歯の内部から漂白する方法で、内部漂白とも呼ばれます。
- セラミッククラウン・ラミネートベニア
- 変色が強い場合や審美的に改善したい場合は、被せ物で自然な色に回復させることができます。
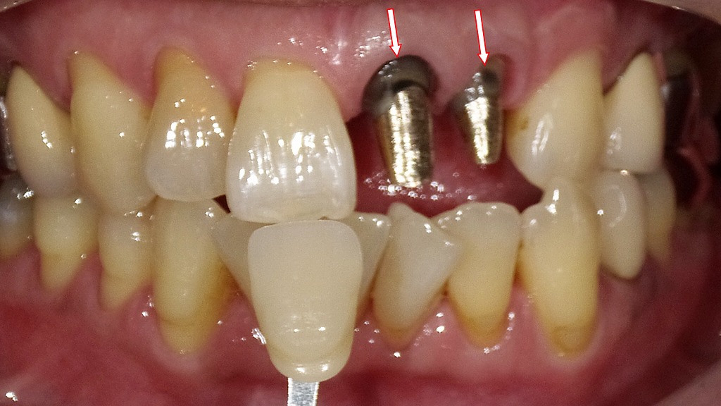
メタルコアによる支台築造とシェードテイキング
この画像は、前歯部の補綴治療中(被せ物作製前)の状態を示しています。赤い矢印で示された部分には、白金加金製のメタルコアが装着されています。以下に詳しく説明します。

🦷 写真の概要
- 赤い矢印の部分:白金加金のメタルコア
- 失活歯(神経を取った歯)の根管内に金属の支台(コア)が入っています。
- この金属は「白金加金」で、強度・適合性に優れ、長期的に安定した材料です。
- メタルコアは歯の根を補強し、その上にクラウン(被せ物)を装着するための土台になります。
- 中央下の歯の前にある白い見本:シェードガイド
- 被せ物の色を決めるための色見本(シェードガイド)を使って、周囲の天然歯と色調を比較しています。
- 自然な仕上がりを得るため、隣の歯の明るさ・透明感・色味に合わせてクラウンの色を選定しています。
- 歯肉の状態
- メタルコア周囲の歯肉はやや退縮し、金属部分が露出しています。
→ これは、過去の根管治療や歯肉退縮によるもので、審美的に気になる場合もあります。
- メタルコア周囲の歯肉はやや退縮し、金属部分が露出しています。
🩺 治療の流れ(この段階の意味)
- 根管治療完了 → メタルコア装着
- 歯の内部の感染を除去した後、金属製のコアで歯の形を補強。
- シェードガイドで色合わせ
- 被せ物(セラミックやジルコニアクラウン)を作製する前に、周囲の歯と自然に調和する色を選定。
- 次のステップ
- 技工所でセラミッククラウンを製作し、最終的に装着して治療完了。
💡 補足解説
- 白金加金コアは耐久性に優れますが、金属色が歯肉や歯の透過光に影響して黒っぽく見えることがあります。
近年は、より審美的な**ファイバーコア(白い支台)**が選ばれることも増えています。

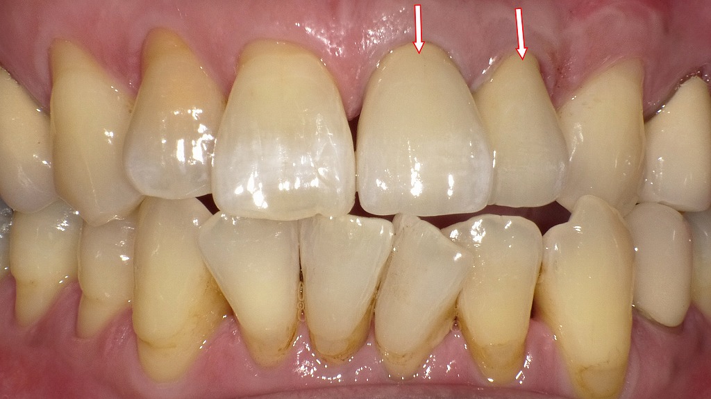
オールセラミッククラウンを装着
この画像は、上顎前歯にオールセラミッククラウンを装着した状態を示しています。赤い矢印の歯が治療対象です。以下に詳しく解説します。

🦷 写真の概要
- 赤い矢印の部分:オールセラミッククラウン
- 以前に神経を失った歯やメタルコアを装着していた歯に、最終的なオールセラミッククラウンが装着されています。
- 天然歯のような透明感と艶があり、周囲の歯と自然に調和しています。
- 金属を一切使用していないため、歯肉の境目も自然で、金属色の影響がありません。
- 歯肉との境界(マージン部)
- 歯と歯肉の境目が滑らかで、炎症や黒ずみも見られません。
- これは、セラミックの生体親和性が高く、歯肉に優しい材料であることを示しています。
- 全体の調和
- 周囲の天然歯と色調・形態が統一されており、審美的に非常に自然な仕上がりです。
- 前歯部の明るさも適切で、自然光下でも違和感のない美しい前歯列になっています。
💡 オールセラミッククラウンの特徴
| 特徴 | 内容 |
|---|---|
| 🌿 審美性 | 天然歯のような透明感と光沢。変色しにくく、長期的に美しさを保つ。 |
| 💎 生体親和性 | 金属アレルギーの心配がなく、歯肉とのなじみが良い。 |
| 🦷 強度 | ジルコニアベースなどを使用することで、十分な耐久性を確保。 |
| ✨ メタルフリー | 金属の影響による歯肉の黒ずみや透過影が起こらない。 |
差し歯と継続歯の違いとは?
継続歯とは?
「差し歯=継続歯」と思われがちですが、厳密には異なります。

- 差し歯(クラウン) 👉 残った歯の形を整え、金属やファイバーの「心棒(ポスト)」を歯の根に差し込み、その上に被せ物をする
- 継続歯 👉 金属の心棒(ポスト)と被せ物(クラウン)が一体となった歯科補綴物のことを指します。
つまり、継続歯は差し歯の一種であり、特に神経を取った歯に用いられます。
誤解されやすいポイント
継続歯は、歯の崩壊が極度に進んだケースに用いられる治療法です。虫歯や外傷によって歯冠部分がほとんど残っていない場合、通常の差し歯(クラウン)では固定が難しい場合に適用されます。
は土台を使わず被せる場合もあります。
差し歯と継続歯の種類・費用・寿命の解説
差し歯に使われる素材の種類💎
保険適用の差し歯
- 銀歯:強度はあるが目立つ
- 硬質レジン前装冠:前歯の表面に白い樹脂を貼ったタイプ

自費診療の差し歯
- セラミック:自然な白さ、変色しにくい
- ジルコニア:強度が高く奥歯にも適応可能
👉 保険は費用を抑えられる反面、見た目や耐久性に制限があります。自費は審美性・長期性に優れています。
差し歯と継続歯のメリット・デメリット比較🔍
- 差し歯(クラウン)
- ✅ 見た目が自然に仕上がる
- ✅ 自分の歯を生かせる
- ❌ 歯の土台が弱いと脱離や破折のリスク
- 継続歯
- ✅ 虫歯が極度に進んで歯冠がほとんど残っていないケースでも適用できる
- ❌ 予後が不良になりやすい
- ❌ 金属ポストが歯根に大きな力を加えるため、歯根破折のリスクが高まり、再治療や抜歯につながることも少なくない
- ❌ 歯茎に金属色が透けて審美性が損なわれる場合もある
差し歯の寿命とメンテナンス⌛
平均寿命は 5〜10年程度。ただし、ケア次第で15年以上持つケースもあります。
長持ちさせるポイント
- 毎日のブラッシング・フロスの徹底
- 歯科医院での定期検診・クリーニング
- 強い力がかかる習慣(食いしばり・歯ぎしり)の改善
差し歯・継続歯のトラブルと対処法⚠️
- 取れた・欠けた → 無理に接着せず歯科医院へ
- 歯茎の黒ずみ → 金属の影響、セラミックへの交換で改善可能
- 痛みや違和感 → 根の再感染の可能性、再治療が必要になることも
他の治療法との比較🦷


- インプラント → 人工歯根を埋め込み、安定性が高い
- ブリッジ → 両隣の歯を削って橋渡しする
- 差し歯・継続歯 → 自分の歯根が残っている場合に選択
👉 歯の状態や希望に応じて、最適な方法を選ぶことが大切です。
差し歯・継続歯にかかる費用💰
保険診療
- 前歯:硬質レジン前装冠 → 約5,000〜1万円
- 奥歯:銀歯 → 約3,000〜5,000円
自費診療
- セラミッククラウン → 5万〜15万円
- ジルコニアクラウン → 8万〜20万円
👉 医療費控除の対象になることもあります。
まとめ✅
- 差し歯は被せ物、継続歯はポスト+被せ物という違いがある
- 見た目や寿命は素材とケアによって大きく変わる
- 保険・自費の違いを理解して、後悔しない選択をすることが大切
🦷差し歯と継続歯どっちがいい?江戸川区篠崎の歯科医が解説

「自然な仕上がりの差し歯にしたい」「できるだけ長持ちさせたい」——そんな希望を叶えるには、正しい治療選びが欠かせません。✨
江戸川区篠崎にある当歯科クリニック では、保険診療からセラミックやジルコニアまで幅広く対応。最新の治療法と経験豊富な歯科医師が、納得できる差し歯・継続歯治療をご提供します。
【動画】ステイン着色汚れをクリーニングするエアフロー
筆者・院長

深沢 一
Hajime FUKASAWA
- 登山
- ヨガ
メッセージ
日々進化する歯科医療に対応するため、毎月必ず各種セミナーへの受講を心がけております。
私達は、日々刻々と進歩する医学を、より良い形で患者様に御提供したいと考え、「各種 歯科学会」に所属すると共に、定期的に「院内勉強会」を行う等、常に現状に甘んずる事のないよう精進致しております。 又、医療で一番大切な事は、”心のある診療”と考え、スタッフと共に「患者様の立場に立った診療」を、心がけております。


