- 1. 🦷詰め物や被せ物をした後に歯が痛む原因
- 1.1. 🔹治療後の一時的な刺激反応
- 1.2. ⚖️噛み合わせの不調
- 1.3. 🦠虫歯や二次カリエス
- 1.4. 🔥神経の炎症(歯髄炎)
- 2. ⚠️放置するとどうなる?
- 3. 🏠自宅でできる対処法と注意点
- 3.1. ⏳経過観察が可能な場合
- 3.2. 🚫避けるべき行動
- 4. 🏥歯科医院での治療法
- 4.1. ⚖️噛み合わせの調整
- 4.2. 🔄詰め物・被せ物の再治療
- 4.3. 🛠️根管治療(神経の治療)
- 5. ✅まとめ|痛みが続くときは早めに受診を
- 6. 🏥 詰め物・被せ物の後に歯が痛むのはなぜ?考えられる原因と治療法
- 7. 【動画】ステイン着色汚れをクリーニングするエアフロー
- 8. 筆者・院長

✅ 歯の治療で詰め物や被せ物をした後に、「しみる」「噛むと痛い」といった症状に悩む方は少なくありません。治療後の痛みにはいくつかの原因があり、放置すると悪化することもあります。本記事では、詰め物や被せ物をした後に歯が痛む原因と対処法をわかりやすく解説します。
🦷詰め物や被せ物をした後に歯が痛む原因

🔹治療後の一時的な刺激反応
・🧊 冷たいものや ☕ 温かい飲み物で「しみる」と感じることがあります。
・これは神経が敏感になっているためで、多くは⏳ 数日~1週間程度で自然に落ち着きます。
⚖️噛み合わせの不調
・詰め物や被せ物がほんの少し高いだけで、噛むたびに⚡ 痛みを感じることがあります。
・そのまま放置せず、👩⚕️ 歯科医院での噛み合わせ調整が必要です。
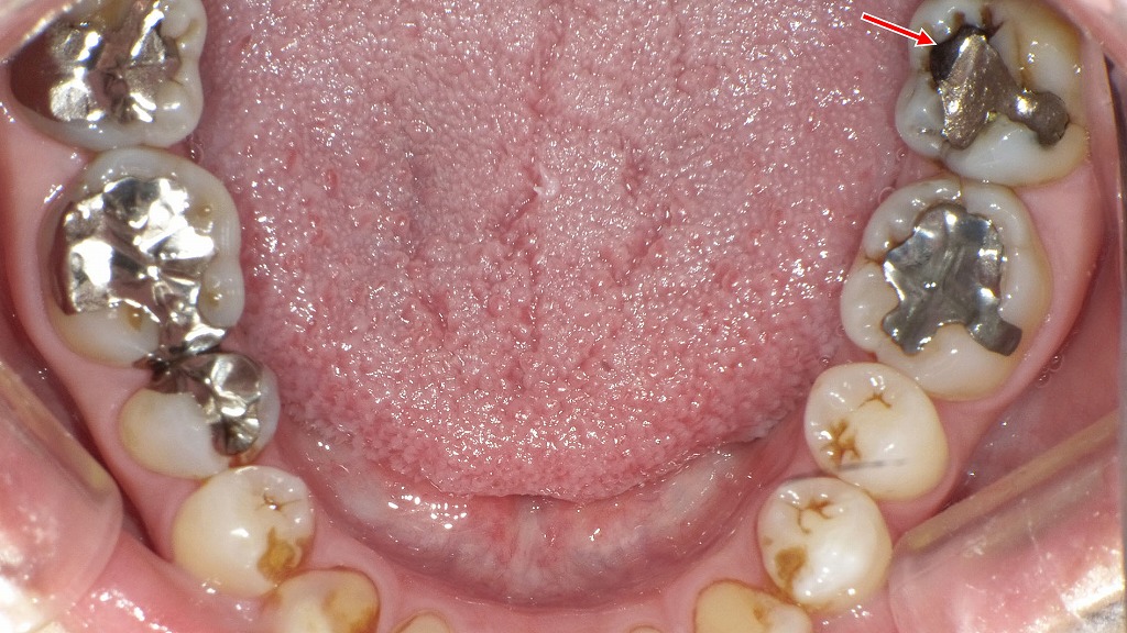
🦠虫歯や二次カリエス
・治療後の歯でも、周囲に再び虫歯(二次カリエス)ができることがあります。
・痛みが長引く場合は📸 レントゲンや検査でチェックが必要です。


銀歯(メタルインレー)の隙間から細菌が侵入して二次カリエス(再発虫歯)が生じている状態です。金属修復物は長期使用により変形や破折が起こることがあり、見た目では分かりにくくても内部で虫歯が進行しているケースがあります。違和感や引っかかりを感じた場合は、早めのチェックが重要です。
🔥神経の炎症(歯髄炎)
・歯の神経に炎症が起きると、強い痛みや🌙 夜間痛を伴うことがあります。
・その場合は🛠️ 根管治療(神経の治療)が必要になることもあります。
👉 このように、詰め物や被せ物をした後の痛みにはさまざまな原因があります。軽度なら一時的な反応ですが、症状が続くときは早めに歯科医院へ相談しましょう。
⚠️放置するとどうなる?
・🍖 噛むたびにズキッと痛みが続く
・🦷 詰め物の下で虫歯がじわじわ進行
・⚡ 神経を取る治療(根管治療)が必要になるリスクが高まる
👉 こうした悪化を防ぐためには、早めの診断と対応がとても大切です。気になる症状がある場合は、自己判断で放置せず歯科医院へ相談しましょう。
🏠自宅でできる対処法と注意点
⏳経過観察が可能な場合
・治療直後の軽い「しみる」症状は、神経が敏感になっているために起こることがあります。
・その場合は数日間、無理せず安静に様子を観察しましょう👀。
🚫避けるべき行動
・💊 痛み止めでごまかし続ける
・🙅 自己判断で放置する
・🥩 硬いものを噛み続ける
👉 これらを続けると症状が悪化し、より大がかりな治療が必要になるリスクがあります。違和感が長引く場合は、早めに歯科医院を受診しましょう。
🏥歯科医院での治療法
⚖️噛み合わせの調整
・高すぎる詰め物や被せ物を🪚 削って微調整することで、噛むときの痛みを軽減します。
🔄詰め物・被せ物の再治療
・隙間や虫歯が原因の場合は、古い補綴物を外し、✨ 新しい詰め物・被せ物に交換します。
🛠️根管治療(神経の治療)
・神経が炎症を起こしているときは、根管治療によって感染部分を取り除き、症状を改善します。
・放置すると歯を失うリスクもあるため、早めの対応が必要です⚡。
👉 歯科医院では、痛みの原因に合わせて最適な治療が行われます。自己判断せず、気になる症状はすぐに相談しましょう。
✅まとめ|痛みが続くときは早めに受診を
詰め物や被せ物をした後の痛みは、一時的な🕒 経過反応であることもあります。
しかし、長引く場合は🦠 虫歯の再発や ⚖️ 噛み合わせの不具合、🔥 神経の炎症などが隠れている可能性があります。
👉 そのまま放置せず、早めに歯科医院で相談することが歯を守る最善策です。
大切な歯を長く健康に保つために、気になる症状はすぐに受診しましょう✨。
🏥 詰め物・被せ物の後に歯が痛むのはなぜ?考えられる原因と治療法

詰め物や被せ物をした後に「しみる」「噛むと痛い」といった症状が続く場合、虫歯の再発や噛み合わせの不具合、神経の炎症などが隠れていることがあります。
当歯科クリニック(江戸川区篠崎駅南口徒歩1分)では、精密検査によって原因を特定し、噛み合わせの調整から再治療・根管治療まで幅広く対応しています。
👉 症状を放置せず、早めにご相談ください。地域に根ざした歯科医院として、患者さまの歯を長く守るサポートをいたします。
【動画】ステイン着色汚れをクリーニングするエアフロー
筆者・院長

深沢 一
Hajime FUKASAWA
- 登山
- ヨガ
メッセージ
日々進化する歯科医療に対応するため、毎月必ず各種セミナーへの受講を心がけております。
私達は、日々刻々と進歩する医学を、より良い形で患者様に御提供したいと考え、「各種 歯科学会」に所属すると共に、定期的に「院内勉強会」を行う等、常に現状に甘んずる事のないよう精進致しております。 又、医療で一番大切な事は、”心のある診療”と考え、スタッフと共に「患者様の立場に立った診療」を、心がけております。


