- 1. 🦷 歯が浮くとは?どんな症状?
- 1.1. ✅ 違和感・噛みにくさ・鈍い痛みの特徴
- 1.2. ✅ 一時的な症状と慢性的な症状の違い
- 2. 🔍 歯が浮く主な原因
- 2.1. 🪥 歯周病や歯肉炎による炎症
- 2.2. 🦠 虫歯・神経の炎症との関係
- 2.3. 😬 噛み合わせの不調(歯ぎしり・食いしばり)
- 2.4. 🔥 根尖病変(神経の炎症)
- 2.5. 🦷 親知らずや歯列不正の影響
- 2.6. 💡 ストレスやホルモンバランスの乱れ
- 2.7. 🤒 全身疾患との関連
- 3. 「歯が浮く」違和感の正体|歯周病・虫歯・歯垢が重なった状態
- 3.1. ◆「歯が浮く」感覚の原因となる口腔内の状態
- 3.1.1. ① 歯ぐきの腫れ(歯肉炎・歯周病のサイン)
- 3.1.2. ② 歯周病による歯の支持力低下
- 3.1.3. ③ 歯面の広範囲にみられる歯垢(プラーク)と歯石
- 3.1.4. ④虫歯の存在(痛みや浮遊感の原因に)
- 3.2. ◆ 総合評価
- 4. 🏡 自宅でできる応急処置・セルフケア
- 4.1. 🍵 強く噛む食べ物を避ける
- 4.2. 🪥 ブラッシング・フロスで清潔を保つ
- 4.3. 💊 市販の痛み止めやうがい薬
- 5. 🦷 歯科医院での治療法
- 5.1. 🪥 歯石取り・歯周治療
- 5.2. 😬 噛み合わせ調整やマウスピース
- 5.3. 🔬 根管治療(神経の治療)
- 6. 🌿 予防のためにできること
- 6.1. 🦷 定期検診とクリーニング
- 6.2. 🧘 ストレス管理・生活習慣の改善
- 6.3. 🪥 正しいブラッシング・デンタルケア習慣
- 7. ✅ まとめ|歯が浮く違和感は早めに歯科でチェック
- 8. 🏥 江戸川区篠崎で「歯が浮く」症状にお悩みの方へ
- 9. 【動画】ステイン着色汚れをクリーニングするエアフロー
- 10. 筆者・院長

✅ 「歯が浮くような感覚」は、噛みにくさや鈍い痛みを伴い、日常生活に大きなストレスを与える症状です。疲れやストレスで一時的に起こることもあれば、歯周病や神経の炎症といった病気のサインであることも少なくありません。
この記事では、歯が浮く原因や考えられる病気、歯科医院での治療法、そして自宅でできるセルフケアについてわかりやすく解説します。早めの対処で大切な歯を守りましょう。
🦷 歯が浮くとは?どんな症状?

✅ 違和感・噛みにくさ・鈍い痛みの特徴
歯が浮いているように感じると、食べ物を噛んだときに圧迫感があり、しっかり噛めないことがあります。鈍い痛みや重さを伴う場合も多く、日常生活に影響を与えます。
✅ 一時的な症状と慢性的な症状の違い
- 一時的:疲労やストレス、睡眠不足などで一過性に起こるケース。
- 慢性的:歯周病や神経の炎症など、治療が必要な病気の可能性。
🔍 歯が浮く主な原因
🪥 歯周病や歯肉炎による炎症
歯ぐきに炎症が起きると、歯を支える力が弱まり「浮く」感覚が出やすくなります。
🦠 虫歯・神経の炎症との関係
歯の神経が炎症を起こすと、強い痛みの前段階として浮いたような違和感が出ます。

赤矢印(C3)は深い虫歯が神経まで達し、強い炎症(歯髄炎)を起こしている部位を示しています。歯髄炎になると、噛むと響く・歯が浮くような感覚・ズキズキした痛みが生じやすくなります。左側のC4は歯根まで進行した重度虫歯で、神経壊死や根尖病変の可能性が高く、放置するとさらに強い違和感や噛めない感覚の原因となります。
😬 噛み合わせの不調(歯ぎしり・食いしばり)
強い力が加わることで歯の周囲組織に負担がかかり、違和感や浮いた感覚を生みます。
🔥 根尖病変(神経の炎症)
虫歯が進行して神経に炎症が起こると、歯の根の周囲に炎症が広がり浮いたように感じます。

赤い矢印が示すのは、上顎4番の根の先にみられる根尖病巣です。根の先で細菌感染や炎症が進むと、歯が押し上げられるような「浮いた感じ」や噛むと響く不快感が生じます。これは根尖部の炎症によって歯周組織の圧が高まり、歯がわずかに動揺するために起こる症状です。適切な根管治療で感染源を取り除くことが、症状改善のカギとなります。
🦷 親知らずや歯列不正の影響
親知らずが押してきたり、歯並びの不調で噛み合わせが乱れると、歯に余分な力がかかりやすくなります。

💡 ストレスやホルモンバランスの乱れ
ストレスや女性ホルモンの影響で、歯ぐきが腫れやすくなることもあります。
🤒 全身疾患との関連
副鼻腔炎や糖尿病といった全身疾患が関与しているケースもあり、放置せず検査が必要です。
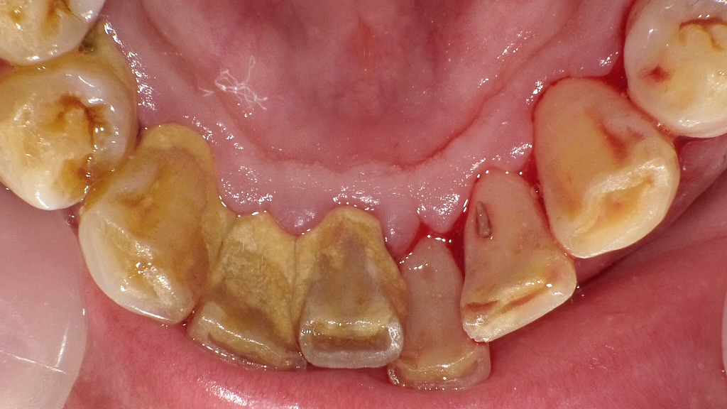
「歯が浮く」違和感の正体|歯周病・虫歯・歯垢が重なった状態
◆「歯が浮く」感覚の原因となる口腔内の状態

この写真では、複数の要因が重なり合い、**歯が浮くような違和感(歯が押される・浮いた感じ・噛みにくい感じ)**が起こりやすい状態が確認されます。
① 歯ぐきの腫れ(歯肉炎・歯周病のサイン)
歯ぐきが全体的に赤く腫れ、丸く盛り上がった状態で、強い炎症が起きています。
歯周病が進むと、炎症によって歯ぐき内部の血流が増え、歯が浮き上がるような感覚が生じます。
② 歯周病による歯の支持力低下
歯と骨の間の歯周組織が炎症でダメージを受けると、
・噛むと響く
・浮いた感じがする
・当たると痛い
といった症状が出やすくなります。
③ 歯面の広範囲にみられる歯垢(プラーク)と歯石
歯と歯ぐきの境目、特に前歯の間や側方部に黄色〜茶色の歯垢・歯石が強く付着しています。
これらは歯周病菌の温床となり、炎症をさらに増悪させます。
④虫歯の存在(痛みや浮遊感の原因に)
いくつかの歯には表面が溶けた虫歯が見られ、
炎症性の刺激によって歯の内部圧が上昇し、「浮く」感覚を強める場合があります。
◆ 総合評価
この写真では
歯ぐきの強い腫れ+歯周病の進行+歯垢・歯石の大量沈着+虫歯
という複合的な問題が重なり、「歯が浮く」症状が起きやすい典型的な状態です。
この段階ではセルフケアだけでは改善が難しく、
歯科医院での歯石除去、歯周治療、虫歯治療が必須となります。
🏡 自宅でできる応急処置・セルフケア
🍵 強く噛む食べ物を避ける
硬い食べ物やガムなどは避け、歯や歯ぐきに負担をかけないようにしましょう。
🪥 ブラッシング・フロスで清潔を保つ
歯垢や細菌を減らすことが、炎症を和らげる第一歩です。
💊 市販の痛み止めやうがい薬
一時的な痛みには鎮痛剤や薬用うがい液を活用するのも効果的です。
🦷 歯科医院での治療法
🪥 歯石取り・歯周治療
歯周病が原因の場合は、歯石除去や歯ぐきの治療が中心となります。

歯が「浮く感じ」は、歯石の沈着と歯周病による炎症が主な原因です。本症例では、左半分(画像では右側)に歯石除去・歯周治療を実施したとろろです。一方、未処置側には歯石が多く残存しています。歯石取りと適切な歯周治療を行うことで、歯の違和感や浮く症状は改善が期待できます。
😬 噛み合わせ調整やマウスピース
歯ぎしりや食いしばりによる負担は、噛み合わせ調整やナイトガードで改善可能です。
🔬 根管治療(神経の治療)
神経が炎症を起こしている場合は、根管治療で炎症を取り除きます。

レントゲンでは、矢印部の根管にしっかりと薬剤が充填されており、根尖部に炎症や膿を示す黒い影(根尖病変)は認められません。
根管治療が適切に完了している状態で、歯の内部感染は取り除かれています。
🌿 予防のためにできること
🦷 定期検診とクリーニング
歯周病や虫歯を早期発見でき、浮く感覚の予防につながります。
🧘 ストレス管理・生活習慣の改善
十分な睡眠やストレス軽減は、歯ぐきの健康にも直結します。
🪥 正しいブラッシング・デンタルケア習慣
毎日のケアが一番の予防策です。
✅ まとめ|歯が浮く違和感は早めに歯科でチェック
- 一時的なら経過観察も可能
- 繰り返す・長引く場合は病気のサイン
- 放置せず歯科医院での診断を受けるのが安心です
🏥 江戸川区篠崎で「歯が浮く」症状にお悩みの方へ

江戸川区篠崎駅南口徒歩1分の当歯科クリニックでは、歯が浮く症状の原因を精密に検査し、患者さま一人ひとりに合わせた治療をご提案しています。歯周病治療から噛み合わせ調整、神経の治療まで幅広く対応可能。違和感を放置せず、早めにご相談ください。予防からメンテナンスまで安心のサポート体制で、健康な歯を守ります。
【動画】ステイン着色汚れをクリーニングするエアフロー
筆者・院長

深沢 一
Hajime FUKASAWA
- 登山
- ヨガ
メッセージ
日々進化する歯科医療に対応するため、毎月必ず各種セミナーへの受講を心がけております。
私達は、日々刻々と進歩する医学を、より良い形で患者様に御提供したいと考え、「各種 歯科学会」に所属すると共に、定期的に「院内勉強会」を行う等、常に現状に甘んずる事のないよう精進致しております。 又、医療で一番大切な事は、”心のある診療”と考え、スタッフと共に「患者様の立場に立った診療」を、心がけております。


