- 1. 🦷 仮歯の基本知識
- 1.1. 📖 仮歯とは?本物の歯との違い
- 1.1.1. 右上2番のメタルコア(白金加金)と仮歯の症例
- 1.1.2. 上顎左右2番~2番に仮歯とメタルボンドのブリッジ症例
- 1.2. 🎯 仮歯を入れる主な目的
- 1.3. ⏳ 仮歯を使う期間はどのくらい?
- 2. 前歯の仮歯のブリッジ症例1
- 2.1. 口蓋側
- 2.1.1. 🦷 状況の説明
- 2.1.2. 🔍 問題点
- 2.1.3. ⚠️ 想定されるリスク
- 2.1.4. 💡 改善のポイント
- 2.2. 正面観
- 2.2.1. 🦷 状況の説明
- 2.2.2. 👁🗨 正面観からの所見
- 2.2.3. ⚠️ 補足(内部構造的留意点)
- 2.2.4. 💡 総合評価
- 3. ブリッジの仮歯症例2
- 3.1. 上顎ブリッジのための支台歯築造
- 3.1.1. 🦷 状態の概要
- 3.1.2. 🔍 詳細な観察ポイント
- 3.1.3. 🦷 臨床的な意味
- 3.2. ブリッジの仮歯装着
- 3.2.1. 🦷 状態の概要
- 3.2.2. 🔍 詳細な観察ポイント
- 3.2.3. 💡 臨床的な意味
- 4. ⚖️ 仮歯のメリットとデメリット
- 4.1. ✅ 仮歯のメリット
- 4.2. ⚠️ 仮歯のデメリット
- 5. 🏥 仮歯を入れるケース
- 5.1. 👑 被せ物(クラウン)の準備期間
- 5.2. 🦷 インプラントやブリッジ治療の過程
- 5.3. 😁 矯正や審美治療での利用
- 6. 🚨 仮歯でよくあるトラブル
- 6.1. 🔓 仮歯が外れたときの対処法
- 6.2. 😖 仮歯で痛みやしみるとき
- 6.3. 🎨 仮歯の見た目や色が気になるとき
- 7. 🪥 仮歯の正しいケア方法
- 7.1. 🧼 歯磨き・フロスの注意点
- 7.2. 🍴 食事中の注意点
- 7.3. 😬 避けたい習慣
- 8. ❓ 仮歯に関するよくある質問(FAQ)
- 9. 📌 まとめ|仮歯を正しく理解して快適に過ごそう
- 10. 🏡 江戸川区篠崎で仮歯治療を相談したい方へ
- 10.1. 🩺 当歯科クリニックでの仮歯治療の流れ
- 10.2. 🤝 患者さまに合わせた丁寧な治療
- 10.3. 🚉 駅から徒歩1分の通いやすい環境
- 11. 【動画】ステイン着色汚れをクリーニングするエアフロー
- 12. 筆者・院長

✅ 仮歯は、被せ物やブリッジ・インプラントなどの本格的な治療に進む前に入れる大切なステップです。
「仮歯のまま長く過ごして大丈夫?」「外れたときはどうする?」と不安を感じる方も少なくありません。
本記事では、仮歯の役割・メリットとデメリット・ケア方法・トラブル時の対処法まで、患者さまが安心できるように詳しく解説します。
🦷 仮歯の基本知識
📖 仮歯とは?本物の歯との違い
仮歯は治療の途中で一時的に装着する歯のこと。見た目や噛み合わせを守るために作られます。素材はプラスチックが多く、本物の被せ物に比べて強度は劣ります。
右上2番のメタルコア(白金加金)と仮歯の症例


上顎左右2番~2番に仮歯とメタルボンドのブリッジ症例


🎯 仮歯を入れる主な目的

最終クラウンの設計指標
→ 仮歯の形態・長さ・色調を基に、最終的な**セラミック冠(メタルボンドまたはオールセラミック)や保険の硬質レジン前装冠**を製作します。
審美性の回復
→ 金属コアが露出していた状態から、自然な歯の外観を一時的に取り戻します。
歯茎の形態誘導
→ 仮歯の形を調整することで、歯肉ラインや歯間乳頭の形を整え、最終補綴物に理想的な歯肉形態を作ります。
咬合・発音の確認
→ 噛み合わせや発音に問題がないかを確認します。
⏳ 仮歯を使う期間はどのくらい?
通常は数日〜数週間ですが、治療内容によっては数か月使う場合もあります。
前歯の仮歯のブリッジ症例1
口蓋側
この画像は、上顎右側犬歯(3番)から左側犬歯(3番)までを連結したブリッジ形態の仮歯(口蓋側)を示しています。
赤い矢印は、ブリッジの支台範囲(右上3番~左上3番)を示しています。

🦷 状況の説明
- この仮歯は、両側の犬歯(3番)を支台歯として連結されており、中央の前歯部(1・2番)の4本はダミー(ポンティック)です。
- 現在は仮着(テンポラリーセメント)された状態で、咬合・形態・発音・審美性などを確認するための一時的補綴物です。
🔍 問題点
- 左右の支台歯(3番)歯頚部の適合が不良です。
- 仮歯のマージン(縁)が歯肉からわずかに浮き上がり、**隙間(マージンギャップ)**が確認できます。
- 歯肉との境界に段差があるため、プラークの付着や炎症を起こしやすい状態です。
- 特に、歯肉辺縁に赤みや圧痕が見られ、歯肉への圧迫や不適合が疑われます。
⚠️ 想定されるリスク
- 歯肉炎・歯周炎の誘発
→ 隙間に細菌が侵入し、仮歯下で炎症を起こす可能性。 - 支台歯のう蝕リスク
→ セメントが溶解し、仮歯下で虫歯が再発する危険。 - 最終補綴物への影響
→ 仮歯段階で適合不良のままだと、印象採得や最終補綴の精度が低下する。
💡 改善のポイント
- 仮歯のマージン部を再形成し、歯頚部に密着させることで適合性を高める。
- 歯肉縁下0.5mm程度まで延長し、清掃性と審美性の両立を図る。
- 最終補綴(ジルコニア・メタルボンドなど)前に、歯肉の健康状態を安定させることが重要。
- 仮歯の再調整後、咬合・発音・スマイルラインを再確認し、最終形態に反映させる。
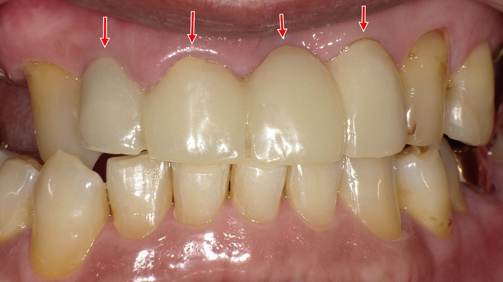
正面観
この画像は、上顎右側犬歯(3番)から左側犬歯(3番)までを連結したブリッジ形態の仮歯(テンポラリーブリッジ)の正面観です。
赤い矢印は、ブリッジの範囲(右上3番~左上3番)を示しています。

🦷 状況の説明
- 仮歯は、左右の犬歯(3番)を支台歯として連結され、中央の前歯部(1・2番)はポンティック(ダミー)構造になっています。
- 先に示された口蓋側の写真と同一症例であり、上顎前歯部の審美的仮歯段階です。
👁🗨 正面観からの所見
- 全体的な歯列形態・プロポーションは良好であり、左右対称性が保たれています。
- 歯軸もほぼ自然で、中央の切歯(中切歯・側切歯)部分の配列がスムーズに連続しています。
- 仮歯の長さ・幅比が自然で、スマイルラインに調和した形態に仕上がっています。
- 咬合平面(上の歯の並びのライン)も比較的安定しており、審美的バランスが良い状態です。
⚠️ 補足(内部構造的留意点)
- 支台歯は左右の犬歯のみのため、中央部のブリッジスパン(距離)が長く、たわみやすい構造です。
- したがって、最終補綴時には:
- 材質選択(ジルコニアなどの高強度素材)
- フレーム設計(十分な連結部厚み)
- 咬合調整(過大な咬合力回避)
が重要となります。
💡 総合評価
- 形態的には非常に良好で、最終補綴に向けた審美的・機能的確認段階として適切です。
- 今後は、歯頚部の適合改善(前画像の指摘)と、歯肉ラインの調整を行うことで、より自然で清掃性の高い最終形態が期待できます。
ブリッジの仮歯症例2
上顎ブリッジのための支台歯築造
この写真は、上顎のブリッジ治療前の状態を示しています。主な所見は以下の通りです。

🦷 状態の概要
上顎の前歯部から大臼歯部にかけて、複数の支台歯形成が行われています。
すでにクラウン(被せ物)を外した状態で、**金属のコア(土台)**が露出しています。
🔍 詳細な観察ポイント
- 上顎前歯部~臼歯部
歯冠が除去され、根管治療後に金属コアが装着されています。
支台歯として形態が整えられ、ブリッジ装着準備の段階です。
歯肉縁にやや炎症や退縮が見られ、以前の補綴物による影響が推察されます。
🦷 臨床的な意味
この段階は、上顎ブリッジ(連結冠)を装着するための前処置です。
支台歯形成後に印象採得(型取り)を行い、欠損部を補う人工歯を装着する予定です。
ブリッジの仮歯装着
この写真は、先ほどの支台歯形成後の症例において、上顎に仮歯(プロビジョナルレストレーション)を装着した状態を示しています。

🦷 状態の概要
上顎前歯から大臼歯部にかけて、ブリッジの形態に合わせた**仮歯(プロビジョナルブリッジ)**が装着されています。前回の金属支台歯がすべて覆われ、見た目・機能の両面で一時的な回復が図られています。
🔍 詳細な観察ポイント
- 上顎前歯部~臼歯部
仮歯によって歯列が整い、歯間空隙が改善。自然な形態と長さで審美的に回復しています。
歯肉との適合も比較的良好で、歯肉縁の炎症や出血は軽度。
咬合面から見て、咬み合わせの高さ(垂直的咬合関係)も調整されています。 - 色調・形態
仮歯はやや明るめのシェードで作製されており、最終補綴物(セラミックなど)作製時の参考とされています。
歯のボリュームや角度など、最終形態のデザイン検証に適しています。
💡 臨床的な意味
この段階は、最終的なブリッジ装着に向けた審美性・機能性・咬合の確認期間です。
仮歯の使用により、次のような目的を果たしています。
- 咬合(かみ合わせ)の安定確認
- 歯肉の形態修正・適応評価
- 発音や咀嚼機能の確認
- 審美的満足度の確認
患者が違和感なく生活できれば、この形態を基準に最終的な補綴装置(セラミックブリッジなど)が製作されます。
⚖️ 仮歯のメリットとデメリット
✅ 仮歯のメリット
・見た目を自然に保てる
・食事や会話がしやすい
・歯ぐきの形を整える
⚠️ 仮歯のデメリット
・外れやすい
・本物の歯よりも割れやすい
・違和感やしみることがある
🏥 仮歯を入れるケース
👑 被せ物(クラウン)の準備期間
被せ物を作る間に歯を守り、見た目もカバーします。
🦷 インプラントやブリッジ治療の過程
最終的な人工歯が入る前に、噛み合わせを確認する目的で使用します。
😁 矯正や審美治療での利用
見た目や機能を維持するため、一時的に仮歯が必要になることもあります。
🚨 仮歯でよくあるトラブル
🔓 仮歯が外れたときの対処法
自分で接着剤を使わず、歯科医院に持参して再装着してもらいましょう。

😖 仮歯で痛みやしみるとき
咬み合わせの調整不足や歯の神経の炎症が原因となる場合があります。
🎨 仮歯の見た目や色が気になるとき
仮歯は最終的な被せ物とは異なるため、色や形に不満があっても最終段階で調整可能です。
🪥 仮歯の正しいケア方法
🧼 歯磨き・フロスの注意点
優しく磨き、フロスは無理に通さず「横から抜く」のがポイント。
🍴 食事中の注意点
硬い食べ物やガムなど粘着性のある食べ物は避けましょう。
😬 避けたい習慣
強い噛みしめや歯ぎしりは外れる原因になります。
❓ 仮歯に関するよくある質問(FAQ)
- Q:仮歯を入れている期間はどのくらい?
👉 治療内容によりますが、数日〜数週間が目安です。 - Q:仮歯のまま放置するとどうなる?
👉 外れたり虫歯が進行するリスクがあるため危険です。 - Q:仮歯でもホワイトニングできる?
👉 仮歯は変色しないため、最終的な被せ物を入れる前にホワイトニングを検討しましょう。
📌 まとめ|仮歯を正しく理解して快適に過ごそう
仮歯は見た目や噛み合わせを守る大切な存在です。
外れたり痛みが出た場合は放置せず、早めに歯科医院へ相談しましょう。
最終的な被せ物までの「つなぎ」だからこそ、正しいケアが快適な治療生活につながります。
🏡 江戸川区篠崎で仮歯治療を相談したい方へ

🩺 当歯科クリニックでの仮歯治療の流れ
治療の途中も快適に過ごせるよう、ていねいな仮歯を作成します。
🤝 患者さまに合わせた丁寧な治療
違和感やトラブルがあればすぐに対応。安心して治療を進めていただけます。
🚉 駅から徒歩1分の通いやすい環境
篠崎駅南口徒歩1分で、通院もラクラク。
【動画】ステイン着色汚れをクリーニングするエアフロー
筆者・院長

深沢 一
Hajime FUKASAWA
- 登山
- ヨガ
メッセージ
日々進化する歯科医療に対応するため、毎月必ず各種セミナーへの受講を心がけております。
私達は、日々刻々と進歩する医学を、より良い形で患者様に御提供したいと考え、「各種 歯科学会」に所属すると共に、定期的に「院内勉強会」を行う等、常に現状に甘んずる事のないよう精進致しております。 又、医療で一番大切な事は、”心のある診療”と考え、スタッフと共に「患者様の立場に立った診療」を、心がけております。


