- 1. 切端咬合とは?
- 1.1. 切端咬合の原因
- 1.1.1. 🔹 遺伝的要因
- 1.1.2. 🔹 習癖によるもの
- 1.1.3. 🔹 成長のアンバランス
- 1.1.4. 🔹 その他
- 1.2. 切端咬合による影響
- 1.2.1. 👀 審美面
- 1.2.2. ⚙️ 機能面
- 1.3. 切端咬合の治療法
- 1.3.1. 🧒 小児の場合
- 1.3.2. 👩 成人の場合
- 1.3.3. 🏥 重度の場合
- 1.4. 治療の流れ
- 1.5. 放置するとどうなる?
- 1.6. 予防・セルフケア
- 2. よくある質問(FAQ)
- 3. まとめ
- 4. 🏥江戸川区篠崎で前歯が先端で当たる「切端咬合」の治療をご検討中の方へ
- 5. 【動画】アデノイド顔貌
- 6. 筆者・院長

👀 「前歯がちょうど先端同士で当たってしまう…」それは「切端咬合(せったんこうごう)」と呼ばれる噛み合わせの異常です🦷。
放置すると歯がすり減ったり、顎の関節に負担をかけたりする原因になることもあります。
この記事では、切端咬合の原因や症状、治療法までわかりやすく解説します。
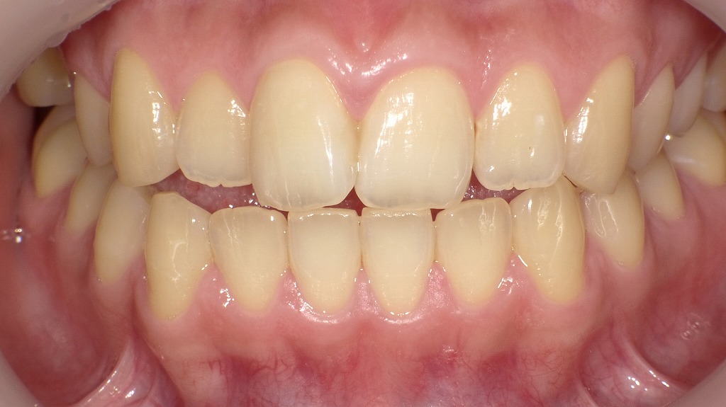
切端咬合とは?
切端咬合とは、上下の前歯の先端同士が直接当たる噛み合わせのことです🦷↔🦷。
正常な咬合では、上の前歯が下の前歯を少し覆うように重なりますが、切端咬合では覆いがなく、先端同士が衝突します。
この状態は見た目だけでなく、歯の寿命や顎の健康にも影響を与える可能性があります。

切端咬合の原因
🔹 遺伝的要因
顎の大きさや歯の生える位置に関係し、家族に似た歯並びが見られることがあります。
🔹 習癖によるもの
指しゃぶり、舌で歯を押す癖、頬杖などが切端咬合を引き起こすことがあります。
🔹 成長のアンバランス
上顎と下顎の成長バランスが崩れると、切端咬合になりやすくなります。
🔹 その他
乳歯の早期喪失や外傷、永久歯の欠損なども要因となります。
切端咬合による影響

👀 審美面
歯並びが不自然に見え、笑顔に影響することがあります。
⚙️ 機能面
- 歯の摩耗や欠け
- 顎関節症のリスク
- 発音のしづらさ(特にサ行・タ行)
- 噛みづらさから消化への悪影響
切端咬合の治療法

🧒 小児の場合
- 成長期に合わせた矯正(マウスピース矯正や拡大装置)
- 指しゃぶり・舌癖の改善指導
👩 成人の場合
- ワイヤー矯正やマウスピース矯正(インビザラインなど)
- セラミックや被せ物で咬み合わせを再構築
🏥 重度の場合
- 外科的矯正手術が必要になるケースもあります。
治療の流れ
- 初診・精密検査(レントゲン・模型・写真)
- 診断・治療計画の立案
- 矯正治療または補綴治療の開始
- 定期チェックと調整
- 保定・メンテナンスで後戻りを防止
放置するとどうなる?
- 前歯の摩耗や欠け
- 噛み合わせ全体の悪化
- 顎関節症・頭痛・肩こりのリスク
- 発音障害・見た目の悪化
「そのままでも大丈夫」と思って放置するのは危険です⚠️。
予防・セルフケア
- 定期的な歯科検診で早期発見🦷
- 子どもの悪習癖を早めに改善
- 鏡で歯の当たり方をチェック
よくある質問(FAQ)
Q:自然に治ることはありますか?
A:軽度の場合、成長とともに改善することもありますが、多くは治療が必要です。
Q:矯正は何歳から始めるべき?
A:小児期の早期治療が理想ですが、大人でも治療は可能です。
Q:保険は使えますか?
A:基本的に自由診療ですが、外科矯正が必要な場合は保険が適用されることもあります。
まとめ
切端咬合は見た目だけでなく、歯の健康や顎関節に大きな影響を与える噛み合わせです。
✅ 早期発見・早期治療がカギ
✅ 子どもは習癖改善と成長期の矯正が効果的
✅ 成人も矯正や補綴で改善可能
気になる方は、早めに歯科医院でのチェックをおすすめします😊。
🏥江戸川区篠崎で前歯が先端で当たる「切端咬合」の治療をご検討中の方へ

切端咬合は放置すると歯の摩耗や顎関節に負担をかけることもあります。江戸川区篠崎の当院では、最新の検査と治療法で一人ひとりに合わせた改善プランをご提案しています。
【動画】アデノイド顔貌
筆者・院長

深沢 一
Hajime FUKASAWA
- 登山
- ヨガ
メッセージ
日々進化する歯科医療に対応するため、毎月必ず各種セミナーへの受講を心がけております。
私達は、日々刻々と進歩する医学を、より良い形で患者様に御提供したいと考え、「各種 歯科学会」に所属すると共に、定期的に「院内勉強会」を行う等、常に現状に甘んずる事のないよう精進致しております。 又、医療で一番大切な事は、”心のある診療”と考え、スタッフと共に「患者様の立場に立った診療」を、心がけております。


