
「毎日きちんと歯を磨いているのに、歯ぐきから血が出る…」そんな経験はありませんか?
実は、歯周病は間違った歯磨き習慣や磨き残しが原因で進行します。日本人の約8割が歯周病にかかっているといわれ、放置すると歯を失う大きなリスクになります。
この記事では、歯周病を防ぐための正しい歯磨き方法・歯磨き粉の選び方・磨くタイミングまで、わかりやすく解説します✨
歯周病と歯磨きの基本知識
🦠 歯周病の原因はプラーク(歯垢)や歯石に潜む細菌です。
🪥 毎日の歯磨きは、この細菌を取り除く最も身近で効果的な方法です。
⚠️ しかし、力を入れすぎたり磨き残しが多いと、逆に歯ぐきを傷つけて炎症を悪化させてしまいます。


歯周病が進行すると、歯ぐきは赤く腫れやすくなり、歯磨き時に出血がみられることがあります。原因の多くは、歯と歯ぐきの境目に残ったプラークです。毎日の正しい歯磨きに加え、歯間ブラシやフロスを併用し、定期的な歯科でのクリーニングを行うことが、歯周病の改善と予防につながります。
歯周病予防に効果的な歯磨きの方法
✅ 歯ブラシの選び方
・毛の硬さ:やわらかめ〜ふつう
・ヘッドの大きさ:小さめで奥歯まで届くもの
・毛先:細く先端が丸いもの
🌀 正しい磨き方(バス法)

歯周病予防に効果的とされるのが「バス法」です。
歯と歯ぐきの境目に歯ブラシの毛先を45度の角度で当て、細かく小刻みに動かすのがポイントです。
ゴシゴシと力強く磨く必要はなく、歯ぐきを優しくマッサージするように磨くと効果的です。
この方法なら、歯周ポケットにたまりやすいプラーク(歯垢)を効率よく除去でき、歯ぐきへの刺激も最小限に抑えられます。
💡 コツ:1本ずつ丁寧に磨くイメージで進めると、磨き残しを防げます。
🧵 補助ケア
歯間ブラシやフロスを使うと、歯ブラシが届かない隙間の汚れも除去できます。

🔋 電動歯ブラシ
一定のリズムで磨けるため、磨き残し防止に有効です。
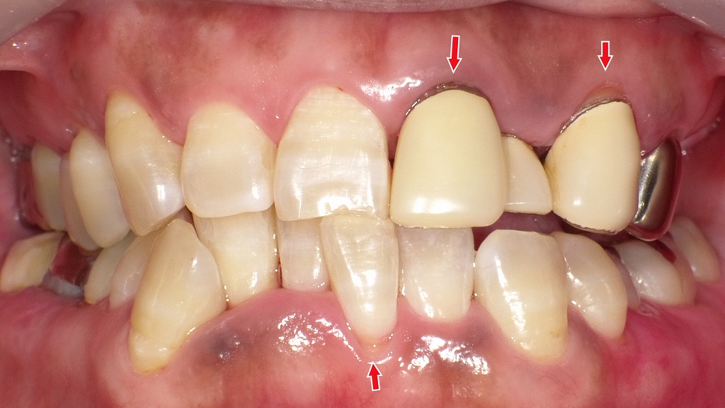
正しい歯磨きでここまで変わる:歯周病改善のビフォー&アフター


赤く腫れた歯ぐきと、クラウン周囲や前歯に付着したプラーク・歯石が見られ、歯周病が進行した状態です。
歯ぐきが腫れて盛り上がることで、歯と歯の境目が不明瞭になり、清掃が難しく悪循環に陥っていました。
丁寧なブラッシングとクリニックでのクリーニングにより、歯ぐきの腫れが軽減。
腫れが引いたことで歯ぐきが“下がったように見える”部分がありますが、これは歯周病が改善したサインです。
歯と歯ぐきの境目が明確になり、毎日の清掃がしやすい状態になりました。
歯周病に適した歯磨き粉の選び方 🧴
歯周病の予防や改善には、成分選びがとても重要です。市販の歯磨き粉でも、以下のような有効成分が含まれているものを選ぶと効果的です。
- 殺菌成分(CPC・クロルヘキシジン)
歯周病の原因菌を抑制し、プラークの増殖を防ぎます。 - 抗炎症成分(トラネキサム酸など)
歯ぐきの炎症や出血を抑える効果があります。 - フッ素
再石灰化を促し、虫歯予防と併せて歯を強く保ちます。
💡 ポイントは、「殺菌」「抗炎症」「再石灰化」の3つが揃っているかどうか。ドラッグストアや歯科医院で購入するときの目安にすると安心です。
歯磨きの頻度とタイミング
🕒 1日2〜3回が目安。特に大切なのは就寝前の歯磨きです。
💤 寝ている間は唾液が減り、細菌が増えやすいため、就寝前は丁寧に磨きましょう。
🍽️ 食後すぐに磨くと酸で柔らかくなった歯を傷つける可能性があるため、30分後が理想です。
歯磨きだけでは防げない歯周病対策
🦷 歯磨きは基本ですが、それだけでは完全に防げません。
・歯科医院でのスケーリング(歯石除去)
・歯周ポケットを清掃するSRP
・定期検診での早期発見
さらに、禁煙・バランスの良い食生活・ストレス管理も大切です。
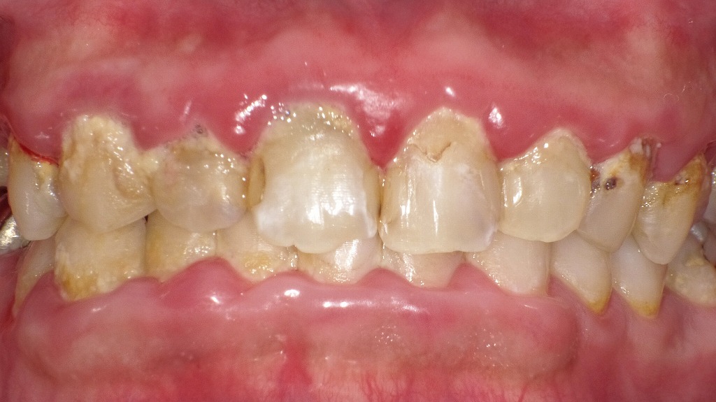
歯周病が進む口の中|磨き残しと歯石がもたらすサイン

この写真では、上・下の前歯周囲に大量のプラーク(歯の表面に付着した細菌のかたまり)と歯石が確認されます。歯ぐきは全体的に赤く腫れ、丸く膨らんだ炎症状態で、これは典型的な**歯周病**の所見です。
特に以下の点が歯周病の進行を示しています:
- 歯と歯ぐきの境目に厚く付着したプラーク・歯石
ブラッシング不足が続くと、柔らかいプラークが硬くなり歯石となり、歯周病菌の温床になります。 - 歯ぐきの赤み・腫れ・丸み
健康な歯ぐきは薄いピンク色で引き締まっていますが、炎症があると赤く腫れて丸く盛り上がります。 - 一部に虫歯による黒っぽい変色や歯面のざらつき
細菌の増殖と虫歯、歯石沈着によるものです。
この状態では適切な歯磨きだけでは改善が難しく、歯科医院での歯石除去(スケーリング)と専門的な歯周病治療が必要となります。
歯周病と歯磨き習慣の関係|プラークスコアから見る清掃状態

赤く示されている部分は、歯の表面にプラーク(歯垢)が付着している部位を表しています。
本症例では**プラークスコア65.2%**と高く、歯磨きによる清掃が十分に行き届いていない状態です。
プラークは歯周病の最大の原因であり、特に歯と歯ぐきの境目や奥歯に残りやすい傾向があります。この状態が続くと、歯ぐきの炎症や出血、歯周ポケットの深化を招き、歯周病が進行します。
歯周病予防には、正しいブラッシング方法の習得に加え、歯間ブラシやフロスの併用、定期的な歯科医院でのプロフェッショナルケアが不可欠です。
よくある質問(FAQ)
❓ 歯ぐきから出血しても磨いていい?
👉 軽度の出血なら磨き続けるべき。出血は炎症のサインです。
❓ 歯磨きしても口臭が消えないのは?
👉 歯石や歯周ポケットの奥に細菌が潜んでいる可能性があります。
❓ 高齢者や子どもはどう磨く?
👉 力を入れすぎず、年齢や歯並びに合ったブラシを選びましょう。
まとめ
✨ 歯周病予防の基本は「正しい歯磨き」
🪥 自宅でのケア+歯科医院でのプロケアの両立が大切です。
未来の健康な歯ぐきのために、今日から正しい歯磨きを習慣化しましょう!
📍 江戸川区篠崎で歯周病予防や治療をご検討中の方へ

江戸川区篠崎で歯周病予防や治療をご検討中の方は、篠崎駅南口徒歩1分の当歯科クリニックへぜひご相談ください。🦷
当院では、歯科衛生士による丁寧な歯磨き指導やプロによるクリーニング(スケーリング・SRP)を行い、患者さま一人ひとりに合った予防プランをご提案しています。
「歯ぐきからの出血が気になる」「正しい磨き方を知りたい」「口臭が心配」など、どんな小さなお悩みでもお気軽にご相談ください。
地域に根ざした歯科医院として、江戸川区篠崎にお住まいの皆さまの健康な歯と笑顔を守るお手伝いをいたします✨
筆者・院長

深沢 一
Hajime FUKASAWA
- 登山
- ヨガ
メッセージ
日々進化する歯科医療に対応するため、毎月必ず各種セミナーへの受講を心がけております。
私達は、日々刻々と進歩する医学を、より良い形で患者様に御提供したいと考え、「各種 歯科学会」に所属すると共に、定期的に「院内勉強会」を行う等、常に現状に甘んずる事のないよう精進致しております。 又、医療で一番大切な事は、”心のある診療”と考え、スタッフと共に「患者様の立場に立った診療」を、心がけております。


