- 1. 歯が黄色い症例と改善方法✨
- 1.1. 歯が黄色い症例
- 1.1.1. 🦷 全体的な所見
- 1.1.2. 🔍 詳細観察ポイント
- 1.1.3. 💡 考えられる状態
- 1.1.4. 🧼 改善・対策
- 2. ホワイトニングとオールセラミッククラウンで歯を白く
- 2.1. ホワイトニング後
- 2.2. シェードテイキング
- 3. 歯が黄色く見える主な原因🔍
- 3.1. 着色汚れ(ステイン)
- 3.2. エナメル質の薄さ
- 3.3. 遺伝や体質
- 3.4. 薬剤の影響💊
- 3.4.1. 🔍 特徴
- 3.4.2. 🦷 原因
- 4. 神経を取った歯はなぜ黄色くなる?2枚の画像で分かる変色の仕組み
- 4.1. ◆ 前歯の色の違いがはっきり分かる例
- 5. 自宅でできる歯の黄ばみ対策🏠
- 5.1. ホワイトニング歯磨き粉
- 5.2. 電動歯ブラシ・デンタルフロス
- 5.3. 食生活の工夫🍴
- 6. 歯科医院でできる歯の黄ばみ改善法🏥
- 6.1. プロフェッショナルクリーニング(PMTC)
- 6.2. ホワイトニング治療
- 6.3. セラミック治療・ラミネートベニア
- 7. 歯の黄ばみを予防する生活習慣🌱
- 8. まとめ📝
- 9. 江戸川区篠崎で歯の黄ばみを改善したい方へ
- 10. 【動画】ホームホワイトニングの効果的なやり方
- 11. 筆者・院長

✅ 鏡を見たときに「なんだか歯が黄色い…」と感じたことはありませんか?😥
歯の黄ばみは清潔感や第一印象に直結し、「老けて見える」と悩む方も少なくありません。原因は食生活や加齢、体質などさまざまですが、適切な対策をとれば改善できます✨。
この記事では、自宅でできるセルフケアから歯科医院でのホワイトニングまで、歯の黄ばみを解消する方法を徹底解説します🦷。
歯が黄色い症例と改善方法✨
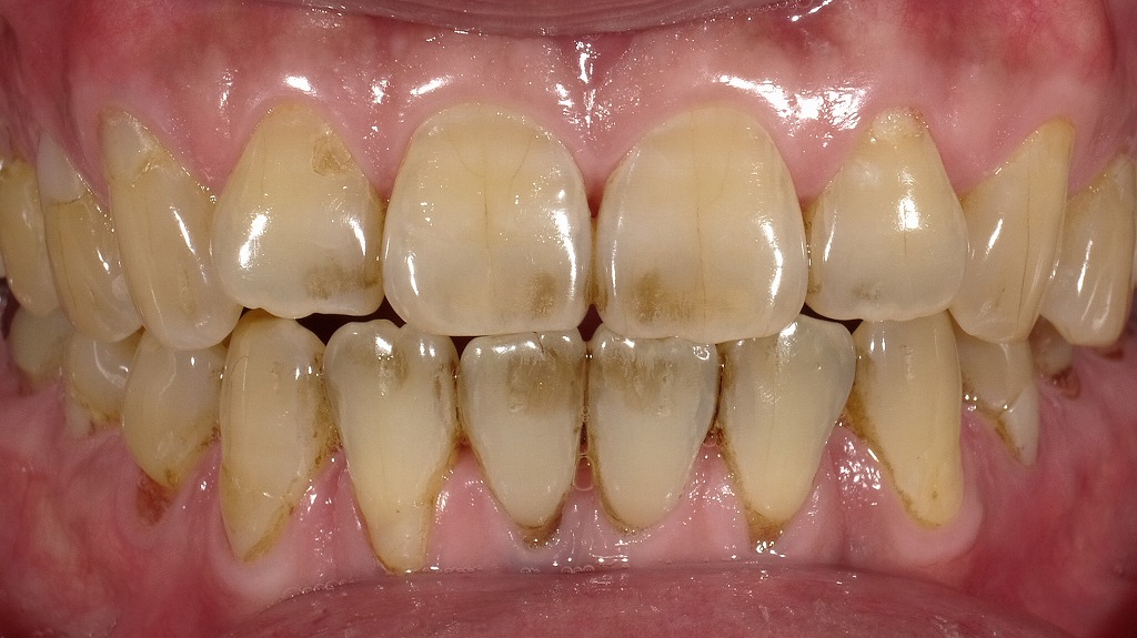
歯が黄色い症例
この写真は、上下の前歯を中心とした口腔内の正面画像です。歯の状態を観察すると、以下の特徴が見られます。

🦷 全体的な所見
- 歯の全体的な色調:全体的に黄色味が強く、歯面に**茶褐色の着色(ステイン)**が目立ちます。特に下の前歯(下顎前歯)に多く付着しています。
- 原因の可能性:タバコ、コーヒー、紅茶、ワインなどの摂取、または歯磨き不足による外因性の着色(ステイン)と考えられます。
🔍 詳細観察ポイント
- 上顎前歯(上の前歯):中央2本(中切歯)および隣の側切歯に、歯の中央付近に茶褐色のステインが認められます。
- 下顎前歯(下の前歯):歯頸部(歯と歯ぐきの境目)にかけてステインが顕著で、歯石の沈着も疑われます。
- 歯肉(歯ぐき):全体的に健康的なピンク色ですが、下前歯の付け根付近はわずかに炎症傾向があるように見えます。
💡 考えられる状態
- ステイン(外因性着色):主に嗜好品による歯面への着色。歯の内部に色素がしみこんだ状態ではなく、表面に付着しています。
- 歯石の付着:特に下の前歯裏側や付け根部分に多く見られるため、歯科医院でのスケーリング(歯石除去)が必要です。
- エナメル質の摩耗:切縁(歯の先端)がややすり減っており、歯ぎしりや加齢変化の影響も考えられます。
🧼 改善・対策
- **プロによるクリーニング(PMTCやエアフロー)**でステインや歯石を除去可能。
- ホワイトニングを行うことで、全体の色調を明るく改善できます。
- 毎日のケアとして、研磨剤の少ないステイン除去用歯磨き粉や電動歯ブラシの活用も効果的です。
ホワイトニングとオールセラミッククラウンで歯を白く
ホワイトニング後
この写真はホワイトニング後の前歯部の口腔内です。

右上1番(上の前歯の右側)はすでに根管治療後で、ファイバーコア(土台)が装着されています。最終的にはこの歯にオールセラミッククラウンを装着予定であり、ホワイトニング後の明るい歯色に合わせた自然な仕上がりを目指しています。
全体的に歯列は整っており、歯肉の健康状態も良好です。今後、オールセラミックを装着することで、審美性・透明感・色調の調和がさらに向上する予定です。
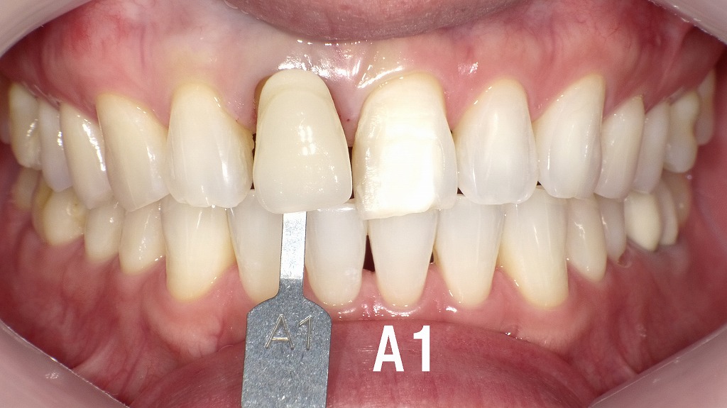
シェードテイキング
この写真は、ホワイトニング後に右上1番のオールセラミッククラウン製作を予定している症例のシェード確認(色合わせ)を行っている場面です。

手前にあるシェードガイドは「A1」で、一般的な自然歯の中でも比較的明るい色調を示します。しかし、周囲のホワイトニング後の歯はA1よりさらに白く、透明感のある仕上がりになっていることがわかります。
このため、最終的なオールセラミッククラウンは、ホワイトニング後の歯列全体と調和するよう、A1より明るいシェード(例:BL1~BL2系統)が選択される見込みです。
歯肉の状態も健康的で、最終補綴後には自然で審美的な前歯部の仕上がりが期待できます。
歯が黄色く見える主な原因🔍

着色汚れ(ステイン)
コーヒー☕・紅茶🍵・赤ワイン🍷・タバコ🚬などに含まれる色素が歯の表面に沈着し、黄ばみの原因となります。
エナメル質の薄さ
年齢を重ねるとエナメル質がすり減り、その下にある象牙質(黄みがかった部分)が透けて見えます。
遺伝や体質
もともと歯の色が黄み寄りの方もいます。特に家族に同じ特徴がある場合は遺伝の可能性があります。
薬剤の影響💊
子どもの頃に服用した一部の抗生物質(テトラサイクリン系)によって、歯に黄褐色の変色が残ることもあります。
この画像は、テトラサイクリン歯(テトラサイクリンによる変色歯)の一例です。

🔍 特徴
- 歯の表面に灰色〜茶褐色の帯状の変色が見られます。
- 変色はエナメル質や象牙質に及び、縞模様や全体的な色ムラとして現れるのが特徴です。
- 表面はつるつるしており、虫歯ではありません。
🦷 原因
テトラサイクリン系抗生物質(主に小児期や妊娠中に母体が服用)を長期間服用した際、
**歯の形成期(0〜8歳頃)**に薬の成分が歯に沈着し、光によって変色を起こします。
神経を取った歯はなぜ黄色くなる?2枚の画像で分かる変色の仕組み
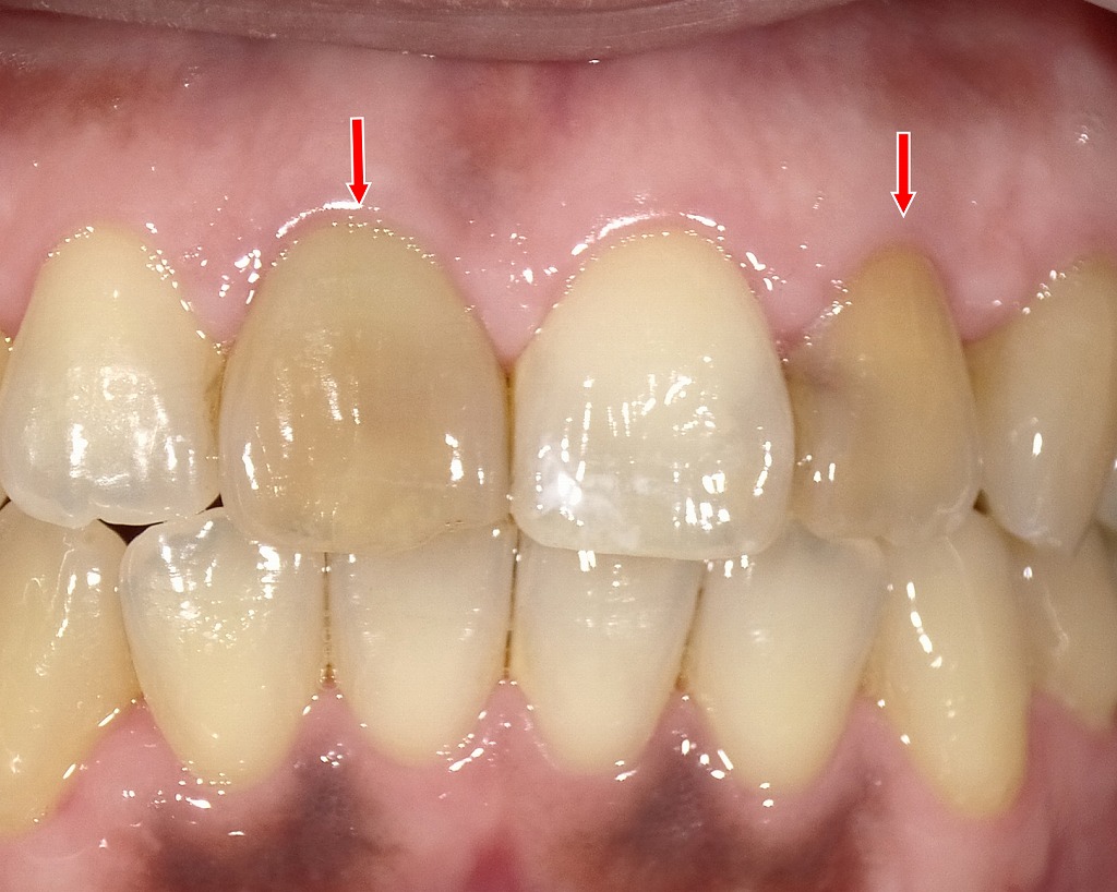
◆ 前歯の色の違いがはっきり分かる例


口腔内写真解説:
赤矢印の前歯は、周囲の歯よりも濃い黄色〜茶色に見えています。
これは神経を失った歯(失活歯)に起こりやすい変色で、歯の内部が徐々に濃い色へ変化するため、外側からも黄ばみとして目立ってきます。
神経がある健康な歯は、内部に水分が保たれており透明感がありますが、神経を取った歯は時間とともに乾燥・変性が進むため、全体が暗くくすんで見えるようになります。
レントゲン写真解説:
赤矢印の歯には、根の先端まで白い材料(根管充填材)が入っています。これは神経を取った処置(根管治療)を行った歯の証拠です。
神経を取ると、歯の内部は代謝が止まり、水分量が減り、時間とともに**色が濃くなる(黄ばみ・茶色化)**傾向があります。
レントゲンでは内部構造しか分かりませんが、実際の口腔内写真(1枚目)ではこうした変色として視覚的に現れます。
自宅でできる歯の黄ばみ対策🏠

ホワイトニング歯磨き粉
研磨剤入りや漂白成分配合の歯磨き粉は、ステイン除去に効果的。ただし使いすぎは歯を傷つけることもあるため注意が必要です⚠️。
電動歯ブラシ・デンタルフロス
歯ブラシだけでは落としきれない汚れも、電動歯ブラシやフロスを使うことで予防可能👌。
食生活の工夫🍴
・カレーやコーヒーなど着色しやすい食べ物の後はうがいをする
・水やお茶を中心に飲む
・ダラダラ食べを控える
歯科医院でできる歯の黄ばみ改善法🏥
プロフェッショナルクリーニング(PMTC)
専用器具で歯石やステインを除去し、自然な白さを取り戻せます✨。
ホワイトニング治療
- オフィスホワイトニング:歯科医院で即効性あり⚡
- ホームホワイトニング:マウスピースを使い、自宅でじっくりケア🏡
- デュアルホワイトニング:両方を併用し、効果と持続性を高める方法
1枚目はホワイトニング前、2枚目はホワイトニング後の口腔内写真です。


1枚目(ホワイトニング前)
全体的に歯の表面がやや黄ばんでおり、特に下顎前歯部と上顎犬歯付近に色の濃さが見られます。歯の表面は光沢が少なく、やや不透明感があります。生活習慣による着色(コーヒー・紅茶・喫煙など)や経年的変化が影響していると考えられます。
2枚目(ホワイトニング後)
全体的に歯のトーンが明るくなり、特に前歯部で白さの改善が明確です。歯面の透明感や光沢も増し、健康的で清潔感のある印象に変わっています。ホワイトニングによって自然な白さを取り戻した状態といえます。
セラミック治療・ラミネートベニア
歯の表面にセラミックを貼り付けることで、即効で白い歯を実現できます💎。
歯の黄ばみを予防する生活習慣🌱

- 正しい歯磨きを1日2〜3回🪥
- 着色しやすい飲食物の後は早めにうがい
- 定期的な歯科検診で歯石や汚れを除去
まとめ📝
- 歯の黄ばみの原因は「ステイン」「加齢」「遺伝」「薬剤」など多岐にわたる
- 自宅ケア(歯磨き粉・フロス・食生活改善)である程度の予防が可能
- 歯科医院ではホワイトニングやクリーニングで本格的に改善できる
- 定期的なケアで、白く健康的な歯をキープしましょう✨
江戸川区篠崎で歯の黄ばみを改善したい方へ

江戸川区篠崎駅南口から徒歩1分の当院では、歯の黄ばみや着色汚れにお悩みの方へ、クリーニング・ホワイトニング・セラミック治療など幅広い選択肢をご用意しています。患者さま一人ひとりに合わせた最適な方法で、自然で美しい白い歯を目指しましょう🦷✨。
歯を白くして笑顔に自信を持ちたい方は、ぜひ一度カウンセリングにお越しください✨
【動画】ホームホワイトニングの効果的なやり方
筆者・院長

深沢 一
Hajime FUKASAWA
- 登山
- ヨガ
メッセージ
日々進化する歯科医療に対応するため、毎月必ず各種セミナーへの受講を心がけております。
私達は、日々刻々と進歩する医学を、より良い形で患者様に御提供したいと考え、「各種 歯科学会」に所属すると共に、定期的に「院内勉強会」を行う等、常に現状に甘んずる事のないよう精進致しております。 又、医療で一番大切な事は、”心のある診療”と考え、スタッフと共に「患者様の立場に立った診療」を、心がけております。


