- 1. 🦷上顎前歯部欠損(2番)に対するインプラント治療症例
- 1.1. ① 上顎前歯部の欠損状態(上顎2番欠損)
- 1.2. ② 上顎2番欠損部へのインプラントドリリング
- 1.3. ③ 上顎2番部インプラント埋入時の骨不足とスクリュー露出
- 1.4. ④ 下顎臼歯部頬側からの自家骨採取
- 1.5. ⑤ スクリュー露出部への自家骨移植と固定
- 1.6. ➅ 骨造成スペースへの人工骨填入(GBR)
- 1.7. ⑦ 非吸収性メンブレンによる骨造成部の被覆
- 1.8. ⑧ 縫合後の創部安定と仮歯の固定
- 1.9. ⑨ 二次手術時に認められたメンブレン露出
- 1.10. ⑩ メンブレン除去後のインプラント露出
- 1.11. ⑪ ヒーリングアバットメント装着と縫合
- 1.12. ⑫ アバットメント交換後の仮歯装着
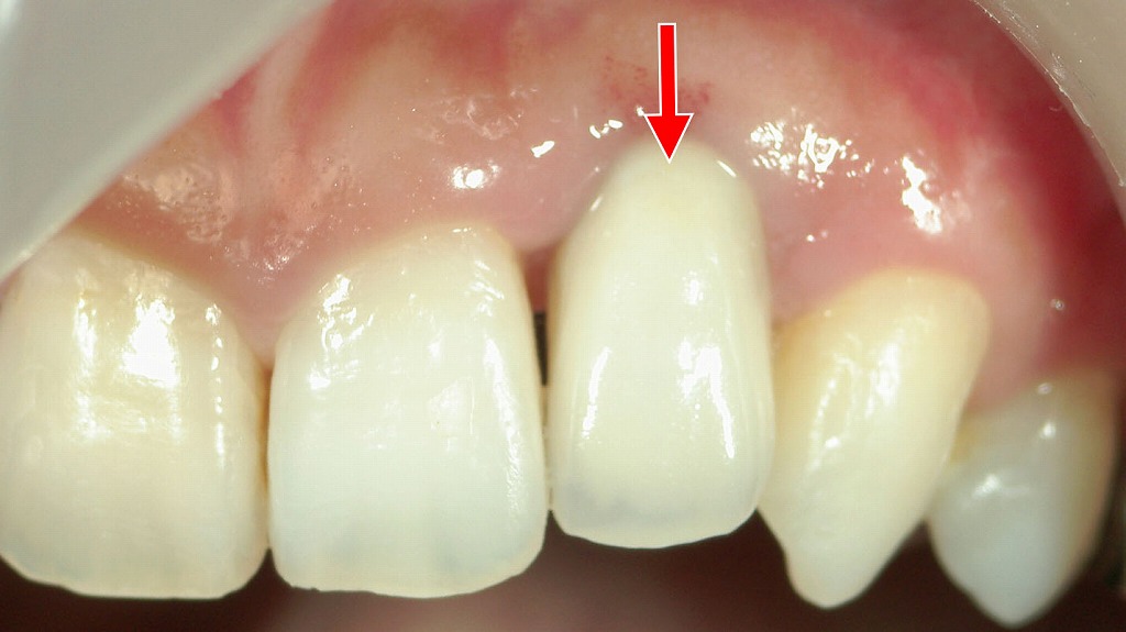
- 1.13. ⑬ 前歯部インプラントへのメタルボンド装着
- 2. ⚠️この治療における主なリスクについて
- 2.1. 骨造成(GBR)に関するリスク
- 2.2. インプラントに関するリスク
- 2.3. 前歯部特有のリスク(審美面)
- 2.4. 術後管理に関するリスク
- 2.5. 補足
- 3. 🌈まとめ
- 4. 江戸川区篠崎で削らずに前歯を回復したい方へ🏥
- 5. 【動画】奥歯を抜歯したまま放置すると?
- 6. 筆者・院長

前歯は、見た目の印象を大きく左右するだけでなく、噛み合わせや発音にも関わる非常に重要な部位です。
今回ご紹介する症例は、上顎前歯部の2番(側切歯)を失った患者さんに対して、周囲の健全な歯を削らずにインプラント治療を行ったケースです。
欠損部位は骨量が不足していたため、インプラント埋入と同時に骨造成(GBR)を併用し、長期的に安定した結果を目指した治療計画を立てました。
本症例では、初診時の状態から外科処置、治癒期間を経て最終補綴に至るまでの流れを、順を追ってご紹介します。🦷✨
🦷上顎前歯部欠損(2番)に対するインプラント治療症例
① 上顎前歯部の欠損状態(上顎2番欠損)

上顎2番(側切歯)が欠損している状態です。隣在する1番(中切歯)および3番(犬歯)は健全歯で、虫歯や補綴物は認められません。欠損部は審美性だけでなく、噛み合わせや歯列の安定性にも影響するため、ブリッジ・インプラント・矯正的対応など、周囲歯をできるだけ削らない治療法の検討が重要となります。
② 上顎2番欠損部へのインプラントドリリング

上顎2番(側切歯)欠損部に対し、インプラント埋入に向けたドリリングを行っている術中の所見です。周囲の1番(中切歯)・3番(犬歯)は健全歯であり、これらを削らずに欠損部のみを回復できる点がインプラント治療の大きな特徴です。骨量や位置を慎重に確認しながら、適切な埋入ポジションを形成していきます。
③ 上顎2番部インプラント埋入時の骨不足とスクリュー露出

上顎2番(側切歯)欠損部にインプラントを埋入した術中所見です。唇側の骨量が不足しているため、インプラントのスクリュー部の一部が露出している状態が確認されます。このようなケースでは、審美性と長期安定性を確保するために、骨造成(GBR)や軟組織のマネジメントを併用した治療計画が重要となります。
④ 下顎臼歯部頬側からの自家骨採取

下顎臼歯部の頬側皮質骨から、自家骨を採取している術中所見です。採取した自家骨は、骨造成(GBR)やインプラント治療に用いられ、骨との親和性が高く、治癒を促進しやすいという利点があります。必要最小限の範囲で安全に採取し、周囲組織への侵襲を抑えることが重要です。
⑤ スクリュー露出部への自家骨移植と固定

インプラント埋入時に露出したスクリュー部に対し、採取した自家骨を移植し、スクリューで固定している術中所見です。自家骨を確実に安定させることで骨の再生を促し、インプラント周囲の骨量回復と長期的な安定性の向上を図ります。骨造成では、移植骨の固定と動揺防止が重要なポイントとなります。
➅ 骨造成スペースへの人工骨填入(GBR)

自家骨移植部およびスクリュー固定部の周囲に形成されたスペースへ、人工骨(骨補填材)を填入している術中所見です。自家骨と人工骨を併用することで、骨再生のボリュームを確保し、インプラント周囲骨の形態と厚みを安定的に再建することが可能となります。GBR(骨誘導再生法)においては、スペースメイキングと骨補填材の適切な配置が治療成功の重要な要素となります。
⑦ 非吸収性メンブレンによる骨造成部の被覆

人工骨を填入した骨造成部を、非吸収性メンブレンで覆い、スクリューにて固定している術中所見です。メンブレンにより軟組織の侵入を防ぎ、骨再生に必要なスペースを安定して維持します。GBRでは、メンブレンの確実な固定と密閉性が、良好な骨形成を得るための重要なポイントとなります。
⑧ 縫合後の創部安定と仮歯の固定

骨造成およびインプラント処置後、創部を縫合し、仮歯を1番(中切歯)・3番(犬歯)に固定している状態です。仮歯を装着することで前歯部の審美性を保つとともに、創部への過度な刺激を避け、治癒期間中の安定した環境を確保します。
⑨ 二次手術時に認められたメンブレン露出

インプラントのオッセオインテグレーション期間を経て行った二次手術時の所見です。骨造成部を覆っていた非吸収性メンブレンが露出している状態が確認されます。周囲組織の治癒状況を慎重に評価しながら、メンブレン除去および次の補綴ステップへ移行していきます。
⑩ メンブレン除去後のインプラント露出

二次手術にて非吸収性メンブレンを除去し、インプラント体を露出させた術中所見です。十分なオッセオインテグレーションが得られていることを確認したうえで、ヒーリングアバットメント装着や補綴治療へと進みます。骨造成後の二次オペでは、周囲骨と軟組織の状態評価が重要となります。
⑪ ヒーリングアバットメント装着と縫合

二次手術にてインプラント体を露出させ、ヒーリングアバットメントを装着した後、周囲歯肉を縫合した状態です。ヒーリングアバットメントにより歯肉の治癒と形態付与を行い、最終補綴に向けた歯肉環境を整えます。前歯部では、審美性を考慮した軟組織マネジメントが特に重要となります。
⑫ アバットメント交換後の仮歯装着

ヒーリングアバットメントを最終アバットメントへ交換し、その上に仮歯を装着した状態です。アバットメント交換により、補綴物の適合精度と歯肉形態の安定を図り、最終補綴に向けた咬合や審美性の微調整を行います。前歯部では、歯肉ラインや隣在歯との調和を確認しながら慎重に管理していきます。
⑬ 前歯部インプラントへのメタルボンド装着

インプラント部にメタルボンドクラウンを装着した最終補綴時の状態です。周囲歯との色調や形態の調和を図り、咬合・清掃性・審美性を総合的に考慮して仕上げています。インプラント治療では、外科処置から補綴まで一貫した管理により、長期的に安定した結果を目指します。
⚠️この治療における主なリスクについて
本症例で行った上顎前歯部インプラント治療および骨造成(GBR)には、以下のようなリスクが考えられます。
骨造成(GBR)に関するリスク
骨量が不足している部位に対して行う骨造成では、
・移植した骨が十分に生着しない
・治癒途中でメンブレンが露出する
といった可能性があります。
メンブレン露出が生じた場合、治癒状況に応じて除去や追加処置が必要になることがあります。
インプラントに関するリスク
インプラント治療では、
・インプラントと骨の結合(オッセオインテグレーション)が不十分となる
・噛み合わせや過度な力によるトラブル
が起こる可能性があります。
そのため、治癒期間中の咬合管理や定期的な経過観察が重要となります。
前歯部特有のリスク(審美面)
前歯部は骨や歯肉が薄いことが多く、
・歯肉退縮による見た目の変化
・歯肉ラインの左右差
が生じる可能性があります。
治療計画の段階でこれらのリスクを考慮し、慎重な処置を行うことが重要です。
術後管理に関するリスク
喫煙習慣、口腔清掃状態、定期的なメインテナンスの有無によっては、
インプラント周囲炎などのリスクが高まる可能性があります。
治療後も継続したケアが不可欠です。
補足
これらのリスクを最小限に抑えるため、当院では事前の診査・診断を重視し、治療中・治療後も慎重な経過観察を行っています。
治療内容やリスクについて十分にご説明したうえで、患者さんと相談しながら治療を進めていきます。
🌈まとめ
本症例では、上顎前歯部2番の欠損に対し、周囲の健全な歯を削ることなくインプラント治療を行いました。
骨量が不足している部位であったため、骨造成(GBR)を併用することで、インプラントを長期的に安定させる環境を整えています。
前歯部のインプラント治療は、見た目の自然さだけでなく、噛み合わせや清掃性、将来的な安定性まで考慮した総合的な判断が重要です。
お口の状態によって治療方法は異なるため、まずは正確な診査・診断を行い、一人ひとりに適した治療計画を立てることが大切です。
江戸川区篠崎で削らずに前歯を回復したい方へ🏥

前歯の欠損は、見た目だけでなく噛み合わせや発音にも影響します。
「できるだけ歯を削りたくない」「自然な見た目で治したい」とお悩みの方も多いのではないでしょうか。
江戸川区篠崎にある当院では、周囲の健全な歯を守ることを大切にし、骨造成(GBR)を含めたインプラント治療にも対応しています。
患者さん一人ひとりのお口の状態を丁寧に診査し、長期的な安定性を考えた治療をご提案いたします。
前歯のインプラント治療をご検討中の方は、どうぞお気軽にご相談ください。😊
【動画】奥歯を抜歯したまま放置すると?
筆者・院長

深沢 一
Hajime FUKASAWA
- 登山
- ヨガ
メッセージ
日々進化する歯科医療に対応するため、毎月必ず各種セミナーへの受講を心がけております。
私達は、日々刻々と進歩する医学を、より良い形で患者様に御提供したいと考え、「各種 歯科学会」に所属すると共に、定期的に「院内勉強会」を行う等、常に現状に甘んずる事のないよう精進致しております。 又、医療で一番大切な事は、”心のある診療”と考え、スタッフと共に「患者様の立場に立った診療」を、心がけております。


