- 1. 📌 なぜインプラント治療の費用は高額なのか?
- 1.1. 💡 噛み心地と見た目の回復が魅力
- 1.2. 💡 健康的な口腔環境の維持にも貢献
- 2. 💰 インプラント治療の費用相場【全国平均】
- 2.1. 📊 1本あたりの費用目安(全国平均)
- 2.2. 🗾 地域ごとの費用差
- 3. 🧮 費用に差が出る主な要因とは?
- 3.1. 🔧 治療内容の複雑さ
- 3.2. 🏥 設備と技術レベル
- 3.3. 🦷 使用素材の違い
- 4. 📄 当院のインプラント費用内訳【安心の明朗会計】
- 4.1. 🗂 初回相談・検査費
- 4.2. 🔩 インプラント手術費
- 4.3. 🦷 人工歯の費用(クラウン)
- 4.4. 🧼 定期メンテナンス費
- 5. 📊 インプラント費用 早見表【一覧で確認】
- 6. 🛡 保証制度|安心して治療を受けるために
- 6.1. 🔒 本体5年保証+クラウン3年保証
- 6.1.1. ✅ 保証条件
- 6.2. ⚠ 保証が適用されないケース
- 7. 🏷 費用を抑える方法と補助制度
- 7.1. 💴 医療費控除の活用
- 7.1.1. ▶ 医療費控除の条件
- 7.1.2. ▶ 控除の対象になる費用例
- 7.1.3. ▶ 必要な書類
- 7.2. 🏥 特定条件での保険適用
- 7.2.1. ▶ 保険適用が認められる主なケース
- 7.2.2. ▶ 適用の注意点
- 7.2.3. ▶ 費用イメージ(保険適用時)
- 8. 🧠 クリニック選びで失敗しないために
- 8.1. 🔍 技術力と症例数を重視
- 8.1.1. ✅ 日本口腔インプラント学会の認定医がいるか
- 8.1.2. ✅ 症例数が豊富か
- 8.1.3. ✅ 設備が整っているか
- 8.2. ⚠ 安すぎるインプラントには要注意
- 8.2.1. 💥 よくあるトラブル事例
- 8.2.2. ✅ 安心のために確認すべきポイント
- 9. 📍 江戸川区篠崎でインプラントをご検討の方へ
- 9.1. ✅ 初診無料&費用明細の丁寧な説明
- 9.2. 🦷 iCATナビゲーションシステム対応
- 9.3. 🛡 充実の5年保証付きで、治療後も安心
- 10. 📝 まとめ|費用だけで選ばない、納得と安心のインプラント治療を
- 11. 江戸川区篠崎でインプラント費用についてご相談をご希望の方へ
- 12. 【動画】奥歯を抜歯したまま放置すると?
- 13. 筆者・院長

「インプラントにしたいけど、費用が高そうで不安…」「歯医者によって料金がバラバラなのはなぜ?」
そんな疑問をお持ちではありませんか?
インプラント治療は、見た目の美しさと噛む力を取り戻せる先進的な治療であり、多くの方に選ばれています。しかし、自由診療(保険適用外)であるため、費用の内訳が分かりにくく、比較しづらいのも事実です。
この記事では、全国平均の費用相場から、治療費に差が出る理由、そして費用を抑える方法まで、患者様の目線でわかりやすく丁寧に解説します。
さらに、江戸川区篠崎の当院で実際にかかる費用や保証制度も公開していますので、「これから治療を検討したい」「まずは予算感だけでも知りたい」という方もぜひ参考にしてください。
📌 なぜインプラント治療の費用は高額なのか?
インプラント治療は、他の歯科治療に比べて費用が高額になる傾向があります。その理由は、見た目や機能性、さらには健康面においても「天然歯に近い再現性」を追求した治療だからです。以下では、具体的なポイントをわかりやすく解説します。
💡 噛み心地と見た目の回復が魅力
インプラントは、顎の骨に人工歯根を埋め込むことで、天然歯のような噛み心地と高い審美性を実現します。これにより、硬いものでもしっかり噛めるようになり、見た目も自然で違和感がありません。
従来の部分入れ歯やブリッジと比較しても、周囲の歯に負担をかけることがなく、機能性と美しさを両立できる治療法として高く評価されています。とくに、前歯など見た目が重要な部位では、ジルコニアクラウンなどの素材選定により、より自然な仕上がりが可能です。
💡 健康的な口腔環境の維持にも貢献
インプラントは、顎骨の吸収(痩せ)を防ぐという重要な役割もあります。歯を失うと、噛む刺激がなくなることで顎の骨が徐々に痩せていき、顔貌の変化や老け顔の原因になることもあります。
また、ブリッジのように健康な隣の歯を削る必要がないため、将来的なリスクを抑えながら治療が行えるのも大きなメリットです。これらの要素が費用に反映されるため、インプラントは高額になりやすいのです。
💰 インプラント治療の費用相場【全国平均】
インプラント治療は保険適用外(自費診療)となるため、費用は医院ごとに差があります。ここでは、全国的な平均相場や前歯・奥歯の違い、地域ごとの傾向について詳しく解説します。



📊 1本あたりの費用目安(全国平均)
インプラント1本あたりの全国平均費用は、おおよそ30万〜50万円が目安です。この金額には、インプラント体(フィクスチャー)の埋入手術費用、人工歯(クラウン)の作製費、さらに術後のメンテナンス費用が含まれるケースが多くなっています。
部位によっても費用は異なります。
- 前歯:目立つ場所であるため、見た目の美しさが重要視され、ジルコニアなど高価な素材が使われることが多く、**費用は高め(40万〜60万円)**になる傾向があります。
- 奥歯:咀嚼力は必要ですが見た目の優先度は低いため、比較的シンプルな素材を選ぶことができ、費用は30万〜40万円台に抑えられる場合もあります。
🗾 地域ごとの費用差
インプラントの費用は、地域によっても大きく異なります。とくに都市部では人件費や地価、設備投資が高いため、治療費にも反映されます。
- 都心部(東京・大阪など):全国的にも高めで、1本あたり40万〜60万円が一般的な相場。
- 地方都市・郊外:設備や人件費が抑えられる分、30万〜40万円台での提供が多く、同じ治療でもコストパフォーマンスの面で注目されています。
費用の違いは、医院の立地や設備だけでなく、担当医の経験値や使用する素材・手法にも影響を受けるため、単に金額だけで判断せず、内容と実績を総合的に比較することが大切です。
🧮 費用に差が出る主な要因とは?
インプラント治療の費用は一律ではなく、患者さんの口腔状態や選択する治療内容、使用する設備や素材によって大きく異なります。ここでは、治療費に差が出る主な要因を3つに分けて解説します。
🔧 治療内容の複雑さ
最も費用に影響するのが顎の骨の状態です。顎の骨が十分にない場合には、以下のような追加の外科処置が必要となり、その分費用が加算されます。


- 骨造成(GBR):骨が足りない部分に人工骨や自家骨を移植し、インプラントを埋入できる土台を作る治療。費用は5万〜15万円以上。
- サイナスリフト/ソケットリフト:上顎の骨が薄い場合に、上顎洞(サイナス)を持ち上げて骨を増やす処置。20万〜30万円以上かかることもあります。
これらの処置は高度な技術が必要で、手術の難易度が上がるほど費用も高額になる傾向があります。
🏥 設備と技術レベル
最新の医療設備と高度な技術の導入も、治療費に影響します。安全性と精度を高めるための投資が、費用に反映されるためです。
- 3D CTスキャン:顎骨の形状や神経の位置を立体的に把握し、リスクの少ない精密な治療計画を立てるために使用。
- ナビゲーション手術:手術をコンピューター制御でサポートする技術で、埋入位置の誤差を最小限に。
- iCATナビゲーションシステム:当院でも導入している最新機器で、より正確で安心なインプラント治療を実現しています。
こうした先進技術の有無によって、5万〜10万円以上の費用差が出ることもあります。
🦷 使用素材の違い
人工歯(クラウン)やアバットメントの素材選びも費用に影響する要素です。審美性や耐久性によって価格帯が変わります。
- チタン製フィクスチャー:生体親和性が高く、最も一般的。費用は中程度。
- ジルコニアクラウン:白く透明感のある素材で、見た目が自然。審美性重視の前歯などに使用され、費用は高め。
- メタルボンド:金属の上に陶材を焼き付けたクラウン。耐久性と審美性のバランスが良いが、費用はやや高め。
選ぶ素材によって1本あたり数万円以上の差が出るため、治療前に十分な説明を受け、目的や予算に合った選択をすることが大切です。
📄 当院のインプラント費用内訳【安心の明朗会計】
当院では、患者様が安心して治療に臨めるよう、インプラントに関わるすべての費用を明確にご案内しています。以下に、主な費用項目とその内容を詳しくご紹介します。
🗂 初回相談・検査費
- 相談料:無料
初診時のカウンセリングやお悩み相談、治療の大まかな流れのご説明はすべて無料です。 - 検査費:治療費の約10%
正確な治療計画を立てるために、CTスキャンやiCATナビゲーションシステムによる精密検査を行います。この費用は総治療費の10%前後を目安としてお考えください。
🔩 インプラント手術費
- 1本あたりの基本手術費用:220,000円(税込)
インプラント体(フィクスチャー)を顎の骨に埋め込む基本手術です。術中の安全性と精度を高めるため、当院ではナビゲーションシステムを使用しています。 - 追加処置が必要な場合
骨の量や質が不足している患者様には、以下の追加処置が必要になることがあります。 処置名費用(税込)ソケットリフト88,000円/本、サイナスリフト最大341,000円、GBR法(骨再生療法)55,000~165,000円
これらの処置の有無は、事前のCT検査で判断します。
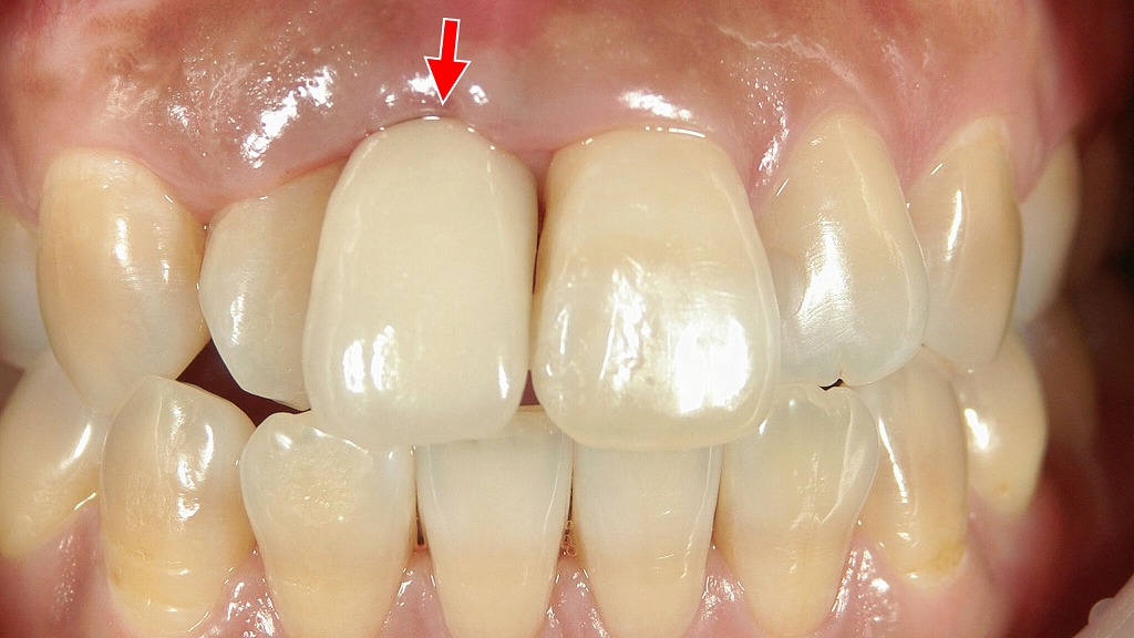
🦷 人工歯の費用(クラウン)
埋め込んだインプラントの上に装着する人工歯は、素材によって費用が異なります。
| 素材 | 費用(税込) | 特徴 |
|---|---|---|
| フルジルコニア | 92,400円 | 強度と審美性のバランスが良く、変色しにくい |
| ジルコニアセラミック | 110,000円 | より自然な見た目で前歯におすすめ |
| メタルボンド | 115,500円 | 金属とセラミックを組み合わせた耐久性重視の素材 |
患者様のご希望や部位に応じて最適な素材をご提案いたします。
🧼 定期メンテナンス費
インプラントは治療後のメンテナンスが長持ちのカギです。当院では以下のような費用でサポートしています。
- メンテナンス費用:1回 3,000〜5,000円
- 年間目安:20,000〜30,000円程度
このメンテナンス費には、術後検診・クリーニング(エアフロー)・咬合調整などが含まれます。また、当院の保証制度を適用するためには年間7回の来院(5年で計7回)が必須条件となっています。
📊 インプラント費用 早見表【一覧で確認】
「治療ごとにいくらかかるのか、全体像がつかみにくい…」
そんな不安を解消するために、当院でかかるインプラント関連費用を一覧表形式でわかりやすく整理しました。初診時の参考やご相談の準備にもぜひお役立てください。
| 🏷️ 費用項目 | 💴 金額(税込) | 📝 備考 |
|---|---|---|
| 手術費(1本) | 220,000円 | インプラント体の埋入費用 |
| サイナスリフト | 最大341,000円 | 骨量が不足している上顎に対する追加手術 |
| GBR法(骨再生療法) | 最大165,000円 | 骨造成が必要な場合に適用 |
| クラウン(人工歯) | 92,400~115,500円 | フルジルコニア/ジルコニアセラミック/メタルボンド |
| アバットメント(土台) | 11,000円 | インプラント体と人工歯をつなぐパーツ |
| メンテナンス | 3,000~5,000円/回 | 年2~4回を目安に定期通院推奨 |
💡 ポイント
- 上記金額はすべて税込価格です。
- 骨の状態や素材選びによって、合計費用には個人差があります。
- 正確な費用は初回カウンセリングと検査の結果をもとにお伝えします。
🛡 保証制度|安心して治療を受けるために
インプラント治療は長く使っていただくものだからこそ、「万が一」に備えた保証体制が重要です。当院では、明確で安心できる保証制度を整えています。
🔒 本体5年保証+クラウン3年保証
当院では、インプラント本体と人工歯(クラウン)それぞれに保証期間を設けております。
- インプラント本体(フィクスチャー):5年間100%保証
- 上部構造(クラウンなど):3年間100%保証、4~5年目は50%保証
✅ 保証条件
この保証を適用するには、治療後5年間で計7回のメンテナンス通院が必要です。
- 1年目:3回の術後検診+エアフロー
- 2~5年目:各年1回ずつの検診
- 計:5年間で合計7回
この通院回数は、インプラントを健康に長持ちさせるための最低限のケア頻度と考えております。
⚠ 保証が適用されないケース
以下のようなケースでは、保証期間内であっても保証対象外となります。あらかじめご理解ください。
- 当院の指示に従わない使用や、メンテナンスの未受診
- 患者様の重大な過失や事故による破損
- 抜歯すべき歯を患者様の希望で無理に残して治療した場合
- 他院での処置による影響
💡 上記に該当する場合でも再治療は可能ですが、その際の費用は有料となります。
🏷 費用を抑える方法と補助制度
「インプラントは高いから無理かも…」
そう感じている方も多いかもしれませんが、公的制度の活用や条件によって費用を軽減できるケースがあります。以下で代表的な2つの制度をご紹介します。
💴 医療費控除の活用
インプラント治療にかかった費用は、一定条件を満たせば「医療費控除」の対象になります。確定申告の際に申請すれば、支払った税金の一部が還付される可能性があります。
▶ 医療費控除の条件
- 1年間で家族全体の医療費が10万円以上
または - 所得の5%以上を超えた場合
▶ 控除の対象になる費用例
- インプラントの手術費・診断料・クラウン費
- 通院時の**交通費(電車・バス)**も対象
- 保険外診療費(自費治療)も含まれます
▶ 必要な書類
- 医療機関の領収書
- 医療費の明細書
- 確定申告時に提出する医療費控除申請書
📌 ポイント
高額な治療費でも、実質的な負担を軽減できるチャンスです。領収書は大切に保管しておきましょう。
🏥 特定条件での保険適用
インプラント治療は基本的に自費診療(保険適用外)ですが、次のような特定の条件を満たす場合には、健康保険が適用されることもあります。
▶ 保険適用が認められる主なケース
- 先天的に歯が欠損している場合(永久歯の欠如など)
- 外傷や病気によって顎の骨が大きく損傷した場合
- 口腔機能の大幅な回復が必要とされると医師が判断した場合
▶ 適用の注意点
- 保険診療が可能な指定医療機関で治療を受ける必要があります
- 使用できるインプラントの種類や範囲が限定される場合もあります
▶ 費用イメージ(保険適用時)
- 自費診療よりも大幅に安く、数万円〜10万円前後に抑えられることもあります
📌 ポイント
まずは自分が対象となるかどうか、歯科医に相談して確認することが第一歩です。
🧠 クリニック選びで失敗しないために
インプラント治療は一度行えば長く使うものだからこそ、「どの歯科医院で受けるか」が非常に重要です。費用だけで選んでしまうと、治療の失敗や再治療のリスクも。ここでは、クリニック選びで重視すべきポイントを解説します。
🔍 技術力と症例数を重視
✅ 日本口腔インプラント学会の認定医がいるか
インプラント治療は高度な専門技術を必要とする外科処置です。施術を担当する歯科医が、日本口腔インプラント学会の専門医・指導医であるかどうかは、信頼性を判断する重要な指標です。
✅ 症例数が豊富か
1年間にどれくらいのインプラント症例を扱っているかも重要です。経験豊富な医院ほど、難症例にも柔軟に対応でき、トラブル対応にも慣れています。
✅ 設備が整っているか
- 3D CTスキャン
- iCATナビゲーションシステム
- 専用オペ室などの先進的な設備があるかも確認しましょう。これにより、治療の精度と安全性が格段に向上します。
当院では、他院で断られたケースにも対応可能な体制を整えており、患者様一人ひとりに合った治療計画を丁寧にご提案しています。
⚠ 安すぎるインプラントには要注意
費用だけを見て「とにかく安い医院」を選んでしまうと、長期的に大きな損失を招くことがあります。以下のようなトラブルが実際に報告されています。
💥 よくあるトラブル事例
- 低品質な素材の使用による破損・劣化
- 埋入位置のミスや術後の感染症など、技術不足による不具合
- 保証制度がない、または不十分で、再治療時に全額負担
✅ 安心のために確認すべきポイント
- 治療前に費用内訳や使用素材の説明が丁寧にあるか
- 術後のメンテナンス体制が整っているか
- 公式サイトなどで保証内容が明示されているか
💡 インプラント治療は、価格よりも「品質と信頼性」こそが重要です。将来的なトラブルを防ぐためにも、適正価格で安心できるクリニックを選びましょう。
📍 江戸川区篠崎でインプラントをご検討の方へ
「しっかり噛めて見た目も美しい歯を取り戻したい」
そんな思いをお持ちの方は、ぜひ一度、江戸川区篠崎の当院にご相談ください。
当院では、患者様が安心してインプラント治療を受けられるよう、初診からアフターケアまで一貫して丁寧に対応しています。
✅ 初診無料&費用明細の丁寧な説明
初回カウンセリングは無料。現在の口腔内の状態を確認し、CT画像を用いた分かりやすい説明とともに、治療計画・費用内訳・リスクについて納得いくまでご説明いたします。
「結局いくらかかるのか不安…」という方でも、安心してご相談いただけます。
🦷 iCATナビゲーションシステム対応
当院では、最新のiCATナビゲーションシステムを導入し、埋入位置をミリ単位で正確に設計。安全性と成功率を高めるだけでなく、腫れや痛みの少ない低侵襲な治療が可能です。
難症例にも対応可能な体制を整えており、他院で断られた方のご相談も多数承っております。
🛡 充実の5年保証付きで、治療後も安心
インプラント本体は5年間の100%保証、上部構造も3年間の保証付き(条件あり)。
保証を受けるには、年7回の定期メンテナンスが必要ですが、お口の健康を長く保つためにも非常に有効です。
🌟 まずはお気軽に無料相談へ
江戸川区篠崎でインプラントをご検討の方は、経験豊富な医師と安心の保証体制を備えた当院へお越しください。あなたにとって最適な治療プランをご提案いたします。
📝 まとめ|費用だけで選ばない、納得と安心のインプラント治療を
インプラント治療は、見た目・噛む力・健康維持すべてを兼ね備えた優れた治療法ですが、その分費用や治療内容に不安を感じる方も少なくありません。
この記事では、全国の費用相場や当院の明朗な料金体系、保証制度、費用を抑える方法まで幅広くご紹介しました。重要なのは、「安さ」だけでクリニックを選ばないことです。素材や技術の質、医師の経験、アフターケア体制まで含めて、長期的に満足できる治療かどうかを見極めましょう。
当院では、無料相談・最新設備・充実の保証制度を通じて、患者様が安心してインプラント治療を受けられる体制を整えています。
「よく噛める喜び」「自然な笑顔」「健康な毎日」——
それらを長く守るために、信頼できる歯科医院でのインプラント治療を選択してください。
江戸川区篠崎でインプラント費用についてご相談をご希望の方へ

インプラント治療は、噛む力や見た目を天然歯に近い形で取り戻せる先進的な治療法です。費用が高額なイメージをお持ちの方もいらっしゃるかもしれませんが、当院では患者様にとって納得できる価格と安心の治療を提供しております。
当院が選ばれる理由
- 明確な費用説明: 初診時に、治療費の内訳や追加費用の可能性を丁寧にご説明します。
- 最新技術を活用: 安全性と成功率を高めるため、CTスキャンや精密診断を活用。
- 安心の保証制度: 万が一の場合も安心できる保証プランをご用意しています。
インプラント治療は、単なる治療以上に、食事や笑顔の楽しさを取り戻し、人生の質を向上させる選択です。ぜひ一度、無料相談であなたに最適な治療プランをご確認ください。ご相談はお気軽に、当院までお問い合わせください!
【動画】奥歯を抜歯したまま放置すると?
筆者・院長

深沢 一
Hajime FUKASAWA
- 登山
- ヨガ
メッセージ
日々進化する歯科医療に対応するため、毎月必ず各種セミナーへの受講を心がけております。
私達は、日々刻々と進歩する医学を、より良い形で患者様に御提供したいと考え、「各種 歯科学会」に所属すると共に、定期的に「院内勉強会」を行う等、常に現状に甘んずる事のないよう精進致しております。 又、医療で一番大切な事は、”心のある診療”と考え、スタッフと共に「患者様の立場に立った診療」を、心がけております。


