- 1. ■ 右上前歯の欠損:インプラント治療を検討するべき状態
- 1.1. ■ インプラント治療を計画する際のポイント
- 2. ■ 右上前歯部の骨幅不足:インプラント前に骨造成が必要な状態
- 2.1. ■ 治療上のポイント
- 3. ■ インプラント埋入時:インプラントスレッドの露出
- 3.1. ■ 臨床的ポイント
- 4. ■ 下顎臼歯部からの自家骨採取:インプラント部位の骨造成のために
- 4.1. ■ 臨床的なポイント
- 5. ■ 自家骨ブロックの固定:インプラント部位の骨幅を再建するために
- 5.1. ■ 臨床的ポイント
- 6. ■ 人工骨の填入:インプラント部位の骨量を補うGBRステップ
- 6.1. ■ 臨床的ポイント
- 7. ■ 骨造成部をメンブレンで覆い、ネジ止めで固定
- 7.1. ■ 臨床的ポイント
- 8. ■ GBR後の創部を縫合した最終ステップ
- 8.1. ■ 臨床的ポイント
- 9. ■ インプラント二次オペ:骨造成固定ネジの除去
- 9.1. ■ 臨床的ポイント
- 10. ■ インプラント最終補綴の装着:自然な前歯の形態と色調を再現
- 11. ■ インプラント埋入時のデンタルX線写真
- 11.1. ■ 画像から読み取れるポイント
- 11.1.1. 1. インプラントの適切な垂直位置・角度
- 11.1.2. 2. 固定スクリュー(ボーンスクリュー)の位置
- 11.1.3. 3. 根尖部までの安全性
- 11.2. ■ 臨床的まとめ
- 12. ■ インプラント最終上部構造装着後のレントゲン
- 12.1. ■ 画像から読み取れるポイント
- 12.1.1. 1. インプラント周囲骨の良好な成熟
- 12.1.2. 2. インプラントの安定したポジション
- 12.1.3. 3. 上部構造の適切な適合
- 12.1.4. 4. 隣在歯との調和
- 12.2. ■ 臨床的まとめ
- 13. ⚠️ この治療における主なリスクについて
- 13.1. 📌 骨造成(GBR・ブロック骨移植)に伴うリスク
- 13.2. 📌 インプラントと骨の結合に関するリスク
- 13.3. 📌 前歯部特有の審美的リスク
- 13.4. 📌 自家骨採取部(下顎臼歯部)のリスク
- 13.5. 📌 長期的なリスク
- 13.6. 🩺 補足説明
- 14. 自然で美しい前歯を取り戻すために:当院のインプラント治療へのこだわり🏥
- 15. 【動画】奥歯を抜歯したまま放置すると?
- 16. 筆者・院長

前歯は、噛む機能だけでなく、笑ったときの印象や発音にも大きく関わる、とても重要な部位です。そのため前歯を失った場合、見た目の自然さと機能性を両立した治療が求められます。
今回ご紹介する症例は、骨の幅が足りず、そのままではインプラントを入れられなかったケースです。自家骨移植や人工骨を用いた骨造成(GBR)を行い、しっかりとした土台をつくったうえで、最終的に周囲の歯と調和した自然な前歯の形態を再現することができました。
インプラント治療の全工程を、実際の写真をもとにわかりやすく解説します。前歯のインプラントをご検討中の方や治療内容を詳しく知りたい方にとって、実際のプロセスがイメージしやすい内容になっています。
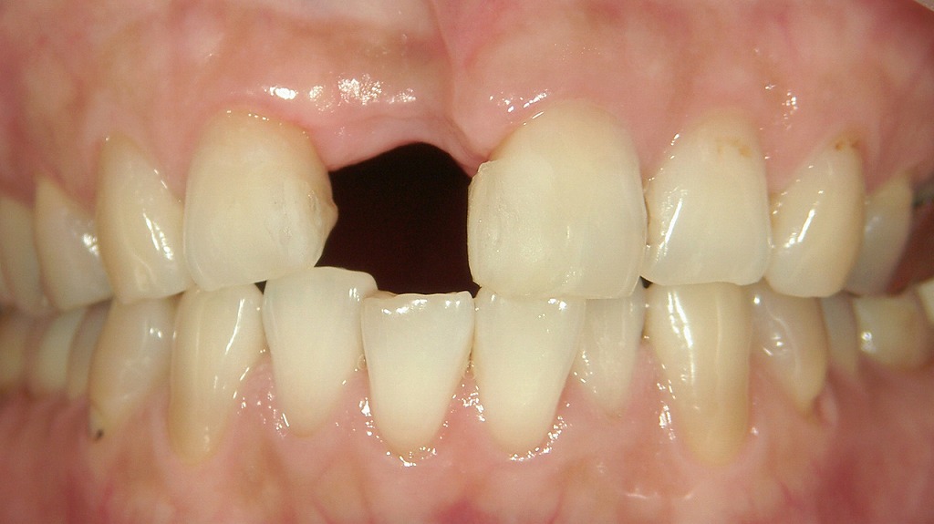
■ 右上前歯の欠損:インプラント治療を検討するべき状態
画像は上顎前歯部を正面から撮影した口腔内写真で、右上顎中切歯(1番)が欠損している状態です。

■ インプラント治療を計画する際のポイント
- 骨量の確認が必須
前歯部インプラントは審美性の要求が高いため、CTによる骨量(特に唇側骨)の精査が重要です。
必要に応じてGBR(骨造成)を併用するケースもあります。 - 歯肉形態の調整が重要
歯肉ラインを左右差なく整えるため、結合組織移植や歯肉ボリュームの調整を行うこともあります。 - 隣接歯とのバランスを精密に管理
特に中切歯は対称性が求められ、インプラントポジション・アバットメント形態・最終補綴物のシェード選定が仕上がりに大きく影響します。 - 補綴前のスペース調整
歯列の軽度の叢生や傾斜がある場合、インプラント位置確保のため軽度の矯正治療を併用することも検討されます。
■ 右上前歯部の骨幅不足:インプラント前に骨造成が必要な状態
この咬合面観の写真は、右上顎1番の欠損部を上から観察した状態です。欠損部の歯槽堤は中央がくびれた形態となり、頬側から舌側(頬舌方向)の骨幅が明らかに不足している所見が確認できます。

赤い矢印の方向に示されるように、歯槽堤の厚みが非常に薄く、インプラント体(通常直径4.0mm前後)の安全な埋入に必要な骨幅(約6〜7mm)が確保できていない状態です。このままインプラントを埋入すると、頬側骨が破裂したり、インプラントスレッドが露出するリスクが高くなります。
さらに、歯槽堤の形態は突出感が少なく、**薄い歯肉形態(Thin biotype)**が疑われ、審美領域でのインプラント治療では歯肉退縮の懸念もあります。
■ 治療上のポイント
- 骨幅不足 → GBR(骨造成)が必須
インプラント直径を許容するためには、補填材と膜を用いた水平的GBRが必要になる可能性が高い。 - インプラント埋入ポジション確保が難しい
骨幅が不十分なまま埋入すると、頬側に薄い骨しか残らず、長期予後に問題が生じる。 - 歯肉退縮への配慮が重要
前歯部インプラントでは、審美性を確保するために**結合組織移植(CTG)**で軟組織のボリュームを補うことも検討される。
■ インプラント埋入時:インプラントスレッドの露出
この画像は、右上顎前歯部にインプラントを埋入した直後の口腔内写真です。軟組織を剥離し、歯槽骨が露出した状態でインプラント体が確認できます。

写真中央には埋入されたインプラントが見えており、インプラント体のねじ(スレッド)が一部露出しています。本来、インプラントは骨に完全に包まれる形で埋入されることが理想ですが、今回の症例では頬舌的な骨幅が不足しているため、頬側の骨が十分に覆い切れていない状態です。
このような状況では、埋入後にインプラント体が露出したままだと骨結合が得られにくく、長期予後にも影響を与えるため、GBR(骨再生誘導法)による骨造成が必要になります。
■ 臨床的ポイント
- 頬側骨の不足によりスレッドが露出
→ インプラント体を包み込む骨量が不足しており、骨補填材の添加が必須。 - 審美領域のため、骨・歯肉ボリュームの確保が重要
→ 特に前歯部では、骨の厚みがそのまま歯肉ラインの安定性に関与する。 - GBRとの併用が前提の症例
→ 骨補填材とメンブレン(吸収性/非吸収性)を用いた水平的な骨造成が推奨される。
■ 下顎臼歯部からの自家骨採取:インプラント部位の骨造成のために
この画像は、下顎第7歯(大臼歯)遠心頬側部から自家骨を採取している術中写真です。粘膜骨膜弁を剥離すると、頬側の歯槽骨が露出し、そこからブロック状の自家骨を削り取っている様子が確認できます。

赤い矢印の指す部分には、削り出されている自家骨が見え、骨ノミ、ピエゾサージェリー等の器具で慎重に骨を採取しました。
下顎臼歯部は皮質骨がしっかりしており、インプラント部位のGBR(骨造成)に適した高い強度と質の自家骨が得られるため、前歯部の骨幅不足を補うためのドナーサイトとしてよく選択されます。
■ 臨床的なポイント
- 自家骨は生体適合性が最も高い骨補填材
→ 骨誘導能・骨伝導能・骨形成能の3要素をすべて備える。 - 前歯部インプラントの骨幅不足を補うために採取
→ 頬舌的骨造成(水平的GBR)の予後改善につながる。 - 下顎臼歯部は採取後も形態変化が少なく安定しやすい
→ ただし、下歯槽神経・血管の位置に注意が必要。
■ 自家骨ブロックの固定:インプラント部位の骨幅を再建するために
この画像は、右上前歯部インプラントの骨造成(GBR)において、自家骨ブロックをインプラント周囲へネジ止めして固定している術中写真です。

中央の赤矢印で示された部分では、先ほど下顎7番遠心頬側から採取した自家骨ブロックが、インプラント露出部の頬側に配置され、専用の固定スクリューでしっかりと固定されています。
この手技は「ブロック骨移植(Block Bone Graft)」と呼ばれ、頬舌的に骨幅が大きく不足している症例で行われる高度な骨造成術です。ブロック状の硬い自家骨は、形態保持性に優れ、インプラント周囲に安定した新たな骨の厚みを確保することができます。
インプラント体のスレッド部分(露出していた箇所)が、骨ブロックによって覆われることで、今後の骨再生と審美性の向上が期待できます。
■ 臨床的ポイント
- 自家骨ブロックは骨量不足症例で最も予知性が高い方法の一つ
→ 生体適合性が高く、治癒後の骨結合が安定しやすい。 - 固定ネジで動きを抑えることが成功の鍵
→ 骨ブロックは動揺すると生着しないため、確実な固定が必須。 - インプラントの長期予後と審美性向上に大きく寄与
→ 特に前歯部インプラントでは頬側の骨厚が重要。
■ 人工骨の填入:インプラント部位の骨量を補うGBRステップ
この画像は、右上前歯部インプラントのGBR(骨再生誘導法)の一部で、人工骨を填入した直後の術中写真です。

前段階で、
- インプラント体の頬側に自家骨ブロックをネジ止め
- 周囲の骨欠損部にスペースが確保されている
という状態が整えられています。
その上に、白色顆粒状の**人工骨(骨補填材)**を広範囲にわたって填入しました。人工骨は、ブロック骨の周囲や細かな形態不整の部分を埋めるために使用され、新しい骨の量と形態を安定させる役割を担います。
人工骨には、
- ブロック骨の固定後に生じるすき間の充填
- GBR膜の下でのスペースメイキング
- 将来の審美的な骨厚の確保
などの重要な目的があります。
埋入された人工骨は、後に膜で覆われて保護され、数か月かけて周囲骨との結合・成熟が進みます。
■ 臨床的ポイント
- 自家骨+人工骨のハイブリッドGBR
→ 最も骨量不足症例に予知性の高い組み合わせ。 - 人工骨は形態修正とボリューム維持に有効
→ 自家骨より吸収が少なく、形態保持性が高い。 - 審美領域で必須の“頬側骨厚”を確保
→ 将来のインプラント周囲歯肉ラインの安定に大きく関わる。
■ 骨造成部をメンブレンで覆い、ネジ止めで固定
この画像は、右上前歯部インプラントのGBR(骨再生誘導法)において、骨造成部をメンブレンで覆い、さらにスクリューで固定している段階の術中写真です。

前段階で、
- 露出していたインプラントスレッドを覆うための自家骨ブロックが固定され、
- 周囲に人工骨が填入されている状態
が整えられています。
その骨補填材の上を、白色のメンブレン(非吸収性の膜)で完全に覆い、さらに青色のメンブレン固定用スクリューでしっかりと固定しています。
矢印で示された部分がその固定点です。
メンブレンをネジ止めする目的は以下のとおりです:
- 骨補填材が移動しないように安定したスペースを確保
- 歯肉側からの圧力が加わっても骨造成スペースがつぶれないよう保持
- GBRに必要な“骨の再生環境”を確実に維持する
さらに、メンブレンに見える金属製のT字型フレームは、**スペースメイキングを補助するための専用プレート(プレテンションプレート)**で、骨造成量を確保する役割を果たしています。
■ 臨床的ポイント
- ブロック骨+人工骨+メンブレン固定のフルGBR
→ 大幅な骨幅不足症例で採用される、非常に予知性の高い手法。 - メンブレン固定はGBR成功率に直結
→ 膜が動揺すると骨が再生しないため、ネジ止めは重要。 - 審美領域のインプラントで必要不可欠な頬側骨厚を確保
→ 将来の歯肉退縮やインプラント透けのリスクを減らす。
■ GBR後の創部を縫合した最終ステップ
この画像は、右上前歯部インプラントのGBR(骨再生誘導法)を行った後、粘膜骨膜弁を元の位置に戻して縫合した直後の状態を示しています。

骨造成はすでに完了しており、
- 自家骨ブロックの固定
- 人工骨の填入
- メンブレンのスクリュー固定
といった工程を経たのち、軟組織を丁寧に閉鎖している局面です。
写真では、黒色や白色の縫合糸が確認でき、交合縫合・マットレス縫合など複数の縫合法を組み合わせて、術野が確実に閉鎖されるよう工夫しています。
特にGBR後は、創部の安定性が成功率に直結するため、テンションをかけず、創縁を正確に合わせることが重要です。
また、歯肉がやや腫脹しているものの、血行は保たれ、創縁がしっかり適合しており、良好な治癒が期待できる縫合状態です。
■ 臨床的ポイント
- GBR後の創閉鎖は成功の要
→ 創部が開いてしまうと感染や骨造成の失敗につながるため、最も慎重な工程のひとつ。 - 複数の縫合法を併用
→ 創縁の密着と組織の安定性を高める。 - 無張力閉鎖(Tension-free closure)が最重要
→ 血流を保ち、メンブレン露出などの合併症を防ぐ。
■ インプラント二次オペ:骨造成固定ネジの除去
この画像は、右上前歯部のインプラント治療における二次手術(セカンドオペレーション)時の術中写真です。一次オペで行われた骨造成(GBR)が十分に治癒した後、インプラント体へのアクセスを確保し、骨造成時に使用した固定ネジを除去している段階を示しています。

画像中央からやや上部には、**自家骨ブロックやメンブレンを固定していたネジ(スクリュー)**の頭部が確認できます。二次オペでは、これらのスクリューを確実に撤去し、インプラント周囲の骨がどれだけ再生しているかを直接確認します。
下方には、インプラント体のトップ(カバースクリュー部)が露出しており、今後ヒーリングアバットメントを装着する準備段階です。
骨面は滑らかで、十分な骨量が確保されていることから、前歯部インプラントに必要な頬側骨の厚みが良好に再生していることが伺えます。
■ 臨床的ポイント
- 固定ネジ除去はGBRの成功を確認する重要なステップ
→ ネジ周囲に十分な新生骨が形成され、インプラント周囲の骨量が安定しているかを評価する。 - インプラント体が適切に骨に覆われていることを確認
→ 露出していたスレッドが骨で覆われ、長期的な予後に有利。 - この後、ヒーリングアバットメント装着へ移行
→ 歯肉形態の付与を進め、最終補綴に向けた準備。
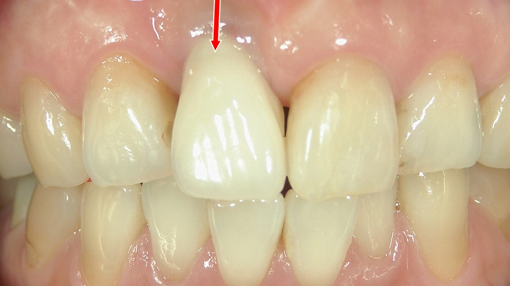
■ インプラント最終補綴の装着:自然な前歯の形態と色調を再現
この画像は、右上顎1番のインプラントに最終上部構造(セラミッククラウン)を装着した後の正面観です。赤い矢印が示す中央の前歯がインプラント補綴物です。

インプラント治療前は、
- 骨幅の不足
- スレッド露出
- 大規模なGBR(自家骨+人工骨+メンブレン)
を必要とした症例ですが、最終補綴物が装着される段階では、隣在歯と調和した自然な形態・歯肉ラインが再現されています。
画像からは以下の特徴が確認できます:
- 左右対称性のある形態
隣の天然歯と比べても、歯冠の大きさ・縦横比が自然に整えられている。 - 歯肉の安定
GBRによって確保された頬側骨が歯肉の支えとなり、退縮が見られず良好な歯肉ライン。 - セラミックの透過性・色調が天然歯に近い
全体的に調和したシェードで、違和感の少ない審美性が確保されている。 - 噛み合わせも適正に調整
咬合面からみても前歯のガイドに無理がなく、機能性も確保されていると考えられる。
審美領域のインプラント症例として、骨造成~最終補綴までの治癒・設計が良好に進んだ結果が反映された仕上がりとなっている。
■ インプラント埋入時のデンタルX線写真
このX線画像は、右上顎1番部にインプラントを埋入した直後のデンタルX線写真です。中央の白く太い構造がインプラント体で、スレッド(ネジ形状)まで明瞭に確認できます。

左右には、自家骨ブロックやメンブレンを固定する際に使用されたGBR固定用スクリュー(4本)が描出されています。前歯部インプラントでは頬側骨が不足することが多く、この症例でも大規模な水平的骨造成が行われたことがX線から読み取れます。
■ 画像から読み取れるポイント
1. インプラントの適切な垂直位置・角度
インプラント軸は周囲歯の長軸と調和しており、審美領域に求められる自然な補綴位置を実現するために良好な方向に埋入されています。
2. 固定スクリュー(ボーンスクリュー)の位置
左右のスクリューは、
- 自家骨ブロックの固定
- メンブレンの安定化
のいずれかに使用されており、これにより骨造成スペースを確実に保持しています。
3. 根尖部までの安全性
インプラント先端が鼻腔底や切歯管に接近しすぎておらず、解剖学的に安全な範囲内で埋入されていることが確認できます。
■ 臨床的まとめ
- 前歯部の骨量不足に対し、インプラント+大規模GBRを組み合わせた高難度症例である。
- 術直後のX線として、インプラント体の位置・角度・周囲固定物が適正であり、成功につながる理想的な初期状態を示している。
- この後の治癒によって、スクリュー周囲の骨再生がどれだけ進むかを評価し、二次オペへと移行していく。
■ インプラント最終上部構造装着後のレントゲン
このX線画像は、右上顎1番のインプラントに最終上部構造(セラミッククラウン)が装着された後の状態を示しています。

中央に見える白く明瞭な構造がインプラント体で、その上部に高いX線不透過性(白く写る)を示す**最終補綴物(クラウン)**が確認できます。
■ 画像から読み取れるポイント
1. インプラント周囲骨の良好な成熟
インプラント体の周囲には骨が均一に存在し、
骨吸収はほとんど認められません。
特に前歯部に重要な頬側骨が、治療計画どおり再生されていることが推察できます。
2. インプラントの安定したポジション
インプラントの長軸は隣在歯の軸と調和しており、
上部構造の審美性・機能性に適した位置に維持されています。
3. 上部構造の適切な適合
クラウンのフィニッシュライン周囲に異常なギャップやセメントの過剰残留は認められず、
補綴物の適合も良好と判断できます。
4. 隣在歯との調和
左右の天然歯の歯根膜腔、根尖状態にも異常所見はなく、
インプラントが周囲組織に影響を与えていない安定した状態が確認できます。
■ 臨床的まとめ
- GBRを伴う難症例であったが、
インプラント周囲骨の成熟・審美性・機能性が良好に獲得できている完成形レントゲンである。 - 上部構造装着後のレントゲン所見として、
長期的経過観察へ移行できる安定した状態が示されている。
⚠️ この治療における主なリスクについて
本症例は、右上前歯部の骨幅不足および薄い歯肉形態を伴う、難易度の高いインプラント治療に該当します。そのため、以下のようなリスクが考えられます。
📌 骨造成(GBR・ブロック骨移植)に伴うリスク
- 移植した自家骨や人工骨が十分に生着しない可能性
- 治癒途中でメンブレンが露出し、予定より早期に除去が必要となる可能性
- 骨造成量が想定より不足し、追加処置が必要となる可能性
特に前歯部は血流や軟組織の影響を受けやすく、骨造成の治癒には個人差があります。
📌 インプラントと骨の結合に関するリスク
- インプラントと骨が十分に結合しない(オッセオインテグレーション不全)
- 骨幅不足症例では、初期固定が得られにくい場合がある
このため、治癒期間中は過度な咬合負荷を避ける管理が重要となります。
📌 前歯部特有の審美的リスク
- 歯肉退縮により、歯肉ラインの左右差が生じる可能性
- 将来的にインプラントや金属色が透けて見える可能性
- 隣在歯との色調・形態のわずかな違いが目立つ可能性
前歯部は非常に審美要求が高く、完全な左右対称を保証するものではありません。
📌 自家骨採取部(下顎臼歯部)のリスク
- 術後の腫れ・痛み・内出血
- 一時的な知覚異常(しびれ感)が生じる可能性
- 採取部位の治癒に時間を要する場合がある
※下歯槽神経や血管の位置には十分配慮して手術を行いますが、リスクがゼロになるわけではありません。
📌 長期的なリスク
- 清掃不良や喫煙、強い咬合力によりインプラント周囲炎を起こす可能性
- 定期的なメインテナンスを行わない場合、長期予後が悪化する可能性
インプラントは入れて終わりの治療ではなく、継続的な管理が不可欠です。
🩺 補足説明
これらのリスクを十分に理解したうえで、事前の精密検査・治療計画立案・術後管理を徹底することで、リスクを最小限に抑えることが可能です。
当院では、治療内容や考えられるリスクについて丁寧にご説明し、患者さんと相談しながら治療を進めていきます。
自然で美しい前歯を取り戻すために:当院のインプラント治療へのこだわり🏥

前歯のインプラントは、見た目の美しさと機能性の両立が欠かせる特に難易度の高い治療です。当院では、骨の幅が足りないケースでも自家骨移植やGBR(骨造成)を組み合わせ、長期的に安定する「美しい前歯」を再現します。
実際の症例写真を通して、治療の流れ・工夫・結果をご覧いただき、インプラント治療の不安や疑問を解消していただければ幸いです。
【動画】奥歯を抜歯したまま放置すると?
筆者・院長

深沢 一
Hajime FUKASAWA
- 登山
- ヨガ
メッセージ
日々進化する歯科医療に対応するため、毎月必ず各種セミナーへの受講を心がけております。
私達は、日々刻々と進歩する医学を、より良い形で患者様に御提供したいと考え、「各種 歯科学会」に所属すると共に、定期的に「院内勉強会」を行う等、常に現状に甘んずる事のないよう精進致しております。 又、医療で一番大切な事は、”心のある診療”と考え、スタッフと共に「患者様の立場に立った診療」を、心がけております。


