- 1. 上顎側切歯の矮小歯による空隙歯列の症例
- 1.1. 正面観:歯が小さい症例
- 1.2. 🔍 解説
- 1.2.1. ■ 上顎側切歯(2番)が小さい(矮小歯)
- 1.2.2. ■ 隙間(空隙歯列)
- 1.2.3. ■ 審美的・機能的影響
- 1.2.4. ■ 主な治療法
- 1.3. 右側面観:歯が小さい症例
- 1.4. 🔍 解説
- 1.4.1. ■ 隣接歯との関係
- 1.5. 左側面観:歯が小さい症例
- 1.6. 🔍 解説
- 1.6.1. ■ 隣接歯との位置関係
- 2. 江戸川区篠崎で歯が小さい・隙間が気になる方へ🦷
- 3. 【動画】ホワイトスポットをアイコンで治す
- 4. 【動画】初期虫歯COを削らずに自分で治す方法
- 5. 筆者・院長

鏡を見たときに「前歯の形が小さい」「左右のバランスが違う」「すきっ歯のように見える」と感じたことはありませんか?
その原因のひとつとして考えられるのが、**上顎側切歯(2番)の矮小歯(わいしょうし)**です。
矮小歯は、歯の形が生まれつき小さく形成されるもので、見た目の印象だけでなく、歯並びやかみ合わせにも影響することがあります。
この記事では、実際の症例写真をもとに「どのように見えるのか」「なぜ起こるのか」「どんな治療で改善できるのか」をわかりやすく解説します。
上顎側切歯の矮小歯による空隙歯列の症例
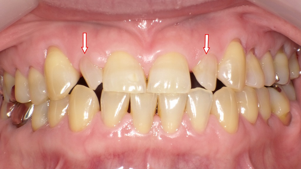
正面観:歯が小さい症例
この画像は、歯列を正面から撮影した口腔内写真です。赤い矢印で示されているのは、上顎側切歯(2番)の部分です。

🔍 解説
■ 上顎側切歯(2番)が小さい(矮小歯)
左右の上顎2番(矢印部分)は、通常よりも小さく形成されています。
このような歯を**矮小歯(わいしょうし)**と呼びます。
形が円錐状または細長くなることが多く、先端が尖って見えるのが特徴です。
■ 隙間(空隙歯列)
2番が小さいため、その隣の前歯(中切歯:1番)や犬歯(3番)との間に**隙間(空隙)**が生じています。
これは歯の大きさと顎の幅のバランスが取れていないために起こります。
■ 審美的・機能的影響
- 見た目のバランスが崩れやすく、前歯の間が空いて見える。
- 歯列全体のかみ合わせや発音にもわずかに影響する場合がある。
- プラーク(歯垢)がたまりやすく、虫歯や歯肉炎のリスクが上がることも。
■ 主な治療法
このようなケースでは、目的に応じて以下のような治療が検討されます。
| 治療法 | 内容 | メリット |
|---|---|---|
| コンポジットレジン修復 | 樹脂で小さい歯を自然な形に整える | 費用が比較的安い・短時間で可能 |
| セラミックベニア(ラミネートベニア) | セラミックの薄い板で形や色を整える | より自然で美しい仕上がり |
| 矯正治療 | 隙間を閉じる・歯並び全体を整える | 噛み合わせの改善も可能 |
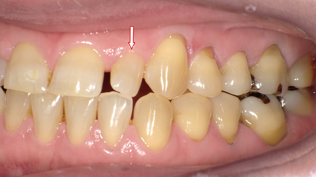
右側面観:歯が小さい症例
この画像は、同症例を右側方から撮影した口腔内写真です。赤い矢印で示されているのは、上顎右側側切歯(2番)の位置です。

🔍 解説
■ 隣接歯との関係
小さな2番のため、
- 犬歯(3番)との間に**隙間(空隙)**が生じている
- 側切歯(2番)が著しく前方に傾斜している
といった歯列のアンバランスが生じています。
このような空隙は、歯並び全体のバランスや噛み合わせにも影響することがあります。
左側面観:歯が小さい症例
この画像は、同症例を左側方から撮影した口腔内写真です。赤い矢印で示されている歯は、上顎左側側切歯(2番)です。

🔍 解説
■ 隣接歯との位置関係
小さい側切歯のために、
- 中切歯(1番)との間に**隙間(空隙)**がある
- 犬歯(3番)との間に三角形状の空隙がある
といった歯列上のアンバランスが生じています。
この隙間は審美的な印象に影響するだけでなく、歯列の調和やかみ合わせにも関係します。
江戸川区篠崎で歯が小さい・隙間が気になる方へ🦷

前歯の大きさや隙間は、見た目だけでなく歯並びや噛み合わせにも関係しています。
江戸川区篠崎駅前の当歯科クリニックでは、矮小歯(わいしょうし)やすきっ歯などの審美的なお悩みにも対応し、自然で美しい口元づくりをサポートしています。
「歯の形が小さい」「前歯のバランスが気になる」など、気になることがありましたらお気軽にご相談ください。
【動画】ホワイトスポットをアイコンで治す
【動画】初期虫歯COを削らずに自分で治す方法
筆者・院長

深沢 一
Hajime FUKASAWA
- 登山
- ヨガ
メッセージ
日々進化する歯科医療に対応するため、毎月必ず各種セミナーへの受講を心がけております。
私達は、日々刻々と進歩する医学を、より良い形で患者様に御提供したいと考え、「各種 歯科学会」に所属すると共に、定期的に「院内勉強会」を行う等、常に現状に甘んずる事のないよう精進致しております。 又、医療で一番大切な事は、”心のある診療”と考え、スタッフと共に「患者様の立場に立った診療」を、心がけております。


