- 1. ダイレクトボンディングとは?🦷
- 1.1. 治療の基本的な仕組み
- 1.2. 詰め物・被せ物との違い
- 1.3. 適応症例
- 2. ダイレクトボンディングのメリット✨
- 2.1. 歯を削る量が少ない
- 2.2. 自然な仕上がり
- 2.3. 短期間・即日で完了
- 3. ダイレクトボンディングのデメリット⚠️
- 3.1. 耐久性の課題
- 3.2. 着色や変色
- 3.3. 大きな欠損には不向き
- 4. ダイレクトボンディングの費用と保険適用💰
- 4.1. 自由診療と保険診療の違い
- 4.2. 一般的な費用相場
- 4.3. 費用を抑えるポイント
- 5. 他の治療法との比較🔍
- 5.1. セラミック治療との違い
- 5.2. 矯正治療との違い
- 5.3. ラミネートベニアとの違い
- 6. 前歯の変色から審美回復へ――ラミネートべニアとセラミックによる前歯部包括治療
- 6.1. 【症例解説】
- 7. 治療の流れ📝
- 7.1. カウンセリング・診断
- 7.2. 施術の手順
- 7.3. 治療後の注意点
- 8. まとめ|自然な笑顔を取り戻す治療法😊
- 9. 江戸川区篠崎でダイレクトボンディングを検討する方へ🏥
- 10. 【動画】ホワイトスポットをアイコンで治す
- 11. 【動画】初期虫歯COを削らずに自分で治す方法
- 12. 筆者・院長

「すきっ歯が気になる」「歯の欠けを自然に直したい」そんなお悩みに答える治療法が ダイレクトボンディング です。歯をほとんど削らず、見た目も自然に仕上がるため、短期間で笑顔を取り戻せると注目されています。
本記事では、ダイレクトボンディングのメリット・デメリット、費用や症例、治療の流れまで詳しく解説します。江戸川区篠崎で治療を検討されている方もぜひ参考にしてください。
ダイレクトボンディングとは?🦷
治療の基本的な仕組み
ダイレクトボンディングは、レジン(高品質の樹脂素材) を歯に直接盛り付けて形を整える治療法です。
即日で完成できるケースが多く、審美性とスピードを兼ね備えています。

詰め物・被せ物との違い
従来のセラミックや被せ物治療に比べ、歯を削る量が最小限 で済むのが特徴です。
適応症例
- すきっ歯の改善
- 歯の欠けの修復
- 軽度の変色の改善
ダイレクトボンディングのメリット✨
歯を削る量が少ない
天然の歯をできる限り温存できるため、身体に優しい治療 です。
自然な仕上がり
透明感のあるレジンを使用するため、見た目が自然 で周囲の歯と調和します。
短期間・即日で完了
多くのケースで 1回の通院で治療が完了 するため、忙しい方にも人気です。
ダイレクトボンディングのデメリット⚠️
耐久性の課題
セラミックに比べると 強度が劣る ため、長期的には劣化や破損のリスクがあります。
着色や変色
レジンはコーヒーやワインなどの飲食で 色がつきやすい ことがあります。
大きな欠損には不向き
歯の大部分を失った症例には、セラミックやクラウンの方が適しています。
ダイレクトボンディングの費用と保険適用💰
自由診療と保険診療の違い
保険診療では基本的に虫歯などの疾患があるケース にしか適用されません。(審美的な改善目的には適用不可)
より審美性を重視する治療は自由診療となります。
一般的な費用相場
- 1歯あたり 2〜5万円程度 が目安です(自由診療)。
費用を抑えるポイント
治療前に 見積もりを提示してくれる歯科医院 を選ぶと安心です。
他の治療法との比較🔍
セラミック治療との違い
- セラミック:高耐久・変色しにくいが高額
- ダイレクトボンディング:即日完了・安価だが耐久性は劣る
矯正治療との違い
すきっ歯改善には矯正も有効ですが、短期的に改善したい場合はダイレクトボンディング が有利です。
ラミネートベニアとの違い
ラミネートベニアは歯の表面を削る必要がありますが、ボンディングは ほぼ削らずに治療可能 です。
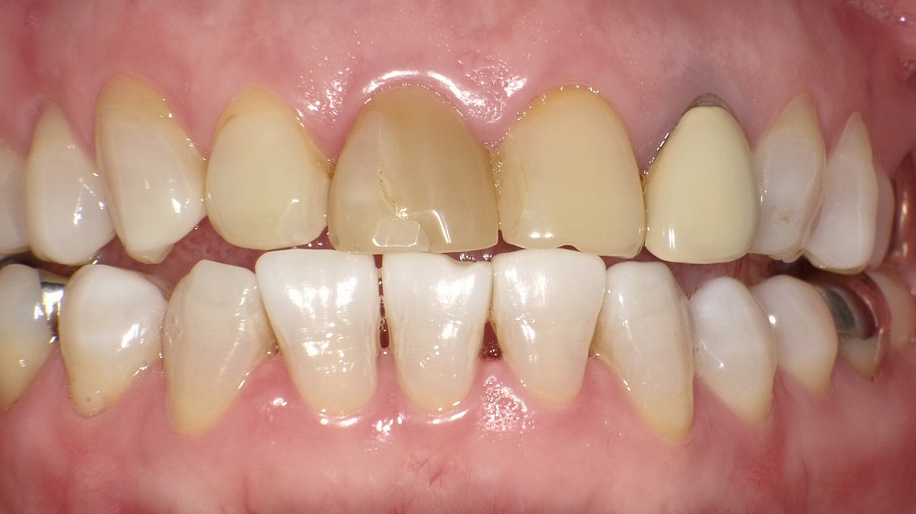
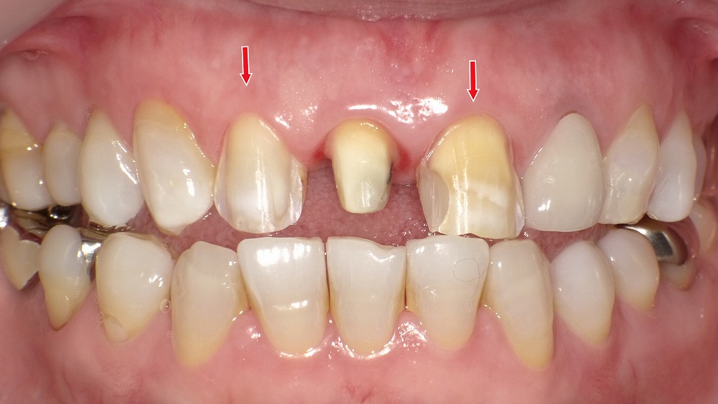
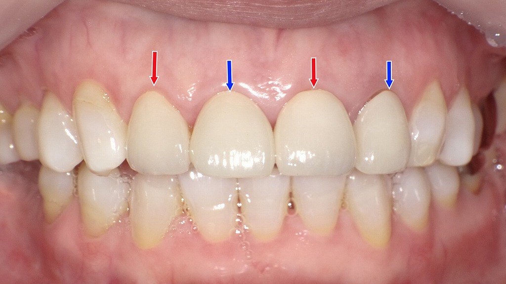
前歯の変色から審美回復へ――ラミネートべニアとセラミックによる前歯部包括治療



【症例解説】
今回の症例では、外傷や失活により前歯部に 変色・欠損・色調不調和 が生じていました。特に上顎前歯では、歯髄壊死による暗褐色変色や、旧補綴物による色の不一致が顕著で、審美性・機能性の両面で改善が必要な状態でした。
治療計画では、それぞれの歯の状態に応じて 最適な修復方法を選択 しました。
- 右上2番・左上1番:ラミネートべニア
最小限の削合で、表面の色や形態を自然に整える目的で選択。 - 右上1番:ファイバーコア築造後、セラミッククラウンで補綴処置
失活歯の強度を補うため、根管治療後にファイバーコアで土台を強化。 - 左上2番:セラミッククラウン
大きな変色や構造的問題があるため、全体的な形態回復と色調改善を目的にクラウンを選択。
最終補綴物装着後は、4本の前歯が 色調・透明感・形態ともに自然に調和 し、スマイルライン全体の審美性が大きく向上しました。
機能面においても咬合の安定が得られ、長期的な予後が期待できる仕上がりです。
治療の流れ📝
カウンセリング・診断
歯の状態を確認し、治療計画を立てます。
施術の手順
レジンを積層し、光で硬化させて形を整えます。
治療後の注意点
- 定期的なメンテナンス
- 着色しやすい飲食を控える
まとめ|自然な笑顔を取り戻す治療法😊
- ダイレクトボンディングは ほぼ削らずに自然な仕上がり を得られる治療法
- メリット・デメリットを理解して選ぶことが大切
- 江戸川区篠崎で治療を検討するなら、地域に根ざした歯科医院での相談 が安心です
江戸川区篠崎でダイレクトボンディングを検討する方へ🏥

すきっ歯や欠けた歯でお悩みの方へ。ダイレクトボンディングなら、歯をほとんど削らず自然な仕上がりが可能です。短期間で笑顔に自信を取り戻しましょう!
江戸川区篠崎でダイレクトボンディングをお探しなら、当歯科クリニックへ。地域密着の歯科医院として、一人ひとりに合った治療をご提案します。
【動画】ホワイトスポットをアイコンで治す
【動画】初期虫歯COを削らずに自分で治す方法
筆者・院長

深沢 一
Hajime FUKASAWA
- 登山
- ヨガ
メッセージ
日々進化する歯科医療に対応するため、毎月必ず各種セミナーへの受講を心がけております。
私達は、日々刻々と進歩する医学を、より良い形で患者様に御提供したいと考え、「各種 歯科学会」に所属すると共に、定期的に「院内勉強会」を行う等、常に現状に甘んずる事のないよう精進致しております。 又、医療で一番大切な事は、”心のある診療”と考え、スタッフと共に「患者様の立場に立った診療」を、心がけております。


