- 1. 虫歯が黒いのは危険?原因と治療法を徹底解説🦷
- 1.1. 虫歯が黒く見えるのはなぜ?🤔
- 1.1.1. 黒いシミの正体
- 1.1.2. 進行した虫歯による黒変
- 1.2. 黒い=必ず虫歯?見分け方🔍
- 1.2.1. 虫歯とステインの違い
- 1.2.2. 要注意の黒いサイン
- 1.3. 黒い虫歯を放置するとどうなる?⚡
- 1.3.1. 虫歯が進行するリスク
- 1.3.1.1. 進行した虫歯の典型例
- 1.3.2. 口臭や見た目の悪化
- 1.4. 黒い虫歯の治療法🛠️
- 1.4.1. 初期段階(軽度の場合)
- 1.4.2. 中等度~重度の場合
- 1.5. 歯が黒くならないための予防法✨
- 1.5.1. 毎日のセルフケア
- 1.5.2. 歯科医院でできる予防
- 2. まとめ📌
- 3. 📍 江戸川区篠崎で「歯が黒い=虫歯?」と不安なあなたへ
- 4. 【動画】初期虫歯COを削らずに自分で治す方法
- 5. 筆者・院長

「歯が黒くなってる…これって虫歯?」「放置して大丈夫?」と不安に思う方は少なくありません。実は、歯が黒く見える原因にはいくつかのパターンがあり、必ずしも虫歯とは限りません。しかし、自己判断で放置すると虫歯が進行してしまうこともあります。
この記事では、黒い虫歯の原因や見分け方、治療法、予防のポイントをわかりやすく解説します✨
虫歯が黒いのは危険?原因と治療法を徹底解説🦷
虫歯が黒く見えるのはなぜ?🤔

黒いシミの正体
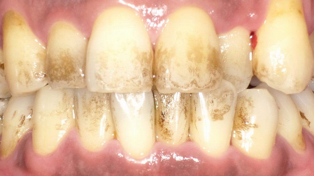
歯が黒く見えるからといって、必ずしも虫歯とは限りません。
- 着色(ステイン):コーヒー☕、紅茶🍵、ワイン🍷、喫煙🚬などの生活習慣で歯の表面に色素が沈着すると、黒っぽく見えることがあります。
- 初期虫歯:歯の表面のエナメル質が溶けて脱灰し、そこに色素が入り込むことで黒っぽく見えることもあります。
進行した虫歯による黒変
虫歯が進むと、エナメル質の下にある象牙質がむし歯菌に侵されて黒く変色します。さらに進行すると、穴があき、見た目にもはっきりと「黒い虫歯」とわかるようになります⚠️。
黒い=必ず虫歯?見分け方🔍


虫歯とステインの違い
- ステイン:表面を磨くと落ちやすい
- 虫歯:色が取れず、奥に広がっていく
また、虫歯の場合は冷たいものや甘いものがしみる症状が出ることもあります。
要注意の黒いサイン
- 黒い点や線が広がっている
- 黒い部分がやわらかい
- 食事中に痛みや違和感がある
これらの症状があれば、虫歯である可能性が高いため、歯科医院での診断が必要です🏥。
黒い虫歯を放置するとどうなる?⚡

虫歯が進行するリスク
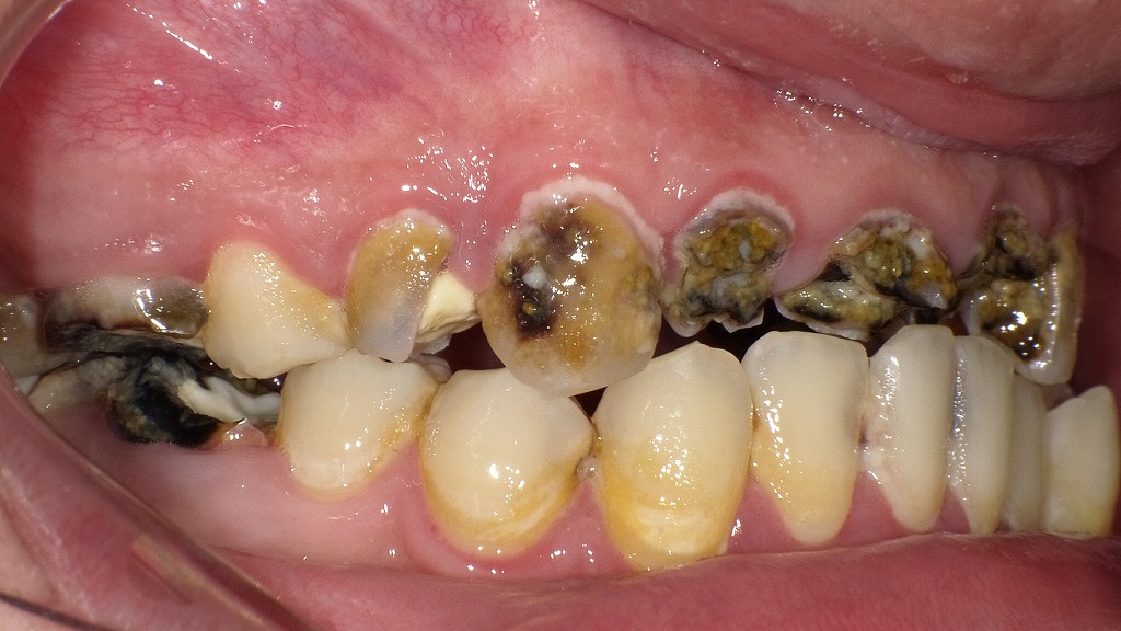
黒い虫歯を放置すると、
- 神経(歯髄)まで達する → 激しい痛み
- 大きな治療が必要 → 詰め物や被せ物になる
- 最悪は抜歯 → 歯を失う可能性
と、どんどん大掛かりな治療につながります。
進行した虫歯の典型例


黒く変色した虫歯は、長期間放置されて進行した状態を示していることが多く、歯の内部(象牙質〜歯髄)まで感染が及んでいる可能性があります。
見た目が黒いからといって「止まっている虫歯」とは限らず、実際には歯が大きく崩壊し、神経が死んでいるケースや抜歯が必要になる段階であることも少なくありません。
痛みがなくても進行していることがあるため、黒い虫歯を見つけたら早めの歯科受診が重要です。
口臭や見た目の悪化
虫歯菌はガスを発生させるため、口臭の原因にもなります😷。さらに、黒い歯は見た目の印象を大きく下げてしまいます。
黒い虫歯の治療法🛠️
初期段階(軽度の場合)
- フッ素塗布で再石灰化を促す
- 小さな充填(レジン)治療で黒い部分を削り、白い樹脂を詰める
中等度~重度の場合
- コンポジットレジン充填:中程度の虫歯に適応
- インレー・クラウン治療:削る範囲が大きい場合に必要
- 根管治療(神経の治療):虫歯が神経に達したケースでは、歯の神経を取り除く処置が必要

上顎中切歯(1・1番)に認められた中等度の虫歯に対し、コンポジットレジン修復を行った症例です。
前歯部では見た目への配慮が特に重要となるため、修復前にシェードガイドを用いて周囲の天然歯の色調を詳細に確認し、自然な色合わせを行っています。
適切なシェード選択により、修復部が目立ちにくく、審美性と機能性の両立を図っています。
早期に治療すれば削る範囲も最小限で済みますが、放置すると治療費や治療時間の負担も増えるため要注意です💸。
歯が黒くならないための予防法✨
毎日のセルフケア
- **正しい歯磨き(バス法)**🪥:歯と歯ぐきの境目に毛先を45度で当てて小刻みに磨く
- デンタルフロス・歯間ブラシ:歯ブラシでは届かない隙間の汚れを除去
歯科医院でできる予防

- 定期検診で虫歯を早期発見🔎
- プロによるクリーニングでステインや歯石を除去
- フッ素塗布・シーラントで虫歯を予防
まとめ📌
- 歯が黒いからといって必ず虫歯とは限らないが、自己判断は危険
- ステインと虫歯は見分けにくいため、放置せず歯科医院での診断が安心
- 早期治療なら最小限の処置で済み、歯を守ることができる
「歯が黒いかも?」と思ったら、迷わず歯科医院を受診しましょう。健康な歯を守るためには、早期発見・早期治療が何より大切です💡。
📍 江戸川区篠崎で「歯が黒い=虫歯?」と不安なあなたへ

「歯に黒い点やシミが出てきて不安…」「この黒い部分は虫歯?それともただの着色?」そんな疑問を抱えている方は多いものです。実際、歯が黒く見える原因はコーヒーや喫煙によるステインの場合もあれば、進行した虫歯のサインであることもあります。見た目だけで判断するのは難しく、放置すると虫歯が進行して神経まで到達し、激しい痛みや抜歯に至るケースもあります。
当院では、歯が黒く見える原因を丁寧に診断し、虫歯であれば早期に最小限の治療で対応し、着色であればクリーニングで自然な白さを取り戻すことが可能です。江戸川区篠崎にある当歯科クリニックでは、最新の設備と経験豊富な歯科医師が、患者さま一人ひとりに合った治療と予防を提供しています。
「歯が黒いかも」と気になった今が、受診のベストタイミング。小さな不安を放置せず、安心できる笑顔を取り戻しましょう😊。
【動画】初期虫歯COを削らずに自分で治す方法
筆者・院長

深沢 一
Hajime FUKASAWA
- 登山
- ヨガ
メッセージ
日々進化する歯科医療に対応するため、毎月必ず各種セミナーへの受講を心がけております。
私達は、日々刻々と進歩する医学を、より良い形で患者様に御提供したいと考え、「各種 歯科学会」に所属すると共に、定期的に「院内勉強会」を行う等、常に現状に甘んずる事のないよう精進致しております。 又、医療で一番大切な事は、”心のある診療”と考え、スタッフと共に「患者様の立場に立った診療」を、心がけております。


