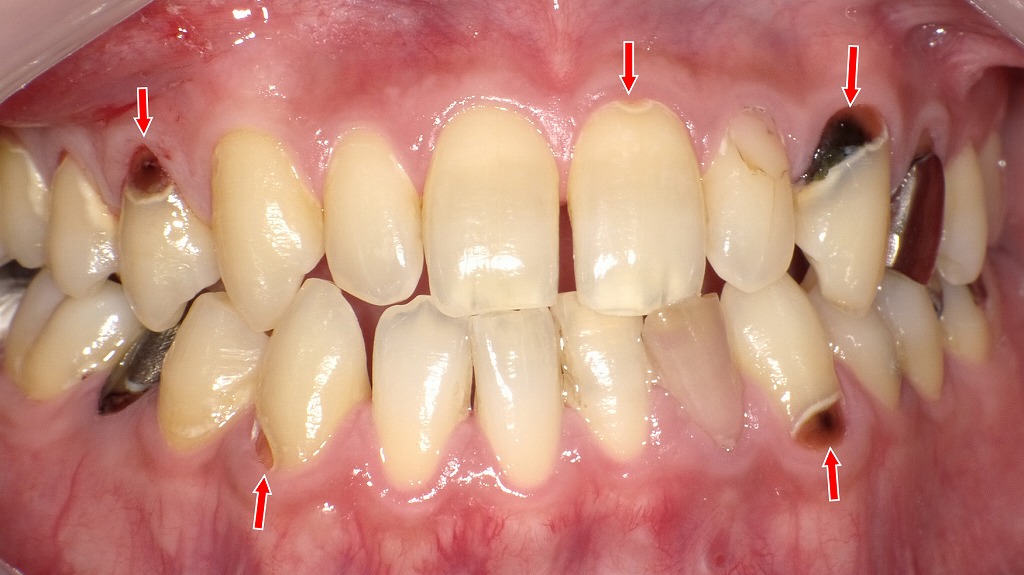
- 1. 歯の根元にできる虫歯がたくさん進んでいるお口の状態について
- 1.1. 前歯から奥歯まで広がる重度の歯頸部う蝕症例
- 2. 歯頸部う蝕の治療法|コンポジットレジン充填で歯の根元を守る
- 2.1. コンポジットレジン充填とは?
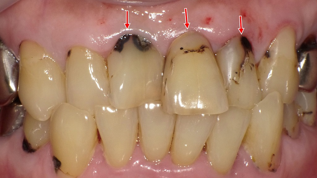
- 2.1.1. 歯頚部う蝕に対するコンポジットレジン修復|治療前後の比較
- 2.2. 治療の流れ
- 2.2.1. ① 虫歯の確認と局所麻酔
- 2.2.2. ② 虫歯の除去
- 2.2.3. ③ 接着処理(ボンディング)
- 2.2.4. ④ コンポジットレジンの充填・光照射
- 2.2.5. ⑤ 研磨・調整
- 2.3. コンポジットレジン充填のメリット
- 2.4. 知っておきたい注意点
- 2.4.1. 経年劣化・着色・境界部分が変色した症例
- 3. 📍江戸川区篠崎で歯頸部う蝕が多発した方へ
- 4. 【動画】初期虫歯COを削らずに自分で治す方法
- 5. 筆者・院長

歯の根元が黒く見える、しみるようになってきた──これらは「歯頸部う蝕」と呼ばれる虫歯のサインです。歯肉が下がって歯の根元が露出すると、通常より弱い象牙質がむしばまれやすく、進行が早いのが特徴です。本記事では、歯頸部う蝕がどのように進むのか、なぜ多発しやすいのか、そして治療法として多く用いられるコンポジットレジン充填について、写真を交えながら分かりやすく解説します。🪥✨
歯の根元にできる虫歯がたくさん進んでいるお口の状態について
前歯から奥歯まで広がる重度の歯頸部う蝕症例



歯頸部う蝕の治療法|コンポジットレジン充填で歯の根元を守る
歯の根元(歯頸部)にできる虫歯は、歯肉が下がって露出した象牙質がむしばまれやすく、進行が早いことが特徴です。放置するとしみる症状や歯の破折につながることもあり、早期治療がとても重要です。本記事では、歯頸部う蝕に対して一般的に行われる コンポジットレジン充填(CR充填) について、治療の流れやメリットをわかりやすく解説します。
コンポジットレジン充填とは?
コンポジットレジンとは、歯と同じような白い樹脂でできたプラスチック材料です。光を当てて固めることで歯に強固に接着します。
歯頚部う蝕に対するコンポジットレジン修復|治療前後の比較


歯と歯ぐきの境目(歯頚部)に発生した虫歯の症例です。治療前には、歯頚部う蝕や既存のコンポジットレジン充填の変色、二次カリエスが認められました。虫歯を除去した後、コンポジットレジン充填により形態と審美性を回復しています。今回治療した部位以外の虫歯についても、順次コンポジットレジン充填を行い、口腔内全体の健康維持を図っていきます。
歯頸部う蝕の治療に最も多く使われる理由:
- 歯を削る量が最小限で済む
- 歯の色に合わせて自然に仕上がる
- その日のうちに治療が完了する
- 接着力が高く、歯根面にも適応可能
- 保険診療で対応できる
特に歯の根元の虫歯は、象牙質がむしばまれるため柔らかく進行しやすいですが、レジンは象牙質に強く接着するため、再発予防にも効果があります。
治療の流れ
① 虫歯の確認と局所麻酔
必要に応じて麻酔を行い、痛みを抑えながら治療を進めます。
表面だけの浅い虫歯の場合、麻酔なしで行えることもあります。
② 虫歯の除去
虫歯に侵された象牙質を慎重に取り除き、健康な歯質を残しながら形成します。
歯頸部は薄く破折リスクがあるため、最小限の切削が原則です。
③ 接着処理(ボンディング)
レジンがしっかりと歯に接着するよう、エッチング・プライマー・ボンドを使用し、
歯面を丁寧に処理します。ここが治療の成功を左右する重要な工程です。
④ コンポジットレジンの充填・光照射
歯の色に合わせたレジンを盛り、専用の光を照射して硬化させます。
形態は元の歯の形を再現しつつ、汚れが付きにくいよう滑らかに整えます。
⑤ 研磨・調整
充填後は咬合を確認し、表面を滑らかに研磨して仕上げます。
研磨を丁寧に行うことで、変色・着色しにくく、長持ちにつながります。
コンポジットレジン充填のメリット
- 見た目が自然で目立たない
- 歯を削る量が少ないため歯に優しい
- その日のうちに治療が完了
- 保険適応で費用が比較的抑えられる
- 歯頸部の象牙質にもしっかり接着し再発しにくい
知っておきたい注意点
- 経年的にわずかに変色することがある
- 強い力が加わると欠ける可能性がある
- 歯磨き圧が強すぎると境目が摩耗しやすい
- 歯肉退縮が進んでいる場合は再治療が必要になることもある
適切な磨き方と定期的なメンテナンスにより、長期的な維持が期待できます。
経年劣化・着色・境界部分が変色した症例

コンポジットレジンは見た目が自然で使いやすい材料ですが、経年変化によって 着色・変色・表面の摩耗・欠け(チッピング) が起こりやすい傾向があります。写真では、修復部の微小な欠け、段差の形成、境界部分の変色が認められ、レジン特有の劣化が進行した状態が確認できます。また、噛む力が強くかかる部位では破折や脱離が起こることもあり、定期的なメンテナンスや再修復が必要になる場合があります。
📍江戸川区篠崎で歯頸部う蝕が多発した方へ

江戸川区篠崎の地域に根ざした当院では、歯頸部う蝕の診断から丁寧なコンポジットレジン充填まで、一人ひとりの歯の状態に応じた精密治療を提供しています。前歯から奥歯まで自然に馴染む仕上がりをご希望の方はお気軽にお越しください。😊🪥。
【動画】初期虫歯COを削らずに自分で治す方法
筆者・院長

深沢 一
Hajime FUKASAWA
- 登山
- ヨガ
メッセージ
日々進化する歯科医療に対応するため、毎月必ず各種セミナーへの受講を心がけております。
私達は、日々刻々と進歩する医学を、より良い形で患者様に御提供したいと考え、「各種 歯科学会」に所属すると共に、定期的に「院内勉強会」を行う等、常に現状に甘んずる事のないよう精進致しております。 又、医療で一番大切な事は、”心のある診療”と考え、スタッフと共に「患者様の立場に立った診療」を、心がけております。


