- 1. 【📹 38秒】もう進行させない!虫歯の進行止め治療とセルフケアのすべて
- 2. 🦷 虫歯の進行は止められる?自然治癒の限界と対策
- 2.1. ✅ 虫歯は自然に治らない?止められるのはC0〜C1まで
- 2.2. ✅ 再石灰化で治せる条件とは?(フッ素・唾液・食生活)
- 2.3. ✅ C2以降は治療が必要!進行段階別の判断ポイント
- 3. 🧪 虫歯が進行するメカニズムと原因
- 3.1. 🔬 虫歯菌・糖分・時間の“3大要因”
- 3.2. 🍬 進行を早める5つの習慣(間食・口呼吸・酸性食品など)
- 3.3. 💡 生活習慣の改善で進行を遅らせる方法
- 4. 🛡 進行段階別の虫歯治療と進行止めの選択肢
- 4.1. 🟢 C0・C1|進行を止めるためのケアと薬(フッ素・サホライド)
- 4.1.1. 🔹 C0(初期虫歯):白く濁っている状態
- 4.1.2. 🔹 C1(エナメル質の虫歯):小さな穴があるが痛みなし
- 4.2. 🟡 C2|最小限の治療で進行をくい止める方法
- 4.2.1. 🔹 C2(象牙質の虫歯):冷たいものがしみる・痛みが出ることも
- 4.3. 🔴 C3・C4|神経治療や抜歯が必要なケースと対処法
- 4.3.1. 🔹 C3(神経まで達した虫歯):ズキズキした痛み・夜も眠れないほど
- 4.3.2. 🔹 C4(歯の根まで崩壊):神経が死んで膿がたまる状態
- 4.3.3. 上顎前歯部欠損に対する抜歯後インプラント治療の流れ
- 4.3.4. 右上1番欠損に対する抜歯後のメタルボンドブリッジ治療
- 5. 🏠 虫歯の進行を止めるセルフケア完全ガイド
- 5.1. 🪥 正しい歯磨きとフロスの使い方
- 5.2. 🧴 フッ素入り歯磨き粉・洗口剤の効果的な使い方
- 5.3. 🍽 虫歯を進行させない食事と間食の工夫
- 5.4. 💧 唾液を増やす方法(食事・水分・マッサージ)
- 6. 🧑⚕️ 歯科でできる虫歯進行止めの治療法
- 6.1. 💉 高濃度フッ素塗布とシーラント
- 6.1.1. 🔹 高濃度フッ素塗布(C0〜C1の初期虫歯に)
- 6.1.2. 🔹 シーラント(6歳臼歯など奥歯の予防に)
- 6.2. 🧪 サホライド・ナノシールのメリットと注意点
- 6.2.1. 🔹 サホライド(フッ化ジアミン銀)
- 6.2.2. 🔹 ナノシール(審美性を重視する方に)
- 7. 👶 子どもの虫歯はなぜ進行が早い?早期対策の重要性
- 7.1. 👶 乳歯の特徴と進行スピードの違い
- 8. 👨 大人の虫歯進行を止めるために意識すべきこと
- 8.1. 🧓 根面う蝕・歯周病と虫歯の関係
- 8.2. 🏥 詰め物・被せ物の選び方と再発リスク
- 8.3. 📅 定期検診とPMTCの重要性
- 9. 🚨 虫歯を進行させるNG習慣とそのリスク
- 9.1. ❌ 市販薬に頼りすぎる・痛みがないから放置
- 9.2. ❌ 間違った歯磨き(ゴシゴシ磨き・頻度過多)
- 9.3. ❌ うがいのしすぎでフッ素効果が台無しに
- 10. 📘 虫歯の進行を止めるには?今すぐできる7つのこと
- 10.1. ✅ フッ素ケアの見直し
- 10.2. ✅ 間食の時間管理
- 10.3. ✅ 正しいブラッシング習慣
- 10.4. ✅ 歯科での早期治療と定期管理
- 10.5. ✅ 唾液の力を活かす生活習慣
- 10.6. ✅ 虫歯リスクが高い人の対策(妊婦・高齢者など)
- 10.7. ✅ 歯を守るライフスタイル改善(睡眠・鼻呼吸など)
- 11. 江戸川区篠崎で虫歯の進行を止めるなら当院へ!
- 12. 【動画】子供の虫歯の見分け方
- 13. 筆者・院長

「虫歯は放っておくと自然に治るのでは?」
「痛みがないから様子見でいいかな…」
そんな風に思っていませんか?
実は、虫歯は放置すると静かに進行し、ある日突然激しい痛みや神経の治療が必要になることもあります。
初期の虫歯(C0~C1)であれば、フッ素や生活習慣の改善で進行を止めることが可能です。
しかしC2以降になると、歯を削る処置や根管治療が必要になるケースも。
この記事では、**虫歯の進行を止めるために「今すぐできる7つの習慣」**をわかりやすく紹介します。
削らずに済ませたい方、これ以上悪化させたくない方は、ぜひ最後まで読んでみてください。
【📹 38秒】もう進行させない!虫歯の進行止め治療とセルフケアのすべて
🦷 虫歯の進行は止められる?自然治癒の限界と対策
「虫歯は自然に治るのでは?」と思っている方も多いかもしれませんが、実は虫歯は放っておくと確実に進行してしまいます。ただし、**ごく初期の段階(C0〜C1)**であれば、進行を止めることが可能です。ここでは、どの段階までなら自然な力で進行を抑えられるのか、そしてどのような対策が必要なのかを解説します。
✅ 虫歯は自然に治らない?止められるのはC0〜C1まで
虫歯は、放置していても元通りに「治る」ことはありません。ただし**C0(表面が白く濁る程度の初期虫歯)や、C1(エナメル質に浅く穴が開いた状態)**であれば、進行を止めることは可能です。
この段階ではまだ神経に達しておらず、痛みもないことが多いため、気づかないうちに進行してしまうことも。早期発見・早期対応が鍵となります。


✅ 再石灰化で治せる条件とは?(フッ素・唾液・食生活)
C0〜C1の虫歯は、再石灰化という自然な修復作用によって、進行を抑えることができます。再石灰化を促すには、以下の条件が必要です。
🦷 フッ素の活用
フッ素入りの歯磨き粉(1000~1450ppm)を使うことで、エナメル質を強化し、再石灰化を促進できます。
💧 唾液の働き
唾液には酸を中和し、ミネラルを歯に補給する力があります。よく噛んで食べる・水分補給・口呼吸を避けることがポイントです。
🍽 糖分のコントロール
間食が多いと口の中が酸性になりやすく、再石灰化が追いつきません。食事の間隔をあけることで、唾液の力が十分に発揮されます。
✅ C2以降は治療が必要!進行段階別の判断ポイント
C2(象牙質まで達した虫歯)になると、再石灰化では治せません。冷たいものがしみたり、痛みが出る場合はすぐに歯科受診が必要です。

以下が進行度と治療の目安です:
| 段階 | 特徴 | 対応方法 |
|---|---|---|
| C0 | 表面が白く濁る | セルフケア+フッ素で様子見 |
| C1 | 小さな穴が開くが痛みなし | フッ素+経過観察/進行止め薬(例:サホライド) |
| C2 | 象牙質まで進行、しみる | 削って詰める治療が必要 |
| C3 | 神経に達する、激しい痛み | 根管治療が必要 |
| C4 | 歯の根まで崩壊 | 抜歯の可能性が高い |
🧪 虫歯が進行するメカニズムと原因
虫歯は、ただ甘いものを食べたからできるわけではありません。虫歯菌・糖分・時間という3つの要因が組み合わさって、徐々に進行していきます。進行を止めるためには、この仕組みを理解することがとても大切です。

🔬 虫歯菌・糖分・時間の“3大要因”
虫歯が進む大きな原因は、以下の3つの要素が重なることです。
1️⃣ 虫歯菌(ミュータンス菌・ラクトバチラス菌など)
口の中の細菌が、食べ物の糖を分解して酸を作り出します。その酸が歯を溶かし、虫歯が始まります。
2️⃣ 糖分(酸の原料)
お菓子・ジュース・パンなどに含まれる糖が、虫歯菌のエサになります。特に「口に残りやすい」ものほどリスクが高いです。
3️⃣ 時間(酸にさらされる時間)
ダラダラ食べていると、歯が長時間酸にさらされ、再石灰化のチャンスが失われてしまいます。
🔍 この3つが同時に存在する時間を減らすことが、虫歯予防の基本です。
🍬 進行を早める5つの習慣(間食・口呼吸・酸性食品など)
虫歯を進行させてしまう生活習慣には、次のようなものがあります。
🚨 1. 間食が多い・ダラダラ食べる
食事のたびに口内が酸性に。常に再石灰化が追いつかない状態になります。
🚨 2. 歯磨きが不十分
特に寝る前の歯磨き不足は危険。就寝中は唾液が減り、虫歯菌が活発になります。
🚨 3. 口呼吸をしている
口の中が乾燥すると、唾液の自浄作用が弱まり、菌が増えやすくなります。
🚨 4. 酸性の飲食物を頻繁に摂る
炭酸飲料・柑橘類・スポーツドリンクは歯の表面を直接溶かすリスクあり。
🚨 5. ストレスや生活リズムの乱れ
ストレスで唾液の量が減ると、虫歯の進行が早くなります。
💡 生活習慣の改善で進行を遅らせる方法
虫歯の進行を防ぐためには、日々の習慣を見直すことが効果的です。
✅ 1. 食事の時間を決める
間食は控え、食後は水やお茶で口をすすぐことで酸性時間を短縮できます。
✅ 2. フッ素入り歯磨き粉を使う
毎日のケアに1450ppmの高濃度フッ素を取り入れましょう。
✅ 3. よく噛んで食べる・唾液を増やす
キシリトールガムや噛みごたえのある食材で唾液を活性化。
✅ 4. 鼻呼吸を意識する
寝ている間の口呼吸は口内乾燥の原因に。必要に応じて口テープも有効です。
✅ 5. 定期的に歯科検診を受ける
3〜6ヶ月に一度のチェックで虫歯の早期発見・早期対処が可能になります。
🛡 進行段階別の虫歯治療と進行止めの選択肢
虫歯の進行度によって、治療の内容は大きく変わります。
「できるだけ削りたくない」「歯を残したい」という希望を叶えるには、段階ごとの適切な処置が必要です。
ここではC0〜C4までの進行度別に、最適な治療や進行止めの方法を紹介します。
🟢 C0・C1|進行を止めるためのケアと薬(フッ素・サホライド)
🔹 C0(初期虫歯):白く濁っている状態
穴は開いておらず、痛みもありません。セルフケアで進行を止められる唯一の段階です。
✅ 対策:
- フッ素濃度1000~1450ppmの歯磨き粉を毎日使用
- デンタルフロスでプラーク除去
- 間食の見直しと唾液の活用
- 定期的な歯科での高濃度フッ素塗布(9000ppm以上)
🔹 C1(エナメル質の虫歯):小さな穴があるが痛みなし
ごく浅い虫歯で、進行は遅め。歯を削らずに経過観察できる場合もあります。

✅ 選択肢:
- サホライド(フッ化ジアミン銀)による進行止め
※前歯など見た目を重視する部位には注意(黒く変色) - 経過観察+フッ素・生活改善の強化
- 虫歯の進行具合によっては、ごく小さく削ってレジン充填
🟡 C2|最小限の治療で進行をくい止める方法
🔹 C2(象牙質の虫歯):冷たいものがしみる・痛みが出ることも


この段階になると自然に止まることはありません。進行はやや早く、神経に近づくリスクがあります。
✅ 治療法:
- コンポジットレジン充填(白い詰め物)
小さい虫歯には最適。歯を削る量が少なく済む。 - インレー(詰め物)
広範囲の場合に適応。銀歯・セラミックなど選択肢がある。 - フッ素塗布+生活習慣の改善を並行して行うと再発予防に◎
📌 この段階での受診が「歯を削る量を最小限にする」最後のチャンスです。
🔴 C3・C4|神経治療や抜歯が必要なケースと対処法
🔹 C3(神経まで達した虫歯):ズキズキした痛み・夜も眠れないほど
神経が炎症や感染を起こしている状態。**根管治療(歯の神経を取る治療)**が必要です。


✅ 根管治療の流れ:
- 神経を取り除く
- 根の中を洗浄・消毒
- 薬を詰めて密封
- 被せ物(クラウン)で補強
🔄 治療期間は数回にわたることもありますが、歯を残すために重要な処置です。
🔹 C4(歯の根まで崩壊):神経が死んで膿がたまる状態
ここまで進むと、抜歯が必要になるケースが多くなります。

✅ 抜歯の判断基準:
- 歯根が割れている(歯根破折)
- 歯ぐきの深部まで虫歯が及んでいる
- 膿がたまり、炎症がひどい
✅ 抜歯後の治療:
- ブリッジ、入れ歯、インプラントなどで歯の機能を補います
📌 歯を失わないためにも、C2のうちに治療するのが理想です。
上顎前歯部欠損に対する抜歯後インプラント治療の流れ


上顎前歯部を抜歯後、欠損部に対してインプラント治療を行った症例です。
前歯部は審美性・発音・咬合に大きく関与するため、抜歯後の骨や歯肉の状態を慎重に評価し、治療計画を立案します。
インプラント埋入時には、最終補綴を見据えた埋入位置・方向・深さを精密にコントロールし、周囲骨および軟組織との調和を重視しました。
隣在歯を削る必要がなく、自然な見た目と機能回復を目指せる点が、前歯部インプラント治療の大きな特長です。
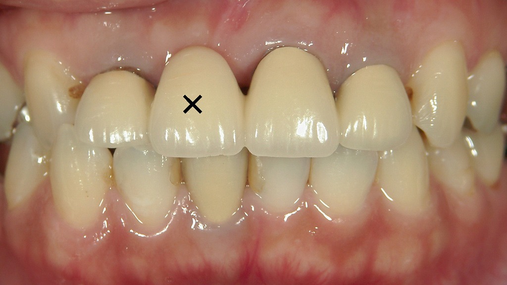
右上1番欠損に対する抜歯後のメタルボンドブリッジ治療

右上2番から左上2番にかけて連結した前歯部ブリッジを装着した症例です。複数歯にまたがる補綴では、見た目の自然さだけでなく、左右のバランスや噛み合わせの調和が重要になります。歯の形態・色調を周囲歯に合わせて設計することで、前歯部でも違和感の少ない審美的な仕上がりを目指しています。
🏠 虫歯の進行を止めるセルフケア完全ガイド
虫歯は、早期発見と適切なセルフケアによって進行を遅らせたり、初期段階なら止めることも可能です。
ここでは、毎日の生活で実践できる具体的なケア方法を、4つのポイントに分けて紹介します。
🪥 正しい歯磨きとフロスの使い方
毎日の歯磨きは虫歯予防の基本。ですが、「正しく磨けているか」がカギです。
✅ 歯磨きのポイント
- 1日2〜3回、特に寝る前の歯磨きは必須!
- 歯ブラシの毛先を歯と歯ぐきの境目にあてて、軽く小刻みに磨く
- 強くゴシゴシせず、鉛筆を持つような力加減で
✅ フロス・歯間ブラシの併用が重要
- 歯ブラシだけでは約60%しか汚れが取れない
- フロスは毎晩、歯と歯の間にやさしく通す
- 歯間ブラシはすき間の大きい部位におすすめ
📌 フロスを使う習慣がある人は、虫歯・歯周病のリスクが40%以上下がるとも言われています。
🧴 フッ素入り歯磨き粉・洗口剤の効果的な使い方
フッ素には歯の再石灰化を促す力があり、初期虫歯の進行を止めるには欠かせません。
✅ フッ素入り歯磨き粉の使い方
- 推奨濃度:中学生以上は1450ppm、6〜12歳は1000ppm、6歳未満は500ppm
- 歯磨き後のうがいは1回だけにして、フッ素を口に残す
- 就寝前の使用が最も効果的
✅ 洗口剤(うがい薬)の活用
- 成分例:フッ素/CPC/クロルヘキシジンなど
- 就寝前に使用すると、細菌の繁殖を抑えられる
- ノンアルコールタイプなら子どもや口が乾きやすい人にも安心
🚫 注意:洗口剤だけでは虫歯予防になりません。必ず歯磨きとセットで使いましょう。
🍽 虫歯を進行させない食事と間食の工夫
糖分の摂り方・時間帯を工夫するだけで、虫歯リスクは大きく減らせます。
✅ 虫歯を進行させやすい食べ物
- 飴・キャラメル・グミなど長時間口に残るもの
- スポーツドリンクやエナジードリンク(酸性+糖分)
- クッキーやパンも唾液で糖に変わるため要注意
✅ おすすめの食べ物
- チーズ・ナッツ・ヨーグルト(カルシウム+唾液促進)
- 生野菜(よく噛む+繊維で汚れを絡め取る)
- お茶・水で口をすっきり
✅ 間食は時間を決めてまとめて摂る
- 「ダラダラ食べ」はNG!
- 食後には水やお茶で軽く口をすすぐと◎
💧 唾液を増やす方法(食事・水分・マッサージ)
唾液には、虫歯菌を洗い流す「自浄作用」や、酸を中和し再石灰化を助ける「修復作用」があります。
✅ 1. よく噛んで唾液を出す
- ガム(キシリトール入り)を活用
- 繊維質の多い食材(ごぼう・れんこんなど)を取り入れる
✅ 2. 水分をしっかり摂る
- こまめな水分補給で口の中の乾燥を防ぐ
- コーヒーやアルコールは利尿作用があるので水とセットで
✅ 3. 唾液腺マッサージを習慣に
- 耳の下(耳下腺)・あごの下(顎下腺)を指でくるくる刺激
- 朝・食後・就寝前など、1日数回行うと効果的
✅ 4. 鼻呼吸を意識する
- 口呼吸は口内乾燥を招き、虫歯が進行しやすくなります
- 寝るときは口テープを使うのも◎
🧑⚕️ 歯科でできる虫歯進行止めの治療法
虫歯の進行を本格的に止めるには、歯科医院での処置が不可欠です。初期段階の虫歯であれば歯を削らずに済む方法もあり、進行度に応じてさまざまな対応が可能です。ここでは代表的な進行止めの治療法をご紹介します。
💉 高濃度フッ素塗布とシーラント
🔹 高濃度フッ素塗布(C0〜C1の初期虫歯に)
歯科医院では、市販の歯磨き粉では得られない9000ppm以上の高濃度フッ素を使用して、エナメル質の再石灰化を促します。
✅ 特徴:
- 虫歯予防・進行抑制に高い効果
- 3〜6ヶ月ごとの定期塗布がおすすめ
- 特に子どもや再発しやすい部位に有効
🔹 シーラント(6歳臼歯など奥歯の予防に)
奥歯の溝は汚れが溜まりやすく、虫歯の温床になりがちです。シーラントはその溝を埋めて、虫歯予防を目的とした処置です。

✅ 特徴:
- 削らずにできる、痛みもほぼゼロ
- 6歳〜12歳ごろの永久歯におすすめ
- 効果は3〜5年持続(剥がれた場合は再処置可能)
📌 シーラントとフッ素塗布を組み合わせると、予防効果がさらにアップします。
🧪 サホライド・ナノシールのメリットと注意点
🔹 サホライド(フッ化ジアミン銀)
虫歯の部分に塗るだけで、進行をストップさせる効果があります。削ることなく虫歯を封じ込められるため、小児や高齢者に多く使われています。

✅ メリット:
- 虫歯を削らずに済む
- 強い殺菌作用+再石灰化作用がある
- 忙しい方・歯科が苦手な方にも最適
⚠️ 注意点:
- 歯が黒く変色するため、前歯などには不向き
- 永久に虫歯が治るわけではなく、一時的な進行抑制
🔹 ナノシール(審美性を重視する方に)
ナノシールは見た目が変色しない進行止め薬。比較的新しい技術で、歯の内部までフッ素を浸透させて再石灰化を促します。
✅ メリット:
- 歯を黒くしない
- フッ素が深部まで浸透し、虫歯の進行を抑える
- 前歯の虫歯にも対応可能
⚠️ 注意点:
- 自費治療になる場合がある
- 対応している歯科医院が限られる
👶 子どもの虫歯はなぜ進行が早い?早期対策の重要性
「子どもの歯はすぐ虫歯になる」と聞いたことはありませんか?
実はその通りで、乳歯は構造的に虫歯が進行しやすく、痛みを感じにくいこともあるため発見が遅れがちです。
だからこそ、早期発見・早期対応がとても大切です。
👶 乳歯の特徴と進行スピードの違い
子どもの虫歯が進行しやすいのは、乳歯が「やわらかくて薄い」からです。
🦷 乳歯のエナメル質・象牙質は永久歯の半分程度の厚さ
→ 虫歯菌がすぐに深くまで進んでしまいます。
🦷 再石灰化する力も弱い
→ 大人の歯より自己修復力が低く、放置するとあっという間にC2、C3へ。
🦷 神経に早く届く=強い痛みが出やすい
→ 虫歯の進行が早い=症状が突然ひどくなるリスク大。
🦷 虫歯のある乳歯は、将来の歯並び・噛み合わせにも影響
→ 永久歯の位置ずれや、噛み合わせ異常を引き起こすこともあります。
👨 大人の虫歯進行を止めるために意識すべきこと
「子どもより大人のほうが虫歯になりにくい」と思われがちですが、実は**大人の虫歯は“気づきにくく”“再発しやすい”**という落とし穴があります。
特に中高年になると、歯ぐきの後退や詰め物の劣化により、虫歯のリスクが高まるため注意が必要です。
🧓 根面う蝕・歯周病と虫歯の関係
年齢とともに歯ぐきが下がると、歯の根元(象牙質)が露出してきます。この部分はエナメル質よりやわらかく、虫歯にとてもなりやすいのが特徴です。

✅ 根面う蝕(こんめんうしょく)とは?
- 歯の根元にできる虫歯
- 見た目は小さくても進行が早く、神経まで達しやすい
- 初期は痛みがないため発見が遅れがち
🦠 歯周病とのダブルリスク
- 歯周病で歯ぐきが下がる → 根面が露出
- 歯周ポケットに汚れがたまりやすくなる
- 唾液の量が減ると、再石灰化の力も低下
📌 歯周病と虫歯は同時に進行しやすく、相乗的に歯の健康を脅かします。
🏥 詰め物・被せ物の選び方と再発リスク
大人の虫歯は「以前治療した部分から再発」することも少なくありません。
その原因の多くは、詰め物や被せ物のすき間に細菌が入り込むことです。
✅ 詰め物の再発リスク
- レジン(プラスチック)は経年で劣化・変色・すき間ができやすい
- セメントの接着が弱まると、再び虫歯菌が侵入
✅ 被せ物の選び方
- 奥歯:強度重視 → 金属やジルコニア
- 前歯:審美性重視 → セラミックやハイブリッド
- 金属アレルギーのある方は、メタルフリーがおすすめ
📌「白い素材=虫歯にならない」ではありません。精密な接着と定期チェックが重要です。
📅 定期検診とPMTCの重要性
大人の虫歯は見えにくく、痛みが出にくいため、自覚症状が出たときにはすでにC2〜C3に進行していることも。

✅ 定期検診(3〜6ヶ月に1回)でできること
- 初期虫歯の早期発見(レントゲン・視診)
- 詰め物・被せ物の劣化やすき間のチェック
- 歯周ポケットの深さや出血の有無を測定
✅ PMTC(プロによるクリーニング)
- 歯ブラシでは落とせない歯石・バイオフィルムを除去
- 虫歯菌や歯周病菌の温床をしっかり掃除
- フッ素塗布で再石灰化をサポート
🦷 二次虫歯や歯周病を防ぐには、セルフケア+プロケアの両立が必須です。
🚨 虫歯を進行させるNG習慣とそのリスク
「ちゃんと歯磨きしてるのに虫歯ができる…」
それ、逆効果の習慣が原因かもしれません。虫歯は予防も大切ですが、知らず知らずのうちに進行させてしまうNG行動にも要注意です。
ここでは特に見落とされやすい3つの習慣と、そのリスクを解説します。
❌ 市販薬に頼りすぎる・痛みがないから放置
🔸「フッ素入りジェルを使ってるから大丈夫」
🔸「痛みがないから、まだ様子見でいいかな…」
こうした油断が、虫歯の重症化を招く原因になります。
✅ NGポイント
- 市販の虫歯進行止め薬はC0~C1限定。C2以上の虫歯には効きません。
- 痛みがない=虫歯が進んでいない、ではありません。神経が死ぬと痛みは消えますが、膿がたまりC4へ進行します。
- 「痛くない=大丈夫」は危険な思い込み!
📌 C1以上の虫歯は歯科での治療が必須。早めの受診が歯を守るカギです。
❌ 間違った歯磨き(ゴシゴシ磨き・頻度過多)
「虫歯予防には“力強く”磨くのが正解!」と思っていませんか?
実はそれ、歯や歯ぐきを傷つける逆効果です。
✅ NGポイント
- ゴシゴシ磨き → エナメル質が削れて知覚過敏や根面う蝕の原因に
- 硬すぎる歯ブラシ → 歯肉退縮を引き起こしやすい
- 頻繁すぎる歯磨き(1日5回以上) → 歯の表面を弱めることも
✅ 正しい磨き方
- 鉛筆を持つように軽い力で、小刻みに
- 歯と歯ぐきの境目を45度で意識
- 1日2~3回、特に寝る前は必ず丁寧に
📌 強く磨くよりも「ていねいに・やさしく」が虫歯予防の基本です。
❌ うがいのしすぎでフッ素効果が台無しに
歯磨き後、「しっかりうがい」していませんか?
その習慣、せっかくのフッ素の効果を流してしまっているかもしれません。
✅ NGポイント
- 何度もうがい → フッ素が歯に残らず、再石灰化効果が弱まる
- 水を大量に含む → フッ素濃度が一気に薄まってしまう
✅ 理想的なうがい法
- 歯磨き粉を吐き出した後、軽く1回だけすすぐ
- 就寝前は「うがいせずにそのまま寝る」のもOK(特にフッ素ジェル後)
📌 フッ素を“残す意識”が、初期虫歯の進行抑制に直結します。
📘 虫歯の進行を止めるには?今すぐできる7つのこと
「虫歯があるけど、削りたくない」「これ以上進行させたくない」
そんな方のために、今日から始められる具体的な対策を7つご紹介します。
どれも習慣にしやすく、効果が高いものばかり。ぜひ取り入れて、虫歯の進行を食い止めましょう!
✅ フッ素ケアの見直し
フッ素は、**虫歯の進行を止めるための“最強の味方”**です。正しい使い方ができているか、いま一度見直しましょう。
- 歯磨き粉のフッ素濃度は**1450ppm(中学生以上)**を選ぶ
- 歯磨き後のうがいは1回だけにして、口にフッ素を残す
- フッ素入り洗口剤やジェルを寝る前に使用すると効果UP
- 歯科医院での**高濃度フッ素塗布(9000ppm)**も定期的に
✅ 間食の時間管理
“何を食べるか”よりも“どう食べるか”が虫歯予防では大切です。
- ダラダラ食べはNG。食べる時間を決めて、間隔を空ける
- 食後はお茶や水で口をすすいで、酸性をリセット
- キシリトール入りガムを噛んで唾液を促すのも◎
- 飴やグミなど、口に長く残るものは避ける
✅ 正しいブラッシング習慣
「毎日磨いている」のに虫歯になる人は、磨き方の見直しが必要です。
- 歯ブラシは1ヶ月に1回交換
- 毛先を歯と歯ぐきの境目に45度であて、小刻みに優しく動かす
- 就寝前の歯磨きは絶対に手を抜かない
- フロスや歯間ブラシを毎晩使う習慣をつける
✅ 歯科での早期治療と定期管理
初期虫歯(C0・C1)は、削らずに進行を止めることができる貴重なタイミング。
「痛くなるまで待つ」のではなく、予防と定期チェックのために通うのが正解です。
- 3~6ヶ月に1回の定期検診で虫歯の早期発見
- 詰め物・被せ物の劣化チェックで再発予防
- **PMTC(プロのクリーニング)**で磨き残し・バイオフィルム除去
✅ 唾液の力を活かす生活習慣
唾液には、虫歯菌を洗い流し、酸を中和し、歯を修復する力があります。
- よく噛む習慣をつける(例:玄米・野菜・ガム)
- キシリトールガムで唾液分泌を促す
- 水をこまめに飲んで、口を乾燥させない
- 口呼吸を改善して鼻呼吸を意識する
- 唾液腺マッサージ(耳下腺・顎下腺)もおすすめ
✅ 虫歯リスクが高い人の対策(妊婦・高齢者など)
🔸 妊婦さん:つわり・ホルモン変化で虫歯リスクが増加
🔸 高齢者:歯ぐきが下がり、根面う蝕が起こりやすい
対策としては…
- 妊婦歯科健診の活用(江戸川区では無料対象あり)
- 高齢者は根元に届く歯ブラシ・フッ素配合歯磨き粉の使用
- 定期検診で早期対処。特に根元・被せ物のすき間のチェックを重点的に
✅ 歯を守るライフスタイル改善(睡眠・鼻呼吸など)
「睡眠・ストレス・呼吸」も、口腔環境に大きく関係しています。
- 睡眠不足は唾液の分泌を減らし、免疫を下げる
- ストレスが多いと食いしばり・唾液低下で虫歯が進行しやすい
- 寝ている間の**口呼吸を防ぐために“口テープ”**も有効
📌 規則正しい生活とストレス対策が、お口の健康を守る土台になります。
江戸川区篠崎で虫歯の進行を止めるなら当院へ!

虫歯は放置すると確実に進行し、最悪の場合は抜歯が必要になります。しかし、早期発見と適切な治療を行えば、進行を食い止めることが可能です!当院では、**フッ素塗布・シーラント・サホライド(進行止め薬)**など、患者さまの症状に合わせた治療を提供しています。
特に**「痛みがないから大丈夫」と思っている方は要注意!** 初期虫歯はセルフケアで進行を遅らせることができますが、C2以上の虫歯は適切な処置が必要です。江戸川区篠崎で虫歯の進行を止める歯科医院をお探しの方は、ぜひ当院へご相談ください!
🦷 初期虫歯の進行を止めたい方へ
🔹 定期検診で虫歯の進行をチェック
🔹 痛みがない軽度の虫歯にも対応
🔹 歯を削らずに進行を防ぐ治療も可能!
江戸川区篠崎で「虫歯の進行を止めたい」と思ったら、ぜひ当院へ!
ご予約・ご相談はお気軽にどうぞ!
【動画】子供の虫歯の見分け方
筆者・院長

深沢 一
Hajime FUKASAWA
- 登山
- ヨガ
メッセージ
日々進化する歯科医療に対応するため、毎月必ず各種セミナーへの受講を心がけております。
私達は、日々刻々と進歩する医学を、より良い形で患者様に御提供したいと考え、「各種 歯科学会」に所属すると共に、定期的に「院内勉強会」を行う等、常に現状に甘んずる事のないよう精進致しております。 又、医療で一番大切な事は、”心のある診療”と考え、スタッフと共に「患者様の立場に立った診療」を、心がけております。


