- 1. 【📹 40秒】削らずに虫歯を止める!サホライドとは?効果とメリットを解説
- 2. 🦷 サホライドとは何か?その基本と役割
- 2.1. 🔬 主成分「フッ化ジアンミン銀(AgF)」の働き
- 2.2. 💡 虫歯進行抑制と知覚過敏の緩和メカニズム
- 2.3. 🌍 日本発・世界で広がるサホライドの歴史
- 2.4. ⚖️ フッ素塗布との違いと併用の可能性
- 3. 🏥 どんなときに使う?サホライドの適応範囲
- 3.1. 👧 小児歯科での有効性(C1〜C2虫歯対応)
- 3.2. 👴 高齢者・寝たきり患者への根面う蝕対策
- 3.3. 😬 知覚過敏の症状を和らげる仕組み
- 3.4. 🧑🦼 治療困難なケース(障がい者・歯科恐怖症)への応用
- 4. 🛠️ 治療の流れと具体的な塗布方法
- 4.1. 📝 診察から塗布までのステップ
- 4.2. ⏱ 塗布頻度と効果の持続期間(1〜6ヶ月)
- 4.3. 🔄 繰り返し塗布の必要性と管理法
- 4.4. 🚫 治療後の注意点(食事・変色など)
- 4.4.1. 🍽 食事制限
- 4.4.2. 🌑 黒変について
- 4.4.3. 👕 薬剤の付着に注意
- 5. ⚠️ サホライドのデメリットと誤解への正しい理解
- 5.1. 🌑 黒く変色する理由と科学的根拠
- 5.1.1. 🧪 黒変のメカニズム
- 5.2. 🎨 変色を目立たせない工夫とレジンによる補修
- 5.2.1. ✔️ 使用を避ける部位
- 5.2.2. 🎨 後から白くする方法
- 5.3. 👕 歯肉・皮膚・衣類に付着したときの対処法
- 5.3.1. 🦷 歯肉に付着した場合
- 5.3.2. 🧴 皮膚に付着した場合
- 5.3.3. 👕 衣服に付いた場合
- 5.4. 🔁 市販フッ素製品との違いと使い分け方
- 5.4.1. 🔄 最適な使い分け方
- 6. 🧪 最新研究と世界的評価
- 6.1. 📊 科学的エビデンスと臨床結果(UCSF・WHO・豪州)
- 6.1.1. 🇺🇸 UCSF(カリフォルニア大学サンフランシスコ校)
- 6.1.2. 🌍 WHO(世界保健機関)
- 6.1.3. 🇦🇺 オーストラリア・ニュージーランド
- 6.2. 🧩 MI治療との組み合わせと今後の可能性
- 6.2.1. ✅ 現在の主なMI治療アプローチ
- 6.2.2. 🔮 今後の展望
- 7. 💡 よくある質問(Q&A)
- 7.1. ❓ 本当に虫歯は削らなくていいの?
- 7.2. ❓ 前歯に使ってもいいの?
- 7.3. ❓ いつまで効果が続くの?
- 7.4. ❓ アレルギーや副作用の心配は?
- 7.5. ❓ 市販のフッ素製品で代用できる?
- 8. 🏁 まとめ|サホライドは“削らず治す”新時代の選択肢
- 8.1. ✅ メリットとデメリットの総整理
- 8.2. ✅ こんな人におすすめ(小児・高齢者・治療困難者)
- 8.3. ✅ 効果的に使うためのポイントと併用戦略
- 8.4. ✅ 歯科医院での相談が第一歩!
- 9. 🦷 江戸川区篠崎で「削らない虫歯治療」をお探しの方へ
- 10. 【動画】子供の虫歯の見分け方
- 11. 筆者・院長

虫歯治療といえば「削る」「痛い」「怖い」というイメージがつきものですが、実は歯を削らずに虫歯の進行を止める治療法があることをご存じですか?
それが【サホライド】という薬剤を使った「削らない虫歯治療」です。
特に小さなお子さんや寝たきりの高齢者、治療に協力が難しい方にとって、短時間・低負担で行える新しい選択肢として注目されています。
ただし、「歯が黒くなるって本当?」「副作用は?」「フッ素と何が違うの?」など、気になる点も多いはず。
本記事では、そんなサホライドについて、効果・適応・デメリット・最新研究まで徹底的に解説します。
「歯を削りたくない」「やさしい治療を選びたい」方は、ぜひ最後までご覧ください。
【📹 40秒】削らずに虫歯を止める!サホライドとは?効果とメリットを解説
🦷 サホライドとは何か?その基本と役割
虫歯を削らずに進行を抑える治療法として注目されているのが「サホライド」です。主に**乳歯や初期虫歯(C0~C2)**に使われるこの薬剤は、歯科治療に不安を抱える子どもや高齢者、障がいのある方にとっても優しい選択肢となります。


🔬 主成分「フッ化ジアンミン銀(AgF)」の働き
サホライドの主成分は**フッ化ジアンミン銀(AgF)**という薬剤です。以下の2つの成分が複合的に作用することで、虫歯を抑制する効果を発揮します。
- 銀イオン(Ag⁺): 強い抗菌作用があり、虫歯の原因菌を抑制します
- フッ化物イオン(F⁻): 歯の再石灰化を促進し、歯質を強化します
この2つが虫歯の進行を止め、象牙質知覚過敏の症状も緩和してくれます。
💡 虫歯進行抑制と知覚過敏の緩和メカニズム
サホライドは、虫歯部分の象牙細管を銀イオンで封鎖することで、冷たい飲み物や甘いものによる刺激を感じにくくします。また、フッ素が歯の再石灰化を助けるため、初期の虫歯であれば削らずに進行を抑えることが可能です。
特に「虫歯を削るのが怖い」「治療に協力できない」お子様には、痛みの少ない虫歯治療として適しています。
🌍 日本発・世界で広がるサホライドの歴史
サホライドは1960年代に日本で開発され、長年にわたって小児歯科を中心に使われてきました。現在ではその有効性が世界的に評価されており、以下のような国々で導入されています。
- 🇺🇸 アメリカ:小児歯科での虫歯管理に使用(FDA承認)
- 🌏 WHO:低所得国での虫歯抑制法として推奨
- 🇦🇺 オーストラリア・NZ:高齢者の虫歯治療で活用
まさに「日本発・世界標準」の虫歯治療法と言えるでしょう。
⚖️ フッ素塗布との違いと併用の可能性
| 比較項目 | サホライド(AgF) | フッ素塗布(NaFなど) |
|---|---|---|
| 主な作用 | 虫歯菌の抑制+再石灰化 | 再石灰化による予防 |
| 対象 | 初期虫歯(C1~C2)、知覚過敏、根面う蝕 | 虫歯予防(健康な歯) |
| 効果の持続 | 数ヶ月持続(再塗布で管理) | 数ヶ月(定期的な塗布が必要) |
| 審美的影響 | 黒く変色する(銀の反応) | 無色透明 |
💡結論:虫歯ができてしまった場合はサホライド、予防にはフッ素塗布。併用することで、より高い予防効果が得られます。
🏥 どんなときに使う?サホライドの適応範囲
サホライドは「歯を削らずに虫歯の進行を止める」画期的な治療薬です。小児に限らず、高齢者や治療が困難な患者にも広く活用されています。以下では代表的な適応ケースをご紹介します。
👧 小児歯科での有効性(C1〜C2虫歯対応)
サホライドは、治療に協力できない小さなお子さんにとって非常に有効です。


- ✅ C1〜C2レベルの虫歯に対応
- ✅ 歯を削らず、塗るだけで進行を止められる
- ✅ 麻酔やドリル不要なので、恐怖心が強いお子さんにも最適
- ✅ 乳歯が自然に抜けるまでの“つなぎ治療”として活躍
特に3歳〜5歳の間は、治療に不安を持つお子さんが多いため、サホライドがあることで虫歯の進行を一時的に抑え、後の本格治療へとつなげることが可能になります。
👴 高齢者・寝たきり患者への根面う蝕対策
高齢になると歯茎が下がり、歯の根元(根面)に虫歯ができやすくなります。サホライドは、以下のような高齢者の虫歯対策に効果的です。


- ✅ **根面う蝕(歯の根元の虫歯)**の進行を抑える
- ✅ 寝たきり・通院困難な方への訪問歯科での使用に最適
- ✅ 数分で塗布できる簡単な処置で、患者の負担が少ない
- ✅ 削る必要がなく、歯の保存が可能
また、高齢者の口腔ケアが不十分な場合でも、定期的なサホライド塗布で虫歯の進行を防ぐことができます。
😬 知覚過敏の症状を和らげる仕組み
サホライドは、虫歯だけでなく象牙質知覚過敏の抑制にも効果があります。
- 🧊 冷たい水や甘いものにしみる症状を軽減
- 🧪 銀イオンが象牙細管を封鎖し、刺激を遮断
- 🛡 フッ素が歯質を再石灰化し、歯の防御力を強化
特に奥歯の知覚過敏や、治療後に一時的にしみる症状がある場合などに、サホライドは簡単で効果的な選択肢となります。
🧑🦼 治療困難なケース(障がい者・歯科恐怖症)への応用
サホライドは「治療に協力できない人」への救済的な手段としても活躍しています。
- ✅ 歯科恐怖症の方:器具や音に強い恐怖を感じる患者に有効
- ✅ 発達障がいのある子ども:暴れてしまうケースでも対応可能
- ✅ 認知症患者:削る治療に抵抗がある場合でも進行を抑制
- ✅ 麻酔リスクがある患者:非侵襲的な処置で安全に使用できる
塗るだけの簡易な処置だからこそ、安全性と利便性の両立が求められる現場で選ばれています。
🛠️ 治療の流れと具体的な塗布方法
「サホライド」は、削らずに虫歯の進行を抑えるため、処置もシンプルで身体への負担が少ないのが特徴です。以下では、診察から塗布後のケアまで、実際の流れをわかりやすく解説します。



📝 診察から塗布までのステップ
- 診察・適応判断
- 虫歯の深さ(C0〜C2)や患者の年齢・全身状態をチェック
- 審美的観点(前歯など)やアレルギー有無も確認
- 歯のクリーニング
- 歯垢・汚れを除去し、薬剤が浸透しやすい状態に整えます
- 乾燥と隔離
- コットンロールやエアーで水分を除去し、塗布部位を乾燥
- サホライド塗布
- 綿棒や小筆で虫歯部分へ塗布し、数秒間そのまま放置
- 余分な薬剤の除去
- コットンやガーゼで軽く拭き取り、必要に応じて光照射
- 保護者・患者への説明
- 黒変の理由、再塗布の必要性、生活上の注意点を案内
➡️ 所要時間は5〜10分程度と短く、特にお子さまや高齢者に負担が少ない処置です。
⏱ 塗布頻度と効果の持続期間(1〜6ヶ月)
サホライドの効果は1回の塗布で数ヶ月持続しますが、状態に応じて定期的な再塗布が必要です。
| 対象 | 推奨頻度 | 主な目的 |
|---|---|---|
| 小児(乳歯虫歯) | 月1回 × 初月〜3ヶ月、以降3〜6ヶ月ごと | 虫歯の進行抑制 |
| 高齢者(根面う蝕) | 2〜3ヶ月に1回 | 根元虫歯の進行防止 |
| 知覚過敏 | 1〜3ヶ月に1回 | 症状が改善するまで継続 |
➡️ 歯科医院での定期管理が、虫歯の進行を止めるカギとなります。
🔄 繰り返し塗布の必要性と管理法
サホライドは「一度塗れば終わり」ではなく、継続的な管理が前提です。
- 🔁 虫歯が進行していないかの確認
- 🪥 毎日の歯みがき指導(フッ素入り歯磨き推奨)
- 📅 3〜6ヶ月ごとの再評価と塗布計画
また、塗布した虫歯部分が固くなり、治療に耐えられる年齢になったらレジンで修復するステップに移行するケースもあります。
🚫 治療後の注意点(食事・変色など)
サホライド塗布後は、以下の点に注意しましょう。
🍽 食事制限
- 塗布直後30分〜1時間は飲食を控える(薬剤の効果定着のため)
- 特に酸性の飲み物(オレンジジュース・炭酸など)は避ける
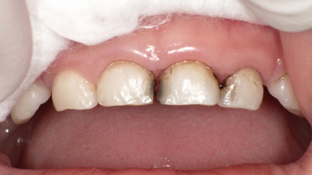
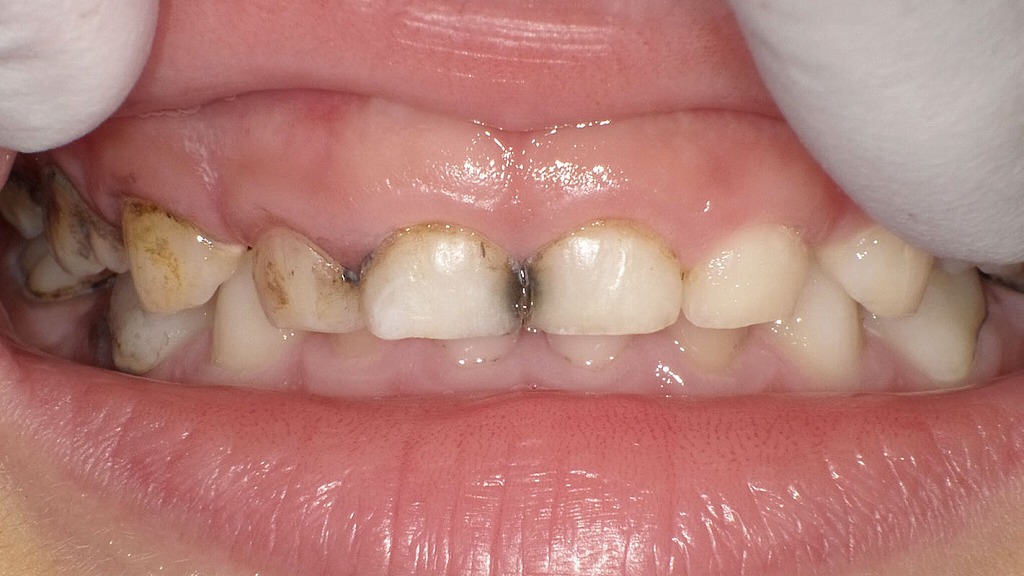
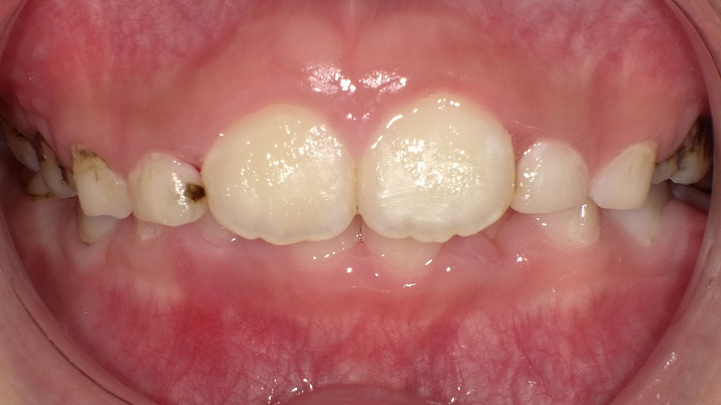
🌑 黒変について
- 塗布部位が黒く変色しますが、これは虫歯進行が止まった証拠
- 前歯など目立つ部位には原則として使用を控え、他の治療法を選択
👕 薬剤の付着に注意
- 歯ぐきや皮膚に付着した場合は水で洗い流せばOK
- 衣服に付いた場合は専用クリーナーが必要なこともあるため要注意
⚠️ サホライドのデメリットと誤解への正しい理解
サホライドは削らずに虫歯の進行を抑えられる一方で、使用にあたっては審美的・物理的なデメリットも存在します。ここでは、よくある誤解や懸念点に対する正しい知識をわかりやすく解説します。
🌑 黒く変色する理由と科学的根拠
サホライドを塗布すると、虫歯の部分が黒く変色します。これはよくある質問ですが、科学的に明確な理由があります。
🧪 黒変のメカニズム
- サホライドの主成分である**銀イオン(Ag⁺)が、虫歯組織内で硫化銀(Ag₂S)**などの黒色化合物に変化
- 虫歯のたんぱく質や硫黄と反応して、金属銀や酸化銀が沈着
➡️ これは虫歯進行が止まった証拠であり、薬剤が効いているサインとも言えます。
🎨 変色を目立たせない工夫とレジンによる補修
前歯や目立つ場所への使用に関しては、以下の工夫で審美性をある程度カバーできます。
✔️ 使用を避ける部位
- 前歯の表側や笑顔で見える場所は原則として使用を控える
- 臼歯部や裏側の虫歯など、目立たない箇所に限定
🎨 後から白くする方法
- サホライドで虫歯進行を止めた後、黒変部位を少し削ってレジンで充填
- これにより、審美性を回復したうえで、虫歯も管理できる
💡 将来的に「治療できる年齢」になった段階で補修を行うことで、段階的な虫歯対策が可能です。
👕 歯肉・皮膚・衣類に付着したときの対処法
サホライドは「銀を含む薬剤」なので、接触部位に着色が起こることがあります。以下のように対処してください。
🦷 歯肉に付着した場合
- 一時的に白くなることがありますが、数日で自然に戻ります
- 水や生理食塩水で優しく洗浄してください
🧴 皮膚に付着した場合
- 石けん水やヨウ素入り消毒液で軽くこすり洗い
- 時間経過とともに新陳代謝で消えていきます
👕 衣服に付いた場合
- 通常の洗濯では取れにくいため、専用のサホライドクリーナーで処理
- ナイロン・絹・金属製品には使用不可(素材を痛める可能性あり)
⚠️ ※誤って付着した場合でも慌てずに対処すれば問題ありません。
🔁 市販フッ素製品との違いと使い分け方
サホライドとフッ素歯磨き粉や洗口液は、目的と効果が異なります。
| 比較項目 | サホライド(AgF) | フッ素歯磨き粉・洗口液 |
|---|---|---|
| 主な目的 | 虫歯の進行を抑制(治療寄り) | 虫歯の予防(習慣的ケア) |
| 適用範囲 | C0~C2虫歯、根面う蝕、知覚過敏 | 健康な歯・初期虫歯の予防 |
| 塗布頻度 | 1〜6ヶ月に1回(歯科医院で) | 毎日使用(自宅ケア) |
| 審美性 | 黒く変色する | 無色・目立たない |
| 入手方法 | 歯科医師による処方のみ | ドラッグストア・通販で購入可 |
🔄 最適な使い分け方
- 虫歯がある or 削るのが難しい人 → サホライド(治療)
- 虫歯を作りたくない or 再発防止 → フッ素製品(予防)
- 両方を組み合わせることで、より効果的な虫歯管理が可能!
🧪 最新研究と世界的評価
サホライド(フッ化ジアンミン銀)は、日本発の虫歯治療薬として登場して以来、世界各国の医療機関や研究者によって科学的検証が進められてきました。現在では、エビデンスに基づいた「非侵襲的虫歯治療」の中心的存在となりつつあります。
📊 科学的エビデンスと臨床結果(UCSF・WHO・豪州)
🇺🇸 UCSF(カリフォルニア大学サンフランシスコ校)
- 小児の虫歯管理を対象とした研究で、サホライドを塗布した歯の約80%で1年間虫歯の進行を抑制
- 従来の削る治療(ドリル&フィル)を不要にする可能性を提示
- 「歯を削らない選択肢」として、アメリカの歯科ガイドラインにも採用
🌍 WHO(世界保健機関)
- サホライドを“低所得国におけるう蝕管理法”として推奨
- 安価・非侵襲・簡便であることから、発展途上地域における公衆衛生プログラムの柱に
- 特に5歳未満の子どもへの虫歯予防対策として国際的に評価
🇦🇺 オーストラリア・ニュージーランド
- 高齢者の根面う蝕(歯の根元の虫歯)に対する効果が高いことを臨床で確認
- 介護施設や訪問診療の現場で簡便・安全なケア手段として導入が進む
- 研究報告では、サホライド使用で根面う蝕の進行抑制率が70%以上
➡️ 結論:**サホライドは「科学的に効果が証明された治療法」**であり、今後ますます注目される存在です。
🧩 MI治療との組み合わせと今後の可能性
「MI治療(Minimal Intervention=最小限の介入)」は、できるだけ歯を削らず、天然歯を長く保つことを目指す現代歯科の基本思想です。サホライドは、このMI治療と非常に相性が良いとされています。
✅ 現在の主なMI治療アプローチ
| 手法 | 目的 | 特徴 |
|---|---|---|
| サホライド塗布 | 虫歯の進行抑制 | 非侵襲的/塗布のみで完了 |
| 高濃度フッ素塗布 | 歯の再石灰化促進 | 見た目に変化なし/予防的 |
| レジンコーティング | 見た目の補修と封鎖 | 審美性の回復/再感染防止 |
🔮 今後の展望
- サホライド+レジン充填のコンビネーション治療が増加
- MI治療を重視する歯科医院での標準的処置として普及
- 「削る治療がすべてではない」という患者意識の変化に対応
💡 高齢化社会や小児医療の現場では、「患者の負担を最小限にしながら、確実に虫歯を止める」治療法として、サホライドの需要が今後さらに高まると考えられています。
💡 よくある質問(Q&A)
サホライドは「削らずに虫歯を止める」治療法として注目されていますが、それゆえに多くの疑問を持たれることもあります。ここでは、患者さんや保護者から寄せられるよくある質問にお答えします。
❓ 本当に虫歯は削らなくていいの?
はい、初期虫歯(C0〜C2)であれば削らずに進行を抑えることができます。
- サホライドは、虫歯菌の活動を抑えつつ歯質を再石灰化させる薬剤です。
- 特に乳歯の虫歯や、治療が難しい子ども・高齢者の虫歯に適応されます。
💡 ただし、C3以上(神経まで達する虫歯)には適用できないため、歯科医による適切な診断が重要です。
❓ 前歯に使ってもいいの?
前歯にも使えますが、審美性を重視する場合は慎重に判断します。
- サホライドを塗布すると、虫歯部分が黒く変色するため、笑った時に目立つ前歯には原則使用を控えることが多いです。
- ただし、乳歯で一時的な処置が必要なケースや、どうしても治療ができない場合には使われることもあります。
📝 前歯の虫歯には、**見た目に配慮した別の治療法(レジン充填など)**を提案されることもあります。
❓ いつまで効果が続くの?
1回の塗布で約3〜6ヶ月効果が持続します。
- ただし、虫歯のリスクや口腔環境によって差があります。
- 継続的に虫歯を抑えるためには、**定期的な再塗布(3〜6ヶ月に1回)**が必要です。
🦷 また、サホライド塗布後もフッ素ケアや食生活の管理を継続することで、より効果が長持ちします。
❓ アレルギーや副作用の心配は?
基本的には安全性の高い薬剤ですが、以下の点には注意が必要です。
- 銀アレルギーのある方は使用不可
- ごくまれに、歯ぐきや皮膚が一時的に白く変色することがあります(数日で回復)
- 衣類への付着によるシミ・変色にも注意
👨⚕️ 処置前にアレルギーの有無を確認し、歯科医が安全を評価した上で使用されます。
❓ 市販のフッ素製品で代用できる?
フッ素製品(歯磨き粉・洗口液)は予防目的には有効ですが、虫歯の進行を止める治療効果はありません。
| 項目 | サホライド | フッ素歯磨き粉/洗口液 |
|---|---|---|
| 主な目的 | 虫歯の進行抑制(治療) | 虫歯の予防 |
| 使用場所 | 歯科医院のみ | 自宅で日常使用 |
| 効果 | 銀+フッ素で虫歯菌を制御 | フッ素による再石灰化 |
| 注意点 | 黒変あり | 変色なし |
💡 サホライドを塗布した後は、市販のフッ素製品と併用することで、再発リスクを下げることができます。
🏁 まとめ|サホライドは“削らず治す”新時代の選択肢
サホライドは、**「歯を削らずに虫歯の進行を止める」**という、これまでの常識を覆すような新しい治療法です。特に、治療に協力しづらい小児や高齢者、歯科治療が苦手な方にとって、心身への負担が少ない大きなメリットがあります。
✅ メリットとデメリットの総整理
| ✅ メリット | ⚠️ デメリット |
|---|---|
| 虫歯を削らずに進行を抑制 | 虫歯部分が黒く変色する |
| 痛みがほとんどない | 審美的な配慮が必要(前歯など) |
| 治療時間が短い(5〜10分) | 銀アレルギーがあると使用できない |
| 小児・高齢者・障がい者にも適用可能 | 定期的な再塗布が必要 |
➡️ メリットを最大限に活かしつつ、デメリットを理解して使うことがポイントです。
✅ こんな人におすすめ(小児・高齢者・治療困難者)
- 👧 小さな子ども(3〜6歳)
- 歯を削る治療が怖い/泣いてしまうお子さまに最適
- 👴 寝たきりの高齢者
- 根元の虫歯(根面う蝕)に簡単な塗布で対応
- 🧑🦼 歯科治療に不安のある方
- 歯科恐怖症/障がいのある方でも安心して処置できる
💡 削らない・痛くない・時間がかからないという三拍子がそろっており、幅広い年代・状況に対応できます。
✅ 効果的に使うためのポイントと併用戦略
- 🔄 再塗布は3〜6ヶ月ごと:効果を持続させるためには定期的な通院が必要です
- 🪥 フッ素歯磨き粉との併用:再石灰化を促進し、虫歯予防力を強化
- 🍽️ 甘いものや間食の見直し:生活習慣の改善が、虫歯リスクを下げる近道
- 🎨 黒変対策にはレジン補修も:治療後の審美補綴で白くきれいに仕上げることも可能
🧠 サホライドは「単独で完結する治療」ではなく、日常ケアやフッ素管理との組み合わせが重要です。
✅ 歯科医院での相談が第一歩!
- 🔍 サホライドは歯科医院でしか扱えない医療用医薬品です
- 🩺 自己判断せず、歯科医師の診断のもとで適応を見極めましょう
- 📅 定期検診と予防ケアを続けることで、将来的な抜歯リスクも大幅に低下
🦷 「削らずに守る」時代の歯科医療へ——サホライドはその最前線にある選択肢です。
📌 まずは信頼できる歯科医院で相談してみましょう!お子さまやご高齢のご家族にも、“やさしい虫歯ケア”を届けられます。
🦷 江戸川区篠崎で「削らない虫歯治療」をお探しの方へ

江戸川区篠崎で、**歯を削らずに虫歯の進行を抑える治療法「サホライド」**を導入しています。
「歯医者が怖い」「じっとしていられない」「なるべく痛くない治療がいい」
そんなお子さまやご高齢の方、治療が難しい患者さまにも、短時間・低負担で対応できる選択肢です。
当院では、保護者の方への丁寧な説明と定期的なフォロー体制も整えております。
黒く変色するなどのデメリットも、必要に応じて審美的に配慮したご提案が可能です。
👨⚕️まずは一度ご相談ください。
江戸川区篠崎で“やさしい虫歯治療”をご希望の方に、最適なケアをご提案いたします。
【動画】子供の虫歯の見分け方
筆者・院長

深沢 一
Hajime FUKASAWA
- 登山
- ヨガ
メッセージ
日々進化する歯科医療に対応するため、毎月必ず各種セミナーへの受講を心がけております。
私達は、日々刻々と進歩する医学を、より良い形で患者様に御提供したいと考え、「各種 歯科学会」に所属すると共に、定期的に「院内勉強会」を行う等、常に現状に甘んずる事のないよう精進致しております。 又、医療で一番大切な事は、”心のある診療”と考え、スタッフと共に「患者様の立場に立った診療」を、心がけております。




