- 1. 一本だけ入れ歯は可能?🦷
- 1.1. 一本入れ歯のメリット✨
- 1.2. 一本入れ歯のデメリット⚠️
- 1.3. 一本入れ歯のメンテナンス🪥
- 2. 一本の入れ歯とノンクラスプデンチャーについて
- 2.1. ノンクラスプデンチャーとは?
- 2.1.1. ノンクラスプデンチャー(スマイルデンチャー)による前歯欠損の審美的回復
- 2.2. 一本の入れ歯でノンクラスプを選ぶメリット
- 2.3. 費用の目安
- 3. 他の治療法との比較🔍
- 3.1. 下顎6番欠損における一本義歯とインプラント治療の比較と埋入手術の実際
- 4. 一本入れ歯が向いている人✅
- 5. 歯科医がすすめる治療選びのポイント💡
- 6. まとめ📝
- 7. 📍 江戸川区篠崎で「一本だけの入れ歯」治療をお考えの方へ
- 8. 【動画】目立たない部分入れ歯のスマイルデンチャー
- 9. 筆者・院長

✅ 「歯を1本だけ失った場合、入れ歯は作れるの?」と疑問に思う方は多いでしょう。実際に 一本だけの部分入れ歯 は可能で、費用を抑えて治療できる手段の一つです。ただし、快適性や見た目、耐久性の面で他の治療法と比較することが大切です。
この記事では、一本入れ歯の特徴やメリット・デメリット、費用の目安、そしてブリッジやインプラントとの違いをわかりやすく解説します。
一本だけ入れ歯は可能?🦷
部分入れ歯は、失った歯の部分に人工の歯を装着し、周囲の歯に金属のバネ(クラスプ)をかけて固定する仕組みです。
そのため、 歯を1本だけ失ったケースでも部分入れ歯は作成可能 です。


- 保険診療で作成できる
- 比較的短期間で完成する
- 手術が不要で誰でも受けやすい
といった特徴があり、高齢の方や費用を抑えたい方によく選ばれています。
一本入れ歯のメリット✨
- 費用が安い
- 保険診療であれば数千円〜1万円台で作成可能
- 治療期間が短い
- 型取りから完成まで数週間程度
- 体に優しい
- 外科手術を伴わないためリスクが少ない
一本入れ歯のデメリット⚠️
- 装着時に違和感がある
- 金属のバネが見えて審美性に欠ける場合がある
- 噛む力が弱くなりやすい
- 周囲の歯に負担をかける
👉 特に「見た目」や「噛む力」を重視する方には、ブリッジやインプラントが適しているケースもあります。
一本入れ歯のメンテナンス🪥

- 入れ歯専用ブラシで毎日清掃
- 義歯洗浄剤を使って細菌を除去
- 歯ぐきが痩せて合わなくなるため、定期的な調整が必要
一本の入れ歯とノンクラスプデンチャーについて
ノンクラスプデンチャーとは?
ノンクラスプデンチャーは 金属のバネを使わない部分入れ歯 です。
ピンク色のやわらかい樹脂で作られており、歯ぐきと自然に馴染むのが特徴です。
- 👀 見た目が自然:バネがないため目立ちにくい
- 😌 装着感が快適:薄くて軽く、違和感が少ない
- 🦷 歯にやさしい:金属をかけないので周囲の歯を傷めにくい
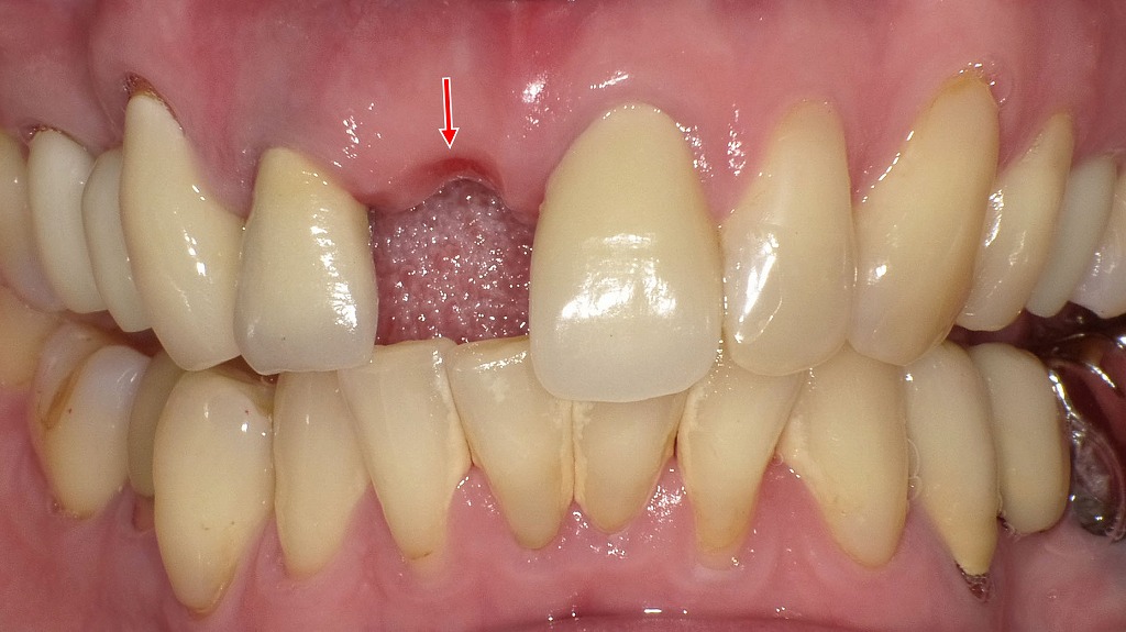
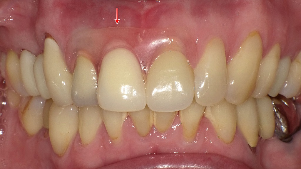
ノンクラスプデンチャー(スマイルデンチャー)による前歯欠損の審美的回復


前歯部欠損に対し、金属のバネを使用しないノンクラスプデンチャー(スマイルデンチャー)を装着した症例です。装着前は欠損による見た目や発音への影響がみられましたが、装着後は歯ぐきに自然になじみ、義歯が目立ちにくい口元を回復しています。審美性と快適性の両立を重視した義歯治療の一例です。
一本の入れ歯でノンクラスプを選ぶメリット
- 前歯など「目立つ場所」に特におすすめ
- 笑ったときや話したときに自然に見える
- 金属アレルギーの方にも安心
費用の目安
- 保険の部分入れ歯:5,000〜15,000円程度
- ノンクラスプデンチャー(自費):約7万〜15万円
👉 費用はかかりますが、見た目や快適さを重視する方に人気があります。
他の治療法との比較🔍
| 治療法 | 特徴 | メリット | デメリット | 費用の目安 |
|---|---|---|---|---|
| 一本入れ歯 | バネで固定する取り外し式 | 費用が安い・短期間 | 違和感・見た目 | 保険で5千〜1.5万円、自費で10万円前後 |
| ブリッジ | 隣の歯を削って固定 | 見た目が自然・安定性 | 健康な歯を削る必要あり | 保険で1〜3万円、自費で15〜30万円 |
| インプラント | 顎骨に人工歯根を埋入 | 天然歯に近い噛み心地・審美性◎ | 手術が必要・高額 | 30〜50万円/1本 |
下顎6番欠損における一本義歯とインプラント治療の比較と埋入手術の実際


下顎6番欠損に対して、治療法として「一本だけの入れ歯」と「インプラント治療」の双方を検討した症例。欠損部には義歯の装着も可能だが、隣在歯への負担や咀嚼時の安定性に課題があるため、より長期的に機能性を確保できるインプラント治療を選択した。初診時の欠損形態から、適切な埋入位置を確保したインプラント手術に至るまでの経過を示しており、単独歯欠損における補綴選択の重要性を示す症例である。
一本入れ歯が向いている人✅
- インプラントができない方(持病・骨量不足など)
- 費用を抑えたい方
- 高齢でシンプルな治療を希望する方
歯科医がすすめる治療選びのポイント💡
- 残っている歯や歯ぐきの状態
- 全身の健康状態
- 見た目や噛み心地、予算などライフスタイルに合った方法
まとめ📝
一本だけの入れ歯(部分入れ歯)は、手軽に導入できる治療法の一つです。
ただし、快適さや耐久性を重視する場合は、ブリッジやインプラントとの比較が欠かせません。
自分に合った治療法を歯科医と相談して決めることが、長期的な口腔の健康につながります。
📍 江戸川区篠崎で「一本だけの入れ歯」治療をお考えの方へ

江戸川区篠崎で「一本だけの入れ歯」や「部分入れ歯」の治療をお考えの方は、ぜひ 当歯科クリニック(篠崎駅南口徒歩1分) にご相談ください。
当院では、保険診療のシンプルな部分入れ歯から、審美性に優れたノンクラスプデンチャーまで幅広く対応しております。
- 🏥 丁寧なカウンセリングで最適な治療法をご提案
- 🦷 ブリッジ・インプラントとの比較説明もわかりやすく
- 👨⚕️ 地域密着で通いやすい歯科医院
江戸川区篠崎エリアで「入れ歯の調整」「1本欠損の治療」をお探しの方は、お気軽にご相談ください。ください。
📞 ご予約はお電話にて承っております。
【動画】目立たない部分入れ歯のスマイルデンチャー
筆者・院長

深沢 一
Hajime FUKASAWA
- 登山
- ヨガ
メッセージ
日々進化する歯科医療に対応するため、毎月必ず各種セミナーへの受講を心がけております。
私達は、日々刻々と進歩する医学を、より良い形で患者様に御提供したいと考え、「各種 歯科学会」に所属すると共に、定期的に「院内勉強会」を行う等、常に現状に甘んずる事のないよう精進致しております。 又、医療で一番大切な事は、”心のある診療”と考え、スタッフと共に「患者様の立場に立った診療」を、心がけております。


