
✅ 入れ歯は「食べる🍴・話す🗣・笑う😊」といった生活の質に直結する大切な治療です。しかし「痛い⚡」「すぐ外れる」「噛めない」といったトラブルを経験する方も多いもの。実は、入れ歯の快適さは歯科医師の経験や技術力によって大きく変わります。
本記事では、入れ歯が上手な歯医者の特徴や治療の流れ、失敗しない医院選びのポイントを解説します。江戸川区篠崎で入れ歯治療を検討されている方も、ぜひ参考にしてください。
入れ歯が上手な歯医者を選ぶべき理由
入れ歯は単なる「義歯」ではなく、毎日の生活を支える大切なパートナーです✨。


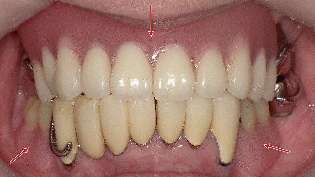
上下顎に保険適用のクラスプ義歯(部分入れ歯)を装着した症例です。
噛み合わせの高さや歯並び、義歯の安定性を細かく調整することで、見た目だけでなく「しっかり噛める」「違和感が少ない」入れ歯に仕上げています。
保険の入れ歯であっても、設計・調整・適合精度によって快適さは大きく変わります。入れ歯が合わない、痛い、噛みにくいと感じている方は、適切な診断と調整が重要です。
⚠️ 合わない入れ歯によるトラブル
- 痛みや口内炎が出る
- 会話中や食事中に外れやすい
- 発音が不明瞭になり自信を失う
😊 上手な歯医者が作る入れ歯のメリット
- しっかり噛めて食事が楽しい🍖
- 自然な見た目で笑顔に自信が持てる😄
- 会話もスムーズで人付き合いが快適
つまり、入れ歯治療は「どの歯医者で作るか」が重要なのです。
入れ歯の上手な歯医者の特徴
🔍 良い歯医者を見極めるポイントは次の通りです。
- 👂 丁寧なカウンセリングで希望を聞いてくれる
- 🦷 精密な型取り&噛み合わせ診断を重視
- 👨⚕️ 経験豊富な歯科医師が対応
- 💰 保険・自費どちらも提案可能
- 🔄 アフターフォロー体制が整っている
入れ歯治療の流れとポイント

治療のステップを知っておくと安心です。
1️⃣ カウンセリングと診査:生活習慣や希望をヒアリング
2️⃣ 精密な型取り:シリコン印象材などで正確に採取
3️⃣ 噛み合わせ診断:自然な顎の動きに合わせて設計
4️⃣ 試適(試し入れ):見た目や噛み心地を確認
5️⃣ 完成・調整:痛みや違和感を微調整
6️⃣ アフターフォロー:定期チェックで長持ち
📌 ここを丁寧に行う医院こそ、入れ歯が上手な歯医者です。
入れ歯が上手な歯医者を見極める方法
「どこに行けばいいの?」と悩んだ時は以下を確認しましょう👇
- 📸 症例写真や実績を公開しているか
- ⭐ 患者の口コミや評判が良いか
- 🏭 技工士との連携がしっかりしているか
- 🏥 地域に根差して長年診療を続けているか
特に「調整を何度もしてくれる」「説明が丁寧」な医院は信頼できます。
まとめ

入れ歯は歯科医師の技術と経験によって、快適さが大きく変わります。
✅ 入れ歯の上手な歯医者を選ぶことで…
- 食事がおいしく楽しめる🍴
- 会話がスムーズになり人付き合いが楽しい🗣
- 自然な見た目で笑顔に自信が持てる😊
江戸川区篠崎周辺で入れ歯治療を検討されている方は、経験豊富でアフターケアも充実した歯科医院を選びましょう。
📍 江戸川区篠崎で入れ歯が上手な歯医者を探すなら

江戸川区篠崎エリアには、地域密着で入れ歯治療に力を入れている歯科医院があります✨。
当院では…
- 🎯 精密な型取りと噛み合わせ診断
- 🪥 保険・自費どちらも対応可能
- 👩⚕️ 経験豊富な歯科医師による治療
- 🚉 篠崎駅南口徒歩1分の好立地
「入れ歯が合わない😢」「作り直したい💭」という方も、安心してご相談ください。
📞 ご予約はお電話にて承っております。
【動画】目立たない部分入れ歯のスマイルデンチャー
筆者・院長

深沢 一
Hajime FUKASAWA
- 登山
- ヨガ
メッセージ
日々進化する歯科医療に対応するため、毎月必ず各種セミナーへの受講を心がけております。
私達は、日々刻々と進歩する医学を、より良い形で患者様に御提供したいと考え、「各種 歯科学会」に所属すると共に、定期的に「院内勉強会」を行う等、常に現状に甘んずる事のないよう精進致しております。 又、医療で一番大切な事は、”心のある診療”と考え、スタッフと共に「患者様の立場に立った診療」を、心がけております。


