✅ 前歯が大きく失われると、見た目の変化だけでなく、食べ物を噛み切りにくい、発音しにくいといった日常生活への影響が大きくなります。今回の症例では、上顎に左右2本の歯だけが残っている状態から、保険適用のレジン床義歯を用いて口元の見た目と噛む機能を回復しました。
残存している歯を最大限に活かしながら、部分入れ歯でどのように改善できるのか、治療前後の変化と義歯の特徴を含めて詳しくご紹介します。

レジン床義歯装着前

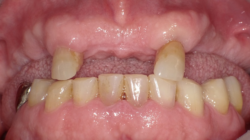
上顎前歯が大きく欠損し、左右の上顎側切歯(2番)のみが残存している状態。義歯装着前のため、咀嚼・発音・審美に影響が出ている口腔内です。
上顎前歯が大きく欠損し、左右の上顎側切歯(2番)のみが残存している状態。義歯装着前のため、咀嚼・発音・審美に影響が出ている口腔内です。
上顎の残存歯は左右2番のみで、広い無歯顎部が確認される状態。レジン床義歯を装着する前の上顎粘膜と歯の配置を示しています。

レジン床義歯装着後

上顎にレジン床義歯を装着した状態。残存している上顎の両側切歯を支台として、前歯部の見た目と噛む機能が改善されています。
上顎にレジン床義歯を装着した状態。残存している上顎の両側切歯を支台として、前歯部の見た目と噛む機能が改善されています。
レジン床義歯の上顎咬合面観。左右の歯にワイヤークラスプ(矢印)がかかり、義歯をしっかりと保持・安定させる構造が確認できます。
レジン床義歯の上顎咬合面観。左右の歯にワイヤークラスプ(矢印)がかかり、義歯をしっかりと保持・安定させる構造が確認できます。

今回製作した上顎のレジン床義歯は、保険適用で作製できる部分入れ歯です。
失われた前歯の見た目と噛む機能を回復するうえで、比較的負担の少ない治療方法です。

レジン床義歯の大きな特徴は、残っている歯にクラスプ(金属のバネ)をかけて義歯を安定させることです。今回のケースでも、左右の側切歯にワイヤークラスプをかけ、義歯が外れにくく、しっかり機能するよう設計しています。

一方で、保険の義歯にはいくつか注意点もあります。
まず、レジン(プラスチック)でできているため、強度を確保するために義歯がやや厚めになることがある点です。また、金属のクラスプが正面から見えることがあり、審美性がやや劣る場合があります。普段の会話や笑ったときにクラスプが見えることがあるため、見た目を重視したい方にはデメリットとなることがあります。

とはいえ、レジン床義歯は保険で作れるため費用負担が少なく、短期間で治療が完了するという大きなメリットがあり、機能面では十分に噛む・話すことができるようになります。
適切に調整を行えば、日常生活において問題なくご使用いただけます。

もし、見た目をもっと自然にしたい場合は、金属のバネが目立たないノンクラスプデンチャー(自費治療)や、より薄くて丈夫な金属床義歯といった選択肢もあります。

患者さまの生活スタイルやご希望、残っている歯の状態を考慮しながら、最適な義歯をご提案していきます。

📍 江戸川区篠崎で入れ歯治療なら—見た目と噛む力を自然に回復します

江戸川区篠崎の当歯科クリニックでは、前歯の欠損や残存歯の少ないケースでも、患者さま一人ひとりの状態に合わせた義歯治療をご提案しています。今回のように左右2本の歯だけが残る場合でも、保険のレジン床義歯で見た目と噛む機能をしっかり回復できます。クラスプの見え方など審美面の配慮はもちろん、より自然な仕上がりをご希望の方にはノンクラスプデンチャーなど自費義歯もご案内可能です。入れ歯でお困りの方、他院で難しいと言われた方も、どうぞお気軽にご相談ください。

筆者・院長

篠崎ふかさわ歯科クリニック院長

深沢 一


Hajime FUKASAWA

  • 登山
  • ヨガ

メッセージ

日々進化する歯科医療に対応するため、毎月必ず各種セミナーへの受講を心がけております。

私達は、日々刻々と進歩する医学を、より良い形で患者様に御提供したいと考え、「各種 歯科学会」に所属すると共に、定期的に「院内勉強会」を行う等、常に現状に甘んずる事のないよう精進致しております。 又、医療で一番大切な事は、”心のある診療”と考え、スタッフと共に「患者様の立場に立った診療」を、心がけております。

Follow me!