- 1. 🦷 歯茎がジンジンする原因と対処法【放置はNG】
- 1.1. 🩸 歯茎がジンジンする主な原因
- 1.1.1. 🦠 ① 歯周病(歯ぐきの炎症や腫れ)
- 1.1.2. 🧊 ② 知覚過敏(歯ぐき下がりによる痛み)
- 1.1.3. 😬 ③ 親知らずや歯根の炎症
- 1.1.4. 💢 ④ ストレスや血行不良
- 1.1.5. 🩺 ⑤ 全身の影響(ホルモン・糖尿病など)
- 1.2. 🏠 自宅でできる歯茎の痛み対処法
- 1.2.1. 🪥 ① 正しい歯磨きとケア
- 1.2.2. 💧 ② 殺菌うがいで炎症を抑える
- 1.2.3. 🧊 ③ 冷やして痛みを和らげる
- 1.2.4. 🚭 ④ 刺激物・喫煙・飲酒を控える
- 1.3. ⚠️ 歯茎の痛みを放置するとどうなる?
- 2. 🏥 歯医者での治療法
- 2.1. 🧼 ① 歯石除去・クリーニング
- 2.2. 💊 ② 抗生物質・消炎処置
- 2.3. 🦷 ③ 根管治療・外科処置
- 3. 歯茎がジンジンする原因と改善例|歯石除去とバス法でここまで変わる
- 3.1. 術前
- 3.1.1. ◆歯茎のジンジンする原因が見える典型例:正面
- 3.1.2. ◆炎症が強まり、触れただけで出血する状態:右側面
- 3.1.3. 【まとめ】
- 3.2. 術後
- 3.2.1. ◆歯石除去後、歯茎の腫れが改善しジンジン感が軽減:正面
- 3.2.2. ◆側方の歯茎も腫れが引き、出血しにくい状態へ:右側面
- 3.2.3. 【まとめ】
- 4. ⏰ 歯医者を受診すべきタイミング
- 5. 🌸 まとめ
- 6. 🌸 江戸川区篠崎で「歯茎がジンジンして歯磨きがつらい…」「何となく違和感がある…」方へ
- 7. 【動画】ステイン着色汚れをクリーニングするエアフロー
- 8. 筆者・院長

「歯磨きのときに歯茎がジンジンする」「冷たい水がしみる」「何もしていなくてもズキズキ痛む」——そんな違和感を感じていませんか?
歯茎の痛みは、歯周病や炎症、知覚過敏などのサインであることが多く、放置すると悪化してしまうことも⚠️
この記事では、歯茎がジンジンするときの原因と自宅でできる応急処置、歯医者での治療法をわかりやすく解説します🦷✨
🦷 歯茎がジンジンする原因と対処法【放置はNG】

🩸 歯茎がジンジンする主な原因
🦠 ① 歯周病(歯ぐきの炎症や腫れ)
歯垢(プラーク)や歯石に潜む細菌が原因で、歯ぐきに炎症が起こります。初期では「歯磨きのときに出血する程度」ですが、進行するとジンジン・ズキズキとした痛みや腫れを感じるようになります。
放置すると歯を支える骨が溶け、最悪の場合は歯が抜けることも⚠️

下前歯に歯垢(プラーク)と歯石が厚く付着し(赤矢印部)、歯茎に強い炎症を起こしている状態です。歯石は細菌の温床となり、腫れ・出血・ジンジンした痛みの原因になります。ブラッシングでは除去できないため、専門的なクリーニングによる早めの対処が必要です。
🧊 ② 知覚過敏(歯ぐき下がりによる痛み)
加齢や強いブラッシング、歯ぎしりにより歯ぐきが下がると、象牙質が露出し刺激に敏感になります。
「冷たい水がしみる」「歯ブラシの毛先が当たると痛い」などの症状が特徴。
歯磨き粉選びを間違えると、さらに悪化することもあります😣

矢印部のように歯ぐきが下がると、本来は歯ぐきに覆われている歯根が露出します。歯根部はエナメル質がなく刺激に弱いため、冷たいものや歯ブラシの接触で「キーン」としみる知覚過敏が起こりやすくなります。歯周病や強いブラッシングが原因となることが多く、早めのケアが大切です。
😬 ③ 親知らずや歯根の炎症

歯ぐきがジンジン痛む原因のひとつが、親知らずの“半埋伏”です。
画像のように、親知らずが歯ぐきから半分だけ顔を出している状態では、周囲に汚れが溜まりやすく、炎症(智歯周囲炎)が起こりやすくなります。
その結果、歯ぐきがジンジン・ズキズキ痛む、腫れる、口が開きにくいなどの症状が出ることがあります。
また、虫歯が進行して歯の根に膿が溜まると、歯茎全体がジンジンと痛むこともあります。
歯ぐきが腫れて口が開きにくい場合は、すぐに歯科受診を🏥
💢 ④ ストレスや血行不良
ストレスや睡眠不足で自律神経が乱れると、血流が悪化して痛みを感じやすくなります。
また、歯ぎしりや食いしばりも歯茎に負担をかけ、ジンジン感の原因になることがあります💤
🩺 ⑤ 全身の影響(ホルモン・糖尿病など)
妊娠中や更年期など、ホルモンバランスの変化で歯ぐきが腫れやすくなります。
また、糖尿病や免疫力の低下でも歯茎の炎症が悪化しやすく、注意が必要です⚕️
🏠 自宅でできる歯茎の痛み対処法
🪥 ① 正しい歯磨きとケア
痛みがあると「歯磨きを控えたほうがいい」と思う方もいますが、それは逆効果です。
歯垢を放置すると細菌が増え、炎症が悪化します。
✅ やわらかい毛の歯ブラシを使う
✅ 歯ぐきをなでるように優しく磨く
✅ 殺菌成分入りの歯磨き粉(IPMP・CPC配合など)を使う
これで口内環境を清潔に保ちましょう✨
💧 ② 殺菌うがいで炎症を抑える
ぬるま湯に少量の塩を入れた「塩水うがい」や、市販の殺菌マウスウォッシュも効果的です。
ただし、刺激の強いタイプは避け、アルコールフリータイプがおすすめです🙆♀️
🧊 ③ 冷やして痛みを和らげる
腫れている場合は、頬の外側をタオルで冷やしましょう。
直接歯ぐきに氷を当てるのはNG。冷たすぎる刺激で逆に痛みが強くなることもあります⚠️
🚭 ④ 刺激物・喫煙・飲酒を控える
辛い食べ物🌶️、熱い飲み物☕、お酒🍶、タバコ🚬は炎症を悪化させる原因になります。
歯ぐきが落ち着くまでは控えるのがベターです。
⚠️ 歯茎の痛みを放置するとどうなる?
「そのうち治るかも」と放置してしまうと、炎症が進行して歯周病が悪化します。
歯を支える骨(歯槽骨)が溶け、歯がグラグラして抜けるリスクも…。
さらに、細菌が血流に乗ると全身へ悪影響を及ぼす可能性もあります😨
「ジンジンする」段階での早期対応が、歯を守るカギです🔑
🏥 歯医者での治療法

🧼 ① 歯石除去・クリーニング
軽度の歯周病であれば、**スケーリング(歯石取り)**で改善が期待できます。
歯垢・歯石を除去し、炎症の原因を根本から取り除きます。

💊 ② 抗生物質・消炎処置
強い炎症や腫れがある場合、抗生剤や鎮痛薬を併用して痛みをコントロールします。
痛みが落ち着いたら、根本治療に進みます。
🦷 ③ 根管治療・外科処置
歯根に膿がある場合は、**根管治療(歯の神経の治療)**が必要になることも。
状態によっては、外科的に膿を出す処置を行うケースもあります。

レントゲン矢印部には、歯根の先に黒い影(透過像)が見られ、これは**歯根の周囲に膿がたまっている状態(根尖病変)**を示します。
このような状態になると、歯ぐきがジンジンしたり、噛むと痛む・違和感が続くといった症状が現れることがあります。
原因となる細菌感染を除去するため、**根管治療(歯の神経の治療)**が必要になります。適切に治療すれば、膿は次第に減り、痛みや腫れも改善していきます。
歯茎がジンジンする原因と改善例|歯石除去とバス法でここまで変わる
術前
◆歯茎のジンジンする原因が見える典型例:正面

正面の画像では、歯肉の腫れ(歯肉腫脹)と、歯と歯の境目のプラーク・歯石の付着が全体的に確認できます。特に下前歯の歯肉は、赤く丸く腫れ、炎症が強い状態です。
歯肉が腫れると血流が増え、神経が刺激されやすくなるため、「ジンジンする」「うずく」ような不快感が出やすくなります。
また、歯石は細菌の固まりであり、付着したまま放置すると歯肉炎 → 歯周病へ進行しやすく、歯茎の痛み・出血・口臭の原因にもなります。
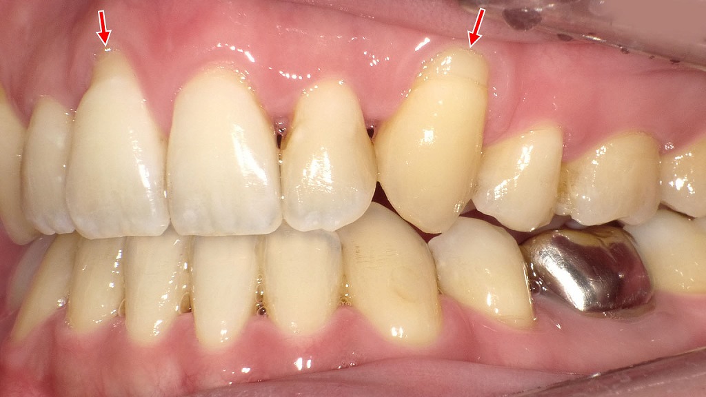
◆炎症が強まり、触れただけで出血する状態:右側面

右側面の画像では、矢印部の歯肉に明らかな自然出血が認められます。
これは歯肉炎が進行し、わずかな刺激でも血管が破れやすくなっているサインです。
側面の歯にもプラークや着色が付着し、歯肉との境目に汚れがたまりやすい状態が続いているため、炎症がさらに強まっています。
その結果、
- 歯茎がジンジンする
- 歯ブラシでしみる
- 噛んだときに違和感を感じる
などの症状が出やすくなります。
【まとめ】
これら2枚の画像は、歯周病の初期〜中等度の炎症が進行している典型的な所見を示しています。
歯茎がジンジンする原因の多くは、
- 歯肉の腫れ
- プラーク・歯石による細菌感染
- 歯肉からの出血
といった炎症反応によるものです。
早期に歯石除去とクリーニングを行うことで、痛みや腫れは改善していきます。
術後
◆歯石除去後、歯茎の腫れが改善しジンジン感が軽減:正面

正面の写真では、治療前に見られた赤く腫れた歯肉や歯石の付着が大きく改善しています。
歯と歯の境目にあった歯石が除去され、歯ぐきが引き締まり、炎症が落ち着いた状態となっています。
歯石を取り除くことで細菌の刺激が減り、
- 「ジンジンする」
- 「うずく」
- 「熱っぽい感じ」
といった症状が改善しやすくなります。
さらに、ブラッシング指導により、特に**歯と歯茎の境目を意識した磨き方(バス法)**が身につき、日常的に炎症を抑えられる状態に近づいています。
◆側方の歯茎も腫れが引き、出血しにくい状態へ:右側面

右側面の画像では、治療前に見られた歯肉の赤み・腫れ・出血が改善しています。
歯石の除去により歯面が滑らかになったことで、プラークの付きにくい環境が整い、歯茎の炎症が治まりつつあります。
ブラッシング指導では、
- 歯と歯ぐきの境目に45°で毛先を当てる「バス法」
- 小刻みに動かしてプラークを効率よく除去する方法
を重点的に練習しています。
これにより、細菌が溜まりやすかった箇所の清掃性が向上し、ジンジンした痛みの原因であった炎症もコントロールできています。
【まとめ】
2枚の治療後画像はいずれも、
歯石除去+正しいブラッシング(バス法)による炎症改善
を示しています。
歯茎のジンジン感は、
- 歯石による慢性的刺激
- 増えた細菌による歯肉炎
が原因で起こるため、治療とセルフケアで大きく改善します。
⏰ 歯医者を受診すべきタイミング
以下の症状がある場合は、我慢せず早めに受診しましょう👇
- 2〜3日経っても痛みやジンジンが続く
- 歯ぐきが腫れている・出血がある
- 顎まで痛みが広がる・発熱がある
- 親知らずのまわりが腫れている
歯茎の痛みは自然に治ることはほとんどありません。
早期の治療が歯を守る最善策です。
🌸 まとめ
歯茎のジンジンは、「歯周病」や「炎症」のサインであることが多く、放置すると悪化してしまいます。
まずは口内を清潔に保ち、痛みが続く場合は早めに歯科医院を受診しましょう✨
健康な歯ぐきを保つことが、笑顔と食事の楽しみを守る第一歩です😊
🌸 江戸川区篠崎で「歯茎がジンジンして歯磨きがつらい…」「何となく違和感がある…」方へ

歯茎のジンジンする痛みは、疲れや一時的な炎症だけでなく、歯周病や歯の根のトラブルが隠れていることもあります。
当歯科クリニックでは、原因をしっかり調べ、痛みを抑えながら丁寧に治療を行っています。
少しでも違和感がある方は、どうぞお気軽にご相談ください🦷✨
【動画】ステイン着色汚れをクリーニングするエアフロー
筆者・院長

深沢 一
Hajime FUKASAWA
- 登山
- ヨガ
メッセージ
日々進化する歯科医療に対応するため、毎月必ず各種セミナーへの受講を心がけております。
私達は、日々刻々と進歩する医学を、より良い形で患者様に御提供したいと考え、「各種 歯科学会」に所属すると共に、定期的に「院内勉強会」を行う等、常に現状に甘んずる事のないよう精進致しております。 又、医療で一番大切な事は、”心のある診療”と考え、スタッフと共に「患者様の立場に立った診療」を、心がけております。


