- 1. なぜ歯の根が溶ける?生理的吸収・病的吸収・矯正性吸収をまとめて理解
- 1.1. ◆ 生理的な歯根吸収
- 1.2. ◆ 病的な歯根吸収
- 1.3. ◆ 矯正治療による歯根吸収
- 2. 🦷 生理的な歯根吸収
- 2.1. ● 特徴
- 2.2. ● 意味
- 3. 🦷 病的な歯根吸収
- 3.1. ● 特徴
- 3.2. ● 意味
- 4. 前歯部の病的歯根吸収:診断から根管治療・経過観察までの実際
- 4.1. 🔍 画像の解説:病的歯根吸収(前歯部)
- 4.2. 🦷 原因は外傷の可能性がある?
- 4.2.1. ✔ 外傷が疑われる理由
- 4.3. 📌 画像の解説:病的歯根吸収に対する根管治療
- 4.3.1. ① 1枚目:ファイル挿入による根管長測定
- 4.3.2. ② 2枚目:根充後の状態(治療完了時)
- 4.4. 📌 画像の解説:病的歯根吸収の根充後・経過観察
- 4.4.1. ✔ 経過観察時のポイント
- 5. ◆ 矯正治療で過剰な力がかかった場合の歯根吸収
- 5.1. ● 特徴
- 5.2. ● 対応
- 6. 🌸江戸川区篠崎で歯根吸収の早期発見・治療に対応
- 7. 【動画】ステイン着色汚れをクリーニングするエアフロー
- 8. 筆者・院長

歯の根が溶けて短くなる「歯根吸収」には、成長のために自然に起こるものと、病気によって異常に起こるものがあります。
ここでは、実際のX線画像を用いて 正常な吸収 と 治療が必要な吸収 の違いをわかりやすく紹介します。
なぜ歯の根が溶ける?生理的吸収・病的吸収・矯正性吸収をまとめて理解
◆ 生理的な歯根吸収
乳歯では、後方から生えてくる永久歯に押されて歯根が自然に吸収されます。X線では均一で滑らかな吸収像が見られ、これは正常な成長過程です。
◆ 病的な歯根吸収
永久歯の歯根が炎症・外傷・嚢胞などによって異常に溶ける状態です。不規則で局所的な吸収が特徴で、自然には止まらないため治療が必要です。
◆ 矯正治療による歯根吸収
矯正力が過度に加わると、永久歯の根の先端が徐々に短くなる「外部吸収」が起こることがあります。痛みは出にくいものの、長期的には歯の支持力に影響するため、矯正治療中のレントゲン管理が不可欠です。
🦷 生理的な歯根吸収
➤ 下顎E(乳歯)の歯根が、後方から萌出してくる第二小臼歯に押されて自然に吸収している状態

● 特徴
- 永久歯(この様X線では第二小臼歯)が萌出する際、
乳歯の歯根は自然に溶けて短くなる。 - これは正常な成長の一過程であり、痛みも腫れも起こらない。
- X線では、矢印部のように
乳歯の歯根が均一に短くなり、根尖から吸収されていく。
● 意味
- 永久歯が正しく生えてくるために必要な生理現象。
- 治療は不要で、自然に乳歯が抜ける。
🦷 病的な歯根吸収
➤ 下顎5番・下顎6番(永久歯)が異常に歯根吸収を起こしている状態


● 特徴
- 本来吸収しないはずの永久歯の歯根が部分的に溶けている。
- 矢印部に見られるように、
**歯根の外側に境界の不明瞭な吸収像(くぼみ)**が確認できる。 - 生理的吸収と異なり、局所的・不規則な形を示すのが特徴。
- 原因としては以下が多い:
- 根尖性歯周炎(根の先の炎症)
- 外傷
- 矯正力の過剰
- 歯根破折
- 嚢胞や腫瘍の圧迫
● 意味
- 自然には止まらない進行性の吸収。
- 多くの場合は治療介入(根管治療、原因除去)が必要。
前歯部の病的歯根吸収:診断から根管治療・経過観察までの実際
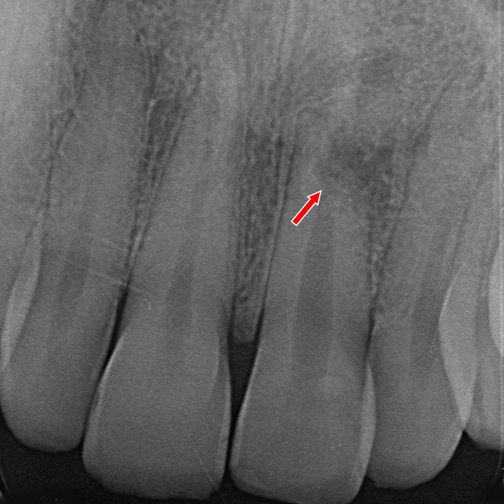
🔍 画像の解説:病的歯根吸収(前歯部)

矢印で示された領域では、前歯の歯根表面が不規則に吸収され、境界の不鮮明な透過像(黒く写る部分)が確認できます。
これは**外部吸収(external resorption)**の典型的な像で、歯根が外側から溶け始めている状態を示唆します。
正常な生理的吸収ではあり得ない位置・形態のため病的歯根吸収と判断される所見です。
🦷 原因は外傷の可能性がある?
前歯部の病的歯根吸収で最も多い誘因のひとつが**過去の外傷(転倒・衝突などによる打撲)**です。
外傷によって歯根膜やセメント質がダメージを受けると、
・破歯細胞(odontoclast)
・破骨細胞(osteoclast)
が活性化し、時間をかけて歯根が徐々に吸収されることがあります。
✔ 外傷が疑われる理由
- 前歯は外傷の頻度が高い
- 外傷後は長期(数年後)に遅発性吸収を起こすことがある
- 画像では外側に向かう不規則な吸収像がみられ、外傷性吸収の典型パターン
画像単独では「外傷が最も疑われる所見」ですが、
臨床歴(転倒・ぶつけた記憶、変色、打診痛の既往など)があれば確度はさらに高まります。
📌 画像の解説:病的歯根吸収に対する根管治療


① 1枚目:ファイル挿入による根管長測定
内容のポイント
- 根管内にリーマー(ファイル)が挿入され、根管の長さ(作業長)を測定している状態。
- 矢印上部では、病的歯根吸収により歯根外側が不規則に溶けた透過像が確認できる。
- 外部吸収がある症例では、根尖形態が不明瞭になりやすく、適切な作業長決定が特に重要。
② 2枚目:根充後の状態(治療完了時)
内容のポイント
- 根管内がガッタパーチャでしっかり根充された状態。
- 吸収部位(矢印)は根尖周囲に透過像として残るが、
→ 感染源の除去が適切に行われ、内部から封鎖されていることが確認できる。 - 吸収歯の根管治療としては良好なシールが得られている像。
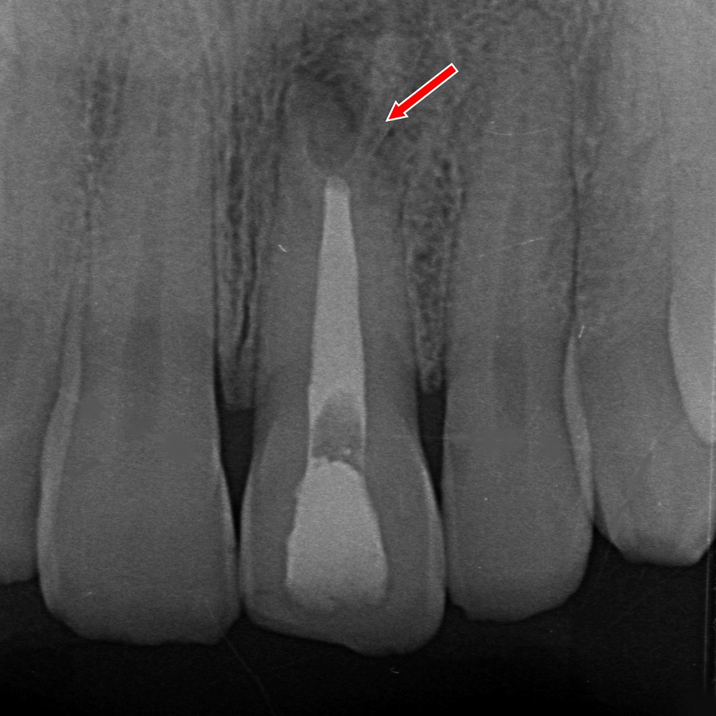
📌 画像の解説:病的歯根吸収の根充後・経過観察

矢印で示された部位には、外部吸収(external resorption)によって生じた不規則な透過像が依然として認められます。これは、歯根外側の歯質が溶けた部分を示す典型的な像です。
一方、根管内部には根充材が均一に充填されており、根管の封鎖は良好です。再感染リスクを最小限に抑えた状態が維持されていると判断できます。
✔ 経過観察時のポイント
- 吸収部の透過像はすぐには消失しない
外部吸収は骨や歯根膜の再生とともに徐々に変化するため、複数ヶ月~年単位の観察が必要です。 - 根充材の位置は安定しており、内部からの感染源は遮断されている
治療としては適切に封鎖されている状態。 - 新たな拡大や境界不明瞭化がないかが観察上の重要点
今回の画像では、
👉 吸収部は残存しているものの、病変の拡大を示唆する所見は乏しく、根管治療後としては良好な経過が期待できる状態
と評価できます。
◆ 矯正治療で過剰な力がかかった場合の歯根吸収
矯正治療では歯を動かすために力を加えますが、その力が強すぎたり、持続時間が長すぎたりすると、永久歯に「外部吸収(歯根吸収)」が起こることがあります。
X線では歯根の先端が丸く短くなる所見が典型的です。

● 特徴
- 歯根の先端が丸くなる、短くなる
- 多くは痛みなく進行
- 過剰な矯正力・治療期間の延長がリスク因子
- 根尖側に限定した吸収が多い
- 矯正治療中の定期的なレントゲン評価が重要
● 対応
- 矯正力を弱める
- 治療を一時中断して経過観察
- 吸収が進行する場合は治療計画の変更を検討
🌸江戸川区篠崎で歯根吸収の早期発見・治療に対応

江戸川区篠崎の当院では、乳歯の自然な歯根吸収と、永久歯に起こる病的な歯根吸収を正確に見分け、必要なケアだけをご提案しています。お子さまから大人の方まで、安心して相談できる診療体制を整えています。🦷✨
【動画】ステイン着色汚れをクリーニングするエアフロー
筆者・院長

深沢 一
Hajime FUKASAWA
- 登山
- ヨガ
メッセージ
日々進化する歯科医療に対応するため、毎月必ず各種セミナーへの受講を心がけております。
私達は、日々刻々と進歩する医学を、より良い形で患者様に御提供したいと考え、「各種 歯科学会」に所属すると共に、定期的に「院内勉強会」を行う等、常に現状に甘んずる事のないよう精進致しております。 又、医療で一番大切な事は、”心のある診療”と考え、スタッフと共に「患者様の立場に立った診療」を、心がけております。


