- 1. 下の歯だけの矯正とは?
- 1.1. 下の歯だけの矯正で改善できる症状
- 1.2. 下の歯だけの矯正の種類
- 1.2.1. ワイヤー矯正(表側・裏側)
- 1.2.2. マウスピース矯正(インビザラインなど)
- 1.2.3. 部分矯正と全体矯正の違い
- 1.3. 下の歯だけの矯正の費用と期間
- 1.3.1. 費用の目安
- 1.3.2. 治療期間
- 1.4. 下の歯だけの矯正のメリット・デメリット
- 1.4.1. メリット
- 1.4.2. デメリット
- 2. よくある質問(FAQ)
- 2.1. Q:「下の歯だけ矯正しても大丈夫?」
- 2.2. Q:「保険は使えますか?」
- 2.3. Q:「痛みはありますか?」
- 2.4. Q:「矯正後にまた歯並びが乱れることはある?」
- 3. まとめ
- 4. 🏥江戸川区篠崎で下の歯だけの矯正をご検討の方へ
- 5. 【動画】アデノイド顔貌
- 6. 筆者・院長

👀 「下の歯だけがガタガタして気になる」「上の歯はきれいなのに、下の歯だけ乱れている」――そんなお悩みを抱える方は少なくありません。実は、下の歯は年齢とともに歯並びが乱れやすく、矯正を希望される方が多い部位です。
この記事では、下の歯矯正の種類や費用、治療期間、部分矯正と全体矯正の違いまでわかりやすく解説します。
下の歯だけの矯正とは?
「笑ったときに下の歯がガタガタで気になる…」「歯磨きがしづらい」そんな悩みを抱える方は少なくありません。実は、下の歯だけに矯正を希望される患者さんはとても多いのです。
下の歯が乱れていると見た目の印象だけでなく、噛み合わせや健康にも影響を与えます。矯正によって歯並びを整えることで、見た目の改善だけでなく、虫歯や歯周病のリスクも下げられます😊
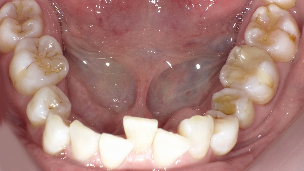
下記の口腔内写真は下顎前歯に**叢生(歯の重なり)**があり、歯間の清掃がやや難しい状態です。プラークがたまりやすく、歯石や歯肉炎の原因になることがあります。


下の歯だけの矯正で改善できる症状
- 歯が重なり合う「叢生(そうせい)」😬
- 歯磨きが難しくなることによる虫歯・歯周病リスク🦠
見た目のコンプレックス解消だけでなく、将来的な歯の健康維持にもつながるのが下の歯矯正の大きなメリットです。
下の歯だけの矯正の種類

ワイヤー矯正(表側・裏側)
もっとも一般的なのがワイヤー矯正です。
- 表側矯正:費用は比較的抑えられ、治療効果も安定💡
- 裏側矯正:外から見えにくいのが魅力。ただし費用はやや高め💰
マウスピース矯正(インビザラインなど)
透明なマウスピースを使った矯正は、見た目が自然で取り外しも可能。
ただし、下の歯だけの矯正に適応できるかどうかは症例によります。
部分矯正と全体矯正の違い
「下の歯だけ動かせばいい」と思っても、噛み合わせの関係で上の歯も動かす必要がある場合があります。部分矯正で対応できるケースと、全体矯正が必要なケースを見極めるのは専門医の判断が欠かせません👩⚕️👨⚕️
下の歯だけの矯正の費用と期間
費用の目安
- 部分矯正:20〜50万円程度💴
- 全体矯正:80〜120万円程度
治療期間
- 部分矯正:約6か月〜1年
- 全体矯正:2〜3年
期間や費用は歯並びの状態や選ぶ装置によって変わります。
下の歯だけの矯正のメリット・デメリット

メリット
- 見た目がきれいになり笑顔に自信が持てる😁
- 噛み合わせが改善し食事や発音がスムーズに
- 歯磨きしやすくなり虫歯・歯周病予防になる🪥
デメリット
- 費用と時間がかかる
- 部分矯正は全員に適応できるわけではない
- 装置によっては違和感や痛みを感じることも⚠️
よくある質問(FAQ)
Q:「下の歯だけ矯正しても大丈夫?」
A:軽度の乱れなら可能ですが、噛み合わせの影響で全体矯正が必要になる場合もあります。
Q:「保険は使えますか?」
A:基本的に自費治療ですが、顎変形症など特殊な症例では保険適用となるケースもあります。
Q:「痛みはありますか?」
A:装置をつけた直後や調整後に数日間の違和感・痛みを感じることがありますが、徐々に慣れていきます。
Q:「矯正後にまた歯並びが乱れることはある?」
A:リテーナー(保定装置)を正しく使えば再発のリスクを大幅に減らせます👍
まとめ
- 下の歯矯正は見た目の改善だけでなく健康にもメリット大✨
- 部分矯正で済む場合と全体矯正が必要な場合がある
- 自分に合った方法を知るためには、まず歯科医院での相談が大切
「下の歯だけでもきれいにしたい!」と思ったら、まずはカウンセリングから始めてみましょう😊
🏥江戸川区篠崎で下の歯だけの矯正をご検討の方へ

下の歯だけの矯正は「部分矯正」で対応できる場合もありますが、噛み合わせの状態によっては全体矯正が必要になることもあります。当院では経験豊富な矯正担当医が丁寧に診断し、患者さま一人ひとりに最適な治療プランをご提案いたします。
【動画】アデノイド顔貌
筆者・院長

深沢 一
Hajime FUKASAWA
- 登山
- ヨガ
メッセージ
日々進化する歯科医療に対応するため、毎月必ず各種セミナーへの受講を心がけております。
私達は、日々刻々と進歩する医学を、より良い形で患者様に御提供したいと考え、「各種 歯科学会」に所属すると共に、定期的に「院内勉強会」を行う等、常に現状に甘んずる事のないよう精進致しております。 又、医療で一番大切な事は、”心のある診療”と考え、スタッフと共に「患者様の立場に立った診療」を、心がけております。


