
👀 「歯の大きさが周りと比べて小さい気がする…」「前歯だけ小さくてすきっ歯に見える」──そんなお悩みは、矮小歯(わいしょうし) が原因かもしれません。矮小歯は先天的に歯の大きさが小さく生える症状で、見た目のコンプレックスだけでなく、歯並びや噛み合わせにも影響を与えることがあります。
本記事では、矮小歯の原因・症状・治療法・費用の目安をわかりやすく解説します。放置した場合のリスクや、審美歯科での改善方法についても詳しく紹介しますので、「小さな歯が気になる」「治療を検討している」という方はぜひ参考にしてください。
矮小歯とは?
矮小歯(わいしょうし)とは、通常よりも小さな形態で生えてくる歯のことです。特に上の前歯(側切歯)や小臼歯に多く見られます。
見た目のバランスが崩れたり、歯並びに隙間ができやすいため「すきっ歯の原因」となることもあります。

矮小歯の原因 🧐
矮小歯は先天的な要因が大きく、以下のような原因が考えられます。
- 👪 遺伝的要因:家族に矮小歯の人がいる場合、子どもにも見られることが多い
- 🦷 歯の形成異常:発育過程で歯の大きさが十分に成長しなかった
- 🩺 全身的要因:まれに発育や体質の影響を受けることもある
矮小歯の症状・影響 😥
矮小歯をそのままにしておくと、さまざまな問題が生じることがあります。

- 👀 見た目のコンプレックス:前歯が小さいと笑顔に自信を持ちにくい
- 🍴 噛み合わせの不具合:奥歯に影響が及ぶと咀嚼バランスが崩れる
- 🦠 虫歯・歯周病リスク増加:隙間や段差に汚れが溜まりやすい
- 💭 心理的影響:人前で笑えない、会話に自信がなくなる
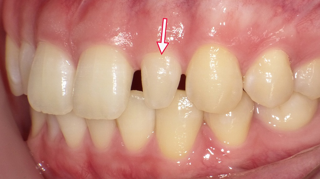
上顎側切歯が矮小歯になりやすい理由
この症例では、左右の側切歯がともに通常よりも小さい「矮小歯」となっています。


🧬 1. 発生学的な理由(歯の形成位置と発生のタイミング)
上顎側切歯は、前歯(中切歯)と犬歯の間に位置し、発生段階で非常に複雑な影響を受けやすい部位です。
歯胚(歯のもととなる組織)が形成される時期に、前後の歯胚との距離が近いため、形成スペースが十分に取れず、歯のサイズが小さくなることがあります。
- 特に中切歯と犬歯が大きい場合、側切歯の歯胚が圧迫されて小さくなる傾向があります。
- 歯の形成期(胎生約5〜6か月)に何らかの環境的影響があると、矮小化しやすくなります。
👨👩👧 2. 遺伝的要因
矮小歯は遺伝的形質として家族内で見られることが多く、常染色体優性遺伝の傾向が報告されています。
特に上顎側切歯は、形態異常や欠損(先天性欠如)など、歯の異常が最も起こりやすい部位とされています。
- 両親や兄弟姉妹にも矮小歯や欠損歯があるケースが多いです。
- 歯のサイズを決める遺伝子(MSX1, PAX9など)の影響も関係しています。
🦷 3. 形態的特徴
上顎側切歯は、他の歯と比べてもともと歯冠サイズが小さく、変異の幅が大きい歯です。
そのため、形成異常(円錐形・針状・矮小化など)が生じやすい構造的特徴があります。
矮小歯の治療法 🏥
矮小歯は審美性と機能性を回復するために、いくつかの治療法があります。
- ✨ ダイレクトボンディング:歯科用レジンを盛り足して形を整える(短期間・低コスト)
- 🪞 ラミネートベニア:薄いセラミックシェルを貼り付け、自然な白い歯に仕上げる
- 👑 セラミッククラウン:被せ物で形と色を改善(耐久性が高い)
- 📐 矯正治療との併用:スペースの調整を行った後に補綴治療を組み合わせる
👉 それぞれの治療法にはメリット・デメリットがあるため、症例や希望に合わせた選択が重要です。
矮小歯の治療費用と保険適用 💰
- 保険適用:噛み合わせや機能に問題がある場合は一部保険が適用されるケースあり
- 自費治療:
- ダイレクトボンディング:約2〜5万円
- ラミネートベニア:約8〜15万円/本
- セラミッククラウン:約10〜15万円/本
- 治療期間:数週間〜数か月が一般的
矮小歯を放置するとどうなる? ⚠️
放置してしまうと…
- 歯並びの悪化
- 噛み合わせの不調
- 発音の乱れ
- 虫歯・歯周病リスク増大
👉 早期治療で口元の美しさと健康を守ることが大切です。
矮小歯の予防・早期発見 🔍
- 定期健診で小児期から歯の形をチェック
- 家族歴がある場合は早めに歯科で相談
- 乳歯・永久歯の生え変わり時期に注意することが重要
まとめ 📝
矮小歯は小さな見た目の問題にとどまらず、歯並び・噛み合わせ・口元の印象に大きな影響を与えます。
しかし、治療法は複数あり、早期に対応すれば自然で美しい口元を取り戻すことが可能です。
江戸川区篠崎で矮小歯の治療をお考えの方は、ぜひ当院までご相談ください。
🏥江戸川区篠崎で矮小歯の治療をご検討中の方へ

江戸川区篠崎駅すぐの当歯科クリニックでは、矮小歯に対する審美治療・矯正治療を行っています。
- 🦷 専門性の高い治療
- 💡 患者さま一人ひとりに合わせたプラン提案
- 📸 症例実績も豊富
「見た目をきれいに整えたい」「噛み合わせを改善したい」など、お気軽にご相談ください。✨。😊
【動画】アデノイド顔貌
筆者・院長

深沢 一
Hajime FUKASAWA
- 登山
- ヨガ
メッセージ
日々進化する歯科医療に対応するため、毎月必ず各種セミナーへの受講を心がけております。
私達は、日々刻々と進歩する医学を、より良い形で患者様に御提供したいと考え、「各種 歯科学会」に所属すると共に、定期的に「院内勉強会」を行う等、常に現状に甘んずる事のないよう精進致しております。 又、医療で一番大切な事は、”心のある診療”と考え、スタッフと共に「患者様の立場に立った診療」を、心がけております。


