- 1. 【🎬】歯石取りで血だらけに!?その理由と“出血しない”ための正しいケア法とは
- 2. 🦷なぜ歯石取りで「血だらけ」に?
- 2.1. 🔍出血の主な原因は「歯ぐきの炎症」
- 2.1.1. 重度歯周病の症例
- 2.1.2. 重度歯周病の歯石取り後:当日~2週間後
- 2.2. ⚠️歯周病や歯肉炎のサインかも
- 2.2.1. 歯周病の症例
- 2.2.1.1. 🦷 全体の状態
- 2.2.1.2. 🔴 歯肉(歯ぐき)の状態
- 2.2.1.3. ⚠️ 臨床的なリスク
- 2.2.1.4. 💡 対応のポイント
- 2.3. 🔎歯石の種類と付着状況で出血リスクは変わる?
- 3. 💥痛みや出血が多い人の特徴とは?
- 3.1. 🧪歯石の硬さ・量が多い場合
- 3.2. 🦠歯周ポケットが深いとどうなる?
- 3.3. 🩹体質や薬の影響で出血しやすいケース
- 4. 🧬歯石取りによる「歯原性菌血症」のリスクとは?
- 4.1. 🦠歯原性菌血症とは?
- 4.2. ⚠️リスクが高まる人の特徴
- 4.3. 💡過剰に怖がる必要はないが、事前申告を
- 5. 🪥「血だらけになったらどうすればいい?」
- 5.1. 🧊出血時の応急処置と止血の方法
- 5.2. 📅出血が止まらないときの受診タイミング
- 5.3. 🧼ケアのポイント(歯磨き・うがい)
- 6. 🏥出血しにくい歯石取りとは?
- 6.1. 🌀超音波スケーラーとハンドスケーラーの違い
- 6.2. 💬事前カウンセリングで出血リスクを減らす
- 6.3. 👩⚕️歯科衛生士の技術差も影響する?
- 7. 🏖️出血させない歯石取りのために大切なこと
- 7.1. 🪥まずはプラークコントロールで炎症を抑える
- 7.2. 🦷白い歯石から、黒い歯石へ──段階的に取るのが安全
- 7.3. 👩⚕️歯科医院と二人三脚で進めるケアが理想的
- 8. 📈歯石取り後の正しいセルフケア
- 8.1. 🪥やさしい歯ブラシ・デンタルフロスの選び方
- 8.1.1. ✅おすすめのケア用品
- 8.2. 🛡️炎症予防に効果的な洗口液・ジェル
- 8.2.1. 🔹おすすめアイテム
- 8.3. 🍽️出血があるときの食事・生活習慣の注意点
- 8.3.1. 🍽️避けたいもの
- 8.3.2. 💤意識したい生活習慣
- 9. 🧾まとめ|血だらけでも大丈夫。でも放置はNG
- 10. 🦷江戸川区篠崎で「歯石取りをしたら血だらけになった…」とお困りの方へ
- 11. 【動画】歯石は自分で取れる?
- 12. 筆者・院長

✏️「歯石取りをしたら、口の中が血だらけに…」
そんな経験をされた方、意外と多いのではないでしょうか?
出血を見ると「歯医者さんで何かミスがあったのでは?」と不安になるかもしれませんが、実はそれ、歯ぐきの炎症が出しているSOSのサインかもしれません。
歯石取りで出血する原因の多くは、**歯周病や歯肉炎などの“隠れた炎症”**にあります。
本記事では、歯石取りで出血してしまう本当の理由と、痛みや出血を抑えるための段階的な治療法・セルフケアのポイントまで、わかりやすく解説します。
【🎬】歯石取りで血だらけに!?その理由と“出血しない”ための正しいケア法とは
🦷なぜ歯石取りで「血だらけ」に?
歯石取りのあとに「口の中が血だらけになって驚いた」という声は少なくありません。実は、出血の多くは歯科医師の技術不足ではなく、お口の状態が原因で起こるものです。ここでは、その理由を詳しく解説します。

🔍出血の主な原因は「歯ぐきの炎症」
歯石は、プラーク(細菌の塊)が石灰化したもので、長く放置すると歯ぐきに炎症を引き起こします。この炎症状態の歯ぐきは、ちょっとした刺激でも簡単に出血します。
特に、
- 歯周ポケットが深い
- 歯石が硬くて歯ぐきに食い込んでいる
- 定期的なクリーニングをしていない
といった場合、スケーラーによる処置中に出血が多くなる傾向があります。
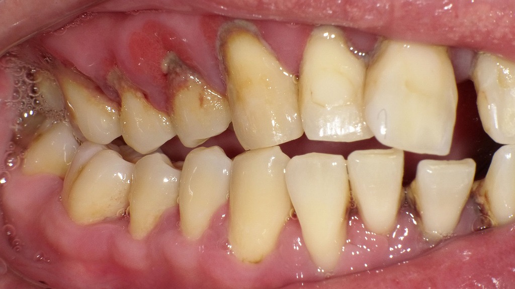
重度歯周病の症例



重度歯周病の歯石取り後:当日~2週間後



術前の写真では、歯と歯ぐきの境目や歯の根元に大量の歯石やプラークが付着しており、歯ぐきは赤く腫れ、慢性的な炎症状態にあることが分かります。このような状態では、歯ぐきの中の毛細血管がもろくなっているため、歯石を除去する際に出血が起こりやすくなります。
一方、術後の写真では歯石がしっかり取り除かれ、歯の表面や歯ぐきの境目が明瞭になっています。処置直後は一時的に出血が目立つことがありますが、これは歯周病による炎症部分が刺激された結果であり、異常ではありません。むしろ、歯周治療が適切に行われた証拠でもあります。
歯石取りで出血するのは「歯ぐきが弱いから」ではなく、歯周病によって炎症が進行していたサインです。継続的なクリーニングとセルフケアを行うことで、歯ぐきは徐々に引き締まり、出血しにくい健康な状態へと改善していきます。
⚠️歯周病や歯肉炎のサインかも
歯石取りでの出血は、歯周病の初期サインであることも。健康な歯ぐきであれば、多少の刺激でも出血しないのが普通です。
出血があった場合は、
- 歯肉炎(歯ぐきの軽い炎症)
- 歯周病(歯を支える骨まで進行)
の疑いがあるため、**「出血=歯ぐきからのSOS」**と捉えましょう。早期に治療すれば、回復は十分可能です。
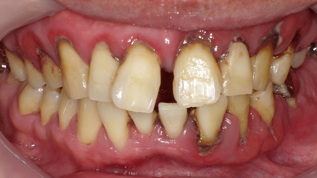
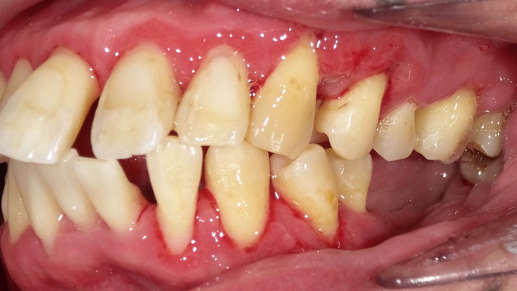
歯周病の症例
この画像は、成人の側面から撮影された口腔内写真です。以下のような特徴が確認できます。

🦷 全体の状態
- 歯の表面に**黄褐色の沈着物(歯石・歯垢)**が広く見られます。
特に下顎前歯部や上顎犬歯〜小臼歯部に顕著で、歯石の硬い付着と考えられます。 - 歯と歯の境目に**プラーク(歯垢)**が残っており、清掃不良が疑われます。
🔴 歯肉(歯ぐき)の状態
- 赤い矢印で示された上顎の歯肉は、発赤(赤く腫れている)および腫脹(はれ)が認められます。
→ これは歯肉炎あるいは歯周炎初期の典型的な症状です。 - 歯肉の縁がぷっくりと盛り上がり、歯石による慢性的な炎症刺激を受けている状態と考えられます。
⚠️ 臨床的なリスク
- このような状態でスケーリング(歯石取り)を行うと、
歯肉に炎症が強いため出血が多くなることがあります。 - 特に、歯肉縁下(歯ぐきの中)の歯石を除去する際に出血量が増し、
一時的に歯ぐきが腫れたり、痛みが出る場合もあります。 - しかし、適切な歯石除去とブラッシング指導を行うことで、
数日〜1週間程度で炎症が改善し、歯ぐきの色や形も正常に戻ることが期待されます。
💡 対応のポイント
- 歯石除去前に**口腔衛生指導(正しいブラッシング・デンタルフロス指導)**を行い、
できるだけ炎症を軽減してからスケーリングを行うと出血が少なく済みます。 - 必要に応じて、**2回法スケーリング(軽度→深部の順)**での施術が推奨されます。
🔎歯石の種類と付着状況で出血リスクは変わる?
実は「歯石」にも種類があります。
| 種類 | 特徴 | 出血リスク |
|---|---|---|
| 白い歯石(歯肉縁上歯石) | 歯ぐきの上に見える | 比較的リスク低め |
| 黒い歯石(歯肉縁下歯石) | 歯ぐきの中に潜んでいる | 出血しやすく、痛みを伴うことも |
黒い歯石は強くこびりついているうえに、見えない場所にあるため、除去の際に歯ぐきへの刺激が大きくなりがちです。
💥痛みや出血が多い人の特徴とは?
歯石取りで出血量が多くなったり、痛みを強く感じたりするのは、お口の状態や体質によって異なります。ここでは、出血や痛みが多くなりやすい人の特徴を見ていきましょう。
🧪歯石の硬さ・量が多い場合
歯石は、長期間放置されるほど硬く・強固に付着します。特に、
- 何年も歯石除去をしていない
- 自宅での歯磨きが不十分
- 喫煙習慣がある
といった方は、歯石が層のように重なってこびりついていることが多く、除去時に力が必要になり、歯ぐきに強く刺激が加わってしまうため、痛みや出血が起きやすくなります。
🦠歯周ポケットが深いとどうなる?
歯周病が進行すると「歯周ポケット(歯と歯ぐきの隙間)」が深くなり、その奥に歯石が溜まりやすくなります。
このような場合は、
- スケーラーを深く差し込んで歯石を取る必要がある
- 炎症を起こした歯ぐきに器具が当たりやすい
といった理由から、出血しやすくなるのです。また、ポケットが深ければ深いほど、麻酔や歯周外科処置が必要になるケースもあります。
🩹体質や薬の影響で出血しやすいケース
出血のしやすさには、全身の健康状態や服用中の薬も関係しています。以下のようなケースでは、特に注意が必要です。

- 血液をサラサラにする薬(抗凝固薬、抗血小板薬)を服用している
- ビタミンC不足や貧血傾向がある
- 女性ホルモンの影響で妊娠中や月経前に歯ぐきが敏感になる
これらの条件に当てはまる方は、あらかじめ歯科医に伝えることで、出血を抑える処置や配慮が可能です。
🧬歯石取りによる「歯原性菌血症」のリスクとは?
🦠歯原性菌血症とは?
歯石取りなどの処置で出血を伴うと、ごく微量ながら口腔内の細菌が血管内に入り込むことがあります。これを「歯原性菌血症(しげんせいきんけっしょう)」と呼びます。
通常、健康な人であれば体内の免疫機能により問題は起きませんが、以下のような方には注意が必要です。

⚠️リスクが高まる人の特徴
- 心臓の弁に異常がある(心内膜炎の既往がある)
- 免疫力が著しく低下している(がん治療中、免疫抑制剤を使用中など)
- 人工関節やペースメーカーなどの医療デバイスを体内に埋め込んでいる
- 糖尿病などで感染リスクが高い
このような方は、歯科治療前に内科医や主治医と連携し、必要に応じて抗菌薬を予防的に服用するケースもあります。
💡過剰に怖がる必要はないが、事前申告を
一般的な健康状態の方が歯石取りで一時的に菌血症になることは珍しくありませんが、ほとんどは自然に治癒する軽微なものです。
しかし、「自分はリスクがあるかも」と感じる方は、必ず以下を歯科医院に伝えてください:
- 現在の持病や服用中の薬
- 心臓や人工関節に関する既往歴
- 免疫力が低下している状況かどうか
早期申告により、適切な処置とリスク回避が可能になります。
🪥「血だらけになったらどうすればいい?」
歯石取り後にお口の中が「血だらけ」と感じると、驚きと不安でいっぱいになりますよね。でも、ほとんどの場合、出血は一時的で心配のいらないものです。ここでは、落ち着いて対処するためのポイントを紹介します。
🧊出血時の応急処置と止血の方法
まずは、清潔なガーゼやティッシュを軽く歯ぐきに当てて押さえることで、多くの出血は5〜10分ほどで止まります。以下の方法を試してみましょう:
- 清潔なガーゼやティッシュで5〜10分ほど圧迫する
- 冷たい水で軽く口をゆすぐ(激しくぶくぶくしない)
- 食事や喫煙、強いうがいは最低30分は避ける
出血が多くても、炎症が強かったり歯石が深く付いていたことによる自然な反応であることがほとんどです。
📅出血が止まらないときの受診タイミング
次のようなケースでは、歯科医院への再受診をおすすめします:
- 出血が30分以上続いている
- 圧迫しても出血量が増えてくる
- 痛み・腫れ・膿などの炎症症状が悪化している
- 服用している薬(例:抗凝固薬)の影響が疑われる
また、「以前より出血が増えてきた」「何度も血が出る」といった症状がある場合は、歯周病の悪化や再発の可能性もあるため、放置せず歯科へご相談ください。
🧼ケアのポイント(歯磨き・うがい)
歯石取り後の出血があっても、やさしく丁寧な歯磨きを続けることが大切です。
- 柔らかめの歯ブラシで、力を入れずに優しくブラッシング
- 出血部分も避けずに、軽くでも触れるように清掃
- 殺菌成分入りのうがい薬を使うと炎症予防に効果的
- 食後は必ずうがいをして、プラークの再付着を防ぐ
痛みや出血を恐れて歯磨きを怠ると、逆に細菌が増えて炎症が悪化しやすくなるため注意が必要です。
🏥出血しにくい歯石取りとは?
「歯石取り=痛くて血が出る」と思われがちですが、実際には方法や準備次第で“出血しにくい処置”も可能です。安心してケアを受けるために、歯科医院が工夫しているポイントを解説します。
🌀超音波スケーラーとハンドスケーラーの違い
歯石を取る方法には大きく2つあります:
| 機器 | 特徴 | 出血のしやすさ |
|---|---|---|
| 超音波スケーラー | 微細な振動で歯石を砕く | 比較的少ない |
| ハンドスケーラー | 手作業で歯石を削る | 深い場所では出血しやすいことも |
特に炎症が強い方や歯周ポケットが深い場合には、超音波スケーラーの方が歯ぐきへのダメージが少なく済む傾向があります。
💬事前カウンセリングで出血リスクを減らす
出血を防ぐ第一歩は、処置前のカウンセリングと正確な診断です。以下のような事前確認が重要です:
- 歯ぐきの状態(炎症の有無)
- 出血しやすい体質や服薬状況
- 歯石の付き方や量
これらを踏まえて治療計画を立てることで、出血のリスクを最小限に抑えることが可能です。
また、**「どのくらいの出血が正常か」**を事前に説明しておくことで、患者さんの不安を軽減することにもつながります。
👩⚕️歯科衛生士の技術差も影響する?
実は、担当する歯科衛生士のスキルや経験によっても、出血の度合いは変わります。
- 経験豊富な衛生士ほど、器具の圧力や角度を微調整できる
- 炎症部位を的確に避けたり、最小限の刺激で歯石を除去できる
- 必要に応じて麻酔や段階的な治療を提案してくれる
信頼できる歯科衛生士のケアを受けることで、「毎回血だらけになる…」といった不安も軽減されるはずです。
🏖️出血させない歯石取りのために大切なこと
歯石取りでの出血は「仕方がない」と思われがちですが、正しい準備と段階的な処置によって最小限に抑えることが可能です。ここでは、痛みや出血を抑えた歯石除去を目指すための流れをご紹介します。
🪥まずはプラークコントロールで炎症を抑える
出血の大きな原因は、**歯ぐきの炎症(歯肉炎・歯周病)**です。いきなり歯石を除去するのではなく、まずは以下を整えます。
- 歯みがき指導(ブラッシング、フロス、歯間ブラシの使い方)
- 炎症部位の洗浄、殺菌うがい薬の使用
- セルフケア強化によるプラーク(細菌)の減少
この**「前処置期間」**を設けることで、歯ぐきが引き締まり出血しにくい状態へと改善していきます。

🦷白い歯石から、黒い歯石へ──段階的に取るのが安全
歯石には以下の2種類があります:
| 種類 | 場所 | 特徴 | 出血リスク |
|---|---|---|---|
| 白い歯石(歯肉縁上) | 歯ぐきの上 | 比較的やわらかく除去しやすい | 少ない |
| 黒い歯石(歯肉縁下) | 歯ぐきの中 | 硬く強固、炎症部位に隠れている | 高い |
初回から黒い歯石を無理に取ろうとすると、強い刺激で出血や痛みが生じやすくなります。
そのため、
- 炎症を落ち着かせる
- 表面の白い歯石を除去する
- 歯周ポケットの深さを再評価
- 黒い歯石を分割して除去
という**「段階的スケーリング」**を行うことで、患者の負担を減らしつつ確実な治療が可能になります。


👩⚕️歯科医院と二人三脚で進めるケアが理想的
痛みや出血を最小限にするには、歯科医院側の技術や配慮と、患者さん自身のセルフケアの両方が欠かせません。
- 毎日の丁寧な歯みがき(プラークを減らす)
- 歯科での継続的なメンテナンス(3〜6ヶ月に1回)
- 炎症を感じたらすぐ相談する
これらを継続することで、「歯石取り=痛い・血だらけ」のイメージを払拭し、快適で安心できるメンテナンス習慣が築けます。
📈歯石取り後の正しいセルフケア
歯石取りのあと、出血や痛みがあると「どうケアすればいいの?」と戸惑うこともありますよね。実はこの**“治療後の数日間”がとても大切な期間**。正しいセルフケアを行うことで、炎症を早く抑え、再発も防ぐことができます。
🪥やさしい歯ブラシ・デンタルフロスの選び方
歯石取り後のデリケートな歯ぐきを守るためには、刺激を抑えた道具選びが重要です。
✅おすすめのケア用品
- 歯ブラシ:毛先が細く、やわらかめのもの(「ソフト」または「超ソフト」表記)
- フロス・歯間ブラシ:細めのサイズで無理なく通せるタイプ
- 電動歯ブラシ:やさしく当てるだけでOKなモデルが◎

「▶ Amazonで見る」
「▶ 楽天で見る」
歯ぐきから出血しても、そこを避けずにやさしく触れることで治りが早くなります。
🛡️炎症予防に効果的な洗口液・ジェル
治療後の炎症を抑えるには、殺菌・抗炎症作用のあるアイテムを取り入れるのがおすすめです。
🔹おすすめアイテム
- クロルヘキシジン系うがい薬(※要処方の場合あり)
- 市販の低刺激洗口液(ノンアルコールタイプ)
- 歯ぐき用ジェル(薬用)を指でマッサージするのも効果的
うがい薬は1日2〜3回を目安に使用。刺激の少ないものを選ぶことで、治癒を妨げずに使えます。
🍽️出血があるときの食事・生活習慣の注意点
出血があるときは、食事や生活習慣にも気をつけましょう。
🍽️避けたいもの
- 硬い・尖った食品(煎餅、フランスパンなど)
- 辛い・酸っぱい・熱すぎる食べ物(刺激が強くしみることあり)
- アルコールやタバコ(血流が悪くなり治癒を妨げる)
💤意識したい生活習慣
- 十分な睡眠で免疫力を保つ
- ビタミンCやたんぱく質を意識して摂る
- お風呂での長湯・激しい運動は当日だけ控える
ちょっとした心がけで、治癒のスピードが大きく変わります。
🧾まとめ|血だらけでも大丈夫。でも放置はNG
歯石取りで口の中が血だらけになると驚くかもしれませんが、多くの場合は「歯ぐきの炎症」による自然な反応です。出血=失敗ではなく、むしろ歯ぐきの不調を知らせる大切なサインと捉えましょう。
🩸 出血は歯ぐきの不調のサイン
🪥 歯科での定期ケアと自宅ケアの両立が重要
📞 不安なときはすぐに歯科医院へ相談を!
適切なケアとプロのサポートがあれば、歯ぐきは健康な状態へと回復できます。出血があるからといってケアを止めるのではなく、「今が改善のチャンス」と前向きに考えて、しっかり対策を行いましょう。
セルフケアをうまく取り入れながら、プロの力を借りることで、健康な歯を長く守ることができます。
🦷江戸川区篠崎で「歯石取りをしたら血だらけになった…」とお困りの方へ

当院では、出血の原因となる歯ぐきの炎症をしっかり見極め、痛みや出血を最小限に抑えた段階的な歯石除去を行っています。
「歯石取り=怖い」と感じている方もご安心ください。
まずはご自身の歯ぐきの状態を一緒にチェックし、無理のないプランで健康なお口へ導きます。
お気軽にご相談ください。
【動画】歯石は自分で取れる?
筆者・院長

深沢 一
Hajime FUKASAWA
- 登山
- ヨガ
メッセージ
日々進化する歯科医療に対応するため、毎月必ず各種セミナーへの受講を心がけております。
私達は、日々刻々と進歩する医学を、より良い形で患者様に御提供したいと考え、「各種 歯科学会」に所属すると共に、定期的に「院内勉強会」を行う等、常に現状に甘んずる事のないよう精進致しております。 又、医療で一番大切な事は、”心のある診療”と考え、スタッフと共に「患者様の立場に立った診療」を、心がけております。


