
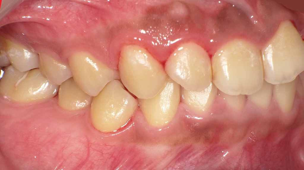
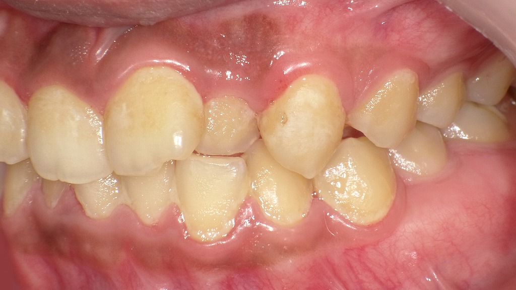
本症例は、20代患者にみられた左上2番の舌側転位により清掃不良が生じ、前歯部を中心に歯肉炎が顕著となっていたケースである。初診時にはプラークの付着に伴う歯肉の腫脹・発赤が明瞭であったが、スケーリングおよびブラッシング指導により1か月後には炎症が大きく改善した。しかし、セルフケアの継続が不十分となったことで、3か月後には再びプラークが沈着し、歯肉炎が軽度ながら再発する経過を示した。
本症例は、歯列不正による清掃困難部位の管理と、プラークコントロールの継続が歯周健康維持に重要であることを示唆している。🦷✨。
プラークコントロールが歯肉炎の改善と再発に及ぼす影響:初診・1か月後・3か月後の比較症例
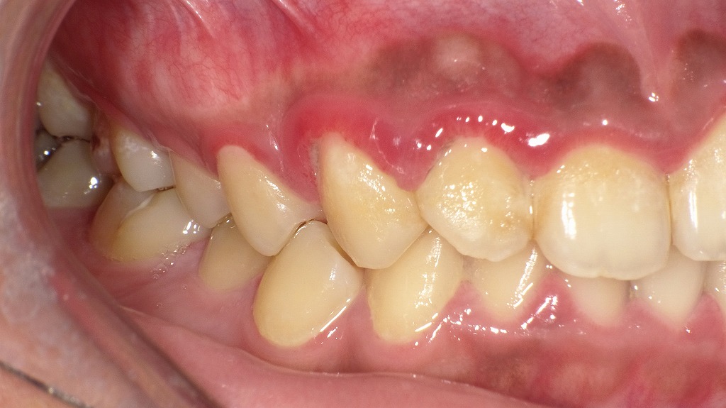
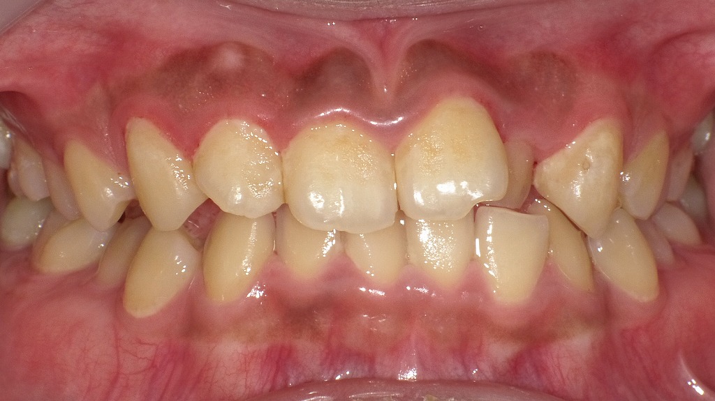
⚠️初診時
プラーク付着による歯肉の腫脹・発赤が顕著



初診時は、上顎前歯部を中心に歯茎が赤く腫れ、ブラッシング時の出血も認められる状態でした。プラークの付着が多く、炎症が全体に広がっていることが確認できます。特に左上2番の舌側転位により清掃不良が生じ、歯茎の腫れが顕著です。
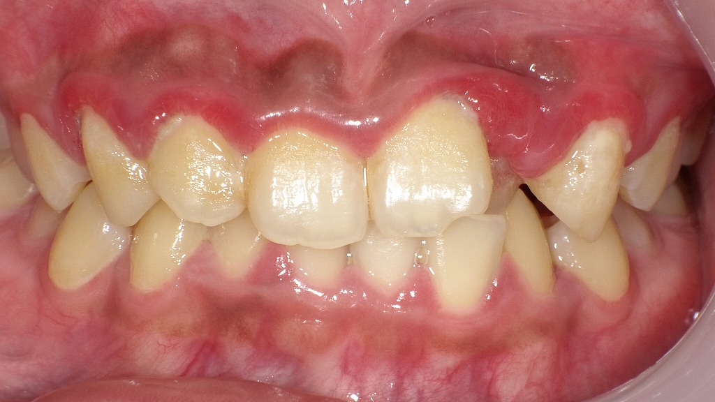
😊術後1か月後
スケーリングと歯磨き指導により歯茎の腫れが改善



スケーリングと正しいブラッシング習慣の徹底により、前歯部の歯茎の腫れと発赤が大きく改善。歯肉の厚ぼったさが軽減され、健康的な引き締まった歯茎の形態が戻っています。
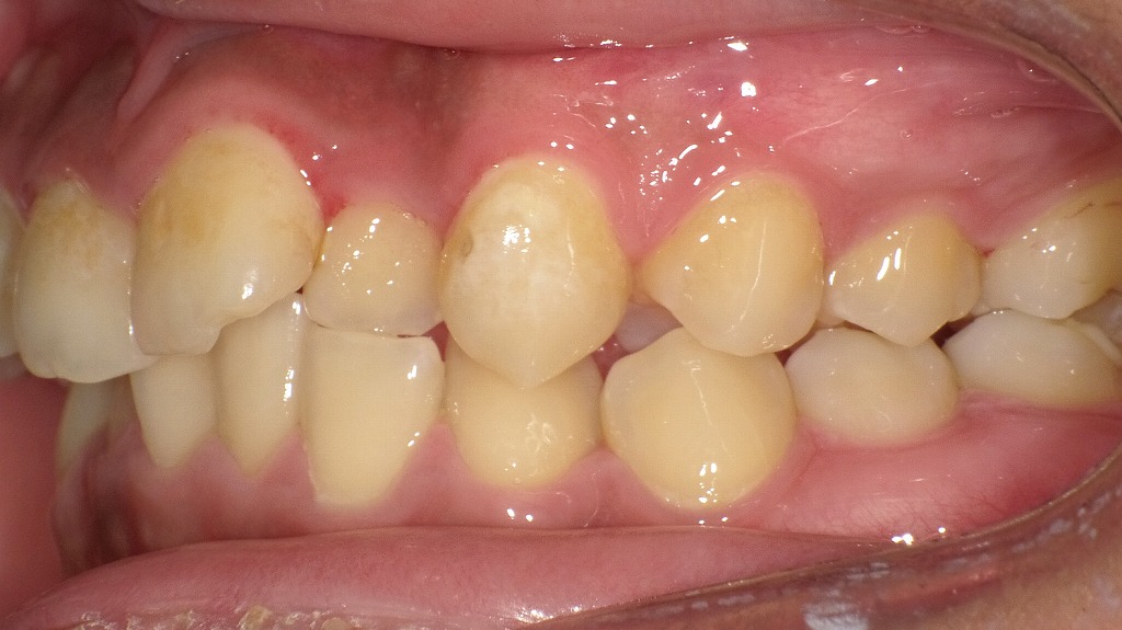
🦷✨術後3か月後
プラークコントロール不良により歯肉炎がやや再発



前歯部の歯肉に再び発赤と腫脹がみられ、ブラッシング不足によるプラークの再付着が確認されます。治療後に改善していた歯茎が、セルフケアの低下に伴い再び炎症を起こし始めた状態です。
江戸川区篠崎で、歯並びによる「磨きにくさ」や歯肉炎の再発にお悩みの方へ💧

江戸川区篠崎の当院では、磨きにくい歯並びによる清掃不良や歯肉炎の再発を防ぐため、患者さま一人ひとりの状態に合わせたスケーリングとブラッシング指導を丁寧に行っています。日々のセルフケアまでしっかりサポートし、長期的に健康な歯茎を維持できる診療を心がけています😊。
筆者・院長

深沢 一
Hajime FUKASAWA
- 登山
- ヨガ
メッセージ
日々進化する歯科医療に対応するため、毎月必ず各種セミナーへの受講を心がけております。
私達は、日々刻々と進歩する医学を、より良い形で患者様に御提供したいと考え、「各種 歯科学会」に所属すると共に、定期的に「院内勉強会」を行う等、常に現状に甘んずる事のないよう精進致しております。 又、医療で一番大切な事は、”心のある診療”と考え、スタッフと共に「患者様の立場に立った診療」を、心がけております。


