- 1. ⚠️ 歯周病になりやすい人の特徴
- 1.1. 🪥 歯磨き不足や磨き残しが多い人
- 1.1.1. 歯磨き不足によるプラーク残存による中等度歯周病の口腔内
- 1.2. 🚬 喫煙習慣がある人
- 1.3. 🦷歯石がたまりやすい人
- 1.4. 😵💫 ストレスや睡眠不足が多い人
- 1.5. 🩺 糖尿病など全身疾患がある人
- 1.6. 👨👩👧 家族に歯周病の人がいる(遺伝的要因)
- 1.7. 🦠レッドコンプレックスに感染している人
- 1.7.1. レッドコンプレックスとは?
- 2. 歯周病に罹患している症例-術前・術後
- 2.1. 術前:歯周病に罹患している症例
- 2.1.1. 🔹1. ステイン(着色)
- 2.1.2. 🔹2. 歯垢(プラーク)
- 2.1.3. 🔹3. 歯石
- 2.1.4. 🔹4. タバコのヤニの影響
- 2.1.5. 🔹5. 歯周病の進行状況
- 2.1.6. 🔹まとめ
- 2.2. 術後:歯周病に罹患している症例
- 2.2.1. 🔹1. 歯石除去後の状態
- 2.2.2. 🔹2. ブラッシング指導による効果
- 2.2.3. 🔹3. 一部に出血が残る
- 2.2.4. 🔹4. エアフローによるステイン除去
- 2.2.5. 🔹5. 歯肉の改善と退縮(歯ぐきが下がる)
- 2.2.6. 🔹まとめ
- 3. 🍩 歯周病リスクを高める生活習慣
- 3.1. 🍭 間食や甘い飲み物が多い
- 3.2. 😴 不規則な生活や免疫力の低下
- 3.3. 🦷 定期検診を受けていない
- 4. 🧬 歯周病になりやすい体質とは?
- 4.1. 💧 唾液が少なく口が乾きやすい(ドライマウス)
- 4.2. 😬 歯並びが悪く磨きにくい部分が多い
- 4.3. 🛡️ 免疫反応が弱く炎症が起こりやすい
- 5. 🛡️ 歯周病を防ぐためにできること
- 5.1. 🪥 正しいブラッシングとフロスの習慣化
- 5.2. 🧼 歯科医院での定期的なクリーニング
- 5.3. 🚭 禁煙や食生活の改善
- 5.4. 🩺 生活習慣病(糖尿病など)のコントロール
- 6. ✅ まとめ|歯周病になりやすい人は予防習慣がカギ
- 7. 📍 江戸川区篠崎で歯周病リスクが高い方へ
- 8. 筆者・院長

「歯周病は誰でもなるの?」と疑問に思ったことはありませんか?実は、歯周病になりやすい人には共通する特徴や生活習慣があります。本記事では、歯周病リスクが高い人の特徴と、その予防法についてわかりやすく解説します。
⚠️ 歯周病になりやすい人の特徴

🪥 歯磨き不足や磨き残しが多い人
歯周病の最大の原因はプラーク(細菌のかたまり)です。歯磨きが不十分だったり、磨き残しが多い人は細菌が増殖しやすく、歯ぐきに炎症が起こりやすいため、歯周病のリスクが高まります。
歯磨き不足によるプラーク残存による中等度歯周病の口腔内



歯磨きが不十分な状態では、歯面や歯間部にプラーク(歯垢)が多く残り、歯肉の炎症や出血、歯周ポケットの形成につながります。写真では、上下前歯部を中心に着色・歯垢の付着が認められ、歯肉の軽度腫脹も見られるなど、歯周病リスクが高い口腔内所見を示しています。適切なブラッシング指導と定期的なクリーニングが重要です。
🚬 喫煙習慣がある人
タバコは血流を悪化させ、歯ぐきの免疫力を低下させる大きな要因です。さらに、喫煙者は歯ぐきの腫れや出血などの症状が出にくいため、気づかないうちに重症化しやすいという特徴があります。

喫煙によって付着するタバコのヤニは、歯の表面をザラつかせ、プラークや歯石が溜まりやすい状態を作ります。
さらに喫煙は歯ぐきの血流を低下させ、炎症や出血といった歯周病のサインが現れにくくなります。
そのため、気づかないうちに歯周病が進行し、歯を支える骨が失われていくリスクが高まります。
喫煙習慣がある方ほど、定期的な歯科でのクリーニングとチェックが重要です。
🦷歯石がたまりやすい人
歯みがきが不十分な人や、唾液が多く歯垢が固まりやすい人は歯石が付着しやすくなります。歯石は歯周病菌の温床となり、歯ぐきの腫れや歯の浮く原因になります⚠️ 定期的な歯石除去が重要です。

下顎の前歯の裏側(舌側)は唾液腺が近く、歯石が非常に付着しやすい部位です。歯石は歯磨きでは取れず、放置すると歯ぐきの炎症や歯の浮く感じを引き起こします。定期的な歯石除去と歯周治療が、歯周病予防の第一歩です。
😵💫 ストレスや睡眠不足が多い人
ストレスや睡眠不足は、免疫力を下げて細菌に対抗する力を弱めるため、歯周病が進行しやすくなります。さらに歯ぎしりや食いしばりの習慣があると、歯や歯ぐきに大きな負担をかけてしまいます。
🩺 糖尿病など全身疾患がある人
糖尿病は歯周病と強く関連しており、血糖コントロールが不良だと歯周病が悪化しやすいことが知られています。逆に歯周病を治療することで、糖尿病の症状改善につながるケースもあります。
👨👩👧 家族に歯周病の人がいる(遺伝的要因)
家族に歯周病が多い場合、遺伝的に歯周病菌への抵抗力が弱い可能性があります。また、生活習慣や口腔内の細菌環境が家族で似ていることも、歯周病になりやすい一因となります。
🦠レッドコンプレックスに感染している人
レッドコンプレックスとは?
「レッドコンプレックス」とは、重度の歯周病に深く関与する3種類の細菌群を指します。
- 🔴 ポルフィロモナス・ジンジバリス(P. gingivalis)
- 🔴 タネレラ・フォーサイシア(T. forsythia)
- 🔴 トレポネーマ・デンティコラ(T. denticola)
これらの菌は単独ではなく、互いに協力してバイオフィルムを形成し、強力に歯周組織を破壊します。
歯周病に罹患している症例-術前・術後
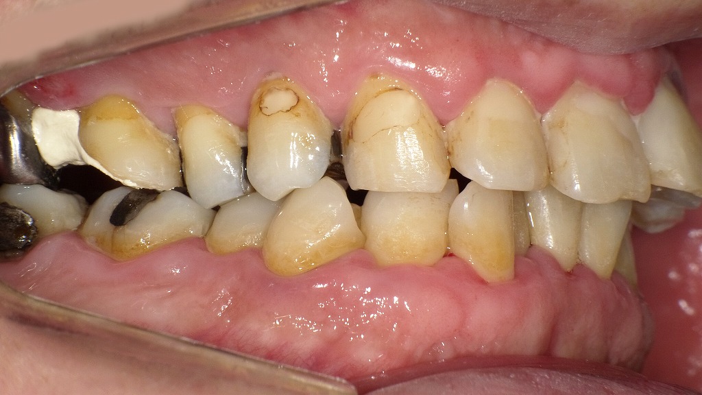
術前:歯周病に罹患している症例
この画像は、右側を中心に撮影された口腔内写真です。歯の表面や歯と歯ぐきの境目に、汚れや沈着物が多く見られます。以下のように分類して解説します。

🔹1. ステイン(着色)
矢印で示されている「ステイン」は、コーヒー・紅茶・タバコのヤニなどによる表面の着色汚れです。
歯の表面に付着しているだけなので、**歯科医院でのクリーニング(PMTCやエアフロー)**で比較的簡単に除去できます。
🔹2. 歯垢(プラーク)
中央部の「歯垢」は、**細菌のかたまり(バイオフィルム)**で、白っぽいまたは黄白色をしています。
歯ブラシが届きにくい歯と歯ぐきの境目に溜まりやすく、放置すると歯石に変化します。
歯垢が残ると、歯肉炎や歯周病の原因になります。
🔹3. 歯石
右側に示されている「歯石」は、歯垢が唾液中のカルシウムと結合して石灰化した硬い沈着物です。
表面がザラついており、さらに新しい歯垢が付きやすくなるため、歯周病を悪化させる原因になります。
自分では除去できないため、**歯科医院でのスケーリング(歯石取り)**が必要です。
🔹4. タバコのヤニの影響
歯の全体に茶褐色のヤニの沈着が見られます。
ヤニは歯垢や歯石の付着を助長し、歯ぐきの血流を悪化させるため、歯周病を進行させやすい要因です。
🔹5. 歯周病の進行状況
歯ぐきがやや下がり、歯と歯の間が広がって見えます。
また、歯石の沈着量や歯ぐきの炎症の程度から判断すると、**中等度の歯周病(歯周炎)**が疑われます。
歯を支える骨が部分的に吸収している可能性もあります。
🔹まとめ
この状態は、
- 歯石・歯垢の除去(スケーリング)
- 着色除去(エアフロー)
- 禁煙やブラッシング指導
を行うことで改善可能です。
ただし、すでに歯周病が進行している場合は、歯周外科などの歯周治療が必要になります。
術後:歯周病に罹患している症例
この画像は、同症例の写真(歯石・ヤニ・歯垢が多く付着していた状態)の治療後の状態を示しています。以下のような改善が確認できます。

🔹1. 歯石除去後の状態
歯と歯ぐきの境目にあった茶色い歯石が除去されています。
スケーリング(歯石取り)によって、歯面が清潔になり、歯肉炎症が大幅に軽減しています。
🔹2. ブラッシング指導による効果
患者さん自身のセルフケアの質が向上したことで、歯垢の再付着が減少。
歯ぐきの腫れや赤みが改善し、全体的に引き締まった健康的な歯肉が見られます。
🔹3. 一部に出血が残る
奥歯付近など、一部の歯間部にわずかな歯肉出血の跡が確認されます。
これはまだ軽度の炎症が残っているためで、継続的なブラッシングと定期清掃で改善が期待できます。
🔹4. エアフローによるステイン除去
前回の写真で目立っていたヤニ・茶渋によるステインがほぼ除去されています。
歯面の色調が均一になり、自然な白さが回復しています。
🔹5. 歯肉の改善と退縮(歯ぐきが下がる)
炎症が治まるとともに、歯肉が引き締まり下がって見える部分があります。
これは「歯ぐきが健康を取り戻した証拠」でもありますが、
見た目上、**歯が長く見える(歯肉退縮)**ことがあります。
進行を防ぐために、正しいブラッシング圧と定期メンテナンスが大切です。
🔹まとめ
- 歯石除去とエアフローで清潔な口腔環境に改善
- 炎症が減り、歯ぐきの色が健康的なピンク色に回復
- 一部に出血が残るが、今後のケアでさらに改善可能
- 歯肉退縮は炎症改善後の自然な変化であり、経過観察が必要
📸このように、定期的な歯科クリーニングと正しいブラッシングで、
中等度歯周病でも大きく改善が見られます。
🍩 歯周病リスクを高める生活習慣
🍭 間食や甘い飲み物が多い
砂糖を含むお菓子やジュースを頻繁に摂取すると、歯周病菌や虫歯菌が好む環境をつくってしまいます。間食や清涼飲料水の習慣がある人は、歯周病リスクが高くなるため注意が必要です。
😴 不規則な生活や免疫力の低下
睡眠不足やストレス、偏った食生活は、免疫力を低下させ歯ぐきの抵抗力を弱める要因となります。その結果、歯周病菌に対抗できず炎症が進みやすくなります。生活習慣の見直しも大切な予防策です。
🦷 定期検診を受けていない
歯周病は自覚症状が少ないまま進行する病気です。定期的な歯科検診やクリーニングを受けていないと、気づいたときには重度に悪化しているケースも少なくありません。半年に1回の検診で早期発見・予防が可能です。
🧬 歯周病になりやすい体質とは?
💧 唾液が少なく口が乾きやすい(ドライマウス)
唾液には、口の中を洗い流し細菌の繁殖を抑える働きがあります。唾液の分泌が少ないドライマウス傾向の人は、細菌が増えやすく歯周病リスクが高いのが特徴です。薬の副作用や加齢、ストレスも要因になります。
😬 歯並びが悪く磨きにくい部分が多い
歯並びがガタガタしていると、歯ブラシが届かない場所にプラークが溜まりやすいです。結果として磨き残しが増え、歯周病や虫歯が進行しやすくなります。矯正治療や部分磨き用のタフトブラシで対応することが大切です。
🛡️ 免疫反応が弱く炎症が起こりやすい
体質的に免疫反応が弱い人は、歯周病菌に対する抵抗力が低く、炎症が起こりやすい傾向があります。糖尿病やストレスなども免疫機能を下げる要因となり、歯周病の発症や悪化につながります。
🛡️ 歯周病を防ぐためにできること
🪥 正しいブラッシングとフロスの習慣化
毎日の歯磨きはもちろん、歯間ブラシやデンタルフロスを併用することでプラークを徹底的に除去できます。特に歯と歯の間の清掃は、歯周病予防に欠かせません。
🧼 歯科医院での定期的なクリーニング
自宅でのケアだけでは限界があるため、3〜6か月ごとの歯科検診やクリーニングが大切です。プロによる除去で歯石やバイオフィルムを取り除き、歯ぐきの健康を保ちます。
🚭 禁煙や食生活の改善
喫煙は歯周病の大きなリスク要因。禁煙することで歯ぐきの血流や免疫力が改善し、予防につながります。また、バランスの良い食事は全身の健康とともに歯周病予防にも効果的です。
🩺 生活習慣病(糖尿病など)のコントロール
糖尿病は歯周病と相互に悪影響を与えることが分かっています。血糖コントロールをしっかり行うことで歯周病の進行を防ぐ効果があります。歯周病治療と生活習慣病の管理を並行することが理想です。
✅ まとめ|歯周病になりやすい人は予防習慣がカギ
歯周病になりやすい人には、🪥 歯磨き不足 や 🚬 喫煙習慣、💧 唾液の少なさ など、生活習慣や体質に共通点があります。
しかし、
✨ 毎日の正しいケア
✨ 定期的な歯科検診
✨ 健康的な生活習慣
を徹底することで、歯周病のリスクを大幅に減らすことが可能です。
「自分はなりやすいかも?」と感じた方は、早めに予防を始めることが大切です😊。
📍 江戸川区篠崎で歯周病リスクが高い方へ

歯周病は「自分には関係ない」と思っていても、歯磨き不足・喫煙・ストレス・体質などによって誰でもリスクが高まる可能性があります。
当歯科クリニック(江戸川区篠崎駅南口徒歩1分)では、歯周病リスクが高い方のために、予防ケアから治療までトータルでサポートしています。精密検査を用いて、患者さん一人ひとりに合ったプランをご提案。
「自分は歯周病になりやすいかも」と感じたら、江戸川区篠崎の地域密着型歯科医院である当院にぜひご相談ください。将来の歯を守るために、今から一緒に予防を始めましょう✨。
筆者・院長

深沢 一
Hajime FUKASAWA
- 登山
- ヨガ
メッセージ
日々進化する歯科医療に対応するため、毎月必ず各種セミナーへの受講を心がけております。
私達は、日々刻々と進歩する医学を、より良い形で患者様に御提供したいと考え、「各種 歯科学会」に所属すると共に、定期的に「院内勉強会」を行う等、常に現状に甘んずる事のないよう精進致しております。 又、医療で一番大切な事は、”心のある診療”と考え、スタッフと共に「患者様の立場に立った診療」を、心がけております。


