- 1. 🦷歯周病の匂いはどんな臭い?原因・チェック方法・治療法まで徹底解説
- 1.1. 💭歯周病の匂いはどんな臭い?
- 1.2. 歯周病の症例
- 1.2.1. 🦷 上顎の状態(赤い矢印部分)
- 1.2.2. ⚪ 下顎の状態
- 1.2.3. 😷 臭い(口臭)について
- 1.2.4. 🩺 総合的な所見
- 1.3. 🔍歯周病の匂いが起こる原因
- 1.3.1. ① 歯周ポケットの中で細菌が繁殖
- 1.3.2. ② プラーク・歯石の蓄積
- 1.3.3. ③ ドライマウス・口呼吸
- 1.3.4. ④ 喫煙・不規則な生活
- 1.4. 🪞歯周病の匂いをセルフチェック!
- 1.5. 🏥歯周病による匂いの治療法
- 1.5.1. ① 歯石除去(スケーリング)
- 1.5.2. ② 歯周ポケットの清掃(SRP)
- 1.5.3. ③ 重度の場合の外科治療
- 1.5.4. ④ 正しいホームケアの継続
- 2. 🌿歯周病の匂いを予防するには?
- 2.1. 🧼 1. 毎日の正しいブラッシング
- 2.2. 💧 2. 唾液を増やす生活習慣
- 2.3. 🚭 3. 禁煙・ストレスケア
- 2.4. 🦷 4. 定期検診を受ける
- 3. ⚠️歯周病の匂いを放置すると…
- 4. 💬まとめ|歯周病の匂いは「治療のサイン」です
- 5. 江戸川区篠崎で歯周病の匂いにお悩みの方へ💧
- 6. 筆者・院長

「口の中が臭う気がする」「家族に“口が臭い”と言われた」——そんな経験はありませんか?😢
実はその匂い、歯周病が原因かもしれません。歯周病は歯ぐきの炎症だけでなく、細菌が発するガスによって強い悪臭(口臭)を伴うことがあります。
この記事では、歯周病の匂いの特徴・原因・セルフチェックの方法、そして歯科での治療法や予防のコツまで、歯科医の視点でわかりやすく解説します🦷✨。
🦷歯周病の匂いはどんな臭い?原因・チェック方法・治療法まで徹底解説
💭歯周病の匂いはどんな臭い?
歯周病の匂いは、よく「生ごみ」「腐った卵」「ドブのような臭い」と表現されます💨。
これは、歯周ポケット(歯と歯ぐきのすき間)で増えた歯周病菌が発生させるガスが原因です。特に「揮発性硫黄化合物(VSC)」と呼ばれるガスが、悪臭の元になります。
🦠 代表的な臭い成分
- メチルメルカプタン:腐ったキャベツのような臭い
- 硫化水素:ゆで卵が腐ったような臭い
- ジメチルサルファイド:生ごみのような臭い
これらが混ざると、まさに「口臭の中でも最も強い悪臭」になります。
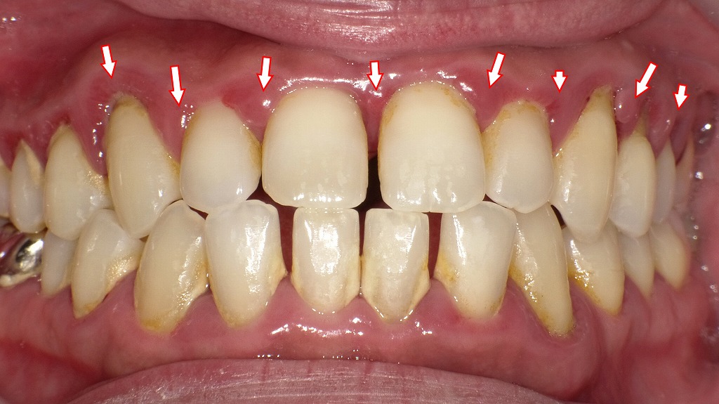
歯周病の症例
この画像は、歯周病による歯肉の炎症と歯石の沈着を示しています。

🦷 上顎の状態(赤い矢印部分)
- 歯肉が赤く腫れている(発赤・腫脹)
→ 炎症反応が起きており、歯肉炎〜歯周病初期の典型的な所見です。 - 歯と歯茎の境目に歯垢(プラーク)・歯石が付着
→ 歯石の表面には細菌が繁殖しやすく、炎症を悪化させます。 - 歯肉のラインがやや不揃いで、歯肉退縮(歯茎が下がる)傾向も見られます。
⚪ 下顎の状態
- 歯の根元付近に白っぽい歯石が顕著
→ 特に下前歯の裏側や歯と歯の間に、硬い歯石(歯垢の石灰化)が確認されます。
→ この部位は唾液腺の出口が近く、歯石がつきやすい代表的な場所です。 - 歯石があることでブラッシングが不十分になり、さらに細菌の温床となっています。
😷 臭い(口臭)について
- 歯周病では、歯周ポケット内で嫌気性菌が増殖し、
「硫化水素」や「メチルメルカプタン」などの揮発性硫黄化合物を発生させます。
→ これが、歯周病特有の不快な口臭の原因です。
🩺 総合的な所見
- 上下ともに歯垢・歯石の蓄積が見られ、
歯肉炎〜軽度〜中等度の歯周病が疑われます。 - このまま放置すると、歯槽骨の吸収や歯の動揺につながるおそれがあります。
🔍歯周病の匂いが起こる原因

① 歯周ポケットの中で細菌が繁殖
歯周病は、歯ぐきと歯の間にできたすき間(歯周ポケット)で細菌が増える病気です。
このポケット内の細菌が食べカスや血液を分解し、悪臭ガスを発生させます。
② プラーク・歯石の蓄積
歯みがきが不十分だと、歯の表面にプラーク(歯垢)が溜まり、やがて歯石になります🪥。
歯石は細菌の温床となり、炎症と匂いをさらに悪化させます。

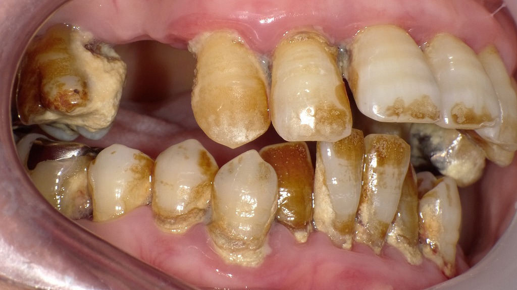
歯の表面や歯と歯ぐきの境目に、プラーク(歯垢)や歯石が大量に蓄積している状態です。これらの中では歯周病菌が増殖し、揮発性硫黄化合物(VSC)と呼ばれるガスを発生させるため、強い口臭の原因となります。歯石は歯みがきでは除去できないため、歯科医院での専門的なクリーニングと歯周治療が不可欠です。
③ ドライマウス・口呼吸
唾液には口内を洗い流す作用があります💧。
しかし、口呼吸や加齢、ストレスなどで唾液が減ると、細菌が増えやすくなり口臭が強くなります。
④ 喫煙・不規則な生活
タバコ🚬は血流を悪くし、歯ぐきの抵抗力を低下させます。
また、睡眠不足やストレスも免疫を下げ、歯周病を進行させてしまいます。
🪞歯周病の匂いをセルフチェック!
歯周病の匂いは、自分では気づきにくいもの。以下のサインがあれば注意しましょう⚡
- 朝起きたときに口がネバつき、臭いが強い
- 歯ぐきから血や膿が出る
- 歯ブラシやフロスに臭いがつく
- 歯ぐきが赤く腫れている・下がってきた
- 家族やパートナーに「口臭がする」と言われた
これらが当てはまる場合、歯周病が進行している可能性があります。
🏥歯周病による匂いの治療法

① 歯石除去(スケーリング)
歯科医院では、専用の器具で歯石やプラークを徹底的に除去します。
これにより、細菌の温床を断ち、匂いの元を取り除けます🦷。
② 歯周ポケットの清掃(SRP)
歯ぐきの中まで入り込んだ歯石を取り除く治療です。
歯根面をなめらかにすることで、再び細菌がつきにくくなります。
③ 重度の場合の外科治療
歯周ポケットが深くなっている場合は、フラップ手術などで直接歯根を清掃します🔬。
これにより、膿や感染部位を確実に除去できます。


④ 正しいホームケアの継続
治療後も、歯ブラシ・フロス・歯間ブラシでのセルフケアが重要です。
歯科衛生士によるブラッシング指導を受けると、効果的なケア方法が身につきます🪥。
🌿歯周病の匂いを予防するには?
🧼 1. 毎日の正しいブラッシング
歯と歯ぐきの境目を丁寧に磨くことで、細菌の繁殖を防げます。
フッ素入り歯磨き粉を使うと、虫歯予防にも効果的です✨。
💧 2. 唾液を増やす生活習慣
よく噛む・水をこまめに飲む・ガムを噛むなど、唾液分泌を促しましょう。
口呼吸の改善も大切です😮💨→😌(鼻呼吸へ)。
🚭 3. 禁煙・ストレスケア
喫煙は歯周病を悪化させる最大の要因の一つです。
禁煙とともに、睡眠・栄養バランスを整えることも匂い予防につながります。
🦷 4. 定期検診を受ける
3〜6ヶ月ごとの歯科検診で歯石を取り除き、早期発見・早期治療を行いましょう。
プロのケアで、歯ぐきの健康と口臭のない口内環境を維持できます。
⚠️歯周病の匂いを放置すると…
匂いを「口臭スプレーでごまかす」だけでは、根本的な解決になりません。
放置すると歯周病が進行し、歯ぐきから膿が出たり、最終的には歯を失う危険性もあります😱。
また、歯周病菌は血流を通じて全身に回り、糖尿病や心臓病のリスクも高めることが分かっています。
💬まとめ|歯周病の匂いは「治療のサイン」です

歯周病による匂いは、歯ぐきからのSOSサインです🚨。
原因を突き止めて適切に治療すれば、口臭は確実に改善できます。
「最近、口が臭うかも…」と感じたら、早めに歯科で相談しましょう🦷✨。
江戸川区篠崎の当歯科クリニックでは、
歯周病治療から口臭ケアまで、丁寧にサポートしています。
ぜひお気軽にご相談ください😊。
江戸川区篠崎で歯周病の匂いにお悩みの方へ💧

歯周病の匂いは、単なる口臭ではなく「歯ぐきのSOS」かもしれません⚠️。
放置せず、専門的なケアで早めに改善することが大切です。
江戸川区篠崎の当歯科クリニックでは、歯周病治療から口臭対策まで、
丁寧なカウンセリングと最新の治療でサポートいたします🦷✨。
気になる方は、どうぞお気軽にご相談ください😊。
筆者・院長

深沢 一
Hajime FUKASAWA
- 登山
- ヨガ
メッセージ
日々進化する歯科医療に対応するため、毎月必ず各種セミナーへの受講を心がけております。
私達は、日々刻々と進歩する医学を、より良い形で患者様に御提供したいと考え、「各種 歯科学会」に所属すると共に、定期的に「院内勉強会」を行う等、常に現状に甘んずる事のないよう精進致しております。 又、医療で一番大切な事は、”心のある診療”と考え、スタッフと共に「患者様の立場に立った診療」を、心がけております。


