- 1. 超音波スケーラーとは?
- 1.1. 手用スケーラーとの違い
- 1.2. 超音波スケーラーの金属チップ
- 1.2.1. 🔹 特徴と役割
- 1.3. 超音波スケーラーの使用場面
- 1.3.1. 超音波スケーラーの目的
- 1.4. 超音波スケーラーのメリット
- 1.5. デメリットや注意点
- 1.6. 超音波スケーラーと手用スケーラーの比較
- 2. 歯石だらけの前歯がここまで変わる!歯石除去+前歯治療の劇的ビフォーアフター
- 2.1. ◆ 術前:歯石と古い差し歯で前歯が崩れた状態
- 2.2. ◆ 術後:歯周治療と差し歯の再製作で自然な前歯に回復
- 3. よくある質問(Q&A)
- 3.1. Q1. 痛みはありますか?
- 3.2. Q2. 自宅用の超音波スケーラーは安全?
- 3.3. Q3. どのくらいの頻度で受ければよい?
- 4. まとめ
- 5. 📍 江戸川区篠崎での歯石取り・超音波スケーラー対応
- 6. 筆者・院長

「歯科医院で歯石取りを受けたときに「キーン」という音や水しぶきを感じたことはありませんか?🦷
これは「超音波スケーラー」と呼ばれる器具を使った処置です。効率的に歯石やバイオフィルムを除去できる一方で、「痛いのでは?」「歯に負担はないの?」と不安に思う方も少なくありません。
この記事では、超音波スケーラーの仕組みやメリット・デメリット、よくある疑問について詳しく解説します✨
超音波スケーラーとは?
超音波スケーラーは、超音波の振動を利用して歯石やプラークを取り除く機械です。
先端のチップが1秒間に数万回振動し、水と一緒に歯石を粉砕して除去します💧。


手用スケーラーとの違い
手でカリカリと削る従来の「手用スケーラー」に比べ、短時間で効率よく歯石を取れるのが特徴です。
超音波スケーラーの金属チップ
こちらの写真は、超音波スケーラーの金属チップ(先端部分)を示しています。
このチップは、歯石除去において最も重要な役割を担う部品で、超音波振動によって歯面に付着した汚れや歯石を効率的に取り除きます。

🔹 特徴と役割
- 微細な振動:1秒間に数万回の超音波振動で、歯石を粉砕・除去します。
- 細い先端形状:歯と歯の間や歯ぐきの縁下など、狭い部位にも正確にアプローチできます。
- 水流による冷却効果:使用中はチップから水が出て、発熱を抑えながら歯周ポケット内を洗浄します。
🔹 チップ形状の違い
写真のように湾曲したタイプは、奥歯の裏側や歯周ポケットの深い部分など、直線的なチップでは届きにくい場所に効果的です。
🦷 ポイント:
チップは定期的に交換・メンテナンスが必要です。摩耗すると振動効率が低下し、除去力や治療の安全性に影響します。そのため、衛生的な管理と適切な使用が欠かせません。
超音波スケーラーの使用場面
この写真は、超音波スケーラーを使用して歯石を除去している場面です。
歯科衛生士が専用の金属チップを歯面に軽く当て、微細な超音波振動と水流の力で、歯にこびりついた歯石やプラーク(細菌のかたまり)を効率的に取り除いています。


この処置は、歯周病予防や口臭改善、歯ぐきの健康維持に欠かせないステップです。
定期的なプロフェッショナルクリーニング(PMTC)と合わせて、清潔で健康な口腔環境を保ちましょう。
超音波スケーラーの目的
- 定期検診での歯石取り
- 歯周病治療時のプラーク・歯石除去
- バイオフィルムの破壊
超音波スケーラーのメリット

- 効率的に歯石を除去できる 🪥
手作業より短時間でスッキリ。 - 歯や歯ぐきへの負担が少ない 💡
軽い振動で歯面を傷つけにくい。 - 治療時間の短縮 ⏱
患者さんの負担も軽減。 - 痛みが少ないケースも多い 😊
音や振動はあるものの、チクチクした痛みを感じにくい方も多いです。
デメリットや注意点
- 音や振動が苦手な人もいる 😖
- 水しぶきや金属音による不快感 💦
- インプラントや補綴物の周囲では使用に注意 ⚠️
超音波スケーラーと手用スケーラーの比較

- 施術時間 → 超音波スケーラーの方が短時間
- 痛み・不快感 → 超音波は振動や音、手用はチクチク感
- 取り残し → 状況により、両方を併用して丁寧に仕上げることもあります
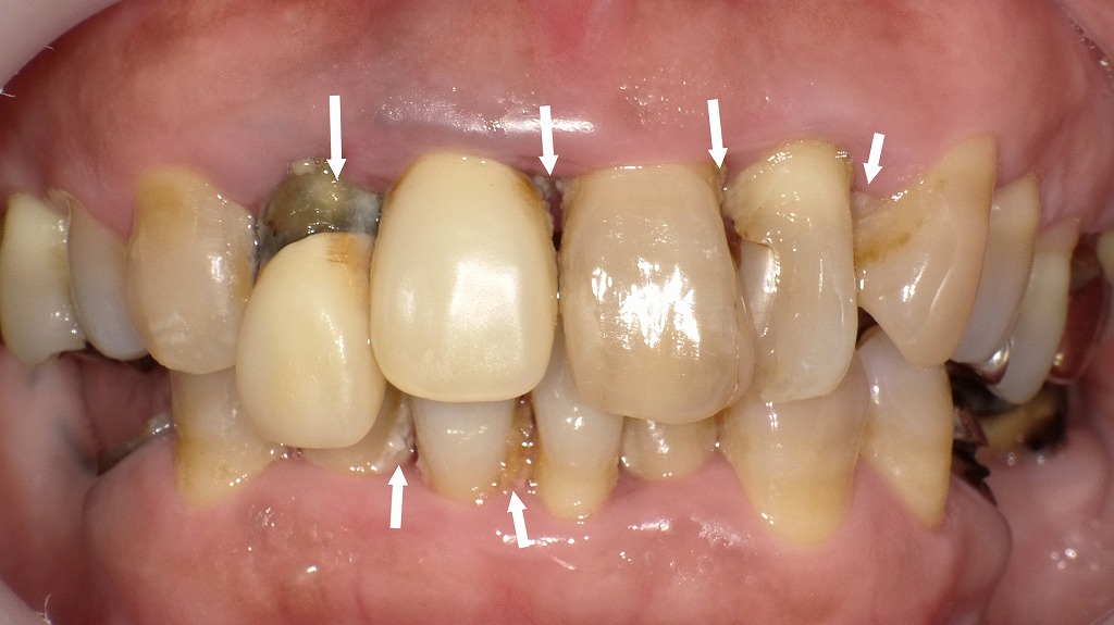
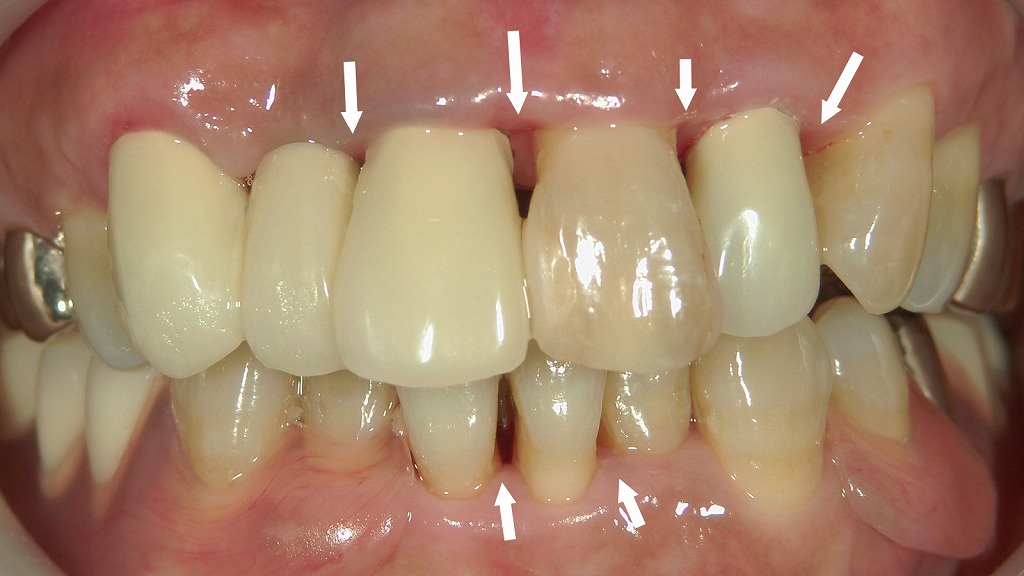
歯石だらけの前歯がここまで変わる!歯石除去+前歯治療の劇的ビフォーアフター
◆ 術前:歯石と古い差し歯で前歯が崩れた状態

この写真では、前歯に大量の歯石が付着し、歯の表面が黒く変色している部分が複数見られます。古い差し歯の境目には隙間ができ、そこから細菌が侵入して二次カリエス(虫歯の再発)が進行している状態です。また、歯ぐきは赤く腫れ、歯周病が進んでいるため、前歯が前方に押し出されるように傾いています。
歯石と歯周病によるダメージが重なり、見た目・噛み合わせ・清掃性のすべてが悪化していることがわかります。
◆ 術後:歯周治療と差し歯の再製作で自然な前歯に回復

こちらは歯石除去と歯周治療を行い、前歯の補綴物(差し歯)を新しく作り直した後の状態です。歯ぐきの炎症が落ち着き、赤みや腫れが改善しています。清掃しやすい形態に整えたことで、歯と歯ぐきの境目がスムーズに仕上がり、プラークがたまりにくくなっています。
前歯の形や色も自然になり、歯列全体のバランスが整ったことで、見た目と機能の両方が大きく改善しているのがわかります。
よくある質問(Q&A)
Q1. 痛みはありますか?
→ 個人差はありますが、多くの方は「音や振動に慣れれば気にならない」と答えています。
Q2. 自宅用の超音波スケーラーは安全?
→ 市販品はパワーが弱く、歯石を完全に取るのは困難。歯科医院での使用が安全で確実です。
Q3. どのくらいの頻度で受ければよい?
→ 一般的には3〜6か月に1回の定期検診がおすすめです。
まとめ
超音波スケーラーは、短時間で効率よく歯石を除去できる便利な機械です。
多少の音や振動があるものの、多くの方が安心して受けられる治療法です。定期的な歯科検診で超音波スケーラーを活用し、健康な歯を守っていきましょう✨

📍 江戸川区篠崎での歯石取り・超音波スケーラー対応

江戸川区篠崎で歯石取りや歯周病予防をお考えの方は、当歯科クリニックへ。🚶♂️篠崎駅南口から徒歩1分、最新の超音波スケーラーを用いて効率的かつ安心の歯科ケアをご提供しています。🦷
「歯石が気になる」「定期検診を受けたい」という方はお気軽にご相談ください。地域のかかりつけ歯科として、お口の健康を全力でサポートいたします。✨
筆者・院長

深沢 一
Hajime FUKASAWA
- 登山
- ヨガ
メッセージ
日々進化する歯科医療に対応するため、毎月必ず各種セミナーへの受講を心がけております。
私達は、日々刻々と進歩する医学を、より良い形で患者様に御提供したいと考え、「各種 歯科学会」に所属すると共に、定期的に「院内勉強会」を行う等、常に現状に甘んずる事のないよう精進致しております。 又、医療で一番大切な事は、”心のある診療”と考え、スタッフと共に「患者様の立場に立った診療」を、心がけております。


