
毎年学校で行われる「歯科検診」🦷。
「どんな内容なの?」「要治療と書かれていたらどうすればいいの?」と疑問に思う保護者の方も多いのではないでしょうか。
この記事では、学校歯科検診の目的や流れ、検診でわかること、結果が返ってきた後の正しい対応まで、わかりやすく解説します。
学校の歯科検診とは?

学校で行われる歯科検診は、子どもたちのお口の健康を守るために毎年実施される大切な取り組みです。目的は「虫歯や歯並びの異常を早期に見つけること」👀。
学校保健安全法に基づき、幼稚園・小学校・中学校・高校で行われ、児童生徒全員が対象となります。
定期的にプロの歯科医師が口の中をチェックすることで、早期発見・早期対応につながり、将来の歯の健康維持に役立ちます。
歯科検診の流れと内容🪥
学校歯科検診は短時間で効率的に行われます。所要時間は一人あたり1~2分ほど。
検診のチェック項目


- 虫歯の有無🦷
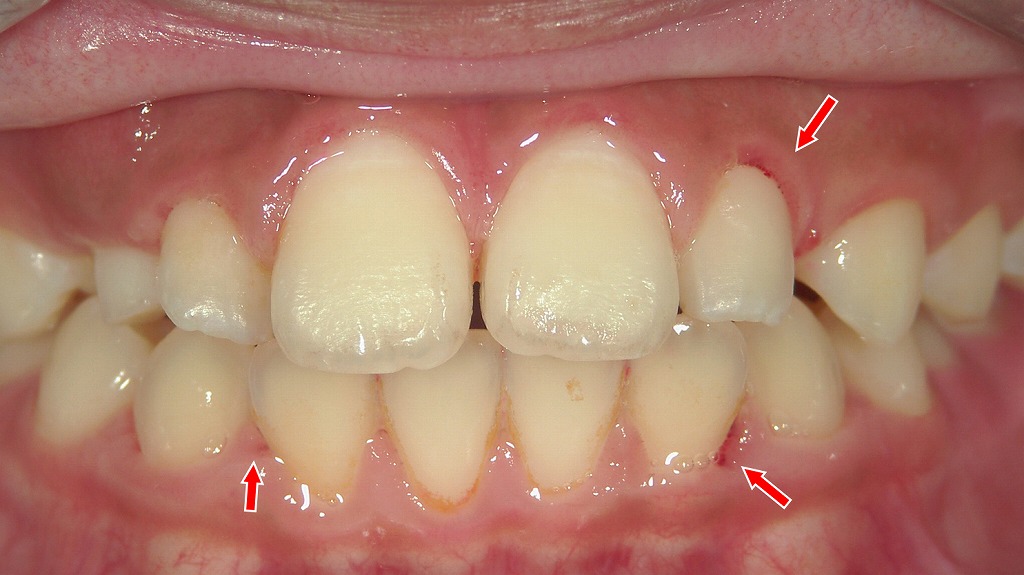
- 歯肉炎や歯周病の兆候🩸
- 歯並びやかみ合わせ😬
- 歯石や歯の汚れ
使用する器具はライトと小さな鏡程度。削ったり痛い処置は一切ありませんので安心です😊。
歯科検診でわかること
学校での歯科検診では以下のような異常が発見されることがあります。
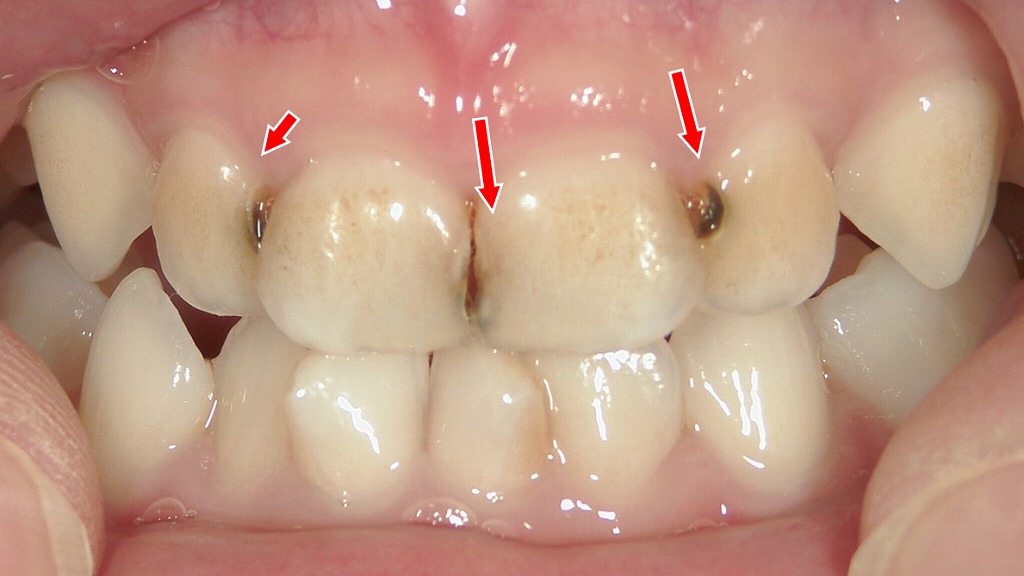
- 虫歯の早期発見:初期の小さな虫歯もチェック🔍
- 歯並び・かみ合わせ:将来矯正が必要かどうかの判断材料
- 歯肉炎や歯石:口臭や将来の歯周病リスクにつながるサイン
ただし、簡易的な検診のため「より詳しい診断」は歯科医院での精密検査が必要です。
「要治療」と判定されたらどうすべき?⚠️

学校から配布される「歯科検診結果のお知らせ」には「要治療」「要観察」といった判定が記載されます。
- 要治療:できるだけ早く歯科医院を受診しましょう。放置すると進行しやすいです。
- 要観察:すぐに治療は必要ありませんが、経過を見守りつつ定期検診でチェックを。
放置してしまうと虫歯が進行し、痛み・神経の治療・永久歯への影響などリスクが大きくなります。
保護者ができる準備と対応👨👩👧
歯科検診をより有意義にするために、家庭でできるサポートも大切です。
検診前の準備
- 朝はしっかり歯磨きをして臨む🪥
- 仕上げ磨きで汚れを落としておく
検診結果が返ってきたら
- 要治療の場合:早めにかかりつけ歯科医院へ🏥
- 問題なしでも:定期健診は必ず継続して安心を保ちましょう
よくある質問(FAQ)💡
Q:学校歯科検診は無料ですか?
→ はい、基本的に無料で行われます。費用はかかりません。
Q:検診で「虫歯なし」と言われたのに歯科医院で治療が必要になることはある?
→ 学校検診はあくまで「簡易チェック」なので、より精密な診断をする歯科医院で虫歯が見つかることもあります。
Q:矯正の必要性もわかりますか?
→ かみ合わせの異常が見つかることはありますが、矯正治療が必要かどうかは歯科医院での精密検査が必要です。
学校歯科検診の限界と歯科医院での定期検診の重要性🔑

学校の歯科検診では「発見」まではできますが「治療」はできません。さらにレントゲン撮影もないため、歯と歯の間の虫歯は見落とされる可能性があります。
そのため、学校検診+歯科医院での定期検診を組み合わせることが理想的です。歯科医院ではクリーニングやフッ素塗布も行え、虫歯予防につながります✨。
まとめ📝
- 学校の歯科検診は子どもの口腔トラブルを早期発見する大切な機会
- 「要治療」と出たら放置せずに歯科医院で精密検査・治療を受けることが重要
- 学校検診だけで安心せず、歯科医院での定期健診を習慣化することで一生の歯を守れる
子どもの歯の健康は成長や学習にも大きく影響します。ぜひ学校検診をきっかけに、ご家庭でも歯のケアを見直してみてください😊。
🏥江戸川区篠崎で学校の歯科検診で「要治療」と言われた方へ

学校の歯科検診は、お子さまのお口の健康を守るための大切な機会ですが、「要治療」と判定されても実際の治療や詳しい診断は行われません。放置してしまうと、虫歯の進行や歯並び・かみ合わせの問題につながり、将来的に大きな負担となることもあります。
江戸川区篠崎にある当歯科クリニック では、学校歯科検診の結果に基づいた精密な検査や治療、さらには予防ケアまで幅広く対応しております🦷✨。虫歯や歯肉炎の治療はもちろん、矯正や予防処置、フッ素塗布、定期検診など、お子さま一人ひとりに合わせたサポートをご提供しています。
【動画】ステイン着色汚れをクリーニングするエアフロー
筆者・院長

深沢 一
Hajime FUKASAWA
- 登山
- ヨガ
メッセージ
日々進化する歯科医療に対応するため、毎月必ず各種セミナーへの受講を心がけております。
私達は、日々刻々と進歩する医学を、より良い形で患者様に御提供したいと考え、「各種 歯科学会」に所属すると共に、定期的に「院内勉強会」を行う等、常に現状に甘んずる事のないよう精進致しております。 又、医療で一番大切な事は、”心のある診療”と考え、スタッフと共に「患者様の立場に立った診療」を、心がけております。


