- 1. 🧾 シェードガイドの基本定義と目的
- 1.1. ホワイトニング前後の変化を比較
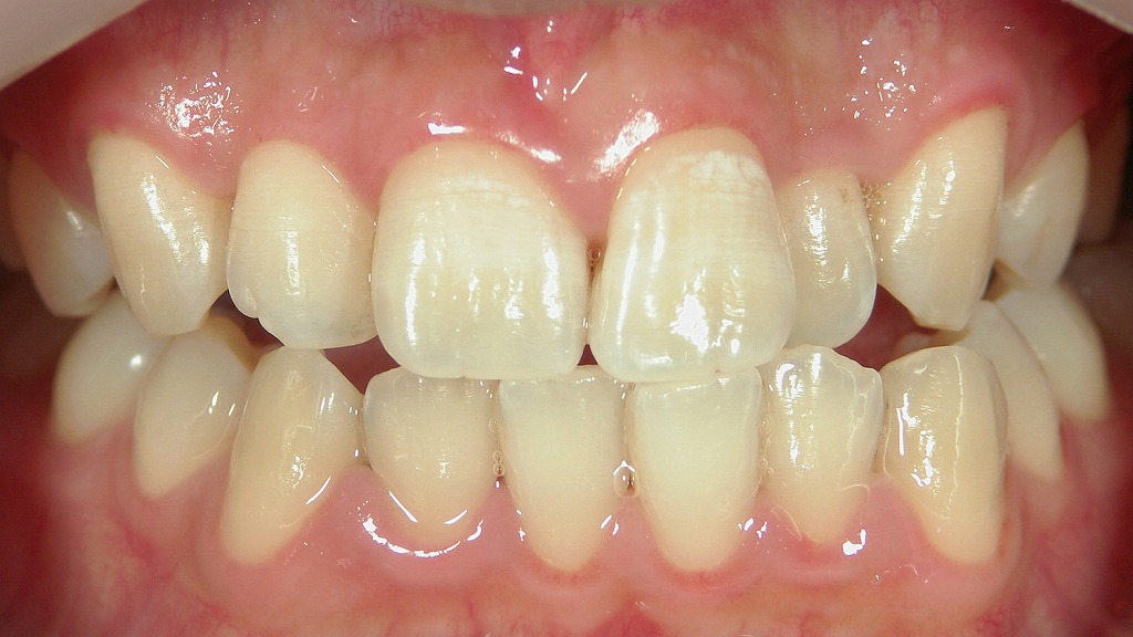
- 1.1.1. 🦷 1枚目:ホワイトニング前の歯
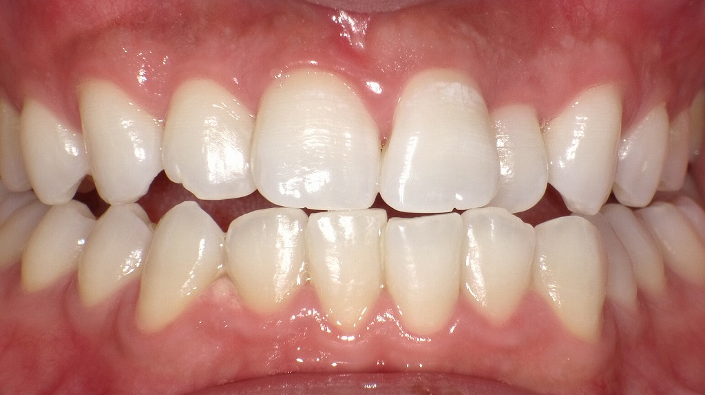
- 1.1.2. 🦷✨ 2枚目:ホワイトニング後の歯
- 2. 🎯 どんなときに使う?歯科治療での使用シーン
- 2.1. A1, A2, A3, A3.5シェードの見え方
- 2.2. 🧑⚕️ 歯科医・患者・技工士が見る「歯の色のものさし」
- 3. ⏳ 手作りの色見本から始まった時代
- 3.1. 🏭 VITA社による業界標準の確立
- 3.2. 🤖 AI・分光光度計などデジタル技術との融合
- 4. 🧱 VITAクラシック vs VITA 3Dマスターの違い
- 4.1. 🔹 VITAクラシック(VITA Classical)
- 4.2. 🔸 VITA 3Dマスター
- 4.3. 💎 ホワイトニング専用:オパールエッセンス/ゼンオパール
- 4.3.1. 🦷 オパールエッセンス シェードガイド(Ultradent社)
- 4.3.2. 🦷 ゼンオパール シェードガイド(GC社)
- 4.4. 📊 A1〜C4までの色調分類と明度の読み方
- 4.4.1. 🧭 色調(Hue)の4グループ
- 4.4.2. 🔢 明度(Value)の読み方
- 5. 🇯🇵 日本人の歯に合う自然な黄味がかった色
- 5.1. 🔍 日本市場に合わせたシェードガイドの特徴
- 5.2. 🇺🇸 欧米では「真っ白」が人気!ブリーチングシェードとは?
- 5.2.1. 🦷 ブリーチングシェードとは?
- 5.2.2. 🌍 海外向けシェードガイドの特徴
- 6. 🦷 補綴・クラウン・インプラント用
- 6.1. 🏆 推奨シェードガイド
- 6.2. ✨ 審美歯科・ホワイトニング用
- 6.2.1. 🌈 推奨シェードガイド
- 6.3. 🧑💻 デジタル診断用(Easyshade、CrystalEyeなど)
- 6.3.1. 🖥 推奨デジタル機器
- 7. 🔦 照明条件の整え方(自然光・LEDなど)
- 7.1. ✅ 理想的な光環境とは?
- 7.2. 💄 メイク・服装・背景の色に要注意
- 7.2.1. ⚠️ 注意したい項目
- 7.2.2. ✅ 理想は…
- 7.3. 🕒 5秒以内で直感的に判断する理由
- 7.3.1. 🔍 なぜ5秒以内が理想なのか?
- 7.3.2. 📝 効果的な手順
- 8. 🧊 乾燥した歯は実際より白く見える
- 8.1. 📌 なぜ乾燥すると白く見えるのか?
- 8.1.1. ✅ 対策
- 8.2. 🧍♀️ 隣接歯や歯肉の色とのバランスを取る
- 8.2.1. ⚠️ よくあるミス
- 8.2.2. ✅ 対策
- 8.3. 😵💫 視覚疲労と主観的判断のリスク
- 8.3.1. ⚠️ 主観的な判断が招くトラブル
- 8.3.2. ✅ 対策
- 9. 🦷 ホワイトニング前後の色変化(A3 → B1)
- 9.1. 📋 ケース概要:
- 9.1.1. 🛠 使用したシェードガイド:
- 9.1.2. 🔄 結果:
- 9.2. 🧱 インプラントや入れ歯との色調整
- 9.2.1. 📋 ケース概要:
- 9.2.2. 🛠 使用したシェードガイド:
- 9.2.3. ⚖ 色選びの工夫:
- 10. 📦 主要メーカー別価格比較表
- 10.1. 🛒 購入方法(Amazon・楽天・歯科ディーラー等)
- 10.1.1. 🏥 歯科医院・技工所向け
- 10.1.2. 🛍 一般向け(個人購入も可能)
- 10.2. 👩⚕️ 歯科医院向けと一般向けの違いとは?
- 11. 🌞 紫外線や湿気による劣化を防ぐには
- 11.1. 🔦 劣化の主な原因
- 11.2. ✅ 対策
- 11.3. 🧽 アルコール清掃・専用ケースの重要性
- 11.3.1. 🧼 推奨メンテナンス方法
- 11.4. 📅 定期的な買い替えの目安(3〜5年)
- 11.4.1. 🔁 買い替え目安
- 11.4.2. 📸 チェック方法
- 12. 🔍 AIが色を診断する時代へ
- 12.1. 🌐 主な技術とツール
- 12.2. 🧠 AIの利点
- 12.3. 📱 スマホアプリとの連携と自宅診断
- 12.3.1. 📱 代表的な連携例
- 12.4. 🧬 患者ごとのカスタムシェード時代の到来
- 12.4.1. 🔬 未来の進化ポイント
- 13. 💬 よくある質問(Q&A)
- 13.1. ❓ A1とB1の違いは?
- 13.2. ❓ 日本人に最適な色は?
- 13.3. ❓ 一般人でも買える?
- 13.4. ❓ ホワイトニングの後は何色になるのが理想?
- 14. 📘 まとめ|自然で美しい歯の色選びはシェードガイドから!
- 14.1. ✅ シェードガイドは歯科医療の“色のものさし”
- 14.2. ✅ 適切な使い方と保管が精度を保つカギ
- 14.3. ✅ 今後はAIと融合し、さらに進化していくツールに!
- 15. 🏥 江戸川区篠崎で“自然な白い歯”を目指すなら、当院へ
- 16. 【動画】ホームホワイトニングの効果的なやり方
- 17. 筆者・院長

歯の色には「明るさ」や「色味」の基準があることをご存じですか?
シェードガイドとは、歯科医療やホワイトニングで使われる**「歯の色の見本表」**のこと。クラウンやインプラントの色合わせから、ホワイトニング効果の測定まで、幅広い治療に欠かせないツールです。
この記事では、シェードガイドの種類・使い方・選び方・価格の目安・デジタル技術との違いまで、歯科の現場で活躍する全ての活用法を徹底解説します。
「A1とB1の違いが分からない」「ホワイトニング後は何色になるのが理想?」といった疑問もスッキリ解決!
あなたにとって最も自然で美しい歯の色を見つけるヒントが、きっとここにあります。
🧾 シェードガイドの基本定義と目的
シェードガイドとは、歯の色を判定・比較するための色見本のことです。歯科医院や技工所で、被せ物やホワイトニングの**「仕上がりの色」を決める際の基準**として使われます。
プレート状のツールに16〜29種類ほどの人工歯が並んでおり、それぞれに「A1」や「B2」といったシェード番号がついています。
これを患者の歯にあてて、どの色に一番近いかを目で見て確認します。

主な目的は以下の4つです:
- 天然歯と補綴物(クラウン、ブリッジなど)の色を合わせる
- ホワイトニング前後の変化を比較・記録する
- 患者とのカウンセリングに使う(どの色が希望かのすり合わせ)
- 治療後の満足度を高めるための色選定
ホワイトニング前後の変化を比較


🦷 1枚目:ホワイトニング前の歯
- 全体的に黄ばみが認められ、特に前歯の表面に**白濁(ホワイトスポット)**が目立っています。
- 色ムラがあり、歯の透明感がやや低下。
- 咬み合わせ部分や一部の歯の側面に、着色やくすみが見られる状態です。
🦷✨ 2枚目:ホワイトニング後の歯
- 歯全体が明るく白くなり、黄ばみが大幅に改善。
- 表面の白濁(ホワイトスポット)との色の差が目立ちにくくなり、全体として自然な白さへ。
- 透明感が増し、清潔感のある印象へと変化。
- 全体の明度が上がり、均一で健康的な白さになっています。
🎯 どんなときに使う?歯科治療での使用シーン
シェードガイドは、以下のような治療の各ステップで活躍します。
A1, A2, A3, A3.5シェードの見え方

A1シェード
A1シェードを歯の色と比べています。かなり近い色ですね。

A2シェード
A2シェードを同じ人の歯に合わせています。A2シェードより白いですね。

A3シェード
A3シェードを歯に合わせてみました。上顎の中切歯はホワイトスポットがあるため白っぽく見えますが、A3シェードに近い色をしています。
下顎の側切歯はA3シェードと言ってよいでしょうね。

A3.5シェード
A3.5シェードを歯に合わせてみました。天然歯の方が遥かに白いですね。
- 🦷 クラウンやブリッジの作製時:隣接歯に合わせて、最も自然な色を選定。
- 🦷 入れ歯やインプラントの人工歯の色決定:患者の年齢・肌の色も考慮して選択。
- ✨ ホワイトニング施術前後の比較:どのくらい白くなったかを視覚的に確認。
- 🗂 カルテへの色調記録:経過観察や再治療時の参考に。
とくに審美歯科やインプラント治療では、違和感のない色調選びが見た目の自然さを左右します。
🧑⚕️ 歯科医・患者・技工士が見る「歯の色のものさし」
シェードガイドは、**「歯の色に関する共通言語」**としての役割も果たします。
- 歯科医師は、患者の口腔内の状態を評価し、適切な色を選びます。
- 技工士は、指定されたシェードに合わせて補綴物を製作します。
- 患者は、自分の希望する白さをイメージしやすくなります。
この三者間で色のイメージが共有できることは、治療の成功と患者満足度に直結します。
とくに近年は、デジタルシェードマッチングやAI判定ツールも併用されるようになり、より精密な色選びが可能になっています。
⏳ 手作りの色見本から始まった時代
シェードガイドの歴史は、19世紀末の歯科補綴治療の黎明期にさかのぼります。
当時は現在のような規格化されたガイドが存在せず、歯科医師自身が作成した手作りの色見本を使って、補綴物の色合わせを行っていました。
素材には磁器やレジンが使われ、見た目の印象や職人の経験に頼る**「感覚的な色判定」**が主流でした。そのため、再現性や精度には限界があり、患者との色のズレが生じることも多かったのです。
🏭 VITA社による業界標準の確立
大きな転機となったのは、**1920年代にドイツのVITA Zahnfabrik社が「VITA クラシックシェードガイド」**を開発したことです。

このシェードガイドは、A~Dの色調グループに分けられ、それぞれ明度ごとに整理されており、
世界中の歯科医療機関で使われる**「色の共通言語」**となりました。
- 🔸 A系:赤みがかった茶色
- 🔸 B系:赤みがかった黄色
- 🔸 C系:グレーがかった色
- 🔸 D系:赤みがかったグレー
その後もVITAは改良を重ね、より自然な色の再現を可能にした**「VITA 3Dマスター」**などの新製品を次々に発表。
シェードガイドは「感覚」から「科学」へと進化していきました。
🤖 AI・分光光度計などデジタル技術との融合
21世紀に入り、歯の色を数値で判定するデジタルシェードマッチング技術が登場しました。
これは、人間の目に頼らず、機械が光の反射や色のスペクトルを分析して、最適なシェードを選びます。
代表的なデジタル機器:
- 🟩 VITA Easyshade® V:分光光度計を搭載。正確かつ再現性の高い測定が可能。
- 🟦 CrystalEye(クラレノリタケ):日本人の歯の色調に特化。口腔内スキャナーと連携可。
- 🟨 SpectroShade™:AIによる色判定と記録保存が可能。
これらの機器は、診断の客観性と再現性を飛躍的に向上させ、
治療の信頼性と患者満足度の向上に大きく貢献しています。
🧱 VITAクラシック vs VITA 3Dマスターの違い
**VITA社のシェードガイドは、世界中で最も信頼されている「歯の色基準ツール」**です。特に以下の2つが臨床現場で主流です。
🔹 VITAクラシック(VITA Classical)
- A~Dの4系統(色相)に分類され、全16色
- 「A1~A4」「B1~B4」など、アルファベット+数字で構成
- 見た目で色を選ぶという直感的な使い方に向いており、補綴や一般歯科で多用
🔸 VITA 3Dマスター
- **明度(Value)→色相(Hue)→彩度(Chroma)**という3段階評価
- 全29色に分類され、より精密な色の再現が可能
- 審美歯科や高精度なセラミック治療で活用
✅ 違いのまとめ表
| 項目 | VITAクラシック | VITA 3Dマスター |
|---|---|---|
| 色分類 | A〜Dの4系統 | 明度・色相・彩度の3軸 |
| 色数 | 16色 | 29色 |
| 特徴 | 見た目で選びやすい | 論理的・精密な診断が可能 |
| 用途 | 補綴・保険診療 | 審美歯科・オールセラミック |
💎 ホワイトニング専用:オパールエッセンス/ゼンオパール
ホワイトニング後の白さを正確に判定するには、ブリーチングシェードに対応した専用ガイドが必要です。
🦷 オパールエッセンス シェードガイド(Ultradent社)
- ホワイトニング後の色調変化に特化
- 通常のVITAガイドより明るい色調をカバー
- 施術前後のトーン差を記録・可視化するのに最適
🦷 ゼンオパール シェードガイド(GC社)
- 「FW2」「FW5」など、ブリーチング用の特殊シェードを搭載
- 日本人の肌色や歯質に調和しやすい
- ホワイトニング専門クリニックでの使用が多い
🌟 ポイント:B1より白い色が含まれているのが、ブリーチングシェードの特徴!
📊 A1〜C4までの色調分類と明度の読み方
一般的なシェードガイド(VITAクラシックなど)は、**「色調グループ」と「明度番号」**の組み合わせで構成されます。
🧭 色調(Hue)の4グループ
- 🔴 A系(赤茶色):最も一般的。日本人に多い。
- 🟡 B系(赤黄色):やや明るめでホワイトニング向き。
- ⚪ C系(灰色):くすみがかった色。高齢者に多い傾向。
- ⚫ D系(赤灰色):暗めで落ち着いた色味。
🔢 明度(Value)の読み方
数字が小さいほど「白い」、大きいほど「暗い(黄ばみ)」傾向。
明度順(白→暗):
B1 → A1 → B2 → A2 → C1 → C2 → D3 → A3 → D4 → B3 → A3.5 → B4 → C3 → A4 → C4
📝 例:
- A3.5:やや黄ばみがかった自然な色(日本人の平均)
- B1:非常に白く、ホワイトニングのゴール目標として人気
🇯🇵 日本人の歯に合う自然な黄味がかった色
日本人の天然歯は、**やや黄味がかった温かみのある色調(A系やB系)**が多いとされます。これは、肌の色・メラニン量・象牙質の厚みなどが関係しており、欧米人と比べて明度が低めなのが特徴です。
🔍 日本市場に合わせたシェードガイドの特徴
- A3~A3.5が「標準的な日本人の歯色」とされる
- 松風、GC、クラレノリタケなど、日本メーカーが独自のカラーパレットを開発
- 「白すぎず自然に見える色合い」を重視
- 保険診療内の補綴物にも馴染む色味が多い
💡日本人の美意識は「不自然に白い歯よりも、自然で健康的な白さ」を良しとする傾向があります。
🇺🇸 欧米では「真っ白」が人気!ブリーチングシェードとは?
一方、欧米では「芸能人のように真っ白な歯=美しい」という審美意識が強く、B1よりもさらに白い色を求める傾向があります。
このニーズに応えるために登場したのが**「ブリーチングシェード」**です。
🦷 ブリーチングシェードとは?
- ホワイトニング専用の明るい色調
- 通常のVITAクラシックには含まれない「BL1」「BL2」などの超高明度シェード
- アメリカや中東などでは「A1でもまだ黄色い」とされるケースも
🌍 海外向けシェードガイドの特徴
- VITA社の「VITA Bleachedguide 3D-MASTER」など、ホワイトニング後専用のガイドが展開
- Kuraray Noritakeも欧米向けにより明るく透明感のある色調をラインナップ
- 白さのトーン差を明確に記録できるようになっている
📝 欧米では、セレブやモデルが歯の白さをアイコンにしている影響で、「白ければ白いほど良い」という価値観が広がっています。
🦷 補綴・クラウン・インプラント用
補綴物(クラウン・ブリッジ・インプラントの上部構造)では、天然歯といかに違和感なく調和させるかがポイントです。
そのため、使用するシェードガイドには「信頼性」「普及率」「技工士との共有のしやすさ」が求められます。
🏆 推奨シェードガイド
| 製品名 | 特徴 |
|---|---|
| VITA クラシック | 世界標準。A〜Dの4系統で直感的に色選びが可能 |
| 松風 シェードガイド | 日本人向けの色調設計で、保険診療の補綴物に馴染みやすい |
| GC シェードガイド | 国産メーカーの安定品質。国内技工所との相性◎ |
💡 技工士とのやりとりが発生する補綴治療では、VITAクラシックの使用がもっとも一般的です。
✨ 審美歯科・ホワイトニング用
審美歯科では、**「どこまで白くするか」**という患者の希望に合わせてシェードを選ぶ必要があります。
ホワイトニング専用のブリーチングシェードは、B1よりも白い色を記録できる特別な色調ガイドです。
🌈 推奨シェードガイド
| 製品名 | 特徴 |
|---|---|
| オパールエッセンス シェードガイド | Ultradent社製。ホワイトニングの効果判定に特化 |
| ゼンオパール シェードガイド | GC社製。FW2・FW5などブリーチングシェードを含む |
| VITA BL シェードガイド | VITA社の「真っ白な歯」を測定できるガイド。欧米でも主流 |
📝 審美歯科では、**「自然な白さ」と「真っ白な美白」**を患者が選べるよう、複数のガイドを併用するのが理想です。
🧑💻 デジタル診断用(Easyshade、CrystalEyeなど)
近年の歯科医療では、**人の目による色判断に頼らない「デジタルシェードマッチング」**が進化しています。
これにより、客観的で再現性のある色調測定が可能になり、技工物の完成度が飛躍的に向上しました。
🖥 推奨デジタル機器
| 製品名 | 特徴 |
|---|---|
| VITA Easyshade® V | 分光光度計を搭載。リアルタイムでシェードを判定 |
| CrystalEye(クラレノリタケ) | 日本人に特化した色調解析。写真データとして記録も可能 |
| SpectroShade™ | AIによる診断とクラウド管理が可能。次世代型デバイス |
📲 これらは、**肉眼での判断と併用することで「ヒューマンエラーを防ぐ」**という意味でも活用されています。
🔦 照明条件の整え方(自然光・LEDなど)
シェードガイドを使用する際、照明環境の影響は非常に大きく、誤った色選びの原因にもなります。
そのため、「色を見る環境」を整えることが成功の第一歩です。

✅ 理想的な光環境とは?
- **自然光(デイライト:5,500K前後)**が最も正確に色を判断できる
- 専用のデンタル用LEDライト(色温度5,500K)も可
- 蛍光灯や白熱灯はNG:青みや黄みが強く、歯の色が実際より白く/暗く見えることがある
📝 シェードテイキングは、自然光が入る窓際 or デイライトLED下で行いましょう。
💄 メイク・服装・背景の色に要注意
歯の色は、周囲の色(顔、背景、服など)によって錯覚的に違って見えることがあります。
そのため、色合わせを行うときは、なるべくニュートラルな環境を整えることが重要です。
⚠️ 注意したい項目
- 口紅やファンデーションの色 → 赤み・オレンジが強いと歯が白く見えすぎる
- カラフルな服や背景 → 色の反射で判断が狂うことがある
- 白すぎる背景もNG → 歯の色が暗く見える可能性あり
✅ 理想は…
- グレーの背景布を用意する(視覚を中立化)
- ナチュラルメイクまたはノーメイク
- 淡色の衣服での診断がおすすめ
👗 色合わせのときは「人間の目が錯覚する」ことを前提に、環境をコントロールしましょう。
🕒 5秒以内で直感的に判断する理由
歯の色は、長時間見つめるほど目が慣れてしまい、正しい判断ができなくなる傾向があります。
そのため、シェードガイドは**「短時間で、パッと直感的に」**選ぶのが鉄則です。
🔍 なぜ5秒以内が理想なのか?
- 視覚は数秒で「ホワイトバランス」に慣れてしまう
- 色の違いに対する感度が徐々に低下していく
- 特に近似色(例:A1とB1)は長時間見るほど判断が鈍る
📝 効果的な手順
- シェードガイドを歯の中央部にあてる
- 5秒以内に「最も近い色」を判断
- 隣接色もあてて微調整
- 必要に応じて写真記録(診療カルテ用)
👀 繰り返し使う場合は、目を休ませる or グレーの紙を数秒見ることで、視覚をリセットできます。
🧊 乾燥した歯は実際より白く見える
口を開けたまま長時間診査を行っていると、歯の表面が乾燥し、本来の色よりも白く見えてしまうことがあります。
📌 なぜ乾燥すると白く見えるのか?
- 歯の表面が乾燥することで光の乱反射が増え、白っぽく見える
- 唾液が失われると、透明感が減り、明度が上がって見える
✅ 対策
- シェードテイキングは口を開けすぎず、短時間で行う
- 必要に応じて水分を含ませてから再評価
- 診断前に口腔内を潤わせることで、正確な色を判断しやすくなります
🧪 見落とされがちですが、乾燥の有無は仕上がりの満足度に大きく影響します。
🧍♀️ 隣接歯や歯肉の色とのバランスを取る
単独の歯だけを見て色を選んでしまうと、仕上がりに「浮いて見える」「不自然」といった違和感が生じることがあります。
⚠️ よくあるミス
- 隣の歯とトーンがズレて左右非対称になる
- 歯肉の色とのコントラストが強すぎる
- 特に前歯やスマイルライン上の歯では違和感が目立つ
✅ 対策
- 周囲の歯と比較しながら色を選ぶ
- 歯の中央部+隣接歯のバランスで総合的に判断
- 前歯や犬歯は“連続性”を意識して選定
🌟 「その1本だけが白く見える」失敗を防ぐには、全体の調和を最優先に。
😵💫 視覚疲労と主観的判断のリスク
人間の目は長時間の色判断に向いていないため、視覚疲労や色の“慣れ”によってシェード選びが不正確になることがあります。
⚠️ 主観的な判断が招くトラブル
- 「白くしたつもりが、思ったより黄色い」
- 「技工所と仕上がりイメージが食い違った」
- 見る人(医師、技工士、患者)ごとに色の認識に差が出る
✅ 対策
- 5分ごとに目を休ませる
- グレーのカードを見るなどして視覚をリセット
- 複数人で確認し合う/デジタル測定機器を併用
🤖 分光光度計(例:Easyshade®)などを使えば、客観的なデータを元に判断でき、信頼性が大幅に向上します。
🦷 ホワイトニング前後の色変化(A3 → B1)
📋 ケース概要:
20代女性が「自然に白く、清潔感のある歯にしたい」とホワイトニングを希望。
初診時のシェードはA3で、少し黄ばみが目立つ状態。
🛠 使用したシェードガイド:
- VITAクラシック
- オパールエッセンスシェードガイド(変化量の明確化)
🔄 結果:
施術後、シェードはA3 → B1へと大きく変化。
「自分の歯とは思えないほど白くなった」と患者も大満足。
施術前後のシェード記録を写真で残し、目に見える効果を実感してもらえた。
✅ ポイント:ホワイトニングの効果を客観的に示すために、術前記録+ブリーチング対応ガイドの活用が重要。
🧱 インプラントや入れ歯との色調整
📋 ケース概要:
60代男性、右上奥歯にインプラント治療を実施。
隣接する天然歯との違和感を極力減らしたいという要望。
🛠 使用したシェードガイド:
- VITAクラシックで全体の色調分類
- VITA 3Dマスターでより詳細に色調調整
⚖ 色選びの工夫:
- インプラント上部構造にはA2系統のセラミッククラウンを選定
- 年齢や歯肉の色調も考慮し、明度と彩度のバランスを微調整
- 技工士とシェード写真+シェード番号の共有を徹底
🎯 仕上がりは自然で、周囲の歯としっかり馴染む結果に。見た目の違和感もゼロに近く、患者の満足度も非常に高かった。
📦 主要メーカー別価格比較表
シェードガイドの価格は、種類・メーカー・販売ルートによって異なります。以下は代表的な製品と価格帯の目安です(※税込・変動あり)。
| 製品名 | メーカー | 価格帯(目安) | 特徴 |
|---|---|---|---|
| VITA クラシック | VITA Zahnfabrik(独) | ¥8,000~15,000 | 世界標準。補綴や保険診療で汎用性高 |
| VITA 3Dマスター | VITA Zahnfabrik(独) | ¥20,000~40,000 | 明度・色相・彩度で精密に色選定可能 |
| オパールエッセンス シェードガイド | Ultradent(米) | ¥10,000~25,000 | ホワイトニング効果の可視化に最適 |
| ゼンオパール シェードガイド | GC(日本) | ¥15,000~30,000 | ブリーチングシェード対応、国内向け |
| 松風 シェードガイド | 松風(日本) | ¥8,000~16,000 | 日本人向けの色調バリエーションが豊富 |
| Easyshade® V(分光光度計) | VITA Zahnfabrik(独) | ¥250,000~400,000 | デジタル診断用。正確かつ高機能 |
📝 一般的な手動シェードガイドは¥10,000前後から購入可能ですが、デジタル機器は数十万円規模になります。
🛒 購入方法(Amazon・楽天・歯科ディーラー等)
🏥 歯科医院・技工所向け
- FEEDデンタル(https://dental.feed.jp/)
→ 歯科医師専用の通販サイト。豊富な在庫と最新製品を取り扱い - GC、松風、白水貿易などの公式オンラインストア
→ メーカー直販で製品保証付き - 歯科ディーラー(モリタ・ヨシダなど)を通じた注文
→ 開業歯科医院では主流の調達ルート
🛍 一般向け(個人購入も可能)
- Amazon(https://www.amazon.co.jp)
→ 簡易タイプから本格派まで出品あり。注意して選定を - 楽天市場(https://www.rakuten.co.jp)
→ 美容・ホワイトニングサロン向け商品も多数掲載 - ビューティガレージ・Terraceなどの美容用品ECサイト
→ ホワイトニング用シェードガイドが充実
📌 歯科医師免許が必要な商品もあるため、個人購入の場合は販売条件を必ず確認しましょう。
👩⚕️ 歯科医院向けと一般向けの違いとは?
シェードガイドには、「業務用(プロ仕様)」と「一般向け(簡易版)」で明確な違いがあります。
| 比較項目 | 歯科医院向け | 一般向け(セルフホワイトニングなど) |
|---|---|---|
| 価格帯 | ¥8,000〜¥40,000 | ¥1,000〜¥5,000 |
| 精度 | 高精度(16~29段階) | 簡易表示(5〜10段階) |
| 材質 | セラミックまたは高品質レジン | プラスチック系が多い |
| 用途 | クラウン、補綴、審美治療 | ホワイトニング前後の確認用 |
| 対象 | 歯科医・技工士 | 一般消費者、エステ施術者など |
🎯 プロ用途では、精度・耐久性・共有性が求められるため、必ず歯科専用ガイドを選択しましょう。
🌞 紫外線や湿気による劣化を防ぐには
シェードガイドは色見本という特性上、経年劣化に非常に敏感です。とくに「紫外線」と「湿気」は大敵で、放置すると色の再現性が損なわれるリスクがあります。
🔦 劣化の主な原因
- 直射日光(紫外線):色あせ・変色・黄ばみの原因に
- 高湿度の保管環境:カビ・曇り・接着不良の原因に
- 高温:樹脂チップの反りや変形リスク
✅ 対策
- 使用後は必ずケースに収納し、日光を避けて保管
- 換気の良い乾燥した場所で管理(院内なら技工スペースや戸棚など)
- 湿度が高い季節は乾燥剤を併用
🧊 シェードガイドは精密な医療機器と同様に、**「環境管理=品質保持」**と捉えましょう。
🧽 アルコール清掃・専用ケースの重要性
診療中に使用するシェードガイドは、唾液や口腔内の湿気、化粧品の油分などが付着しやすく、清掃と保管を怠ると色ズレや不衛生な状態になります。
🧼 推奨メンテナンス方法
- 使用後はアルコール系消毒液(70%程度)で軽く拭き取る
- 歯科用ユニットの除菌ガーゼやクリーナーでも可
- シェードチップをゴシゴシこすらない(傷がつくと光反射が変わる)
- 必ず専用のケースまたは収納容器に戻す
💡 ケース未使用で放置すると、ホコリ・皮脂・紫外線が複合的にダメージを与えます。
📅 定期的な買い替えの目安(3〜5年)
どれだけ丁寧に扱っていても、シェードガイドには寿命があります。
経年劣化で微妙に色調がズレてくるため、数年に一度の更新が推奨されます。
🔁 買い替え目安
- 3〜5年を目安に、新品への交換を検討
- 使用頻度が高い場合は3年以内が理想
- 他の新しいガイドと色を比較して差があるなら即交換
📸 チェック方法
- 同一メーカーの新品ガイドと並べて比較
- 患者写真と照らし合わせて「合っているか」を検証
- 色ズレを感じたら躊躇せず更新
🎯 色が1トーン違うだけで、クラウンやホワイトニングの仕上がりに違和感が出るため、定期的な見直しはプロとして必須です。
🔍 AIが色を診断する時代へ
これまでシェードマッチングは経験と目視に頼る作業でしたが、現在ではAI搭載の分光光度計や画像解析技術により、誰でも高精度な色判定が可能な時代に突入しています。
🌐 主な技術とツール
- VITA Easyshade® V:歯面の反射光を数値化し、最適なシェードを提案
- SpectroShade™:AI+画像処理による自動診断
- CrystalEye(クラレノリタケ):画像ベースの色解析で技工士とのデータ共有がスムーズに
🧠 AIの利点
- 主観のブレがなく、常に一定の基準で判断可能
- 技工士との意思疎通が容易
- 患者との説明にも説得力がある
📊 将来的には、AIが患者の歯・肌・顔貌バランスから「最適な色」を自動提案する時代が本格化する見込みです。
📱 スマホアプリとの連携と自宅診断
近年では、スマートフォンのカメラ機能を活用し、患者が自宅でシェード確認を行うアプリも登場しています。
これにより、通院前のカウンセリングやホワイトニング結果の経過観察がより効率的に行えるようになります。
📱 代表的な連携例
- ホワイトニングアプリと連携し、歯の色変化を追跡管理
- 診療前に事前問診+色調画像を送信→初診時の判断がスムーズに
- 一部のマウスピース矯正サービスでは、カラー測定キットが同梱されるケースも
📷 写真撮影だけで正確に測定するには限界もありますが、あくまで“患者とのコミュニケーションツール”として有効活用できます。
🧬 患者ごとのカスタムシェード時代の到来
将来的には、シェードガイドも**「画一的な見本」から「個別設計」へと進化**していくと考えられています。
🔬 未来の進化ポイント
- 患者の歯質・肌色・唇・歯肉色までAIが解析
- デジタルデータから**「パーソナライズされた理想の白さ」**を提案
- 技工士はデータをもとに一点モノの補綴物を設計
👨💻 さらに、クラウド管理により患者ごとの色調履歴が蓄積され、再治療やメンテナンス時にも活用できるようになります。
🌟 こうした進化により、「歯の色選び」は医療から美容、そしてライフスタイル提案へと変化していくでしょう。
💬 よくある質問(Q&A)
❓ A1とB1の違いは?
A1は「赤みがかった茶色」系統、B1は「赤みがかった黄色」系統に分類されます。
どちらも非常に白いシェードとして知られており、見た目の違いはごくわずかです。
- A1:やや暖かみのある白。自然な白さを求める方に人気
- B1:より明るくクリアな白。ホワイトニングのゴールとして定番
👁 肉眼では違いがほとんど分からないこともあり、シェードガイドを並べて比較しないと認識できないレベルです。
❓ 日本人に最適な色は?
多くの日本人はA3〜A3.5あたりが平均的な歯の色とされています。
これは、肌の色や象牙質の厚みなどの影響で、やや黄味を帯びた自然な色調が多いためです。
- A2:明るく健康的な印象。自然な白さを求める方に最適
- A1やB1:ホワイトニング経験者や審美治療を受けた方に多い
🌸 「違和感のない自然な仕上がり」を重視するなら、A2〜A3が最もバランスがよいでしょう。
❓ 一般人でも買える?
はい、Amazonや楽天などの通販サイトで一般の方も購入可能です。
ただし、以下のような違いに注意が必要です:
| 比較項目 | 歯科医院向け | 一般向け |
|---|---|---|
| 精度 | 高精度(16〜29段階) | 簡易的(5〜10段階) |
| 素材 | セラミック or 高品質レジン | プラスチックが主流 |
| 価格 | ¥8,000〜40,000 | ¥1,000〜5,000 |
🛒 ホワイトニング前後の色比較や参考用として使用する分には、一般向けでも十分活用できます。
❓ ホワイトニングの後は何色になるのが理想?
目標とするシェードは**「B1」または「A1」**が一般的です。
これは、**白すぎず・自然な範囲で「清潔感のある白さ」**と感じられる明度ラインです。
- B1:最も白く感じられる自然な明度
- BL1・FW2(ブリーチングシェード):さらに白く、審美歯科向き
💡 ただし、元の歯の色やホワイトニングの方法によって限界があるため、歯科医院でのカウンセリングが重要です。
📌 補足メモ
- ホワイトニングでA3→A1、A2→B1へ白くなるケースが多い
- 元の色調によって白くなりやすいタイプ・なりにくいタイプがある(A系は変化しやすい)
📘 まとめ|自然で美しい歯の色選びはシェードガイドから!
✅ シェードガイドは歯科医療の“色のものさし”
シェードガイドは、クラウン・ブリッジ・ホワイトニング・インプラント・入れ歯など、
あらゆる歯科治療の場面で活躍する「色の基準ツール」です。
歯科医、技工士、患者の三者間で**“理想の色”を共有するための共通言語**であり、
満足度の高い仕上がりを実現するためには欠かせません。
✅ 適切な使い方と保管が精度を保つカギ
どれだけ高性能なシェードガイドでも、使い方を誤ると精度が大きく低下します。
- 照明や背景、乾燥による誤差に注意する
- 専用ケースでの保管・アルコール清掃・定期的な買い替えが必須
- 「5秒以内の判断」や「隣接歯との調和」など、正しいマッチング技術を実践することが重要です
🛠 毎日の診療での小さな工夫が、色の正確さにつながります。
✅ 今後はAIと融合し、さらに進化していくツールに!
シェードガイドはこれまで“目で見て選ぶ”ツールでしたが、今後は以下のようなデジタル技術との融合が加速します。
- AIによる自動診断とカスタム色提案
- スマホアプリによる自宅シェードチェック
- 3Dスキャナー・クラウド管理との連携
これにより、より正確で、個々の美意識に応じた色選びが可能となり、
シェードガイドは診療ツールから“審美体験の一部”へと進化していきます。
🔚 あなたの「理想の歯の白さ」は、1本のシェードガイドから始まります。
正しい知識とツールを活用し、自分にぴったりの“自然で美しい歯の色”を見つけてください。
🏥 江戸川区篠崎で“自然な白い歯”を目指すなら、当院へ

当院では、シェードガイドを使用した精密な色調診断を行い、患者さまの歯に最適な補綴物(クラウン・ブリッジ・インプラント)やホワイトニングのプランをご提案いたします。
「白すぎる」「周囲の歯と色が合わない」といったお悩みを防ぐため、患者さまの歯の色にぴったり合う自然な仕上がりを追求。特に江戸川区篠崎エリアで審美歯科を検討されている方に、精度の高い治療を提供いたします。
美しい笑顔を手に入れたい方は、ぜひ当院にご相談ください!
【動画】ホームホワイトニングの効果的なやり方
筆者・院長

深沢 一
Hajime FUKASAWA
- 登山
- ヨガ
メッセージ
日々進化する歯科医療に対応するため、毎月必ず各種セミナーへの受講を心がけております。
私達は、日々刻々と進歩する医学を、より良い形で患者様に御提供したいと考え、「各種 歯科学会」に所属すると共に、定期的に「院内勉強会」を行う等、常に現状に甘んずる事のないよう精進致しております。 又、医療で一番大切な事は、”心のある診療”と考え、スタッフと共に「患者様の立場に立った診療」を、心がけております。


