- 1. 【📹 35秒】矯正なしですきっ歯を改善!ラミネートベニアで理想の歯に
- 2. 🦷 ラミネートベニアとは?
- 2.1. 💡 歯に“貼る”審美治療の基本
- 2.1.1. ラミネートベニアの治療例
- 2.2. 🎯 どんな人に向いている?適応症例をチェック
- 2.2.1. ✅ テトラサイクリン変色歯
- 2.2.2. ✅ 正中離開(すきっ歯)
- 2.2.3. ✅ 軽度の歯並びの乱れ
- 2.2.4. ✅ 短くすり減った歯
- 3. 🔍 治療の流れと所要時間
- 3.1. 🗓 初診カウンセリングと診断
- 3.2. 🔧 削る?削らない?選べる処置方法
- 3.3. 🧪 型取りとラミネート作製
- 3.4. 🦷 最終装着と咬合調整
- 4. 🌟 ラミネートベニアのメリット
- 4.1. 🎨 自然な白さと形を実現
- 4.2. ✂️ 最小限の削合で済む
- 4.3. 🕒 短期間で完了(最短2回)
- 4.4. ❄️ ホワイトニングでは不可能な変色にも対応
- 4.4.1. ❄️ ホワイトニングで可能な変色例
- 5. ⚠️ ラミネートベニアのデメリットと注意点
- 5.1. 🧱 歯を削ったら元には戻せない
- 5.2. 💸 費用が高額で保険適用外
- 5.3. 💥 割れる・外れるリスク
- 5.4. 🧩 出っ歯やガタガタの歯には不向きなケースも
- 6. 🧾 費用・料金相場まとめ
- 6.1. 📊 全国の価格帯と治療内容別の違い
- 6.2. 📍 当院の費用と明細例
- 7. 🧠 他の審美治療と比較する
- 7.1. 🦷 ホワイトニングとの違い
- 7.2. 🔍 ダイレクトボンディングとの違い
- 7.3. 👑 オールセラミッククラウンとの違い
- 7.4. 🪥 矯正治療(マウスピース等)との選び方
- 8. 🔄 後悔しないためのベニア選び
- 8.1. 🪞 削る?削らない?2つの選択肢
- 8.1.1. 🔹 削るタイプ(従来型ラミネートベニア)
- 8.1.2. 🔹 削らないタイプ(プレップレス・ルミネアーズ)
- 8.2. 🌈 白すぎ注意!自然な色選びのコツ
- 8.2.1. ✅ 色選びのポイント
- 8.3. 🤝 後悔しない歯科医院の選び方
- 8.3.1. ✅ 歯科医院選びのチェックリスト
- 9. 🛡 長持ちさせるメンテナンス方法
- 9.1. 🧼 正しい歯磨きとデンタルケア
- 9.1.1. ✅ 歯磨きのポイント
- 9.1.2. ✅ デンタルフロス・歯間ブラシも活用
- 9.2. 🦷 半年に一度の定期検診
- 9.2.1. ✅ 定期検診でできること
- 9.3. 🛏 ナイトガードの活用と歯ぎしり対策
- 9.3.1. ✅ 対策方法
- 9.4. ❌ やってはいけないNG行動とは?
- 9.4.1. ❌ NG行動一覧
- 10. 📚 症例紹介とビフォーアフター
- 10.1. 📸 テトラサイクリン歯を改善した症例
- 10.1.1. 📍 Before
- 10.1.2. 📍 After
- 11. 💬 よくある質問(Q&A)
- 11.1. ❓ Q. ラミネートベニアは何年もちますか?
- 11.2. ❓ Q. 痛みはありますか?麻酔は必要?
- 11.3. ❓ Q. 保険適用になる場合は?
- 11.4. ❓ Q. プレップレスとルミネアーズの違いは?
- 12. 📘 まとめ|理想の笑顔はラミネートベニアで
- 12.1. ✅ この治療が選ばれる理由
- 12.2. 💬 後悔しないために大切なこと
- 13. 江戸川区篠崎で理想の白い歯を!ラミネートベニア治療なら当院へ
- 14. 【動画】ホームホワイトニングの効果的なやり方
- 15. 筆者・院長

ラミネートベニアは、歯の表面に薄いセラミックを貼り付けることで、歯の色や形を美しく整える審美歯科治療です。特に、ホワイトニングでは改善できない変色や、すきっ歯・軽度の歯並びの修正に適しており、最短2回の通院で治療が完了します。
この記事では、ラミネートベニアの特徴、メリット・デメリット、費用、治療の流れ、メンテナンス方法までを詳しく解説します。
【📹 35秒】矯正なしですきっ歯を改善!ラミネートベニアで理想の歯に
🦷 ラミネートベニアとは?
💡 歯に“貼る”審美治療の基本
ラミネートベニアとは、歯の表面をごく薄く削り、その上にセラミック製の薄片(ベニア)を貼り付ける審美歯科治療です。
歯の色・形・すき間などを短期間で美しく整えることができ、自然な見た目と高い審美性が特徴です。
特に「ホワイトニングでは白くならない変色歯」や「軽度の歯並び」「すきっ歯」の改善に適しており、最短2回の通院で理想の前歯を手に入れられる点が多くの方に支持されています。
ラミネートベニアの治療例
step
ホームホワイトニング終了
- テトラサイクリン変色歯のホームホワイトニング終了時点で、十分満足できる結果とはなりませんでした。
- そこで上顎の前歯6本をラミネートベニアで治療します。
- 歯の表面のエナメル質部分だけを薄く(0.5~0.7ミリほど)削ります。
- ラミネートべニア成功のカギは、十分なプラークコントロールがなされていて、歯茎に炎症がないことです。

step
ラミネートべニア本体
- 削った歯を印象(型を取る)し、ポーセレンラミネートべニアを技工士が作ります。ラミネートべニアをつけるまでは、仮の歯をつけておきます。
- 写真の様にラミネートべニアの厚みは1mmほどしかなく、ラミネートべニアを付けても天然歯本体の色がわずかに透けてしまいます。その為、重度のテトラサイクリン変色歯では事前にホームホワイトニングを行い、少しでも白くしておくことが綺麗に仕上げるためには有効です。

step
ラミネートべニア装着
- ラミネートベニアと歯の表面を薬品で処理します。歯とラミネートべニアの両方に接着剤を付けてはりつけます。光をあてて接着剤を固めます。
- はみでた接着剤を除き、歯の表面とラミネートべニアの境界を磨いて適合させます。上下の咬み合わせを調整し、口腔内写真を撮影して終了です。

🎯 どんな人に向いている?適応症例をチェック
ラミネートベニアは、以下のような症例に適しています:
✅ テトラサイクリン変色歯
抗生物質の影響で歯の内部まで変色している場合、ホワイトニングでは白くなりません。ラミネートベニアなら、自然な白さのセラミックで色をカバーできます。

✅ 正中離開(すきっ歯)


前歯の真ん中にすき間がある場合、ラミネートベニアを左右の歯に少し幅を持たせて貼ることで、バランスよくすき間を閉じることができます。
✅ 軽度の歯並びの乱れ
矯正治療ほどの歯並びではないが、前歯のねじれやズレが気になる方に。ラミネートベニアで整えることで、短期間で自然な整列が可能です。
✅ 短くすり減った歯
歯ぎしりや加齢により歯が短く見えてしまう場合、ラミネートベニアを貼ることで本来の長さと形を再現し、若々しい印象に改善できます。
🔍 治療の流れと所要時間
ラミネートベニアは、最短2回の通院(約1〜2週間)で完了するスピーディな審美治療です。
ここでは、一般的な治療の流れを4ステップでご紹介します。
🗓 初診カウンセリングと診断
まずはカウンセリングとお口の精密チェックを行います。
- お悩みやご希望(色・形・仕上がりのイメージ)を丁寧にヒアリング
- むし歯・歯周病・噛み合わせなどの状態を確認
- ラミネートベニアが適応可能かを総合的に診断
💡 歯の健康状態が万全でないと施術できないため、事前の検査が非常に重要です。
🔧 削る?削らない?選べる処置方法
患者さんの歯の状態に応じて、**「削るタイプ」と「削らないタイプ(プレップレス)」**から処置方法を選択します。
- 削るタイプ:エナメル質を約0.3〜0.5mmだけ削る
➡️ 薄く自然な仕上がりで、色の調整もしやすい - 削らないタイプ(プレップレス・ルミネアーズ):歯をほとんど削らず装着
➡️ 歯への負担が少なく、痛みもほぼなし
⚠️ 一度削った歯は元に戻せないため、慎重なカウンセリングと説明を受けた上で選択することが大切です。
🧪 型取りとラミネート作製
次に、専用のシリコン材やスキャナーで精密な型取り(印象採得)を行います。
このデータをもとに、技工士が一人ひとりに合わせてオーダーメイドのラミネートベニアを作製します。
- 期間:約1週間
- 必要に応じて**仮歯(テンポラリー)**を装着
💡 精密なフィット感と自然な色合いを実現するため、熟練した技工士の技術が重要です。
🦷 最終装着と咬合調整
ラミネートベニア完成後は、いよいよ装着の工程です。
- 歯とベニアの両方を専用薬剤で処理
- 特殊な接着剤(ボンディング材)を使用して装着
- 光を照射して固定
- 噛み合わせや見た目を微調整して最終仕上げ
仕上がりに問題がなければ、写真撮影・術後説明をして終了となります。
⏱ 治療全体の所要時間は以下が目安です:
- 初診+型取り:約30〜60分
- 装着日:約60分
- 治療完了まで:最短2回の通院(1〜2週間)
🌟 ラミネートベニアのメリット
ラミネートベニアは、見た目の美しさだけでなく、治療の早さや低侵襲性も魅力の審美治療です。
以下のようなメリットが、多くの患者様から選ばれる理由となっています。
🎨 自然な白さと形を実現
ラミネートベニアは、透明感のあるセラミック素材を使用しているため、まるで天然歯のような自然な見た目に仕上がります。
- 色はA1やB1など、希望に合わせて細かく調整可能
- 一人ひとりに合わせたオーダーメイド設計で歯の形も美しく整えられる
- 表面の光沢と滑らかさで、清潔感ある笑顔を演出
📸 写真撮影や人前に出るお仕事の方にも非常に人気のある治療です。
✂️ 最小限の削合で済む
一般的なクラウン治療に比べ、ラミネートベニアは歯を削る量が圧倒的に少ないのが特長です。
- 削る量は0.3〜0.5mm程度(ほぼエナメル質の範囲)
- 最近では「削らないタイプ(プレップレス)」も登場
- 神経への影響も少なく、痛みや不快感が少ない
🦷「歯をできるだけ残したい」という方にぴったりの低侵襲な選択肢です。
🕒 短期間で完了(最短2回)
ラミネートベニアは、忙しい方にも嬉しいスピード治療が可能です。
- カウンセリング+型取り → 装着まで最短2回(約1〜2週間)
- 矯正のような長期間の治療を回避できる
- 結婚式・就職活動・撮影など期日が決まっているイベントにも対応しやすい
⏰「できるだけ早く見た目を変えたい」方には非常に有効な選択肢です。
❄️ ホワイトニングでは不可能な変色にも対応
ラミネートベニアは、ホワイトニングの効果が出にくい歯でも白くできるのが大きな強みです。
- テトラサイクリン歯、フルオロシス、神経を抜いた後の歯の変色などにも対応
- セラミックで覆うことで、確実に白さをコントロール
- 一度装着すれば、色戻りの心配がほぼない
💡「何をしても白くならない歯」にお悩みの方にとって、確実な改善が見込める治療です。
❄️ ホワイトニングで可能な変色例


⚠️ ラミネートベニアのデメリットと注意点
ラミネートベニアは優れた審美治療ですが、すべての方にとって万能ではありません。治療を受ける前に、以下のデメリットやリスクをよく理解しておくことが大切です。
🧱 歯を削ったら元には戻せない
通常タイプのラミネートベニアでは、歯の表面(エナメル質)を0.3〜0.5mm程度削る必要があります。
- 削ることでベニアを密着させ、自然な厚みに仕上げられる
- しかし、一度削ってしまうと元の状態には戻せません
- 場合によっては、知覚過敏が出るリスクもあります
🔍 「削らないタイプ(プレップレス)」であっても、多少の調整が必要なケースもあるため、歯科医との丁寧な相談が重要です。
💸 費用が高額で保険適用外
ラミネートベニアは保険が効かない自由診療です。
- 1本あたりの費用相場は 10万〜20万円前後
- プレップレスやルミネアーズなど特別なタイプはさらに高額(15〜25万円)
- 保険適用となるのは外傷や機能回復が必要な特殊ケースのみ
💡 複数本治療を希望する場合、事前にトータルの費用と支払い方法(分割・医療ローンなど)を確認しましょう。
💥 割れる・外れるリスク
ラミネートベニアは薄く繊細なセラミックでできており、強い衝撃には弱い側面もあります。
- 歯ぎしり・食いしばりがある方は、割れ・剥がれのリスクが上昇
- 硬いもの(氷・ナッツ・ガムなど)を噛む習慣がある場合も注意
- 接着剤の経年劣化により、10年を超えると剥がれる可能性も
🦷 ナイトガード(就寝時のマウスピース)などで予防することで、寿命を延ばすことができます。
🧩 出っ歯やガタガタの歯には不向きなケースも
ラミネートベニアはあくまで軽度な形の修正や変色カバーが目的の治療です。

- 重度の出っ歯(上顎前突)には不向き
→ 骨格から改善するには矯正治療が必要 - ガタガタな歯並び(乱杭歯)が強い場合
→ ベニアだけで整えるのは困難で、過度な削合が必要になるリスクあり
📌 一人ひとりの歯並びや噛み合わせを評価した上で、矯正・クラウン・ベニアの中から最適な治療法を選ぶことが重要です。
🧾 費用・料金相場まとめ
ラミネートベニアは保険適用外の自由診療であり、治療費は使用素材やクリニックの方針により大きく異なります。
ここでは、全国的な相場と当院での費用例を詳しくご紹介します。
📊 全国の価格帯と治療内容別の違い
| 種類 | 特徴 | 費用相場(1本あたり) |
|---|---|---|
| オールセラミック | 透明感・審美性・耐久性◎ | 10万〜20万円 |
| ハイブリッドセラミック | セラミック+樹脂で柔軟性あり | 5万〜10万円 |
| ルミネアーズ | 超薄型・削らずに装着可 | 15万〜25万円 |
| プレップレスベニア | 削らず装着・取外し可能な場合あり | 15万〜20万円 |
📝 都市部の専門クリニックでは価格が高くなる傾向がありますが、複数本同時に治療する場合はセット割引があるケースも。
また、使用するセラミックの品質や技工士の技術により見た目の自然さや耐久性に差が出るため、「安さ」だけで選ばないことが重要です。
📍 当院の費用と明細例
当院では、明朗な料金設定と高品質なセラミック素材の使用を心がけています。
| 項目 | 価格(税込) | 備考 |
|---|---|---|
| ラミネートベニア(オールセラミック) | 82,000円/本 | 診断料・削合・型取り・装着費すべて込み |
| 仮歯(テンポラリー) | 無料サービス | 通常1週間程度の装着期間 |
| カウンセリング・診断料 | 初診料に含む | 追加料金なし |
💡 無理なセールスやセット販売は一切行っておりません。ご希望やご予算に応じて、最適な治療プランをご提案いたします。
🧠 他の審美治療と比較する
「歯を白くきれいにしたい」「見た目を整えたい」という目的は同じでも、審美歯科にはさまざまな治療法があります。
ここでは、ラミネートベニアと他の主要な審美治療との違いを比較してご紹介します。
🦷 ホワイトニングとの違い
| 比較項目 | ラミネートベニア | ホワイトニング |
|---|---|---|
| 歯を削るか | わずかに削る/削らない場合もあり | 削らない |
| 白さの持続性 | 半永久的 | 一時的(数ヶ月〜1年) |
| 色の調整 | 理想の白さを選べる | 自然な範囲で明るくする |
| 適応範囲 | ホワイトニングが効かない変色にも対応可 | テトラサイクリン歯などには不向き |
💡 ホワイトニングで満足できない場合、ラミネートベニアが選択肢になります。
🔍 ダイレクトボンディングとの違い

| 比較項目 | ラミネートベニア | ダイレクトボンディング |
|---|---|---|
| 材質 | セラミック | レジン(樹脂) |
| 見た目 | 透明感があり自然 | やや劣る |
| 仕上がりの精度 | 技工士が作製するため高精度 | 術者の技術に依存 |
| 耐久性 | 約7〜10年 | 数年で変色や欠けが起きることも |
👀 見た目や長期的な耐久性を重視するなら、ラミネートベニアが優位です。
👑 オールセラミッククラウンとの違い

| 比較項目 | ラミネートベニア | オールセラミッククラウン |
|---|---|---|
| 歯を削る量 | 少ない(表面のみ) | 多い(全体を大きく削る) |
| 神経温存 | 可能性が高い | 場合によっては神経除去が必要 |
| 適応範囲 | 前歯の見た目改善に最適 | 歯の損傷が大きい場合に有効 |
| 見た目 | どちらも審美性が高い | 形状の自由度が高い |
🦷 クラウンは重度の損傷・大きな形の変更が必要な症例に適しています。
🪥 矯正治療(マウスピース等)との選び方
| 比較項目 | ラミネートベニア | 矯正治療(インビザライン等) |
|---|---|---|
| 審美改善までの期間 | 最短2回(1〜2週間) | 数ヶ月〜数年 |
| 歯を削るか | 一部削る場合あり | 削らない |
| 見た目の即効性 | 即効で変化 | 時間がかかるが根本改善 |
| 適応症例 | 軽度の歯並びの修正 | 中〜重度の歯列不正にも対応可 |
📌 「短期間で見た目を整えたい方」はベニア、「根本から歯並びを改善したい方」は矯正が向いています。
🔄 後悔しないためのベニア選び
ラミネートベニアは、歯の見た目を大きく変える治療です。
「思った仕上がりと違った…」「削らなければよかった」といった後悔を防ぐために、選ぶべきポイントを事前に理解しておくことがとても大切です。
🪞 削る?削らない?2つの選択肢
ラミネートベニアには、**「削るタイプ」と「削らないタイプ」**の2種類があります。
🔹 削るタイプ(従来型ラミネートベニア)
- 歯の表面を0.3〜0.5mm程度削合
- 厚みを抑えて自然な仕上がりにできる
- 歯の形を細かく調整できる
✅ 仕上がりの自然さや耐久性を重視する方におすすめ
🔹 削らないタイプ(プレップレス・ルミネアーズ)
- 歯をほぼ削らず、麻酔も不要なケースが多い
- 痛みが少なく、神経への影響も少ない
- 一部、取り外し可能なタイプも
✅ 「歯を絶対に削りたくない」方に適した選択肢
⚠ 一度削った歯は元に戻せません。
慎重に検討し、信頼できる歯科医としっかり相談することが重要です。
🌈 白すぎ注意!自然な色選びのコツ
「せっかくなら真っ白にしたい」と思う方も多いですが、不自然な白さは逆に目立ってしまうことがあります。
✅ 色選びのポイント
- 周囲の歯とのバランスが取れた白さが理想
- 1本だけ白いと浮いて見えることがある
→ 複数本での施術なら明るめも自然に見える - 歯茎の色と調和した色を選ぶことで、よりナチュラルに
💡 シェードガイドで日常の光・照明の下での見え方を確認するのがおすすめです。
🤝 後悔しない歯科医院の選び方
ラミネートベニアは、医師の経験と技術・使う素材の質で仕上がりが大きく変わる治療です。
価格だけで決めるのではなく、以下のポイントで比較しましょう。
✅ 歯科医院選びのチェックリスト
- ベニア症例が豊富か?(写真やレビューを確認)
- 十分なカウンセリング時間が取られているか
- 削る・削らないなど複数の選択肢を提示してくれるか
- セラミックの種類や技工士の技術について明確な説明があるか
- 料金が明朗で、保証制度があるか
💬 複数の歯科医院で無料カウンセリングを比較検討するのも、後悔しないための一歩です。
🛡 長持ちさせるメンテナンス方法
ラミネートベニアは平均寿命7〜10年といわれていますが、正しいケアを行えば10年以上美しく保つことも可能です。
以下のポイントを押さえて、トラブルを未然に防ぎましょう。
🧼 正しい歯磨きとデンタルケア
ラミネートベニアを傷つけないよう、やさしく丁寧なセルフケアが重要です。
✅ 歯磨きのポイント
- やわらかめの歯ブラシを使用し、強くこすらない
- 研磨剤の入っていない歯磨き粉を選ぶ(ホワイトニング用は避ける)
- 電動歯ブラシを使う場合は、低振動タイプを選ぶと安心
✅ デンタルフロス・歯間ブラシも活用
- フロスでベニアと歯の間の汚れを除去
- 歯間ブラシは極細タイプを選び、無理な力をかけない
🦷 ラミネートベニアは汚れに強い素材ですが、歯周病が進行すると土台の歯がダメになってしまうこともあるため、日々のケアはとても大切です。
🦷 半年に一度の定期検診
装着後も定期的に歯科医院でチェックを受けましょう。
✅ 定期検診でできること
- ベニアの接着状態や欠け・浮きのチェック
- 歯茎の健康確認(歯周病の早期発見)
- ベニアの表面についた汚れや色素のクリーニング
📅 目安は6ヶ月に1回。異変を早期に発見することで、トラブルを防げます。
🛏 ナイトガードの活用と歯ぎしり対策
歯ぎしりや食いしばりは、ラミネートベニアの破損リスクを高める大きな原因です。
✅ 対策方法
- **ナイトガード(就寝用マウスピース)**を装着して保護
→ 歯科医院でカスタムメイドのものを作成すると効果的 - 昼間の無意識の食いしばりにも注意し、「歯を合わせない意識」を持つ
💡 ナイトガードを使うことで、ベニアの寿命を確実に延ばすことができます。
❌ やってはいけないNG行動とは?
ラミネートベニアを早期にダメにしてしまう原因になる行動には注意が必要です。
❌ NG行動一覧
- ガリガリ氷を噛む、ナッツを前歯で噛む
- ガムやキャラメルなどの粘着性の強い食品
- 歯ぎしり・食いしばりを放置
- 硬い歯ブラシや研磨剤入り歯磨き粉の使用
- ベニア装着後に定期検診に行かない
🛑 これらを避けることで、ラミネートベニアは美しさを保ったまま長期間使用可能になります。
📚 症例紹介とビフォーアフター
ラミネートベニアは、見た目の変化がはっきり現れる治療です。
ここでは実際の症例をもとに、どのように歯が美しく改善されたかをご紹介します。
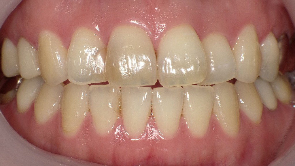
📸 テトラサイクリン歯を改善した症例

ラミネートベニア装着時の咬合面観
咬合面観で見ると薄いラミネートベニアが張り付いているのが分かります。(治療中のため、右上の犬歯にはラミネートベニアの装着は完了していません。)

ラミネートベニア装着時の正面観
上顎の犬歯から犬歯の6本がラミネートベニア装着時の正面観(同症例)。
📍 Before
患者さんは小児期に服用した抗生物質の影響で、前歯が灰色〜茶色に変色しており、ホワイトニングでは満足できる効果が得られませんでした。
📍 After
上の前歯6本にオールセラミック製のラミネートベニアを装着。
透明感を残しつつ、シェードA1の自然な白さで仕上げました。
✅ 治療期間:2回の通院(約10日間)
✅ 削合量:約0.5mm(エナメル質内)
✅ 患者満足度:「笑顔に自信が持てるようになった」と高評価
💬 よくある質問(Q&A)
ラミネートベニア治療をご検討中の方からよくいただくご質問と、その回答をご紹介します。
治療前の不安や疑問を解消するための参考にしてください。
❓ Q. ラミネートベニアは何年もちますか?
🅰️ 通常は7〜10年程度が目安です。
ただし、適切なメンテナンス(定期検診・ナイトガード・正しい歯磨き)を行えば、10年以上美しく保てることも十分可能です。
逆に、歯ぎしりや硬いものを噛む習慣があると、寿命が短くなることもあります。
❓ Q. 痛みはありますか?麻酔は必要?
🅰️ ほとんどの場合、痛みは軽度〜無痛です。
削る量はごくわずかで、エナメル質内にとどまるため、麻酔なしでも施術できることが多いです。
ただし、歯の状態や削合量によっては、軽い麻酔を使用することもあります。
💡 削らない「プレップレス」タイプなら、麻酔なしで治療可能なケースが大半です。
❓ Q. 保険適用になる場合は?
🅰️ 基本的には保険適用外の自由診療です。
しかし、以下のような例外的ケースでは保険が適用される可能性があります:
- 外傷によって歯が折れた・欠けた場合(事故や怪我など)
- 先天的に歯がない・形成不全がある場合
- 機能的な回復が主目的と認められる場合(噛み合わせや発音の改善など)
🔍 審美目的(見た目改善)のみの治療は、全額自己負担になります。
❓ Q. プレップレスとルミネアーズの違いは?
🅰️ どちらも「削らずに装着できるラミネートベニア」ですが、細かな違いがあります:
| 比較項目 | プレップレス | ルミネアーズ |
|---|---|---|
| 厚み | 約0.2〜0.3mm | 約0.2mm(より薄型) |
| 特徴 | 国産・汎用性が高い | アメリカ製・特許素材を使用 |
| 審美性 | 高い | よりナチュラルで透明感あり |
| 費用相場 | 約15万〜20万円/本 | 約15万〜25万円/本 |
💡 どちらが適しているかは、歯の状態や希望の仕上がりによって異なります。
カウンセリングで実物を見比べながら、最適な選択が可能です。
📘 まとめ|理想の笑顔はラミネートベニアで
ラミネートベニアは、短期間で歯の色や形を美しく整えられる審美歯科治療です。
特に、ホワイトニングでは対応できない変色や、軽度の歯並びの乱れ・すきっ歯にお悩みの方におすすめです。
✅ この治療が選ばれる理由
- 最短2回の通院で理想の見た目を実現
- 歯を大きく削らずに仕上げられる低侵襲な方法
- 自然な白さ・形・透明感で自信のある笑顔に
- プレップレスやルミネアーズなど削らない選択肢も充実
- 痛みや不安が少なく、日常生活に支障なく治療が完了
💬 後悔しないために大切なこと
ラミネートベニアは非常に効果的な治療ですが、すべての人に万能ではありません。
成功のためには以下の3つがとても重要です。
- 歯科医院選びの慎重な判断
症例実績やカウンセリングの丁寧さ、使用素材の品質を確認 - 事前の十分な相談と説明
削るか削らないか、色や形の選び方を納得いくまで話し合う - 術後の正しいケア
定期検診やナイトガード、歯磨きの見直しで寿命を延ばす
江戸川区篠崎で理想の白い歯を!ラミネートベニア治療なら当院へ

江戸川区篠崎で、自然な白さと美しい歯並びを短期間で手に入れたい方へ──
当院では、歯を削る量を最小限に抑えたラミネートベニア治療を行っています。
ホワイトニングでは効果が出にくい変色歯や、前歯のすき間・形を美しく整えたい方におすすめです。
症例実績も豊富で、初めての方でも丁寧にご説明いたします。
「削らずに白くしたい」「短期間で印象を変えたい」そんな方は、ぜひ一度ご相談ください。
【動画】ホームホワイトニングの効果的なやり方
筆者・院長

深沢 一
Hajime FUKASAWA
- 登山
- ヨガ
メッセージ
日々進化する歯科医療に対応するため、毎月必ず各種セミナーへの受講を心がけております。
私達は、日々刻々と進歩する医学を、より良い形で患者様に御提供したいと考え、「各種 歯科学会」に所属すると共に、定期的に「院内勉強会」を行う等、常に現状に甘んずる事のないよう精進致しております。 又、医療で一番大切な事は、”心のある診療”と考え、スタッフと共に「患者様の立場に立った診療」を、心がけております。


