- 1. 【歯が短く見える・前歯がすり減る】過蓋咬合(ディープバイト)の原因と治療法
- 1.1. 🦷 歯が短く見える症例
- 1.1.1. 🦷 全体的な特徴
- 1.1.2. ⚙️ 臨床的考察
- 1.1.3. 💡 治療とケアのポイント
- 2. 🔍 過蓋咬合で起こりやすい症状
- 2.1. 過蓋咬合(ディープバイト) で歯が短く見える症例
- 2.1.1. 🦷 全体の特徴
- 2.1.2. ⚙️ 過蓋咬合との関係過蓋咬合では、
- 2.1.3. 🩺 臨床的考察
- 2.1.4. 💡 治療とケアのポイント
- 3. 🔍 過蓋咬合で起こりやすい症状
- 3.1.1. 1. 前歯の咬耗(すり減り)
- 3.1.2. 2. 歯が短く見える
- 3.1.3. 3. 顎や筋肉への負担
- 3.1. 💡 治療方法
- 3.1.1. 1. 矯正治療による咬合改善
- 3.1.2. 2. 補綴(ほてつ)治療による歯の高さ回復
- 3.1.3. 3. ナイトガードによる予防
- 4. 🪞 顔の印象も変わる?ブレーキフェイシャルとの関係
- 5. ✨ まとめ
- 6. 江戸川区篠崎で歯が短く見える、笑顔に自信が持てないという方へ🦷
- 7. 【動画】ホワイトスポットをアイコンで治す
- 8. 【動画】初期虫歯COを削らずに自分で治す方法
- 9. 筆者・院長

鏡を見たとき、「歯が短くなった気がする」「前歯の先が平らにすり減っている」と感じたことはありませんか?
実はその原因、噛み合わせ(過蓋咬合:ディープバイト)にあるかもしれません。
過蓋咬合は、歯がすり減るだけでなく、顎関節や顔の印象にも影響することがあります。
今回は、歯が短く見える原因と治療法について、歯科医が詳しく解説します。
【歯が短く見える・前歯がすり減る】過蓋咬合(ディープバイト)の原因と治療法
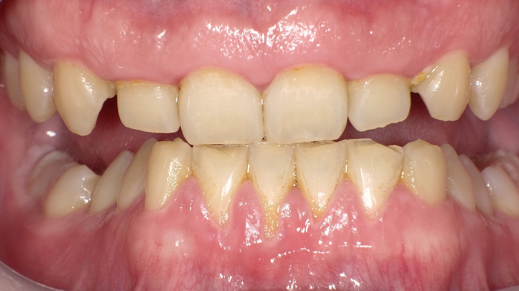
🦷 歯が短く見える症例
この画像は、歯が短く見える症例です。

🦷 全体的な特徴
- 歯が短く見える:
上顎前歯部は歯肉の被覆により、歯冠が短く見えています。 - 過蓋咬合(ディープバイト):
上の前歯が下の前歯を深く覆い、下の歯の露出が少ない過蓋咬合(ディープバイト)の症例です。通常より咬み込みが深いため、歯のすり減りや顎関節への負担が大きくなります。 - 下顎前歯切端の咬耗:
下の前歯の切端が平らにすり減っており、エナメル質が摩耗して象牙質が露出しています。咬耗による黄色みが見られます。 - 歯列・咬合のバランス:
上下の前歯の位置関係から**ブレーキフェイシャル(短顔型傾向)**が疑われます。
垂直的な咬み込みが強いことで、顔下半分が短く見える特徴があります。 - 歯の表面や歯間部に黄褐色の沈着物(歯石):
歯周組織にも影響を及ぼしていることがうかがえます。歯肉がやや赤く腫れぼったい状態で、**炎症性変化(歯肉炎〜初期歯周炎)**が疑われます。
⚙️ 臨床的考察
この症例では、
- 過蓋咬合による強い咬耗(歯の摩耗)
- 歯石沈着と歯周病による歯肉炎症
が同時に見られます。
つまり、噛み合わせの異常によって清掃が難しくなり、結果として歯石や歯周炎が進行している可能性があります。
また、過蓋咬合による歯列の圧迫で、歯肉への局所的な負担も大きくなっていると考えられます。
💡 治療とケアのポイント
| 問題点 | 対応策 |
|---|---|
| 歯石の付着 | スケーリング(歯石除去)・定期的クリーニング |
| 歯周炎の初期症状 | プラークコントロール・歯周ポケット清掃 |
| 咬耗・過蓋咬合 | 矯正治療や咬合再構成でバランスを改善 |
| 再発予防 | ナイトガードや定期メンテナンス |
🔍 過蓋咬合で起こりやすい症状
過蓋咬合は見た目だけでなく、歯や顎の健康にも悪影響を及ぼします。
過蓋咬合(ディープバイト) で歯が短く見える症例
この画像は、**過蓋咬合(ディープバイト)**を伴う症例で、歯周病による歯肉の腫れが見られる状態を示しています。

🦷 全体の特徴
- 上の前歯が下の前歯を深く覆う 過蓋咬合(ディープバイト) がみられます。
噛み込みが深いため、下顎の前歯が上顎の歯肉や裏側に強く当たり、慢性的な刺激が加わっている状態です。 - 矢印の部分では、歯肉が赤く腫れて出血を伴っており、歯周病性炎症が疑われます。
歯肉の厚みが増しているため、結果的に歯が短く見える状態となっています。
⚙️ 過蓋咬合との関係過蓋咬合では、
- 前歯に垂直的な強い力が集中しやすく、
- 清掃が行き届きにくい部位が生まれやすいです。
その結果、プラークや歯石が溜まりやすく、歯周病が進行しやすい噛み合わせになります。
また、強い咬合力により歯肉や骨への圧迫ストレスが加わり、炎症が慢性化することもあります。
🩺 臨床的考察
この症例では、
- 過蓋咬合による咬合性外傷
- 歯周病による炎症性腫脹
が重なっている状態です。
歯肉の炎症で歯が短く見える一方、長期的には歯槽骨の吸収により逆に「歯が長く見える」状態に移行することもあります。
つまり、「歯が短く見える=初期〜中等度の歯周病」、「歯が長く見える=歯周病が進行した状態」と捉えられます。
💡 治療とケアのポイント
| 問題点 | 対応策 |
|---|---|
| 歯肉の腫れ・出血 | 歯周基本治療(スケーリング・ルートプレーニング) |
| 清掃不良部位 | 正しいブラッシング指導・補助用具の使用 |
| 噛み合わせの不均衡 | 咬合調整・矯正による咬合改善 |
| 再発防止 | 定期的な歯周メンテナンスと噛み合わせ管理 |
🔍 過蓋咬合で起こりやすい症状
1. 前歯の咬耗(すり減り)
深く噛み込むことで、下の前歯の切端(先端)が上の歯の裏側に強く当たり続けるため、摩耗が進行します。
時間が経つと象牙質が露出し、黄ばみや知覚過敏が起こることもあります。
2. 歯が短く見える
摩耗により歯が削れ、見た目上「歯が短くなった」と感じやすくなります。
また、噛み込みが深いことで上の歯ぐきが見えやすく、口元が窮屈に見えることもあります。
3. 顎や筋肉への負担
上下の歯が強く接触するため、顎関節症や筋肉のこわばりを引き起こす場合もあります。
特に「ブレーキフェイシャル(短顔型)」と呼ばれる骨格傾向の方は、咬み込みがさらに強くなりやすい傾向があります。
💡 治療方法
過蓋咬合は、歯のすり減りを防ぐだけでなく、顔の印象や咀嚼機能の改善にもつながる治療が可能です。
1. 矯正治療による咬合改善
ワイヤー矯正やマウスピース矯正(インビザラインなど)で、上下の歯の位置関係を整え、噛み込みを浅くします。
歯並びだけでなく、咬合高さを回復させることが目的です。
2. 補綴(ほてつ)治療による歯の高さ回復
すり減った歯をセラミッククラウンなどで元の高さに戻す方法です。
咬耗が進行している場合は、全体的な「咬合再構成(こうごうさいこうせい)」が必要になることもあります。
3. ナイトガードによる予防
就寝中の歯ぎしり・食いしばりを防ぐマウスピースを使用することで、歯の摩耗を防止できます。
矯正後や補綴後の維持・予防にも有効です。
🪞 顔の印象も変わる?ブレーキフェイシャルとの関係
過蓋咬合の方は、下顔面が短く見えやすく、**「顎が小さく見える」「口元が窮屈」**と感じることがあります。
咬合を適正な高さに戻すことで、**自然なEライン(横顔のバランス)**を取り戻せるケースもあります。
✨ まとめ
| 問題 | 原因 | 対応策 |
|---|---|---|
| 歯が短く見える | 咬耗・過蓋咬合 | 咬合改善・補綴治療 |
| 前歯がすり減る | 強い接触・歯ぎしり | ナイトガード・矯正 |
| 顔が短く見える | ブレーキフェイシャル | 咬合再構成で改善 |
江戸川区篠崎で歯が短く見える、笑顔に自信が持てないという方へ🦷

「歯が短くなった」「噛み合わせが深い気がする」などのお悩みは、早めのご相談がおすすめです。
江戸川区篠崎駅徒歩1分の当歯科クリニックでは、見た目・機能・健康をトータルに考えた咬合治療を行っています。
丁寧なカウンセリングで、あなたに合った最適な治療方法をご提案します。
【動画】ホワイトスポットをアイコンで治す
【動画】初期虫歯COを削らずに自分で治す方法
筆者・院長

深沢 一
Hajime FUKASAWA
- 登山
- ヨガ
メッセージ
日々進化する歯科医療に対応するため、毎月必ず各種セミナーへの受講を心がけております。
私達は、日々刻々と進歩する医学を、より良い形で患者様に御提供したいと考え、「各種 歯科学会」に所属すると共に、定期的に「院内勉強会」を行う等、常に現状に甘んずる事のないよう精進致しております。 又、医療で一番大切な事は、”心のある診療”と考え、スタッフと共に「患者様の立場に立った診療」を、心がけております。


