- 1. 虫歯じゃないのに奥歯が痛む原因とは?
- 1.1. 🦷 歯ぎしりや食いしばりによる痛み
- 1.2. 🌿 歯周病や歯肉炎による炎症
- 1.3. 🦷 親知らずが原因の奥歯の痛み
- 1.4. 😬 噛み合わせの不調や顎関節症
- 1.5. 🤧 副鼻腔炎(蓄膿症)による関連痛
- 1.6. ❄️ 知覚過敏や神経の炎症
- 2. 放置すると危険?考えられるリスク
- 3. 自分でできる対処法
- 3.1. 👍 セルフケアで痛みを和らげる
- 3.2. 💊 一時的な市販薬の活用
- 4. 歯科医院で受けられる治療法
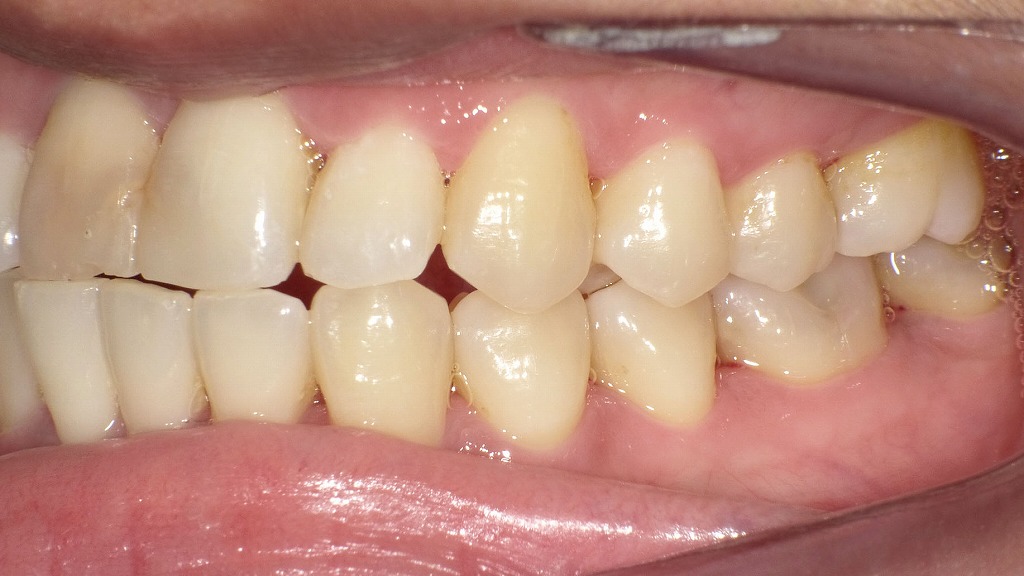
- 4.1.1. 歯周病治療の効果が一目でわかる|歯石取り・SRP 前後の比較
- 5. 歯科を受診すべきタイミング
- 6. まとめ
- 7. 江戸川区篠崎で「虫歯じゃないのに奥歯が痛い」と感じたら
- 8. 【動画】初期虫歯COを削らずに自分で治す方法
- 9. 筆者・院長

「虫歯はないと言われたのに奥歯が痛い…」そんな経験はありませんか?実は、奥歯の痛みは必ずしも虫歯が原因とは限りません。歯ぎしりや歯周病、親知らず、副鼻腔炎など、さまざまな要因で痛みが出ることがあります。
本記事では、考えられる原因と対処法、そして受診の目安をわかりやすく解説します。
虫歯じゃないのに奥歯が痛む原因とは?

🦷 歯ぎしりや食いしばりによる痛み
寝ている間の歯ぎしりや日中の食いしばりが、歯や歯根に大きな負担をかけ、痛みの原因になることがあります。
🌿 歯周病や歯肉炎による炎症
歯ぐきの腫れや出血を伴う場合、歯周病が原因かもしれません。歯を支える骨が炎症で弱くなることで奥歯に痛みを感じます。

歯石はプラーク(細菌の塊)が硬く石灰化したもので、表面がザラついて細菌がさらに付着しやすくなり、歯肉炎・歯周病を悪化させる主因になります。
🦷 親知らずが原因の奥歯の痛み
横向きに生えたり、半分埋まっている親知らずは隣の歯を圧迫し、ズキズキした痛みを引き起こします。

赤矢印のように親知らずが横向きに埋まったり、半分だけ生えている状態では、虫歯がなくても奥歯に痛みを感じることがあります。親知らずが前の歯を強く押したり、周囲の歯茎に炎症を起こすことで、噛んだ時の痛みや鈍い違和感が生じやすくなります。
😬 噛み合わせの不調や顎関節症
噛み合わせのズレや顎関節症により、奥歯に異常な力が加わり痛みを感じることがあります。
🤧 副鼻腔炎(蓄膿症)による関連痛
上の奥歯の根は副鼻腔に近いため、副鼻腔炎の炎症が奥歯の痛みとして現れることもあります。
❄️ 知覚過敏や神経の炎症
冷たい飲み物でしみたり、神経が炎症を起こしている場合も「虫歯じゃないのに痛い」原因のひとつです。
放置すると危険?考えられるリスク
- 歯の寿命を縮める
- 歯周病や顎関節症の悪化
- 顔や全身にまで炎症が広がるリスク
自分でできる対処法
👍 セルフケアで痛みを和らげる
- ナイトガード(マウスピース)の使用
- 丁寧な歯磨きとフロスで清潔を保つ
- 冷やして炎症を和らげる
💊 一時的な市販薬の活用
鎮痛薬や抗炎症のうがい薬で応急処置はできますが、根本原因の解決には歯科医院での診断が必要です。
歯科医院で受けられる治療法

- 🦷 噛み合わせ調整やマウスピース作製
- 🌿 歯周病治療(歯石取り・SRP)
- 🦷 親知らずの抜歯
- 🔬 根管治療(神経の処置)が必要なケースも
歯周病治療の効果が一目でわかる|歯石取り・SRP 前後の比較


左(治療前)では、歯ぐきの縁や歯周ポケット内に歯石が付着し、炎症により歯ぐきの腫れや赤みが認められます。
右(治療後)は、歯石取り・SRP(スケーリング・ルートプレーニング)によって歯根面まで清掃され、歯ぐきの腫れが引き、引き締まった健康的な状態へと改善しています。
歯石を除去することで細菌の温床が取り除かれ、歯周病の進行抑制と再発予防につながります。
歯科を受診すべきタイミング
- 数日以上痛みが続く
- 噛むとズキッと痛む
- 歯ぐきの腫れや出血がある
- 顔や顎にまで痛みが広がる
こうした場合は早めの受診が安心です。
まとめ
奥歯の痛みは虫歯だけが原因ではなく、歯ぎしり・親知らず・歯周病・副鼻腔炎など多岐にわたります。放置すると悪化することもあるため、自己判断せず歯科医院での検査をおすすめします。
江戸川区篠崎で「虫歯じゃないのに奥歯が痛い」と感じたら

江戸川区篠崎で「虫歯じゃないのに奥歯が痛い」とお悩みの方は、篠崎駅南口徒歩1分の当歯科クリニックへご相談ください。歯周病・噛み合わせ・親知らず・知覚過敏など幅広い原因を丁寧に診断し、患者さまに合った治療を行っています。早めの受診で歯と全身の健康を守りましょう。
【動画】初期虫歯COを削らずに自分で治す方法
筆者・院長

深沢 一
Hajime FUKASAWA
- 登山
- ヨガ
メッセージ
日々進化する歯科医療に対応するため、毎月必ず各種セミナーへの受講を心がけております。
私達は、日々刻々と進歩する医学を、より良い形で患者様に御提供したいと考え、「各種 歯科学会」に所属すると共に、定期的に「院内勉強会」を行う等、常に現状に甘んずる事のないよう精進致しております。 又、医療で一番大切な事は、”心のある診療”と考え、スタッフと共に「患者様の立場に立った診療」を、心がけております。


