- 1. 噛み合わせが崩壊した初診時の口腔内所見
- 1.1. 🦷 全体的な所見
- 1.2. 🩸 詳細な観察ポイント
- 1.2.1. ① 重度虫歯(う蝕)
- 1.2.2. ② 咬合崩壊
- 1.2.3. ③ 歯肉・粘膜の状態
- 1.3. 🩺 診断の方向性
- 1.4. 💡 治療計画の一般的な流れ
- 2. 上顎咬合面観による詳細評価と保存可能歯の判定
- 2.1. 🦷 全体所見
- 2.2. 🦷 各部の詳細評価(保存可否の目安)
- 3. オーバーデンチャー型仮義歯の装着と咬合再構成
- 3.1. 🦷 全体的な構成
- 3.2. 🔍 各部の詳細解説
- 3.2.1. ① 右上1番・左上2番(クラスプ付き義歯の維持歯)
- 3.2.2. ② 仮義歯(オーバーデンチャー)
- 3.2.3. ③ 義歯床の適合状態
- 3.3. 🩺 臨床的評価
- 4. 前歯部仮歯(プロビジョナルクラウン)による審美・機能評価
- 4.1. 🦷 全体の状況
- 4.2. 🔍 各部の詳細評価
- 4.2.1. ① 前歯部(仮歯部)
- 4.2.2. ② 右上7番(金属冠)
- 4.3. 🩺 臨床的評価と治療意図
- 4.4. 💡 今後の治療ステップ
- 5. 最終補綴治療(硬質レジン前装冠+保険義歯)
- 5.1. 🦷 全体的な構成
- 5.2. 🔍 各部の詳細解説
- 5.2.1. ① 前歯部(硬質レジン前装冠)
- 5.2.2. ② パラタルバー(口蓋バー)
- 5.2.3. ③ クラスプ(維持装置)
- 5.3. 🩺 臨床的評価
- 6. 📍江戸川区篠崎で「もう噛めない」「見た目も気になる」とお悩み方へ
- 7. 【動画】初期虫歯COを削らずに自分で治す方法
- 8. 筆者・院長

長年の虫歯と噛み合わせの崩れにより、歯がほとんど残っていない状態で来院された患者さまの症例です。
「もう噛めない」「見た目も気になる」とお悩みでしたが、残せる歯をできるだけ保存し、仮義歯・仮歯を使って少しずつ噛み合わせと見た目を整えました。
最終的には、保険のデンチャーと硬質レジン前装冠による補綴で、しっかり噛める口元と自然な見た目を回復しました。
ここでは、その治療の流れを写真とともにご紹介します。🪥✨
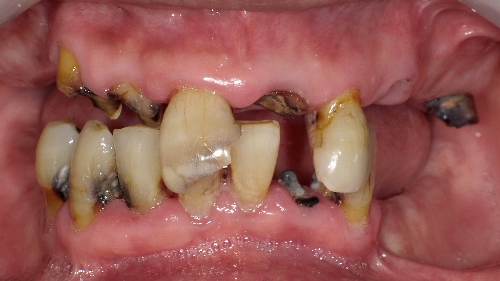
噛み合わせが崩壊した初診時の口腔内所見
この写真は初診時の口腔内を示しています。

🦷 全体的な所見
上顎・下顎ともに多数の歯が重度に崩壊しており、歯冠がほとんど残っていない部位も多く見られます。残存歯は虫歯(う蝕)と歯石、着色が強く、咬合(かみ合わせ)の高さが失われている状態=咬合崩壊が明らかです。
🩸 詳細な観察ポイント
① 重度虫歯(う蝕)
- 上顎・下顎の前歯・臼歯ともに、歯質が大きく欠損。
- 黒褐色の変色や崩壊部が多く、感染歯質が深部まで進行していると推察されます。
- 一部歯冠はほとんど消失し、根だけが残る「残根状態」になっています。
② 咬合崩壊
- 奥歯の喪失により、上下の咬み合わせが大幅に低下。
- 前歯に過剰な咬合圧が集中し、歯の傾斜や移動、隙間が見られます。
- 咀嚼機能が著しく低下しており、発音や審美にも影響している可能性があります。
③ 歯肉・粘膜の状態
- 歯肉は発赤し、炎症性の腫脹が疑われます。
- プラークコントロール不良による慢性歯周炎の併発が考えられます。
🩺 診断の方向性
- 多発性う蝕および重度歯周病を伴う咬合崩壊
- まずは感染源除去(抜歯・仮義歯による安定化)を行い、口腔内環境を整えた上で、**再建治療(義歯・インプラント・ブリッジなど)**を検討する必要があります。
💡 治療計画の一般的な流れ
- 感染歯・残根の除去
- 歯周治療・プラークコントロール指導
- 仮義歯で咬合再構成
- 最終補綴(入れ歯・インプラントなど)
- メンテナンスで再発防止
上顎咬合面観による詳細評価と保存可能歯の判定
この画像は、**上顎の咬合面観(上から見た状態)**です。上顎歯列全体にわたり重度のう蝕が進行しており、歯冠崩壊が顕著です。以下に詳細な観察と、保存可能歯の判定を示します。

🦷 全体所見
- 全歯にう蝕が見られ、広範囲に黒褐色化・崩壊しています。
- 歯冠が大部分失われ、残根状態の歯が多く存在。
- 歯列弓は不完全で、咬合支持がほぼ喪失しています。
- 歯肉は炎症性変化を伴い、一部では歯肉退縮も確認できます。
🦷 各部の詳細評価(保存可否の目安)
| 部位 | 現状所見 | 診断・処置内容 | 保存可否 |
|---|---|---|---|
| 右上3番(犬歯) | 歯冠崩壊は中等度。根の長さ十分で歯周支持も残存。 | 再根管治療により感染除去し、支台歯として利用可能。 | 保存可 |
| 右上2番(側切歯) | 歯冠欠損大だが、根尖病変軽度。 | 再根管治療により保存可能。支台築造後、前装冠修復予定。 | 保存可 |
| 右上1番(中切歯) | う蝕が深部まで進行しているが、歯根は健全。 | **抜髄処置(根管治療)**を行えば支台歯として機能可能。 | 保存可 |
| 左上1番(中切歯) | 既存根管治療あり。感染再発あり。 | 再根管治療により感染源除去し、修復可能。 | 保存可 |
| 左上2番(側切歯) | 生活歯で深いう蝕。根尖病変なし。 | **抜髄処置(根管治療)**により支台歯として再利用可。 | 保存可 |
| 左上3番(犬歯) | 歯冠・根ともに崩壊進行。歯槽骨吸収も高度。 | 残存根長不足のため支台歯として不適。 | 保存不可(抜歯) |
| 左上7番(第二大臼歯) | 根管充填不良、二次カリエスあり。 | 再根管治療により感染除去後、クラウン修復で保存可能。 | 保存可 |
オーバーデンチャー型仮義歯の装着と咬合再構成
この画像は、**上顎の咬合面観(上から見た状態)**で、仮義歯が装着された治療途中の状態を示しています。
「仮義歯」の文字が示すように、最終補綴に先立ち、オーバーデンチャー型の仮義歯によって咬合・審美・発音の回復を図っている段階です。

🦷 全体的な構成
- 義歯の種類:オーバーデンチャータイプの仮義歯(暫間義歯)
- 維持装置:右上1番・左上2番に金属クラスプ
- 目的:咬合・審美・発音の回復および支台歯保護
🔍 各部の詳細解説
① 右上1番・左上2番(クラスプ付き義歯の維持歯)
- 義歯の維持源として利用。
- 金属クラスプが歯頸部を把持し、義歯の安定性と脱離防止を確保。
② 仮義歯(オーバーデンチャー)
- 義歯床の内面が支台歯に適合するよう設計され、
支台歯上に被覆して装着するオーバーデンチャー形式。 - 義歯には人工歯列が再構築され、
欠損部の咬合・審美・発音を一時的に回復。 - 最終義歯製作に先立ち、咬合高径・発音・適合状態の確認を目的として使用。
③ 義歯床の適合状態
- 床縁は滑らかで、歯肉粘膜への圧迫は少なく、
粘膜適合も良好。 - 口蓋部にレジンを使用しており、
調整・適合確認が容易に行える設計。
🩺 臨床的評価
- 右上1番・左上2番の保存歯を活用し、
機能性・安定性の高い暫間補綴設計がなされている。 - オーバーデンチャー構造により、
残存歯の根管治療を行う。 - 仮義歯として、咬合高径・審美・発音・舌感などの臨床的評価段階にある。
前歯部仮歯(プロビジョナルクラウン)による審美・機能評価
この画像は上顎咬合面観で、治療中の口腔内を示しています。中央の前歯部には「仮歯」と記されており、矢印の箇所に**暫間補綴(仮歯:プロビジョナルクラウン)**が装着されています。

🦷 全体の状況
- **前歯部(右上3番〜左上2番)**に仮歯が装着され、審美性と発音機能の回復を図っています。
- 仮歯はレジン製で、咬合・形態・位置を確認するための治療中の暫定補綴物です。
- 右上7番には**金属冠(メタルクラウン)**が装着されており、咬合支持および義歯の支台として機能しています。
🔍 各部の詳細評価
① 前歯部(仮歯部)
- 根管治療および支台築造を行った保存歯に、仮歯を装着。
- 形態的に整っており、審美・発音・咬合の確認段階にある。
- 清潔に管理されており、歯肉との適合も良好で炎症は軽度。
② 右上7番(金属冠)
- 最後方臼歯に金属冠が装着され、強固な咬合支持を提供。
- 義歯設計時の**後方支点(後方咬合支持)**として重要な役割を果たす。
- 咬合面・マージンともに良好な適合を示す。
🩺 臨床的評価と治療意図
- 本症例は、全顎的咬合再建の途中段階。
- 初期段階での感染歯除去・根管治療を経て、保存歯を活用した仮歯による咬合調整が行われています。
- 仮歯により、
・咬合高径の安定化
・審美と機能の確認
・歯肉・支台歯の治癒経過の観察
が可能となります。
💡 今後の治療ステップ
- 仮歯で咬合・発音・見た目を評価
- 問題がなければ最終補綴設計へ移行
- 支台歯の安定と清掃性を確認後、**最終補綴(硬質レジン前装冠、メタルボンドやジルコニア冠など)**で仕上げ
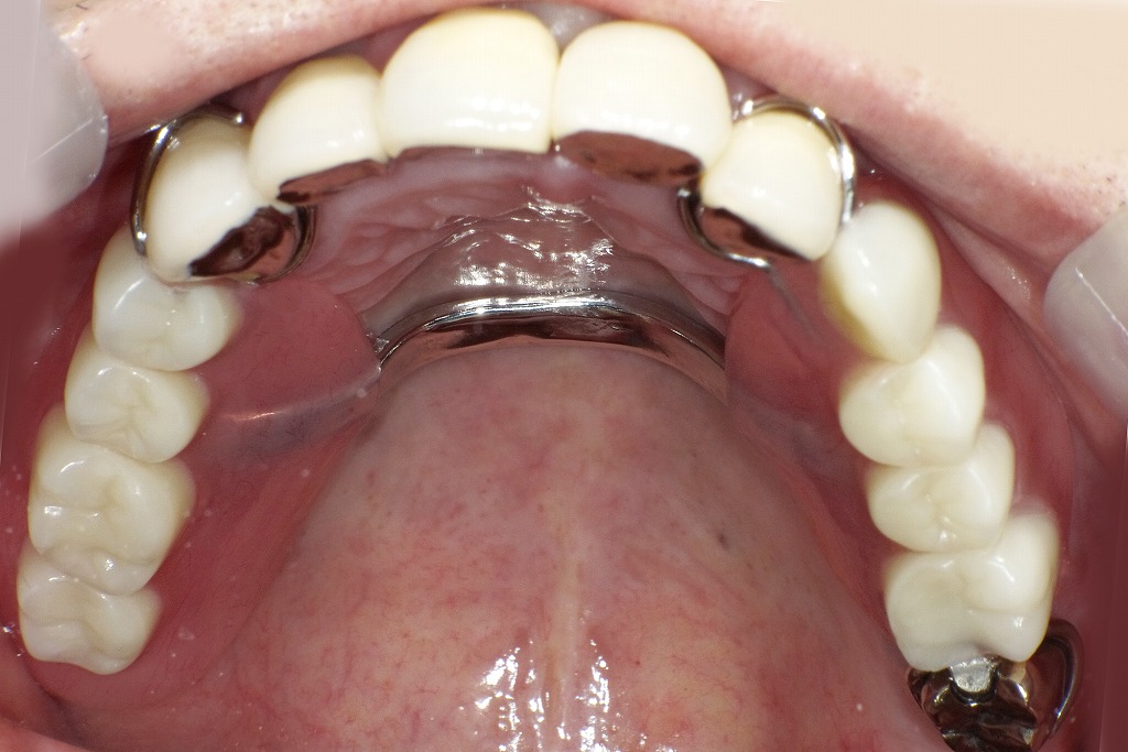
最終補綴治療(硬質レジン前装冠+保険義歯)
この画像は、**上顎咬合面観(最終補綴後)であり、保険適用の義歯(レジン床+パラタルバー)**が装着された状態を示しています。
前歯部・臼歯部ともに機能的・審美的に回復しており、治療の最終段階を反映しています。

🦷 全体的な構成
- 前歯部:硬質レジン前装冠(保険)
- 義歯構造:パラタルバー(口蓋バー)
- 維持装置:保険の金属クラスプ(ワイヤークラスプ)
🔍 各部の詳細解説
① 前歯部(硬質レジン前装冠)
- 前歯部(右上3番〜左上2番)にかけて硬質レジン前装冠が装着。
- 金属裏打ちの上にレジンを築盛しており、自然な色調と形態を再現。
- 保険適用範囲内でありながら、審美性と咬合強度のバランスが良い。
- 仮歯の段階で確立した咬合・発音・見た目をそのまま最終補綴に反映。
② パラタルバー(口蓋バー)
- 義歯の中央部に金属製のパラタルバーが設けられており、左右を連結。
- 構造的強度を高め、咬合力を均等に分散。
- 発音障害や違和感を最小限にするため、厚み・位置ともに適切に設計されている。
③ クラスプ(維持装置)
- 残存歯に金属クラスプが設けられ、義歯の維持と安定を確保。
- 保険診療で一般的な**ワイヤークラスプ**を使用。
- クラスプの形状は歯面に沿って滑らかで、審美性と清掃性に配慮されている。
🩺 臨床的評価
- 前歯部の審美回復、臼歯部の咬合支持、義歯の安定性が良好。
- 残存歯の支台構造を活かしつつ、全顎的な咬合再構成が達成されている。
- 金属構造(パラタルバー)により、変形の少ない強固な補綴設計。
- 義歯床の辺縁適合も良好で、舌感・発音・咀嚼効率に優れた状態。
📍江戸川区篠崎で「もう噛めない」「見た目も気になる」とお悩み方へ

江戸川区篠崎の当歯科クリニックでは、
重度の虫歯や歯周病で噛み合わせが崩れた方に対しても、
段階的な治療で「しっかり噛める」口元を取り戻すサポートを行っています。
本症例では、崩壊した噛み合わせをオーバーデンチャー型仮義歯・最終補綴を通じて再構成。
残せる歯を最大限に活かしながら、機能性と審美性の両立を実現しました。
篠崎駅近くで「噛めない」「歯がボロボロ」とお悩みの方は、ぜひ当院にご相談ください。😊🪥。
【動画】初期虫歯COを削らずに自分で治す方法
筆者・院長

深沢 一
Hajime FUKASAWA
- 登山
- ヨガ
メッセージ
日々進化する歯科医療に対応するため、毎月必ず各種セミナーへの受講を心がけております。
私達は、日々刻々と進歩する医学を、より良い形で患者様に御提供したいと考え、「各種 歯科学会」に所属すると共に、定期的に「院内勉強会」を行う等、常に現状に甘んずる事のないよう精進致しております。 又、医療で一番大切な事は、”心のある診療”と考え、スタッフと共に「患者様の立場に立った診療」を、心がけております。


