- 1. 【🎞️54秒】怖がりな子でも大丈夫!虫歯治療の流れと家庭でのケアを解説
- 2. 👶 いつから虫歯治療が必要?年齢別の治療開始目安
- 2.1. ・1歳半健診で虫歯が見つかることも
- 2.2. ・治療が始められるのは何歳から?
- 2.3. ・乳歯だからと油断しないで!
- 3. 📊 虫歯の進行度別|子どもの虫歯治療法
- 3.1. C1(エナメル質)|削らずフッ素で対応できることも
- 3.2. C2(象牙質)|最も多い進行レベル。削って詰める治療
- 3.3. C3(神経まで進行)|麻酔を使った神経治療(乳歯の抜髄)
- 3.3.1. 乳歯のC3虫歯
- 3.3.2. 神経治療(乳歯の抜髄)
- 3.4. C4(根の先に膿)|抜歯が検討されることも
- 4. 💉 子どもでも安心な麻酔・治療への配慮
- 4.1. ・表面麻酔と電動注射器の使用
- 4.2. ・治療中に泣いてしまう場合の対応
- 4.3. ・抑制治療の可否とその是非
- 5. 👨👩👧👦 親ができる!虫歯を悪化させない家庭でのケア
- 5.1. ・仕上げ磨きの年齢とやり方
- 5.2. ・だらだら食べ・夜間授乳のリスク
- 5.3. ・フッ素塗布・シーラントって何?
- 6. 🚫 虫歯予防のカギ|フッ素・シーラント・唾液検査
- 6.1. ・歯科でできる予防処置の種類
- 6.2. ・子ども専用歯磨き粉と濃度
- 6.3. ・キシリトールガムやタブレットの活用
- 7. 😱 虫歯治療を怖がる子どもへの対応
- 7.1. ・声かけと説明の工夫
- 7.2. ・絵本や動画での予習
- 7.3. ・親子同伴での診療
- 8. 🏥 小児歯科選びのポイント
- 8.1. ・子ども専門の設備・スタッフがいるか
- 8.2. ・無理な治療をしない方針かどうか
- 8.3. ・通いやすい立地と予約の取りやすさ
- 9. 📍 江戸川区篠崎で子どもの虫歯治療をお探しの方へ
- 9.1. ・当院の小児歯科の特長と治療方針
- 9.2. ・無料のフッ素塗布や定期検診も実施中
- 10. 🦷 2~4歳児の虫歯はどう治療する?進行と対策を徹底解説
- 10.1. 🔥 幼児の虫歯は“鎮火”を目的に
- 10.2. 👶 乳幼児(〜2歳)に行う虫歯抑制治療
- 10.2.1. 🧴 サホライド塗布
- 10.2.2. 🏠 自宅での予防
- 10.3. 🧰 3~5歳の虫歯治療で使う道具
- 10.3.1. 🥄 スプーンエキスカベーターとは?
- 10.4. 🦷 サホライド治療の3ステップ
- 10.4.1. 🔹 Step 1:サホライド塗布と光照射
- 10.4.2. 🔹 Step 2:虫歯除去の繰り返し
- 10.4.3. 🔹 Step 3:コンポジットレジン充填
- 11. 🦷 子どもの歯を守るために:麻酔なしで行う虫歯治療の挑戦
- 11.1. ⚠ なぜ麻酔や回転切削器具を避けるのか?
- 11.2. ⚙ 回転式器具と子どもへの影響
- 11.2.1. 💎 ダイヤモンドバー用のタービンとは?
- 11.2.2. 🛠 スチールバー用のエンジンとは?
- 11.2.3. 💉 浸潤麻酔のリスクと注意点
- 11.3. ✅ 当院の取り組み
- 12. 📍お子さまの虫歯にお困りではありませんか?
- 13. 【動画】子供の虫歯の見分け方
- 14. 筆者・院長

子どもの歯に「黒い点」を見つけて、ドキッとしたことはありませんか?
小さなうちから虫歯になってしまうと、「治療って何歳から?」「痛くないの?」「どう予防すればいいの?」と、親としては不安が尽きません。
このガイドでは、虫歯の進行度に応じた治療法はもちろん、年齢別の対応やご家庭でのケア、虫歯を怖がるお子さまへの対処法まで、わかりやすく丁寧に解説しています。
江戸川区篠崎で小児歯科をお探しの方にも役立つ情報を掲載していますので、ぜひ最後までご覧ください。
【🎞️54秒】怖がりな子でも大丈夫!虫歯治療の流れと家庭でのケアを解説
👶 いつから虫歯治療が必要?年齢別の治療開始目安
・1歳半健診で虫歯が見つかることも
1歳半健診では多くの自治体で歯科検診が行われ、早くも虫歯が見つかるケースがあります。この時点で発見される虫歯は、進行が浅く比較的簡単な処置で済むことが多いため、定期検診は非常に重要です。


・治療が始められるのは何歳から?
基本的には、子どもが診療台に座れるようになれば、虫歯治療は可能です。多くの場合、2〜3歳頃から簡単な治療が行えますが、年齢よりも「お子さんの協力度」が重要視されます。抑制せずに治療できるタイミングを歯科医と相談しながら判断しましょう。
・乳歯だからと油断しないで!
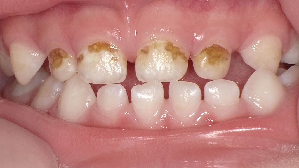
「どうせ生え変わるから…」と乳歯の虫歯を放置するのは大変危険です。乳歯の虫歯は進行が早く、永久歯の正常な発育に影響を与えることもあります。特に前歯の虫歯は発音や食事にも支障が出るため、早期発見・早期治療が大切です。
乳歯は永久歯に比べて歯質が弱く、虫歯の進行が非常に早いのが特徴です。3歳頃になると甘いおやつや仕上げ磨き不足により、前歯にプラークが溜まり虫歯が発生しやすくなります。
白濁や茶色い変色が見られる段階でも、進行状況によっては治療やフッ素塗布、生活習慣の改善指導が必要です。「まだ小さいから様子見」ではなく、この時期からの早期対応が将来の永久歯を守ることにつながります。
📊 虫歯の進行度別|子どもの虫歯治療法

C1(エナメル質)|削らずフッ素で対応できることも
虫歯がまだエナメル質にとどまっている段階であれば、削らずにフッ素塗布で再石灰化を促すことが可能です。毎日のケアと定期的な歯科チェックで経過観察を行い、進行を防ぎます。
C2(象牙質)|最も多い進行レベル。削って詰める治療
象牙質にまで達した虫歯は、自然には治らず進行も早いため、早期の処置が必要です。虫歯部分を最小限に削り、レジンなどの詰め物で修復します。子どもの場合、短時間で終わる処置が優先されることが多いです。
C3(神経まで進行)|麻酔を使った神経治療(乳歯の抜髄)
虫歯が神経に達すると、強い痛みが出たり、膿がたまるリスクも出てきます。この段階では「抜髄(ばつずい)」と呼ばれる神経の除去治療が行われます。局所麻酔を使用し、なるべく痛みや恐怖を感じさせないよう配慮します。
乳歯のC3虫歯

乳歯の遠心面にC3まで進行した深い虫歯(矢印部)。神経まで虫歯が達しており、抜髄が必要な状態を示すX線画像。
神経治療(乳歯の抜髄)

乳歯の抜髄処置を行ったX線画像。矢印の部分に、感染した神経を取り除いた後の根管と薬剤の充填状態が確認できます。根の先までしっかり清掃・消毒し、炎症の再発を防ぐための治療が行われています。
C4(根の先に膿)|抜歯が検討されることも
虫歯が進行し、根の先に膿がたまっている場合は、乳歯の抜歯が選択されることがあります。放置すると永久歯の生え方や歯並びにも悪影響があるため、早期に判断し、抜歯後はスペースを保つための処置も検討されます。
💉 子どもでも安心な麻酔・治療への配慮
・表面麻酔と電動注射器の使用
当歯科医院では、注射の痛みを和らげるために「表面麻酔(ジェル状)」を歯ぐきに塗って感覚を鈍らせたうえで、細い針と電動注射器を用いてゆっくり麻酔を注入します。これにより、子どもでも怖がらずに治療を受けやすくなります。ただし、子どもの協力度合に応じて、可能な限り麻酔注射を行わずに治療を進める方針をとっています。

・治療中に泣いてしまう場合の対応
当院では、治療に不安を感じて泣いてしまうお子さまに対して、無理に治療を進めることはいたしません。まずは診療室の雰囲気に慣れてもらいながら、お子さまと信頼関係を築くことを大切にしています。段階的にステップを踏んで進める「トレーニング型診療」を行い、保護者の方にもご協力をいただきながら、安心して治療に臨める環境づくりを心がけています。
・抑制治療の可否とその是非
どうしても治療が難しい場合、一時的に身体を動かさないよう抑制する「抑制治療」が検討されることがありますが、近年では子どもの心のケアを重視する方向に移行しています。抑制の使用は最終手段とされますが、当院ではお子さまの心の負担を最優先に考え、抑制治療は行っておりません。できる限り自然な形で、本人のペースに合わせて治療を進めることを大切にしています。
👨👩👧👦 親ができる!虫歯を悪化させない家庭でのケア

・仕上げ磨きの年齢とやり方
仕上げ磨きは、最低でも小学校中学年(9〜10歳)までは継続することが推奨されています。特に奥歯や歯の裏側は磨き残しが多く、子ども自身の歯磨きでは不十分なことが多いため、寝る前は保護者によるチェックと仕上げ磨きを習慣にしましょう。
・だらだら食べ・夜間授乳のリスク
甘いものを頻繁に摂る「だらだら食べ」や、夜間の授乳・哺乳瓶使用は、口の中が常に酸性状態になり虫歯のリスクが高まります。食事やおやつの時間を決め、口の中をリセットする時間(唾液の働き)を作ることが重要です。
・フッ素塗布・シーラントって何?
フッ素塗布は、歯の再石灰化を促し、虫歯に強い歯を作るための処置です。特に生えたての永久歯に効果的です。シーラントは奥歯の溝を樹脂で埋め、汚れがたまりにくくすることで虫歯を予防します。これらは歯科医院での定期的な予防処置として有効です。

🚫 虫歯予防のカギ|フッ素・シーラント・唾液検査

・歯科でできる予防処置の種類
歯科医院では、フッ素塗布やシーラント処置のほか、ブラッシング指導や生活習慣のアドバイスも行われます。特に唾液検査を通じて、虫歯菌のリスクや唾液の質を把握することで、より効果的な予防策が提案されます。
・子ども専用歯磨き粉と濃度
子ども用歯磨き粉には、年齢に応じたフッ素濃度が設定されています。目安としては、3歳未満では500ppm以下、3歳以上は1000ppm前後、小学生以降は1450ppmが推奨されます。歯磨き粉の量や使用後のうがいの仕方も重要なポイントです。
・キシリトールガムやタブレットの活用
キシリトールには虫歯の原因菌であるミュータンス菌の活動を弱める効果があります。歯科専売のキシリトール100%ガムやタブレットを、おやつ代わりや食後に取り入れることで、虫歯予防に役立ちます。ただし、与える量やタイミングには注意しましょう。
😱 虫歯治療を怖がる子どもへの対応

・声かけと説明の工夫
治療の前には「何をするのか」「痛くないのか」など、子どもが安心できる言葉で説明してあげましょう。「大きく口を開けられるかな?」「頑張れたらごほうびあるよ」など、前向きな声かけで不安を和らげることができます。
・絵本や動画での予習
治療前に、歯医者さんをテーマにした絵本やアニメ動画を見せることで、子どもが治療の流れをイメージしやすくなり、不安感を減らす効果があります。「お医者さんごっこ」などで遊びながら練習するのも効果的です。
・親子同伴での診療
小さなお子さんの場合、治療中に親がそばにいることで安心感が生まれます。当院では、親子同伴を前提にした診療体制が整っており、お子さんのペースに合わせて治療を進めることができます。
🏥 小児歯科選びのポイント
・子ども専門の設備・スタッフがいるか
小児歯科には、子どもが安心して通えるよう配慮された設備や環境が整っています。例えば、子ども用の小さな診療チェア、キッズスペース、アニメの映像が流れる診察室など。また、スタッフが子どもへの対応に慣れているかも重要です。笑顔で優しく接してくれるか、声かけに工夫があるかなどもチェックポイントです。
・無理な治療をしない方針かどうか
子どもが怖がっているときや、治療に抵抗が強いときに無理に押さえつけて治療を進める医院では、トラウマになる可能性があります。段階的に慣らしていく「トレーニング診療」や、信頼関係を重視した方針の歯科医院を選ぶことが、お子さんの将来の歯科受診への抵抗を減らすことにつながります。
・通いやすい立地と予約の取りやすさ
通院が長期にわたることもあるため、通いやすい場所にあることも大切です。また、待ち時間が少なく、予約が取りやすいかどうかもストレスの少ない受診のために重要です。通院しやすい環境が整っていれば、定期的な検診や予防処置も続けやすくなります。
📍 江戸川区篠崎で子どもの虫歯治療をお探しの方へ
・当院の小児歯科の特長と治療方針
江戸川区篠崎にある当院では、お子さま一人ひとりのペースに合わせた優しい治療を心がけています。怖がりなお子さまには無理をせず、まずは歯科医院に慣れてもらうことからスタート。キッズスペース完備、子どもに慣れたスタッフが対応しますので、安心してご来院いただけます。
・無料のフッ素塗布や定期検診も実施中
当院では、江戸川区の制度に基づいた無料フッ素塗布や定期検診も行っており、虫歯の予防にも力を入れています。定期的なチェックで、虫歯を「治す」から「つくらない」口内環境へ。お気軽にご相談ください。
🦷 2~4歳児の虫歯はどう治療する?進行と対策を徹底解説
🔥 幼児の虫歯は“鎮火”を目的に

- 2~4歳は虫歯が進行しやすく、象牙質まで広がるC2の虫歯も多い
- タービンやエンジンの音だけで泣き叫び、治療が困難なケースがほとんど
- 本格的な治療ができるのは5~6歳からが一般的
- そのため、虫歯の炎症を抑える「鎮火治療」が第一選択となる
👶 乳幼児(〜2歳)に行う虫歯抑制治療
🧴 サホライド塗布

- 虫歯の進行を抑える薬剤
- 虫歯が黒くなる副作用があるため、見た目を重視する場合はフッ化ナトリウムで代用
🏠 自宅での予防
- 生後6ヶ月から使えるフッ素入り歯磨き「レノビーゴ」の使用が効果的
🧰 3~5歳の虫歯治療で使う道具
🥄 スプーンエキスカベーターとは?

- 耳かきのような形をした虫歯除去用の手用器具
- 子どもも怖がりにくく、虫歯の大きさに応じて使い分け可能
🦷 サホライド治療の3ステップ
🔹 Step 1:サホライド塗布と光照射

- スプーンエキスカベーターで虫歯を一部除去し、サホライドを塗布
- 光を照射して虫歯部分を固め、今回は詰め物はせずオープン状態に
- 黒く変色した部分はよく磨くことが必要
🔹 Step 2:虫歯除去の繰り返し

- 次回来院時に、硬くなった黒い虫歯を再度除去
- 状況により2~4回程度、サホライドの再塗布を行う
🔹 Step 3:コンポジットレジン充填

- 最終的にレジンで穴を埋めて治療終了
- サホライドの着色がわずかに残るが、実用的な治療結果が得られる
🦷 子どもの歯を守るために:麻酔なしで行う虫歯治療の挑戦
⚠ なぜ麻酔や回転切削器具を避けるのか?
- 浸潤麻酔を使い虫歯を大きく削ると、神経に達し「歯髄(しずい)治療」が必要になる可能性があります
- 一度でも痛みを感じると、子どもは次回以降の治療を強く拒否するようになります
- そのため、当院では麻酔や回転器具の使用をできる限り避ける方針です
⚙ 回転式器具と子どもへの影響
💎 ダイヤモンドバー用のタービンとは?

- エナメル質・象牙質の両方を削れる高速回転器具
- 表面にダイヤモンドが貼られている
- 振動は少ないが「キーン」という音が子どもの恐怖心を強く刺激する
🛠 スチールバー用のエンジンとは?

- 象牙質を削る低速回転の器具(鉄製)
- エナメル質は削れないが、振動が強く子どもに恐怖を与えやすい
💉 浸潤麻酔のリスクと注意点

- 麻酔針を刺すときの「チクッ」とした痛み
- 麻酔液を注入する際の「圧力による痛み」
- 一度の痛み体験で、次回以降の治療を極端に嫌がるお子さんが多い
✅ 当院の取り組み
- 麻酔や回転器具を最小限に抑えた虫歯治療を実施
- 子どもの心を守りながら、必要な治療だけを段階的に行います
📍お子さまの虫歯にお困りではありませんか?

江戸川区篠崎にある当院では、子ども専門の設備と経験豊富なスタッフが、お子さまの虫歯治療をやさしく丁寧に行います。痛みに配慮した麻酔や、怖がるお子さまへの段階的なトレーニング診療も取り入れており、初めての歯医者さんでも安心して通っていただけます。
また、江戸川区の制度に基づき、無料のフッ素塗布や定期検診も実施中。虫歯を「治す」だけでなく、「つくらない」環境づくりをサポートします。
お子さまの歯を守る第一歩として、ぜひ一度ご相談ください。
【動画】子供の虫歯の見分け方
筆者・院長

深沢 一
Hajime FUKASAWA
- 登山
- ヨガ
メッセージ
日々進化する歯科医療に対応するため、毎月必ず各種セミナーへの受講を心がけております。
私達は、日々刻々と進歩する医学を、より良い形で患者様に御提供したいと考え、「各種 歯科学会」に所属すると共に、定期的に「院内勉強会」を行う等、常に現状に甘んずる事のないよう精進致しております。 又、医療で一番大切な事は、”心のある診療”と考え、スタッフと共に「患者様の立場に立った診療」を、心がけております。


