- 1. 重度の虫歯と補綴(被せ物)不良の症例
- 1.1. 🦷 全体所見
- 1.2. 🔍 主な診断ポイント
- 1.2.1. 1. 歯頚部う蝕(しけいぶうしょく)
- 1.2.2. 2. C4(歯髄壊死・根面残存)の虫歯
- 1.2.3. 3. 補綴物の不適合・やり替え必要
- 1.3. 🩺 治療方針の概要
- 1.3.1. ① 保存可能歯の診断
- 1.3.2. ② 抜歯
- 1.3.3. ③ 補綴設計(やり替え)
- 1.4. 💡まとめ
- 2. 重度う蝕・補綴不良症例の治療後(正面観)
- 2.1. 🦷 治療後の状態(正面観の説明)
- 2.1.1. ① 上顎前歯部:メタルボンド冠
- 2.1.2. ② 上下臼歯部:保険適用の部分入れ歯
- 2.2. 💡 治療効果のポイント
- 2.3. 🪥 今後の管理・メンテナンス
- 3. 部分入れ歯のパラタルバー(上顎咬合面観)
- 3.1. 🦷 構造の説明
- 3.1.1. ① パラタルバー(口蓋バー)保険適用
- 3.1.2. ② 支持と維持の仕組み
- 3.2. 👅 違和感について
- 3.3. 💡 まとめ
- 4. 📍 江戸川区篠崎で重度の虫歯や入れ歯の不具合にお悩みの方へ
- 5. 【動画】目立たない部分入れ歯のスマイルデンチャー
- 6. 筆者・院長

✅ 長年放置された虫歯や合わなくなった被せ物により、咬合の崩壊と審美障害が進行した症例です。初診時は多数歯にC4の虫歯と補綴不良が見られましたが、段階的な抜歯・根管治療の後、上顎前歯にメタルボンド冠、臼歯部に部分入れ歯(パラタルバー付)を装着することで、咀嚼機能と見た目の調和を回復しました。
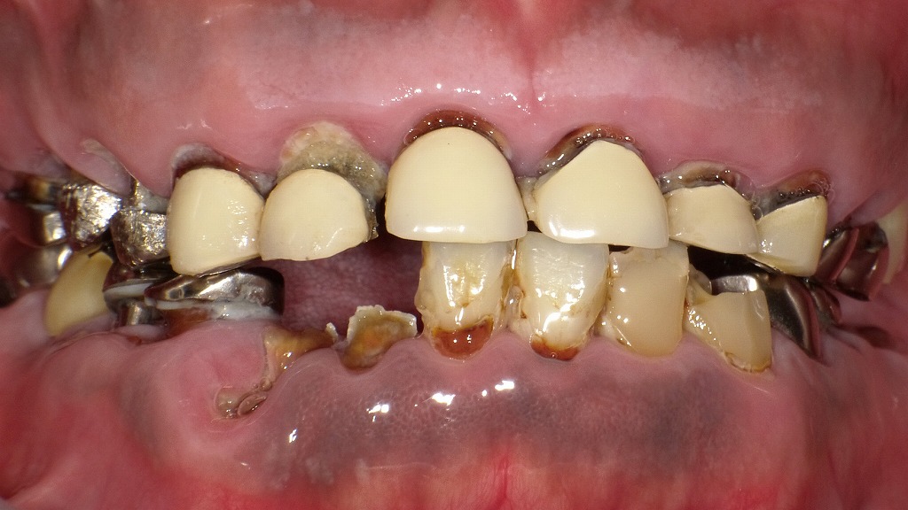
重度の虫歯と補綴(被せ物)不良の症例
この画像は、初診時に撮影された重度の虫歯と補綴(被せ物)不良の症例を示しています。以下に所見と治療の方向性を解説します。

🦷 全体所見
上顎・下顎ともに多数の歯が大きく崩壊しており、特に歯頚部(歯と歯ぐきの境目)や根面に虫歯が進行しています。既存の金属冠やブリッジは適合不良や脱離が見られ、虫歯が再発している状態です。
🔍 主な診断ポイント
1. 歯頚部う蝕(しけいぶうしょく)
- 歯と歯ぐきの境目部分が黒褐色に変色し、象牙質が露出しています。
- 清掃不良やプラーク停滞による**二次う蝕(再発虫歯)**になっています。
- 金属冠のマージン(縁)が合っていないため、虫歯が進行しています。
2. C4(歯髄壊死・根面残存)の虫歯
- 下顎前歯部(特に中央)では歯冠がほぼ崩壊し、根だけが残存しています。
- これは**C4:虫歯の最終段階(歯髄まで感染し、神経壊死)**に該当します。
- 保存不可能なため、抜歯が適応になります。
3. 補綴物の不適合・やり替え必要
- 古い金属冠やブリッジが多数見られ、適合が悪く、境目から虫歯が進行。
- すでに脱離している箇所もあり、全顎的な補綴再設計が必要です。
🩺 治療方針の概要
① 保存可能歯の診断
- 根の状態(X線で骨吸収や根尖病変の有無)を確認し、残せる歯を選定。
② 抜歯
- C4で崩壊・感染している歯は抜歯。
- 感染源除去を優先して行います。
③ 補綴設計(やり替え)
- 全体の咬合を再構築するため、部分入れ歯やブリッジ、インプラントなどを計画的に再設計。
- 審美性・機能性を回復するため、材質もセラミック系やジルコニアなどを検討します。
💡まとめ
この症例は、長期的な虫歯進行と補綴不良が重なった典型的なケースです。
まず感染歯の処置(抜歯・根管治療)を行い、その後段階的に補綴を再構築する包括的治療が必要です。
再発防止には、治療後のプラークコントロールと定期検診が不可欠です。
重度う蝕・補綴不良症例の治療後(正面観)
この画像は、先ほどの重度う蝕・補綴不良症例の治療後(正面観)を示しています。治療により、機能と審美性が大きく改善されています。

🦷 治療後の状態(正面観の説明)
① 上顎前歯部:メタルボンド冠
- 上顎前歯は**メタルボンドクラウン(陶材焼付鋳造冠)**で補綴されています。
- 金属の強度とセラミックの自然な透明感を兼ね備え、審美性と耐久性のバランスが良い仕上がりです。
- 歯並びと咬合関係が整い、以前の崩壊した状態から自然で調和の取れた前歯列に回復しています。
② 上下臼歯部:保険適用の部分入れ歯
- 両側の臼歯部には保険の部分入れ歯が装着されています。
- 金属のクラスプ(留め具)が残存歯にかかり、入れ歯の安定を確保しています。
- 欠損部を補うことで咀嚼機能が回復し、食事時の不便さが軽減されています。
- 写真中の赤い矢印部分に、上顎のレジン床義歯が確認できます。
💡 治療効果のポイント
- 抜歯が必要だった重度虫歯の部位を除去し、残存歯の保存と補綴の再構築が行われました。
- 前歯部の審美的改善により、笑顔や発音時の見た目も自然に。
- 全体として、機能性・審美性・清掃性が向上した症例です。
🪥 今後の管理・メンテナンス
- 部分入れ歯の維持安定と残存歯の保護のため、定期的な調整・清掃指導が必要です。
- メタルボンド冠のマージン部(歯と冠の境目)にはプラークが溜まりやすいため、歯間ブラシやフロスの使用を推奨します。
- 定期検診では、義歯の適合状態や歯周組織の健康状態を確認します。
部分入れ歯のパラタルバー(上顎咬合面観)
この画像は、同症例の**上顎咬合面観(上あごを見上げた視点)です。治療後の部分入れ歯構造を確認できる写真で、中央に「パラタルバー(口蓋バー)」**が見られます。

🦷 構造の説明
① パラタルバー(口蓋バー)保険適用
- 画像中央の銀色の金属部分がパラタルバーです。
- 上顎の左右の入れ歯をつなぐ役割をもち、義歯の強度と安定性を高めるために設けられています。
- 金属製のため薄くても強度があり、咬合時にたわみにくい構造です。
② 支持と維持の仕組み
- バーの両端は残存歯の内面に連結し、義歯がたわまず安定して保持されます。
- クラスプ(留め具)が側方歯にかかっており、脱離防止と咀嚼時の安定を助けています。
- メタルボンド冠との連結も精密で、全体として機能的な補綴設計がなされています。
👅 違和感について
- パラタルバーは金属が口蓋(上あご)に接触するため、初期は舌や口の中で違和感を感じやすい部分です。
- 特に発音時や飲み込み時に舌が触れるため、「舌の当たり」や「厚み」を意識する時期があります。
- しかし、数日から数週間で慣れることが多く、舌の動きも自然に順応します。
💡 まとめ
この上顎部分入れ歯は、
- 強度を保つための金属パラタルバー構造
- 残存歯との連結による安定した咬合支持
を備えた設計です。
見た目・機能ともにバランスの取れた補綴物ですが、使用初期は舌の違和感を感じやすいため、定期調整と慣れの期間が重要です。
📍 江戸川区篠崎で重度の虫歯や入れ歯の不具合にお悩みの方へ

「もう噛めないかも」とあきらめる前に。
江戸川区篠崎の当歯科クリニックでは、重度の虫歯や被せ物のトラブルにも対応し、
メタルボンド冠とパラタルバー付き部分入れ歯でしっかり噛めて自然に見える口元を再建します。
痛みや違和感が気になる方も、まずはお気軽にご相談ください。
【動画】目立たない部分入れ歯のスマイルデンチャー
筆者・院長

深沢 一
Hajime FUKASAWA
- 登山
- ヨガ
メッセージ
日々進化する歯科医療に対応するため、毎月必ず各種セミナーへの受講を心がけております。
私達は、日々刻々と進歩する医学を、より良い形で患者様に御提供したいと考え、「各種 歯科学会」に所属すると共に、定期的に「院内勉強会」を行う等、常に現状に甘んずる事のないよう精進致しております。 又、医療で一番大切な事は、”心のある診療”と考え、スタッフと共に「患者様の立場に立った診療」を、心がけております。


