- 1. 🦷小臼歯とは?役割・治療・抜歯の必要性をわかりやすく解説
- 1.1. 🦷小臼歯の位置と特徴
- 1.2. 🍴小臼歯の大切な役割
- 1.2.1. ✅ 食べ物を細かく噛み砕く
- 1.2.2. ✅ 顔のバランスを保つ
- 1.2.3. ✅ 発音・かみ合わせの安定
- 1.3. ⚠️小臼歯が虫歯や痛みやすい理由
- 1.4. 💉小臼歯の治療方法
- 1.4.1. 🦷小さな虫歯:レジン充填
- 1.4.2. 👑進行した虫歯:クラウン(被せ物)
- 1.4.3. 🧠神経まで進行:根管治療
- 1.5. 🩺小臼歯を抜歯することがあるケース
- 1.6. 🪥小臼歯を失ったままにするとどうなる?
- 1.7. 🧼小臼歯を守るケア方法
- 1.7.1. ✅ フロス・歯間ブラシを活用
- 1.7.2. ✅ 定期検診で早期発見
- 1.7.3. ✅ 歯ぎしり・食いしばりの予防
- 2. 🌸まとめ|小臼歯は「見えにくいけれど大切な歯」
- 3. 🏥江戸川区篠崎で「小臼歯の治療」は当歯科クリニックへ
- 4. 【動画】ステイン着色汚れをクリーニングするエアフロー
- 5. 筆者・院長

✅「小臼歯(しょうきゅうし)」という言葉、聞いたことはありますか?🦷
前歯のようでも奥歯のようでもない中間の位置にある歯で、食べ物を噛み砕く・かみ合わせを支える・顔のバランスを整えるなど、意外と多くの役割を担っています。
しかし、小臼歯はブラシが届きにくく、虫歯や詰め物のトラブルが起こりやすい場所でもあります。
この記事では、小臼歯の位置・役割・治療・抜歯の判断まで、歯科医がやさしく解説します✨
🦷小臼歯とは?役割・治療・抜歯の必要性をわかりやすく解説
🦷小臼歯の位置と特徴
小臼歯は、**犬歯(糸切り歯)と大臼歯(奥歯)**の間にある歯で、上下左右にそれぞれ2本ずつ、合計8本あります。
前歯のように見える位置にありながら、奥歯のように食べ物を噛み砕く力も持つ“ハイブリッドな歯”です💪
形はやや小ぶりで、かみ合わせ面に2つの山(咬頭)があるのが特徴。
噛む力を分散しながら、前歯と奥歯の橋渡しのような役割を担っています。



🍴小臼歯の大切な役割
✅ 食べ物を細かく噛み砕く
小臼歯は、前歯で切った食べ物をすり潰す中間ステップを担当します。
これにより、胃腸への負担を減らし、消化を助ける働きがあります。
✅ 顔のバランスを保つ
小臼歯の位置や角度は、頬のふくらみや口元の輪郭に影響します。
もし失ってしまうと、頬がこけたり、口元がしぼんだ印象になることも😥
✅ 発音・かみ合わせの安定
小臼歯があることで、歯列全体の高さと位置が整い、発音がしやすくなります。
また、力のバランスが均等に保たれ、他の歯への負担も減らせます。
⚠️小臼歯が虫歯や痛みやすい理由
小臼歯は「見えにくい位置」にあり、ブラッシングが難しい場所でもあります🪥
特に、歯と歯の間や歯ぐきの境目にプラーク(歯垢)がたまりやすく、虫歯や歯周病のリスクが高めです。
また、小臼歯は噛む力の分散点でもあるため、強い圧がかかり、詰め物が取れたり歯が欠けることもあります。
詰め物の下で虫歯が進行しているケースも少なくありません。
💉小臼歯の治療方法
虫歯や破折の程度により、治療方法はさまざまです。
🦷小さな虫歯:レジン充填
初期の虫歯であれば、**保険適用の白い樹脂(レジン)**で簡単に治療できます。
短時間で終了し、見た目も自然です✨
👑進行した虫歯:クラウン(被せ物)
虫歯が大きい場合は、被せ物で歯を保護します。
保険の銀歯だけでなく、セラミック素材を使えば自然な色合いで美しく仕上げることもできます💎
🧠神経まで進行:根管治療
神経まで虫歯が達している場合、**根管治療(こんかんちりょう)**が必要です。
歯の内部をきれいに消毒し、再感染を防いでから被せ物で修復します。
🩺小臼歯を抜歯することがあるケース
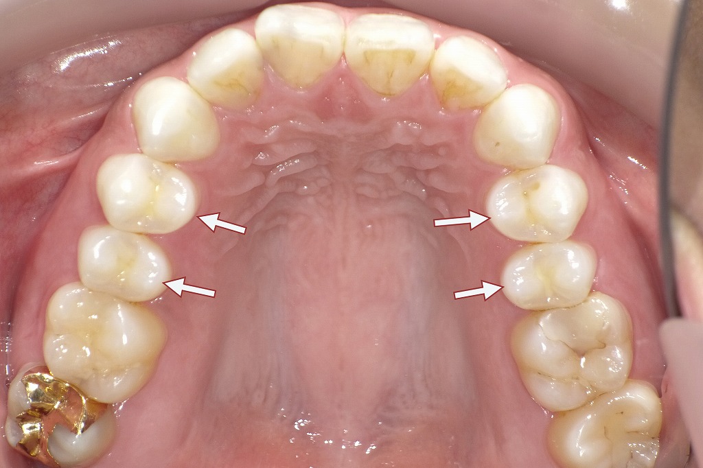
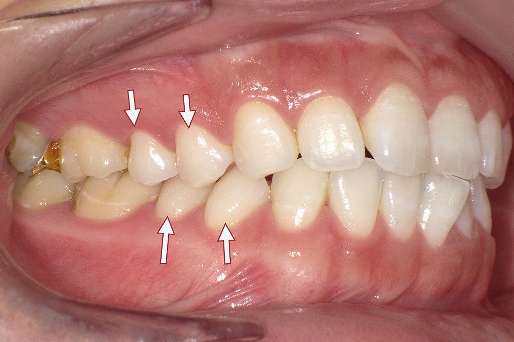
下記の口腔内写真は歯の萌出スペースが足りない、あるいは周囲の歯との位置関係が乱れている場合、小臼歯が本来の歯列から外れて生えてしまうことがあります。これが「頬側転移(きょうそくてんい)」や「舌側転移(ぜっそくてんい)」と呼ばれる現象です。


小臼歯は通常、抜かずに残すのが理想です。
しかし、次のような場合には抜歯を検討することもあります。
- 矯正治療でスペースを作る必要があるとき
- 重度の虫歯や歯根破折で保存が難しい場合
- 噛み合わせや歯列全体のバランスを取るため
特に矯正治療では、「第一小臼歯(前から4番目)」を抜くケースが多く見られます。
ただし、抜歯の判断は専門的な診断が必要です。自己判断せず歯科医に相談しましょう👩⚕️
🪥小臼歯を失ったままにするとどうなる?
小臼歯を抜いたまま放置すると、噛み合わせの崩れ・歯並びの変化・見た目の老化などが起こることがあります😣
- 隣の歯が傾く
- 噛み合う歯が伸びてくる(挺出)
- 噛む力のバランスが乱れて顎に負担
そのため、ブリッジ・インプラント・部分入れ歯などで適切に補うことが大切です。
🧼小臼歯を守るケア方法
毎日のセルフケアと定期検診で、小臼歯を長く健康に保ちましょう🌿
✅ フロス・歯間ブラシを活用
小臼歯は隣接面虫歯(歯と歯の間の虫歯)が多いため、フロスや歯間ブラシが効果的です。
✅ 定期検診で早期発見
痛みが出る前に、歯科医院でのチェック&クリーニングを受けましょう。
歯石除去や咬み合わせチェックでトラブルを未然に防げます。
✅ 歯ぎしり・食いしばりの予防
小臼歯は力が集中しやすい位置にあるため、マウスピースによる保護もおすすめです😴
🌸まとめ|小臼歯は「見えにくいけれど大切な歯」
小臼歯は、前歯と奥歯をつなぐ“バランスの要”のような存在です。
見た目や噛み合わせ、そして健康全体を支える重要な歯だからこそ、定期的なケアと早めの治療が何より大切です✨
「小臼歯がしみる」「詰め物が取れた」など、気になる症状がある方は、早めに歯科医院でチェックを受けましょう🦷💡
🏥江戸川区篠崎で「小臼歯の治療」は当歯科クリニックへ

江戸川区篠崎の当歯科クリニックでは、小臼歯の虫歯治療・根管治療・抜歯判断まで幅広く対応しています。
見た目・噛み合わせ・健康をトータルでサポートし、地域の皆さまのお口の健康を守ります🦷💚
「小臼歯の違和感がある」「矯正で抜歯を検討している」方も、まずはお気軽にご相談ください。
【動画】ステイン着色汚れをクリーニングするエアフロー
筆者・院長

深沢 一
Hajime FUKASAWA
- 登山
- ヨガ
メッセージ
日々進化する歯科医療に対応するため、毎月必ず各種セミナーへの受講を心がけております。
私達は、日々刻々と進歩する医学を、より良い形で患者様に御提供したいと考え、「各種 歯科学会」に所属すると共に、定期的に「院内勉強会」を行う等、常に現状に甘んずる事のないよう精進致しております。 又、医療で一番大切な事は、”心のある診療”と考え、スタッフと共に「患者様の立場に立った診療」を、心がけております。


