- 1. 歯を失いたくないあなたへ:インプラントとブリッジ、どちらがベスト?
- 2. 前歯3本の歯根破折から再補綴まで:クラウン破折の原因と治療の全過程
- 2.1. 3本連結の前歯クラウンに起きた歯根破折
- 2.1.1. ■ 画像の解説
- 2.2. 折れた前歯クラウン・メタルコア除去後の歯根状態
- 2.2.1. ■ 画像の解説
- 2.3. 折れた前歯の再補綴:メタルボンドで再構築
- 2.3.1. ■ 画像の解説
- 2.4. ■ まとめ:折れた位置で再補綴できるかどうかが決まる理由
- 2.4.1. ● 歯冠部寄り(歯ぐき近く)で折れた場合
- 3. 🏥 江戸川区篠崎で歯のことでお悩みの方へ
- 4. 【動画】奥歯を抜歯したまま放置すると?
- 5. 筆者・院長
歯を失いたくないあなたへ:インプラントとブリッジ、どちらがベスト?

-
現在35歳です。 歯茎が下がっており骨が少し溶けている状態ですが、先生からは「歯周病初期です。噛み合せが悪いね」と言われました。子供のころに受け口の矯正をし、各1本ずつ少ない24本しかありません。
2点ご意見をお聞かせ下さい。 1つ目は、2年ほど前に子供の頭が前歯にぶつかり、当時受診したときは「様子を見て」と言われ、以後噛むと少し痛く、1年前のレントゲンも異常はなかったのですが、先日右上1番が折れていることが分かりました。横にスパッと線が入っており、違和感が増したら抜歯してインプラントにと言われました。抜歯は避けたいのですが、折れたら抜くしかないのでしょうか?
2つ目は、もともと下5番が両方生えてこなくて、13年くらい前に顎関節症になりブリッジにしました。自分の歯を失いたくないと言うなら、その5番をインプラントにすると、両側の歯の寿命が元に戻ると言われました。おっしゃることは理解できるのですが、やりたい気持ちとそこまでするのも~という気持ちとあります。
まだ若いし、なるべく自分の歯は残したいのですが、何が一番良い選択なのか悩んでおります。ご意見よろしくお願い致します!
-
🦷 ① 前歯の歯根破折について
🔍 歯根が折れた場合の一般的な対応
- 歯の根が横にスパッと折れている場合、多くは保存が難しく、抜歯→インプラントが一般的です。
- ただし、どこが折れているかによっては例外もあります。
🧩 折れている場所で治療方針は変わる
- 根の先端(歯根の先)が割れているだけなら、歯茎を切開して割れている部分だけを除去できる可能性も。
- しかし、そのようなケースは非常にまれです。
✅ 現在の違和感が強くなる前に検討を
- 痛みやぐらつきが進行する前に、保存可能か精密検査(CTなど)で確認するのがベストです。
🦷 ② 下5番のインプラントへの切り替えについて
🦷 既存のブリッジによる影響
- すでに健康な両隣の歯を削ってブリッジにしている点は、長期的には不利。
- ブリッジでは2本の歯で3本分の噛む力を負担するため、負担が大きくなります。
🤖 インプラントのメリット
- インプラントを追加することで、咬合力を分散できるようになり、結果的に負担が軽減されます。
- 両隣の歯の負担を少しでも減らすことは、将来的な歯の延命に繋がる可能性があります。
⚖️ 迷っている気持ちは自然なこと
- 「もう一度手術は大変」「そこまでするべきか」と悩むお気持ち、とてもよく分かります。
- 無理に決断する必要はありませんが、「将来の自分の歯の寿命をどう考えるか」が判断基準になります。
💡 総合的なアドバイス
- まだお若く、自分の歯をなるべく残したいというお気持ちは、歯科医としても応援したい姿勢です。
- その上で、精密な検査と長期的視点での判断が重要になります。
- セカンドオピニオンも積極的にご活用ください。治療方針に納得感を持てることが何より大切です。
いつでもご相談ください😊
あなたにとって最善の選択ができるよう、全力でサポートいたします。
前歯3本の歯根破折から再補綴まで:クラウン破折の原因と治療の全過程
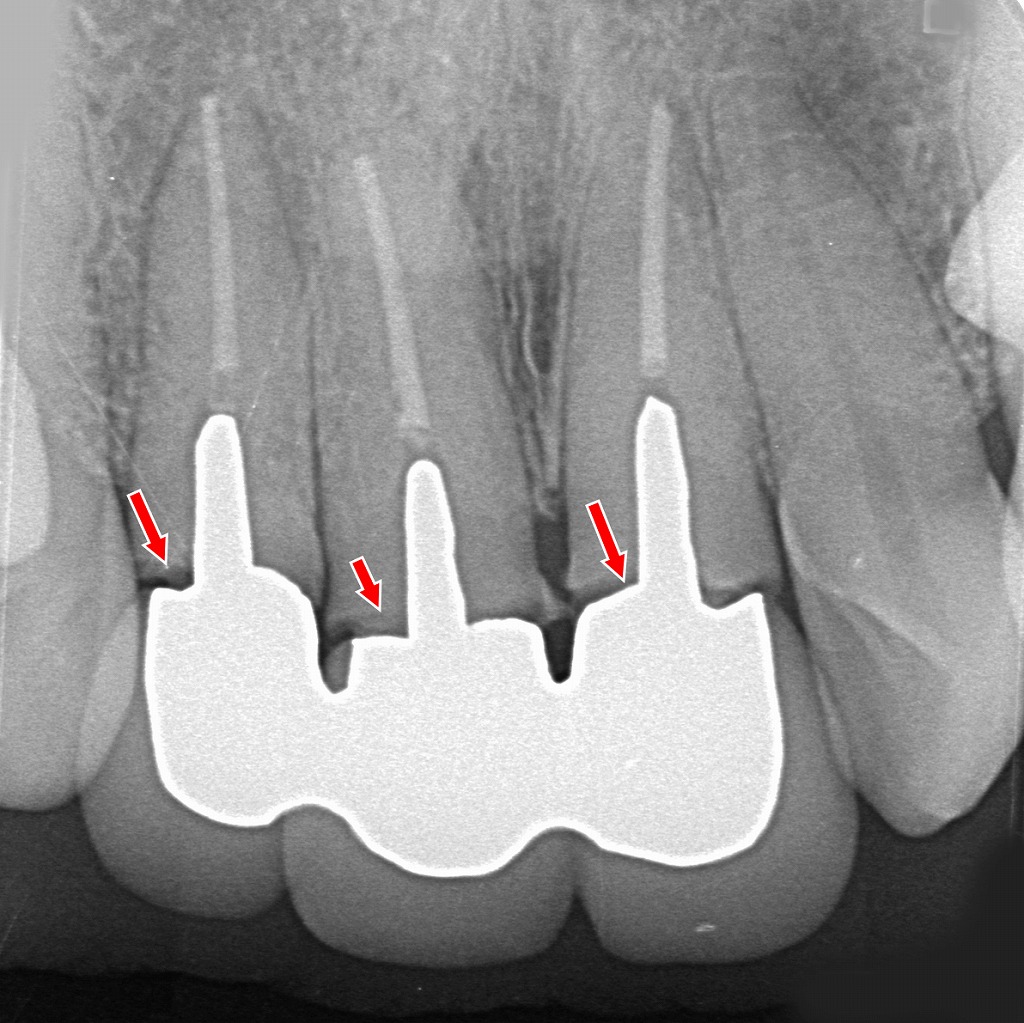
3本連結の前歯クラウンに起きた歯根破折
こちらのデンタルX線写真では、上顎前歯部の3本連結クラウン(ブリッジ状の補綴物)が、いずれも支台歯レベルで破折している所見が読み取れます。赤矢印の部位が破折ラインを示しています。

■ 画像の解説
上顎の前歯3本が連結されたクラウンの内部にある支台歯(ポストの入った根管治療歯)が、根元付近で折れてしまっている状態です。
赤い矢印で示した部分では、
- 支台歯とクラウンの境界が不自然に離開
- 根の内部にあるポストの周囲で透過像の乱れ
- 根の輪郭が一筋途切れるように写る
といった、典型的な歯根破折のX線像が確認できます。
破折が起きると、クラウンは一見ついているように見えても内部では支えが失われ、咬む力を支えられなくなります。
特に前歯部は力が集中しやすく、連結補綴+ポストコア+経年的な負荷が組み合わさると破折が起こりやすくなります。
折れた前歯クラウン・メタルコア除去後の歯根状態

■ 画像の解説
このX線画像は、前歯3本の折れたクラウンとメタルコアをすべて除去した後の状態を示しています。
赤い矢印の部位では、クラウンとコアを撤去したことで歯根の形態がそのまま露出しているのが確認できます。
主なポイント:
- 3本とも根管治療済みで、根管内のガッタパーチャが確認できる状態
- 破折していたコアを除去したため、歯冠部はほぼ失われ、歯根のみが残存
- 根尖側に大きな透過像はなく、破折は歯根の歯頸部付近で生じていました
クラウンとコアを外すことで、破折線・歯根の状態を直接評価できる段階です。
折れた前歯の再補綴:メタルボンドで再構築

■ 画像の解説
このデンタルX線画像では、前歯3本に新しく作製したメタルボンドクラウン(メタルセラミック)が装着された状態が確認できます。
矢印の部位は、歯根周囲の骨の状態やフィットを示しています。
特徴的な所見:
- 各歯にメタルコアが再度築造され、適正な長さで根管内に位置している
- クラウン外形は均一で、マージン適合も良好
- 歯根周囲には透過像の異常(炎症・破折線)を認めない
- 3本とも支台歯としての形態が安定し、補綴物を支える十分な保持力が確保されている
前回の「歯根破折・クラウン破折」の状態から、支台歯を適切に再評価し、新しいメタルボンドクラウンとして再補綴した仕上がりです。
■ まとめ:折れた位置で再補綴できるかどうかが決まる理由
前歯の歯根破折は、**折れた位置(破折線の高さ)**によって、その後に「再補綴できる歯なのか」「抜歯が必要なのか」が大きく変わります。
● 歯冠部寄り(歯ぐき近く)で折れた場合
歯ぐきから見える部分に近い位置で破折が起きていると、
- コアの再築造
- 再度クラウンを装着
といった処置が可能で、歯を残したまま再補綴できます。
破折した部位をきれいに削り直し、健全な歯質が十分に残っていれば、新しい被せ物で機能を回復できます。
🏥 江戸川区篠崎で歯のことでお悩みの方へ

「前歯が折れてしまったけど、できれば抜きたくない」「ブリッジにした歯をインプラントに変えるべきか迷っている」──このようなお悩みは、江戸川区篠崎でも多くの患者様からご相談を受けています。
当院では、なるべく歯を残す治療を第一に考え、必要に応じて精密な検査(CT撮影など)や複数の選択肢を提示することで、患者様ご自身が納得して治療を進められるようサポートしています。
インプラントも、ただ勧めるのではなく、「どんな目的で行うのか」「周囲の歯や噛み合わせにどんな影響があるのか」を丁寧にご説明したうえでご提案いたします。
まだ若い世代の方だからこそ、10年後・20年後を見据えた治療選びが大切です。将来の自分の歯を守るために、一緒に最善の方法を考えていきましょう。
【動画】奥歯を抜歯したまま放置すると?
筆者・院長

深沢 一
Hajime FUKASAWA
- 登山
- ヨガ
メッセージ
日々進化する歯科医療に対応するため、毎月必ず各種セミナーへの受講を心がけております。
私達は、日々刻々と進歩する医学を、より良い形で患者様に御提供したいと考え、「各種 歯科学会」に所属すると共に、定期的に「院内勉強会」を行う等、常に現状に甘んずる事のないよう精進致しております。 又、医療で一番大切な事は、”心のある診療”と考え、スタッフと共に「患者様の立場に立った診療」を、心がけております。


