- 1. 🪥なぜ矯正で歯を抜くの?
- 1.1. 🦷どの歯を抜くの?
- 2. 💡抜歯矯正のメリットとデメリット
- 2.1. ✅ メリット
- 2.2. ⚠️ デメリット
- 3. 抜歯矯正の症例
- 3.1. 側面頭部X線規格写真(セファログラム)
- 3.1.1. 🦷 概要
- 3.1.2. 📏 骨格的特徴
- 3.1.3. 👄 軟組織(唇の突出)
- 3.1.4. 🔧 治療計画の考え方
- 3.2. 小臼歯抜歯後の矯正治療:下顎のスペース閉鎖の様子
- 3.2.1. ① 下顎右4番・左5番の抜歯スペース
- 3.2.2. ② マルチブラケット装置(ワイヤー矯正)
- 3.2.3. ③ パワーチェーンの装着
- 3.3. 抜歯矯正後の正面観
- 3.3.1. 🦷 歯列と咬合の特徴
- 3.3.2. ✨ 審美的な評価
- 3.4. 抜歯矯正後の側面観
- 3.4.1. 🦷 咬合(かみ合わせ)の特徴
- 3.4.2. ✨ 歯列と歯軸の整い方
- 3.4.3. 💬 総合コメント
- 4. 🕐抜歯から矯正治療の流れ
- 4.1. 🌈抜歯しない矯正はできる?
- 4.2. 👩⚕️抜歯矯正が向いている人・向かない人
- 4.2.1. 🦷抜歯矯正が向いている人
- 4.2.2. 🌿非抜歯の方が良い人
- 5. 💬よくある質問(Q&A)
- 6. 🏥まとめ|信頼できる歯科医と相談を
- 7. 🏥江戸川区篠崎で矯正で歯を抜くのが不安な方へ
- 8. 【動画】アデノイド顔貌
- 9. 筆者・院長

👀 「矯正で歯を抜く」と聞くと、少し怖いイメージを持つ方も多いのではないでしょうか😣
実は、抜歯を伴う矯正は「歯を減らすため」ではなく、きれいな歯並びと正しい噛み合わせをつくるための治療です。
顎のスペースや顔のバランスを考え、必要な場合にのみ行われます。
この記事では、なぜ抜歯が必要なのか・痛みや期間・抜かない矯正との違いを、歯科医がわかりやすく解説します🦷✨
🪥なぜ矯正で歯を抜くの?
矯正治療の目的は、歯をきれいに並べるだけでなく、**正しい噛み合わせと美しい横顔(Eライン)**をつくることです。
しかし、日本人は顎が小さく、歯の本数や大きさに対してスペースが足りないことが多いのです。
- 🦷 歯が重なってガタガタしている(叢生)
- 😬 前歯が出ている(出っ歯)
- 😶🌫️ 口元がもっこりして見える(口ゴボ)
このような場合、無理に全部の歯を並べようとすると前に出てしまうため、バランスを整えるために抜歯を行うことがあります。


🦷どの歯を抜くの?
矯正治療で抜歯が必要となる場合、最も多く選ばれるのは「第一小臼歯(だいいちしょうきゅうし)」です。第一小臼歯は犬歯のすぐ後ろに位置し、見た目や噛み合わせへの影響が比較的少ないことが特徴です。また、歯列の中でもスペースを確保しやすい位置にあるため、歯の移動をスムーズに行える利点があります。
このため、上下左右の第一小臼歯を4本抜歯してバランスよくスペースを作るケースが一般的です。

また、症例によっては以下のようなパターンもあります。
- 親知らず(智歯)を抜いてスペースを作る
- 第二小臼歯を抜くことで噛み合わせを調整する
- 乳歯が残っている場合に早期に抜くことも
どの歯を抜くかは、レントゲン・模型・顔貌分析などの精密検査によって慎重に決定されます。
💡抜歯矯正のメリットとデメリット
✅ メリット
- 歯並びと噛み合わせがより整う
- 横顔のライン(Eライン)が美しくなる
- 後戻りしにくい安定した仕上がりになる

⚠️ デメリット
- 抜歯に伴う痛みや腫れが出ることがある
- 治療期間がやや長くなる傾向
- 抜歯への心理的な抵抗感がある
抜歯は「歯を減らすため」ではなく、全体のバランスを整えるための医学的判断です。
抜歯矯正の症例
側面頭部X線規格写真(セファログラム)
このX線画像は側面頭部X線規格写真(セファログラム)です。以下に、専門的視点からの解説を示します。

🦷 概要
本画像は、ドリコフェイシャル(dolichofacial)タイプの症例を示しています。
ドリコフェイシャルとは、**縦長の顔貌(長顔型)**を特徴とし、下顔面高径が大きく、咬合平面が開大傾向にある顔型です。
📏 骨格的特徴
- 下顎平面角(MP角):大きく、下顎骨が時計回りに回転している傾向が見られます。
- 顔面高径(FMA・SN-MP):増大しており、垂直的成長パターン。
- 下顎枝の長さ:比較的短く、後下方への成長が優位。
- 顎間関係:下顎がやや後退しており、骨格性Ⅱ級傾向を伴うことが多い。
👄 軟組織(唇の突出)
- 上下唇ともにEライン(エステティックライン)より前方に位置しています。
- これは**歯の前方突出(特に上下前歯の唇側傾斜)**によるものと考えられます。
- 口唇閉鎖時に筋緊張が見られ、審美的改善を目的とした抜歯矯正が適応されることがあります。
🔧 治療計画の考え方
- 上下顎ともに第一小臼歯4本抜歯を行い、前歯を後退させることで口唇の突出を改善。
- 目標は、
- Eライン上に自然な唇位置を獲得
- バランスの取れた側貌(顔の横顔プロファイル)の改善
- 咬合の安定化(オーバーバイト・オーバージェットの正常化)
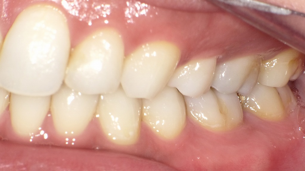
小臼歯抜歯後の矯正治療:下顎のスペース閉鎖の様子

① 下顎右4番・左5番の抜歯スペース
- **右側の第1小臼歯(4番)**と
- **左側の第2小臼歯(5番)が
矯正治療のスペース確保目的で抜歯されている状態です。
そのため、左右ともに小臼歯部に隙間(スペース)**が見られます。
② マルチブラケット装置(ワイヤー矯正)
- 上下にブラケットが装着され、アーチワイヤーが通されている標準的なワイヤー矯正の状態です。
③ パワーチェーンの装着
- 抜歯したスペースを閉じるために、
**ブラケット間にゴム(パワーチェーン)**が装着されています。 - パワーチェーンは持続的な牽引力をかけ、歯を動かして隙間を閉じる目的で使用されます。
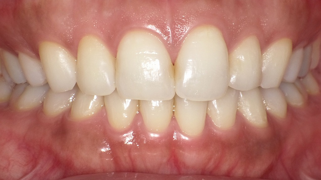
抜歯矯正後の正面観
この画像は、抜歯矯正後の正面観を示しています。全体として非常にバランスの取れた歯列で、以下のような特徴が見られます。

🦷 歯列と咬合の特徴
- 上下の正中(中央ライン)が一致しており、左右対称性が良好です。
- 上下の歯の咬み合わせが自然で、過度な深い咬みや開咬は認められません。
- 上顎前歯の歯軸が適切に傾斜しており、スマイルラインに沿って調和しています。
✨ 審美的な評価
- 歯の形態・大きさ・位置の調和が取れており、自然で美しい印象。
- 歯肉のラインも健康的で、歯と歯肉の境界が滑らかです。
- 歯の色調が均一で、自然な明るさを保っています。
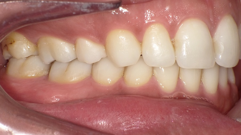
抜歯矯正後の側面観
これらの画像は、抜歯矯正後の側面観を示しています。全体的に咬合関係が良好で、機能的・審美的にもバランスが取れた状態です。


🦷 咬合(かみ合わせ)の特徴
- 上下の犬歯・小臼歯の咬み合わせが理想的で、Class I(正常咬合)に近い関係が確認できます。
- 上顎の歯が下顎の歯を適度に覆っており、オーバーバイト・オーバージェットともに適正範囲内です。
- 前歯から臼歯までスムーズな咬合平面が保たれています。
✨ 歯列と歯軸の整い方
- 上下の歯軸がきれいに整っており、歯列弓が自然なカーブを描いています。
- 上顎前歯の後退により、口元の突出感が改善されています。
- 臼歯部の咬合接触も良好で、咀嚼機能が安定していることがうかがえます。
💬 総合コメント
抜歯矯正により、前歯の位置と奥歯の咬合関係が調和し、理想的な横顔ラインを形成しています。
見た目の美しさだけでなく、噛む力のバランスや機能面でも優れた結果が得られている状態です。
🕐抜歯から矯正治療の流れ
- 診査・診断
お口や顎の形を精密に検査 - 抜歯
必要な歯を麻酔下で抜きます。痛みはほとんどありません。 - 矯正装置の装着
ワイヤーやマウスピースで歯を動かしていきます。 - スペースの閉鎖
抜いた隙間が自然に閉じていく過程。数か月〜1年ほど。 - 保定期間
動かした歯を安定させるため、リテーナーを装着します。
🌈抜歯しない矯正はできる?
もちろん、非抜歯矯正も可能な場合があります。
以下のようなケースでは、抜歯せずに歯を並べることができることも。
- 軽度のガタガタ(叢生)がある
- 顎の大きさに余裕がある
- 奥歯を後方に移動できるスペースがある
🧩最近では「インビザライン(マウスピース矯正)」などを活用し、
歯を少しずつ後ろに動かして抜かずに並べる治療法も増えています。
ただし、無理に非抜歯にすると口元が出っ張ることもあるため、
見た目と機能の両立を考えて歯科医とよく相談しましょう。
👩⚕️抜歯矯正が向いている人・向かない人
🦷抜歯矯正が向いている人


- 出っ歯で横顔をスッキリさせたい
- 歯が重なっているガタガタを治したい
- 顎が小さく歯の本数に対してスペースが不足している
🌿非抜歯の方が良い人
- もともと歯が小さい
- 顔のバランスが抜歯で変わりすぎる可能性がある
- 噛み合わせに大きなズレがない
💬よくある質問(Q&A)
Q:抜歯は痛いですか?
A:麻酔をしっかり行うため、痛みは最小限です。術後の腫れも2〜3日で落ち着くことがほとんどです。
Q:抜歯すると顔が小さくなりますか?
A:出っ歯や口ゴボの方は、口元が自然に引き締まり、横顔がすっきり見えることがあります✨。
Q:後戻りはしますか?
A:保定装置(リテーナー)をきちんと使えば、後戻りはほとんど防げます。
🏥まとめ|信頼できる歯科医と相談を
抜歯矯正は「歯を抜く」ことでなく、歯並び・噛み合わせ・顔全体の調和を整える治療です。
非抜歯でできる場合もありますが、見た目や噛み合わせを総合的に判断して決めることが大切です。
江戸川区篠崎の当歯科クリニックでは、
レントゲン・顔貌分析をもとに「抜歯する・しない」を丁寧にご説明しています🦷✨。
患者さまの理想の笑顔のために、最適な矯正プランをご提案します。
まずはお気軽にご相談ください😊
🏥江戸川区篠崎で矯正で歯を抜くのが不安な方へ

「歯を抜くのが怖い」「本当に抜かないとダメ?」
そんな不安を感じる方も、どうぞご安心ください😊
当歯科クリニックでは、抜歯の必要性を丁寧に説明し、できるだけ歯を残す治療を心がけています。
無理のない矯正プランで、あなたの笑顔をサポートします🦷✨
【動画】アデノイド顔貌
筆者・院長

深沢 一
Hajime FUKASAWA
- 登山
- ヨガ
メッセージ
日々進化する歯科医療に対応するため、毎月必ず各種セミナーへの受講を心がけております。
私達は、日々刻々と進歩する医学を、より良い形で患者様に御提供したいと考え、「各種 歯科学会」に所属すると共に、定期的に「院内勉強会」を行う等、常に現状に甘んずる事のないよう精進致しております。 又、医療で一番大切な事は、”心のある診療”と考え、スタッフと共に「患者様の立場に立った診療」を、心がけております。


