- 1. 口腔機能発達不全症とは?
- 2. 前歯の開咬(オープンバイト)との関係
- 3. 原因|なぜお口の機能が育たないの?
- 3.1. 食生活の変化
- 3.2. 指しゃぶり・おしゃぶりの長期使用
- 3.3. 口呼吸・鼻づまり
- 3.4. 姿勢の悪化
- 4. 放置すると起こるリスク
- 4.1. 放置するとこんなリスクも
- 5. 治療法|MFT(口腔筋機能療法)とは?
- 5.1. 主なトレーニング例
- 6. 保険適用になる場合もあります
- 6.1. 保険適用の主な条件
- 7. 家庭でできる予防とサポート
- 7.1. 食事で意識したいこと
- 7.2. 保護者が確認したいポイント
- 8. 早期発見・早期対応が大切です
- 9. 江戸川区篠崎で口腔機能発達不全症を相談するなら
- 10. 【動画】アデノイド顔貌
- 11. 筆者・院長
- 11.1. 深沢 一
- 11.1.1. メッセージ

「いつも口が開いている」「食べるのが遅い」「発音が気になる」――その症状、口腔機能発達不全症かもしれません。
口腔機能発達不全症とは、噛む・飲み込む・話す・呼吸するといったお口の機能が十分に発達していない状態を指します。近年は、口呼吸や食生活の変化、姿勢の悪化などを背景に増加傾向にあります。
この記事では、口腔機能発達不全症の原因や症状、治療法、家庭でできる予防法までを歯科医療の視点からわかりやすく解説します。
口腔機能発達不全症とは?

口腔機能発達不全症とは、「噛む」「飲み込む」「話す」「呼吸する」など、お口の機能が十分に発達していない状態を指します。主に小児期にみられる疾患で、厚生労働省が診断基準を定めています。
近年は、食生活の変化や口呼吸、姿勢の悪化などの影響により、口腔機能の発達に問題を抱える子どもが増えているといわれています。
歯科医院では、次のような項目を総合的に評価します。
- 口が常に開いていないか(ポカン口)
- 正しく噛めているか
- 飲み込み方に異常がないか
- 発音が不明瞭ではないか
- 舌や唇の筋力が十分か
- 鼻呼吸ができているか
複数の機能に問題が認められる場合、「口腔機能発達不全症」と診断されることがあります。
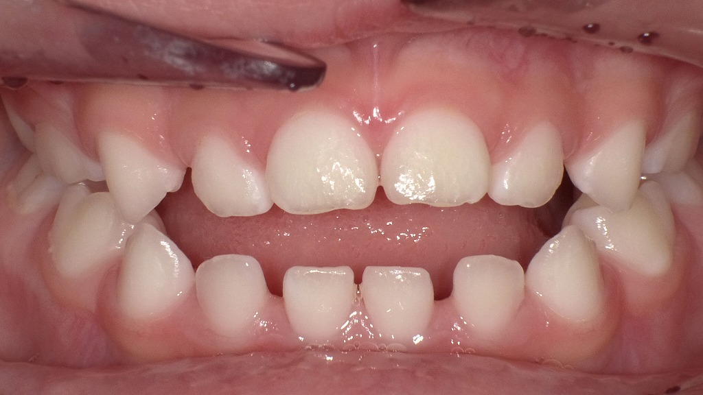
前歯の開咬(オープンバイト)との関係
口腔機能発達不全症では、前歯が噛み合わない「開咬(オープンバイト)」がみられることがあります。

本症例は4歳児に認められた前歯部開咬で、口腔機能発達不全症との関連が疑われます。上下前歯が咬合せず隙間が生じており、舌突出癖や口呼吸、嚥下機能の未成熟などが関与している可能性があります。早期に機能評価と生活習慣の見直し、必要に応じた口腔筋機能療法(MFT)を行うことが、正常な咬合と顎顔面の発育を促すうえで重要です。
特に4歳前後では、
- 舌突出癖
- 指しゃぶり
- 口呼吸
- 未成熟な嚥下機能
などが関与し、上下の前歯の間に隙間が生じるケースがあります。
この状態を放置すると、顎の成長や歯並びに影響する可能性があるため、早期の機能評価と生活習慣の改善が重要です。
原因|なぜお口の機能が育たないの?

食生活の変化
柔らかい食品を食べる機会が増え、噛む回数が減少しています。噛む刺激が不足すると、顎や口周囲の筋肉が十分に発達しにくくなります。
指しゃぶり・おしゃぶりの長期使用
長期間続くと、舌の位置や歯列に影響し、開咬や出っ歯の原因になることがあります。
口呼吸・鼻づまり
アレルギー性鼻炎やアデノイド肥大などにより鼻呼吸が難しくなると、常に口が開いた状態になりやすく、舌の位置や顎の成長に悪影響を及ぼします。
姿勢の悪化
スマートフォンやタブレットの長時間使用による猫背姿勢は、舌や下顎の位置異常を引き起こし、口腔機能の発達を妨げることがあります。
放置すると起こるリスク
放置するとこんなリスクも


口腔機能発達不全症を放置すると、次のような問題につながることがあります。
- 出っ歯・乱杭歯・開咬などの歯列不正
- 永久歯の生えるスペース不足
- 発音障害や言葉の不明瞭化
- 飲み込み機能の異常
- 口呼吸による虫歯・歯周病リスクの増加
- 猫背や姿勢不良
- 睡眠の質や集中力への影響
単なる歯並びの問題ではなく、全身の健康や発育にも関係するため、早期対応が大切です。
治療法|MFT(口腔筋機能療法)とは?

歯科医院では、MFT(Myofunctional Therapy:口腔筋機能療法)を行うことがあります。
これは、舌・唇・頬などの筋肉を正しく使えるようにするトレーニングです。
主なトレーニング例
- 舌を上あごにつける練習
- 正しい飲み込み方の訓練
- ストローを使った吸引訓練
- 風船をふくらませる運動
- 「いー」「うー」など口唇トレーニング
小児でも取り組みやすい内容が多く、遊び感覚で継続できる工夫がされています。
必要に応じて、
- 小児矯正
- 鼻呼吸トレーニング
- 耳鼻咽喉科との連携
を行い、総合的な改善を目指します。
保険適用になる場合もあります
口腔機能発達不全症は、一定の条件を満たす場合、健康保険が適用されます。
保険適用の主な条件
- 厚生労働省の基準に基づき診断されている
- 「噛む」「飲み込む」「話す」などに機能低下が認められる
- 改善を目的とした訓練や管理を行う
検査や診断の結果に応じて、保険診療で口腔機能訓練を受けられる場合があります。
ただし、審美目的のみの矯正治療などは自由診療となることもあるため、詳細は歯科医院で確認が必要です。
家庭でできる予防とサポート
食事で意識したいこと
- 根菜や肉類など、噛み応えのある食材を取り入れる
- よく噛んで食べる習慣をつける
- 足が床につく正しい姿勢で食事をする
- 食事中は口を閉じることを意識する
保護者が確認したいポイント
- 普段から口が開いていないか
- 飲み込むときに舌が前に出ていないか
- 食べるのに極端に時間がかかっていないか
- 発音が不明瞭ではないか
毎日の生活習慣の積み重ねが、口腔機能の健全な発達につながります。
早期発見・早期対応が大切です
口腔機能発達不全症は、早期に気づき適切な対応を行うことで、歯並びや噛み合わせだけでなく、呼吸・発音・全身の成長にも良い影響が期待できます。
「いつも口が開いている」「食べ方が気になる」「発音が不明瞭」などの症状がある場合は、早めに歯科医院で相談することをおすすめします。
江戸川区篠崎で口腔機能発達不全症を相談するなら

当歯科クリニックでは、お子さま一人ひとりの発達段階に合わせて、
口腔機能発達不全症の診断とトレーニング(MFT)を行っています。
厚生労働省の基準に基づいた治療を実施しており、保険が適用される場合もあります。
「噛むのが苦手」「口が開きっぱなし」「発音が気になる」など、
気になる症状がある方は、どうぞお気軽にご相談ください。
【動画】アデノイド顔貌
筆者・院長

深沢 一
Hajime FUKASAWA
- 登山
- ヨガ
メッセージ
日々進化する歯科医療に対応するため、毎月必ず各種セミナーへの受講を心がけております。
私達は、日々刻々と進歩する医学を、より良い形で患者様に御提供したいと考え、「各種 歯科学会」に所属すると共に、定期的に「院内勉強会」を行う等、常に現状に甘んずる事のないよう精進致しております。 又、医療で一番大切な事は、”心のある診療”と考え、スタッフと共に「患者様の立場に立った診療」を、心がけております。


