- 1. 🩺糖尿病とはどんな病気?
- 1.1. 🔍1型とⅡ型の違い
- 1.2. ⚠️歯周病と糖尿病の深い関係
- 1.2.1. 🔄相互に悪影響を及ぼす
- 1.3. 🧬糖尿病の特徴と診断
- 1.3.1. 😷自覚症状が出にくい
- 1.3.2. 📊診断に使われる数値
- 1.4. 🏃♀️糖尿病の治療方法
- 1.4.1. 🍽️生活習慣の見直しが基本
- 2. 🌊グルコーススパイクとは?
- 2.1. ⚠️血糖値の急上昇がもたらす危険
- 2.2. 📈糖尿病患者にも見られるリスク
- 2.2.1. 🧪A1cが正常でも油断できない
- 2.3. 🧬血糖変動を抑えるための治療法
- 2.3.1. 💊代表的な薬剤療法
- 2.4. 👶糖尿病でない人も注意が必要!
- 2.4.1. 🍚グルコースミニスパイクとは?
- 2.4.2. 🧘若いうちからの生活習慣見直しがカギ
- 2.5. 📊用語解説|GI値とは?
- 2.5.1. ❓GI値(グリセミック・インデックス)とは?
- 3. 🦷歯周病と糖尿病の関係性
- 3.1. 🔁相互に悪影響を与える
- 3.2. ⚠️糖尿病の怖さとは?
- 3.2.1. 😷合併症と自覚症状のなさ
- 3.3. 📊糖尿病の診断方法
- 3.3.1. 💉HbA1cで血糖のコントロール状態を把握
- 3.4. 🏃♀️🍽️糖尿病の治療方法
- 3.4.1. 🥗基本は食事療法と運動療法の併用
- 4. 🍱糖尿病の基本的な食事療法とは?
- 4.1. 🔢日本ではカロリー制限が主流
- 4.2. 🍞注目される糖質制限という選択肢
- 4.2.1. 🌍アメリカから広がった糖質制限
- 4.3. 🧪三大栄養素の基礎知識
- 4.3.1. 🥖三大栄養素とは?
- 4.4. ⚖️理想的な栄養バランスとは?
- 4.4.1. 📊健康な人の基本比率
- 4.4.2. 🔄糖質制限を行う場合の調整
- 4.5. 🍞血糖値を上げるのは「糖質」だけ!
- 4.5.1. 📌血糖値が上がりやすい代表的な食品
- 4.6. 🩸糖質摂取と血糖上昇のメカニズム
- 4.6.1. 🔄ブドウ糖への変換とインシュリンの働き
- 4.7. ⚠️糖質の過剰摂取がもたらす悪循環
- 4.7.1. 🧈脂肪を燃やせない体になる理由
- 4.8. 🦷糖質と口腔内の健康の関係
- 4.8.1. 🍡柔らかい炭水化物に偏る理由
- 4.9. 🧠口の健康は全身の健康に直結!
- 4.9.1. 💡糖質制限と口腔ケアの連携が重要
- 4.10. 🍽️糖質制限とは?基本のやり方
- 4.10.1. 📏1日130g以内が目安
- 4.11. 🍖糖質制限はカロリー制限ではない
- 4.11.1. 🔄エネルギー源の置き換えがポイント
- 4.12. ⚠️制限の下限とリスク管理
- 4.12.1. 🧪ケトン体とケトアシドーシス
- 4.13. 🚫糖質制限でも“何でも食べて良い”は間違い!
- 4.13.1. 🍤揚げ物や悪い油の摂りすぎに注意
- 4.14. 🧍♂️糖質制限ダイエットは肥満解消に効果的
- 4.14.1. 📚科学的根拠に基づいた治療法
- 4.15. 🍽️空腹感が少なく、続けやすいのが特長
- 4.15.1. 🔄糖質→タンパク質・脂質に置き換え
- 4.15.2. 🥩肉を食べ慣れていない人への注意点
- 4.16. 🍎果物と内臓脂肪の意外な関係
- 4.16.1. 💡果糖は血糖値より内臓脂肪に影響
- 4.16.2. 🥣果物を食べたいときの工夫
- 4.17. 📊GI値を意識して食品を選ぼう
- 4.17.1. ⚖️低GI食品がカギ
- 4.18. 🏃♀️運動はやはり欠かせない
- 4.18.1. 🔥糖質制限と運動の組み合わせが最強
- 4.19. 📊GI値とは?血糖値上昇の目安を数値化
- 4.19.1. 🧪GI値の定義と分類
- 4.20. 🍞同じ炭水化物でもGI値に差がある!
- 4.20.1. ⚖️高GI vs 低GIの具体例
- 4.21. ⚠️GI値とカロリーは別もの
- 4.21.1. 🍩カロリーが低くても油断は禁物
- 4.22. 💡GI値の低い食品を選ぶメリット
- 4.22.1. 🩺血糖値とインシュリンの安定化
- 4.23. ✅誰にとってもGI値の意識は重要!
- 4.23.1. 👥糖尿病患者だけでなく全員に有益
- 4.24. 📐GI値の計算方法
- 4.24.1. 🔢基本の公式
- 5. 🍴糖質制限中こそ知っておきたい!脂肪の質と健康リスクの真実
- 5.1. 🧈脂質=太るは大きな誤解!
- 5.1.1. ⚠️太る原因は脂質だけではない
- 5.2. 🥑脂質は正しく選べば味方になる!
- 5.2.1. 💪適切な脂質は肥満解消にも効果的
- 5.3. 🐟必須脂肪酸「オメガ3系」に注目
- 5.3.1. 🧬体内で作れない大切な脂肪
- 5.4. ❤️オメガ3がもたらす健康効果
- 5.4.1. 🧠ダイエットだけじゃない!多彩な効能
- 5.5. 🐟オメガ3系脂肪酸を含む食品
- 5.6. 🧈炒め物など加熱料理に使える油
- 5.7. 🧈脂肪の種類を正しく知ろう
- 5.7.1. 🧬脂肪は2種類に分類される
- 5.8. ⚠️特に注意すべき「トランス脂肪酸」
- 5.8.1. 💀悪玉コレステロールを増やす原因に
- 5.9. 👶トランス脂肪酸がもたらす健康リスク
- 5.9.1. 📉アレルギー・肥満・妊娠リスクにも関与
- 5.10. 🍩身近な食品にも多く含まれる!
- 5.10.1. 🛒日常的に摂取しやすい食品例
- 5.11. 🛡️「食べるプラスチック」は避けよう
- 5.11.1. 🇺🇸アメリカでは厳しい規制対象
- 6. 🍶お酒は血糖値にどう影響する?糖質とGI値から見る正しい飲み方
- 6.1. 🍶アルコールはGI値の低い飲み物?
- 6.1.1. 🥃蒸留酒はGI値が低く血糖値を上げにくい
- 6.2. 🍺醸造酒は血糖値に影響する
- 6.2.1. 🍷日本酒・ビール・紹興酒・ワインの特徴
- 6.3. ⚖️蒸留酒でも飲み方に注意!
- 6.3.1. 🚫大量摂取はNG
- 6.4. 🧮「適量の酒」とはどのくらい?
- 6.4.1. 🧠体重によって許容量が変わる
- 6.5. 🧬健康への影響を考慮して適量を守ろう
- 6.5.1. 💡肝臓や尿酸値への配慮が必要
- 7. 🧬腸内フローラとは?
- 7.1. 🌿腸内に広がる“細菌の生態系”
- 7.2. ⚖️腸内細菌と全身の健康の関係
- 7.2.1. ❤️腸が担う驚くべき役割
- 7.3. 🧠「腸は第2の脳」と呼ばれる理由
- 7.3.1. 🍽️太りやすさ・痩せやすさは腸内環境で決まる
- 7.4. 🐷「デブ菌」と「痩せ菌」の存在
- 7.4.1. 🔬太る原因は腸内のバランスにあった
- 7.5. 🧪腸内細菌移植の実験で判明した事実
- 7.5.1. 🧫ラットでの実験結果
- 7.6. ✅理想的なバランスは「デブ菌4:痩せ菌6」
- 7.6.1. 🥗腸活で体質を改善しよう
- 8. 🥗腸内フローラは食事で改善できる!
- 8.1. 🌿痩せ菌を増やす食材とは?
- 8.2. 🍯ヨーグルト+ひと工夫で腸にやさしい!
- 8.2.1. 🍶ホットヨーグルトのすすめ
- 8.3. 🚽便秘対策にも効果的!
- 8.3.1. ✅お腹を冷やさず吸収力もアップ
- 9. 🩺江戸川区篠崎にお住まいの皆さまへ
- 10. 【動画】歯周病の手遅れの症状
- 11. 筆者・院長

「最近、なんだか疲れやすい…」「喉が渇きやすくなった」——その症状、もしかすると糖尿病のサインかもしれません。糖尿病は初期にはほとんど自覚症状がなく、気づかないうちに進行してしまうことが多い病気です。本記事では、そんな“静かに進行する病”である糖尿病について、正しい知識と対策をお届けします。
🩺糖尿病とはどんな病気?

🔍1型とⅡ型の違い
- 1型糖尿病:自己免疫により膵臓のβ細胞が壊され、インスリンが分泌されなくなるタイプ
- Ⅱ型糖尿病:生活習慣病と深く関係し、インスリンの働きが悪くなるタイプ(歯周病と関係が深いのはこちら)
⚠️歯周病と糖尿病の深い関係
🔄相互に悪影響を及ぼす
- 歯周病とⅡ型糖尿病が合併すると、お互いの病気を悪化させるリスクが高まる

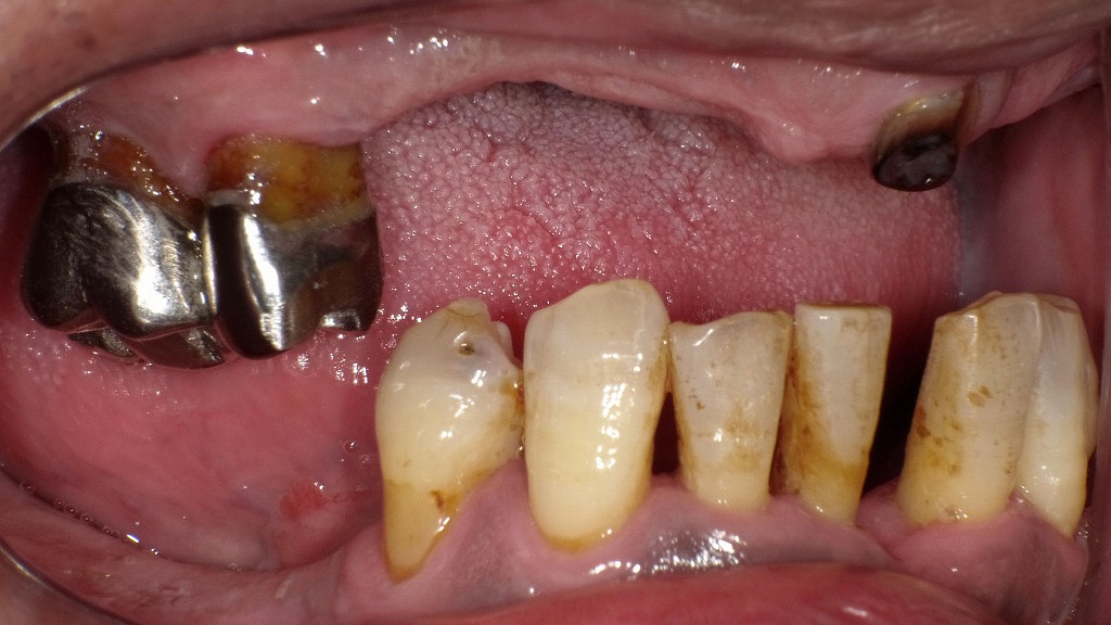
歯周病による歯ぐきの炎症や歯槽骨の破壊は、炎症性物質を通じて血糖値のコントロールを悪化させることが知られています。一方で、糖尿病があると免疫機能が低下し、歯周病が重症化しやすくなります。歯の動揺や歯肉退縮が見られる場合、歯周病治療と血糖管理を同時に行うことが、全身の健康を守るうえで重要です。
🧬糖尿病の特徴と診断
😷自覚症状が出にくい
- 血糖値が高くても症状が出にくい
- 進行すると、**合併症(目・腎臓・神経など)**が現れることがある
📊診断に使われる数値
- ヘモグロビンA1cが診断の指標
- A1c 6.2%以上 → 糖尿病と診断されることが多い
- 1〜2ヶ月間の平均血糖値を反映している
🏃♀️糖尿病の治療方法
🍽️生活習慣の見直しが基本
- 食事療法と運動療法が治療の基本
- 改善しない場合は薬物療法が行われる
🌊グルコーススパイクとは?
⚠️血糖値の急上昇がもたらす危険
- グルコーススパイクは、血糖値が急激に上昇する現象
- 血管を傷つけ、酸化ストレスを増加させ、動脈硬化を進行させる
- 心臓病・脳梗塞・認知症のリスクが高まる
📈糖尿病患者にも見られるリスク
🧪A1cが正常でも油断できない
- ヘモグロビンA1cが安定していても、血糖値の変動幅が大きいことがある
- 合併症リスクが高まるため、糖質制限が必要
🧬血糖変動を抑えるための治療法
💊代表的な薬剤療法
- α-グルコシダーゼ阻害薬:糖の吸収を遅らせ、食後の血糖上昇を抑える
- 速攻型インスリン分泌促進薬
- SGLT2阻害薬:尿中に糖を排出して血糖値を下げる
👶糖尿病でない人も注意が必要!
🍚グルコースミニスパイクとは?
- 健康な人でも、糖質の多い食事で血糖が急上昇する現象
- グルコースミニスパイクと呼ばれる
🧘若いうちからの生活習慣見直しがカギ
- 炭水化物中心の食生活を改善することが、健康寿命の延伸につながる
📊用語解説|GI値とは?
❓GI値(グリセミック・インデックス)とは?
- 食品が体内でどれだけ早く血糖値を上げるかを示す指標
- GI値の低い食品は、血糖の急上昇を防ぎやすい
🦷歯周病と糖尿病の関係性
🔁相互に悪影響を与える
- 歯周病と糖尿病が合併すると、どちらの病状も悪化しやすくなる
⚠️糖尿病の怖さとは?
😷合併症と自覚症状のなさ
- 血糖値が高くても症状が出にくく、気づかないうちに進行
- 合併症(心臓病・腎臓病・失明など)のリスクがある
📊糖尿病の診断方法
💉HbA1cで血糖のコントロール状態を把握
- HbA1c(ヘモグロビンA1c)は1~2か月の平均血糖値を示す指標
- 6.2%以上で糖尿病と診断されることが多い
🏃♀️🍽️糖尿病の治療方法
🥗基本は食事療法と運動療法の併用
- バランスの良い食事と適度な運動で血糖コントロールを改善
- それでも改善しない場合は、薬物療法を追加する
🍱糖尿病の基本的な食事療法とは?
🔢日本ではカロリー制限が主流
- 日本糖尿病学会では「カロリー制限」を基本とした食事療法を推奨
- しかし実際には、摂取カロリーの把握が難しいため、継続が困難
- 食事作りに2〜3時間かかり、約6割の患者が挫折しているという現状
🍞注目される糖質制限という選択肢
🌍アメリカから広がった糖質制限
- アメリカ糖尿病学会でも糖質制限を公式に認めるようになった
- 日本ではまだ賛否あるが、北里大学や高雄病院では成果を上げている
🧪三大栄養素の基礎知識
🥖三大栄養素とは?
- 炭水化物(糖質+食物繊維)
- タンパク質
- 脂質
これらに加えて、ビタミンやミネラルも食事から同時に摂取される

⚖️理想的な栄養バランスとは?
📊健康な人の基本比率
- 炭水化物:50〜60%
- タンパク質:20〜25%
- 脂質:20〜25%
🔄糖質制限を行う場合の調整
- 炭水化物の比率を減らし、タンパク質と脂質の比率を増加させる
🍞血糖値を上げるのは「糖質」だけ!
📌血糖値が上がりやすい代表的な食品
- 🥐 パン
- 🍚 白米
- 🍜 うどん
これらはすべて炭水化物で、体内でブドウ糖に変わり血糖値を上昇させます。
example
01

パン
example
02

白米
example
03

うどん
🩸糖質摂取と血糖上昇のメカニズム
🔄ブドウ糖への変換とインシュリンの働き
- 糖質は腸で吸収されてブドウ糖に変化
- 血糖値が上昇すると膵臓からインシュリンが分泌
- 過剰な糖質は脂肪細胞に蓄えられる
⚠️糖質の過剰摂取がもたらす悪循環
🧈脂肪を燃やせない体になる理由
- インシュリンは脂肪の蓄積を促し、分解を抑制
- つまり、糖質が多いと運動しても痩せにくい体質に
🦷糖質と口腔内の健康の関係
🍡柔らかい炭水化物に偏る理由
- 歯周病や虫歯があると、噛みにくい食品を避けがち
- 結果として、柔らかく糖質の多い食品に偏る
🧠口の健康は全身の健康に直結!
💡糖質制限と口腔ケアの連携が重要
- 口腔環境の悪化 → 食生活の偏り → 血糖コントロール悪化
- 食事と歯の健康は、互いに深く関わっている
🍽️糖質制限とは?基本のやり方
📏1日130g以内が目安
- アメリカのリチャード・バーンスタイン医師が提唱
- 1食あたり糖質43g以内に抑えることが目安
- ご飯なら半膳程度までOK(ご飯1杯=約55gの糖質)
🍖糖質制限はカロリー制限ではない
🔄エネルギー源の置き換えがポイント
- 糖質を減らした分は、タンパク質や脂質で補う
- 空腹感が出にくく、長く続けやすいのがメリット
⚠️制限の下限とリスク管理
🧪ケトン体とケトアシドーシス
- 1食あたり糖質20g以上であれば、ケトン体の過剰産生は起きにくい
- 重症糖尿病患者ではケトアシドーシスのリスクがあるため注意
🚫糖質制限でも“何でも食べて良い”は間違い!
🍤揚げ物や悪い油の摂りすぎに注意
- 糖質制限でHbA1cや体重が改善しても
- トランス脂肪酸・動物性脂肪・リノール酸の過剰摂取は
→ 動脈硬化・心筋梗塞・脳梗塞のリスクを高める
🧍♂️糖質制限ダイエットは肥満解消に効果的


📚科学的根拠に基づいた治療法
- 糖尿病治療として確立されたエビデンスがある
- ダイエットに失敗した方にもおすすめ
🍽️空腹感が少なく、続けやすいのが特長
🔄糖質→タンパク質・脂質に置き換え
- カロリー制限なしで満足感を得やすい
- 炭水化物中心の食生活からの置き換えがポイント
🥩肉を食べ慣れていない人への注意点
- 肉食習慣がない方は総カロリーが自然と減少する傾向も
🍎果物と内臓脂肪の意外な関係
💡果糖は血糖値より内臓脂肪に影響
- 果糖は血糖値を急上昇させないが、脂肪に変わりやすい
- インシュリン抵抗性が強まり、太りやすい体質に
🥣果物を食べたいときの工夫
- 主食(炭水化物)を抜くことでバランスをとる
📊GI値を意識して食品を選ぼう
⚖️低GI食品がカギ
- 糖質制限中でもGI値の低い食品を選ぶことが重要
- 脂質やタンパク質も無制限には摂らない工夫が必要
🏃♀️運動はやはり欠かせない
🔥糖質制限と運動の組み合わせが最強
- 食事だけでなく、適度な運動も取り入れることで効果が高まる
📊GI値とは?血糖値上昇の目安を数値化
🧪GI値の定義と分類
- GI値(グリセミック・インデックス)とは、食品による血糖値の上がりやすさを数値化したもの
- GI値の分類:
- 55以下:低GI食品
- 66〜69:中GI食品
- 70以上:高GI食品
🍞同じ炭水化物でもGI値に差がある!
⚖️高GI vs 低GIの具体例
- 高GI:フランスパン(GI値93)
- 低GI:全粒粉パン(GI値50)、玄米、蕎麦
⚠️GI値とカロリーは別もの
🍩カロリーが低くても油断は禁物
- GI値が高ければ、血糖値が急上昇しグルコーススパイクを招く
- 血糖の変動が大きくなることで、血管へのダメージが増大
💡GI値の低い食品を選ぶメリット
🩺血糖値とインシュリンの安定化
- 分解・吸収がゆるやかで、血糖の上昇も緩やか
- 追加のインシュリン分泌も少なくて済む
✅誰にとってもGI値の意識は重要!
👥糖尿病患者だけでなく全員に有益
- 健康な人もGI値60以下の食品を選ぶのが望ましい
📐GI値の計算方法
🔢基本の公式
- GI値=(試験食の血糖上昇グラフ面積 B)÷(ブドウ糖の血糖上昇グラフ面積 A)×100
🍴糖質制限中こそ知っておきたい!脂肪の質と健康リスクの真実
🧈脂質=太るは大きな誤解!
⚠️太る原因は脂質だけではない
- 運動不足+糖質の過剰摂取+悪い脂質が揃うと太りやすくなる
- ただし、脂質だけが肥満の原因ではない
🥑脂質は正しく選べば味方になる!
💪適切な脂質は肥満解消にも効果的
- 脂質の質が重要
- 摂るべき脂質と避けるべき脂質を見極めることがカギ
🐟必須脂肪酸「オメガ3系」に注目
🧬体内で作れない大切な脂肪
- オメガ3脂肪酸は食事からの摂取が必須
- 日本人は摂取量が少ない傾向にある
❤️オメガ3がもたらす健康効果
🧠ダイエットだけじゃない!多彩な効能
- 悪玉コレステロール・中性脂肪の低下
- 心筋梗塞・脳梗塞・認知症の予防
- 骨の健康維持・がんの予防効果も期待される
🐟オメガ3系脂肪酸を含む食品
example
01

青魚
不飽和脂肪酸のオメガ3系脂肪酸を多く含む食品は、オメガ3系脂肪酸の一種であるDHAやEPEを多く含む青魚です。
その中でも最も多く含まれるのがサバです。刺身で食べるのが最も効率が良いのですが、鯖の塩焼きの場合、大切なオメガ3脂肪酸が流れ出してしまいますから、野菜などに吸収させるような料理が有効です。
example
02

えごま(しそ)油
青魚を毎日摂取するのは大変なので、えごま(しそ)油がそれを補ってくれます。
えごま(しそ)油の中には良質なオメガ3系脂肪酸(不飽和脂肪酸のα-リノレン酸)が沢山含まれています。
しかしこの油は火に弱いので、サラダにかけるなど料理された後にかけて食べることが重要です。又、酸化しやすいので開封後は、冷蔵庫保管で早めに使い切る事が重要です。スギヤマ薬品から販売されているえごま(しそ)油が大変美味しく頂けます。
example
03

くるみ
ナッツ類には良質な栄養素が多く含まれますが、その中でも王様がくるみです。オメガ3系脂肪酸が沢山含まれています。
🧈炒め物など加熱料理に使える油
example
01

オリーブオイル
火を使う料理にはオメガ9系のオーガニックエキストラバージンオリーブオイルを使用することを推奨します。
オリーブオイルにはオレイン酸(悪玉コレステロールを減らす)が多く含まれ、リノール酸(酸化されやすく、摂り過ぎるとガンを誘発)な少ないのが特徴です。
エキストラバージンならば悪玉コレステロールを増加させるトランス脂肪酸の含有量が0.1%以下です。
example
02

ごま油
ごま油はオメガ6系の脂肪酸で、酸化を防ぐセサミノールが含まれています。
極めて安定性が高く、熱にも強いので火を使う料理に向いています。トランス脂肪酸含有量は0.1%以下の製品がほとんどです。
example
03

グレープシード油
グレープシード油はオメガ6系の脂肪酸で、抗酸化物質のポリフェノールやビタミンEが多いのが特徴です。
しかし、リノール酸が多いのが欠点です。
【重要】「エキストラバージン」の表示規制がない日本に於いて、偽装されたものが多く出回っている様です。国際エクストラバージンオリーブオイル品評会(OLIVE JAPAN International Extra Virgin Olive Oil Competition)の受賞作をお買い求めくだされば、間違いありません。
🧈脂肪の種類を正しく知ろう
🧬脂肪は2種類に分類される
- 飽和脂肪酸:主に動物性脂肪
- 不飽和脂肪酸:主に植物性脂肪(オメガ3・6・9)
- 理想的な摂取比率は 飽和:不飽和=1:2
⚠️特に注意すべき「トランス脂肪酸」
💀悪玉コレステロールを増やす原因に
- LDL(悪玉)を増やし、HDL(善玉)を減らす
- 動脈硬化・心疾患のリスクを高める

👶トランス脂肪酸がもたらす健康リスク
📉アレルギー・肥満・妊娠リスクにも関与
- アレルギー疾患や肥満の誘発
- 母乳から胎児に移行 → 低体重児や流産のリスク
🍩身近な食品にも多く含まれる!
🛒日常的に摂取しやすい食品例
- ファーストフード
- 市販のケーキ・パン・スナック菓子
- カップ麺やインスタント食品など
→ ショートニングやマーガリンに注意!
🛡️「食べるプラスチック」は避けよう
🇺🇸アメリカでは厳しい規制対象
- トランス脂肪酸は「食べるプラスチック」とも呼ばれ、健康への害が広く認識されている
🍶お酒は血糖値にどう影響する?糖質とGI値から見る正しい飲み方
🍶アルコールはGI値の低い飲み物?
🥃蒸留酒はGI値が低く血糖値を上げにくい
- ウイスキー・ブランデー・バーボン・焼酎などの蒸留酒のGI値は約30
- 糖質を含まないため、血糖値の上昇をほとんど起こさない

🍺醸造酒は血糖値に影響する
🍷日本酒・ビール・紹興酒・ワインの特徴
- 醸造酒には糖質が含まれており血糖値が上昇
- GI値は35前後で一見低めでも、糖質はしっかりある
- ワインは糖質が少なめなので2~3杯程度ならOK
⚖️蒸留酒でも飲み方に注意!
🚫大量摂取はNG
- ビールのようにぐいぐい飲むのはNG
- GI値が低くても、飲み過ぎれば総摂取カロリーが増加
🧮「適量の酒」とはどのくらい?
🧠体重によって許容量が変わる
- アルコールの分解能力は体重によって異なる
- 目安:
- 体重50kgの人:基準量
- 体重70kgの人:1.4倍
- 体重40kgの人:0.8倍
🧬健康への影響を考慮して適量を守ろう
💡肝臓や尿酸値への配慮が必要
- 適量とは、肝臓や尿酸値に影響を与えない範囲
- 「GI値が低い=安心」と思いすぎず、節度ある飲酒が大切
🧬腸内フローラとは?
🌿腸内に広がる“細菌の生態系”
- 腸内には数百種類以上の細菌が生息
- これらのバランスは**「腸内フローラ(腸内細菌叢)」**と呼ばれ、個人ごとに異なる
⚖️腸内細菌と全身の健康の関係
❤️腸が担う驚くべき役割
- 腸内細菌は糖尿病・高脂血症・高血圧・がんなどの生活習慣病に関係
- さらに、肌の老化やうつ病にも影響を及ぼすことが分かってきている
🧠「腸は第2の脳」と呼ばれる理由
🍽️太りやすさ・痩せやすさは腸内環境で決まる
- 同じ食事量でも太る人・太らない人がいる
- その差は腸内細菌のバランスにある
🐷「デブ菌」と「痩せ菌」の存在
🔬太る原因は腸内のバランスにあった
- 通称「デブ菌」の多い腸内環境は太りやすい
- 一方で「痩せ菌」が優勢だと、代謝が良くなり太りにくい体質に
🧪腸内細菌移植の実験で判明した事実
🧫ラットでの実験結果
- 太ったラットの腸内細菌を移植すると、正常なラットも太る
- 逆に、正常な腸内細菌を移植すると痩せていくという研究結果も

✅理想的なバランスは「デブ菌4:痩せ菌6」
🥗腸活で体質を改善しよう
- 腸内細菌のバランスを意識することで、健康と体型の両方をコントロール可能
- 食事・運動・生活習慣の見直しがカギ
🥗腸内フローラは食事で改善できる!
example
01

ヨーグルト
example
02

納豆
example
03

野菜
🌿痩せ菌を増やす食材とは?
- **納豆菌や乳酸菌(ヨーグルトなど)**は善玉菌を増やす
- 食物繊維を多く含む野菜類はデブ菌を減らすサポートに
🍯ヨーグルト+ひと工夫で腸にやさしい!
🍶ホットヨーグルトのすすめ
- ヨーグルトに適量の蜂蜜またはオリゴ糖+少量の水を加えて混ぜる
- 電子レンジで加熱するだけで、腸に優しいホットヨーグルトが完成
🚽便秘対策にも効果的!
✅お腹を冷やさず吸収力もアップ
腸内環境を整え、便通改善にもおすすめ
ホットヨーグルトはカルシウムの吸収を高め、腸を冷やさない
🩺江戸川区篠崎にお住まいの皆さまへ

実は「糖尿病」と「お口の健康」には深い関係があることをご存知ですか?糖尿病の方は歯周病が進行しやすく、逆に歯周病が血糖コントロールを悪化させることもあるため、定期的な歯科検診がとても重要です。
当院では、糖尿病とお口の健康の関係に注目し、歯周病の早期発見・治療に力を入れています。
全身の健康を守るためにも、ぜひお気軽にご相談ください。
【動画】歯周病の手遅れの症状
筆者・院長

深沢 一
Hajime FUKASAWA
- 登山
- ヨガ
メッセージ
日々進化する歯科医療に対応するため、毎月必ず各種セミナーへの受講を心がけております。
私達は、日々刻々と進歩する医学を、より良い形で患者様に御提供したいと考え、「各種 歯科学会」に所属すると共に、定期的に「院内勉強会」を行う等、常に現状に甘んずる事のないよう精進致しております。 又、医療で一番大切な事は、”心のある診療”と考え、スタッフと共に「患者様の立場に立った診療」を、心がけております。


