歯磨きで出血・歯茎のふくらみがある…糖尿病の方に必要な歯周病対策とは?
-
糖尿病で歯周病です。歯茎から出血と小さな腫れがある場合、適切なブラッシングで改善は可能ですか?
質問お尋ねいたします。 現在、2型糖尿病で投薬治療を行っています。
歯周病用の歯ブラシと歯磨きでブラッシングしていますが、そのたびに出血します。 定期的に歯間ブラシも使っているのですが、その効果はあまり顕著ではありません。
最近、歯茎にプクッとした小さなふくれができ、いつのまにか治るという状態が続いています。 さらに、堅いものを噛むと奥歯がきしむような軽い痛みを感じます。
こうした状態の場合、適切なブラッシングで症状は改善しえるのでしょうか。 それとも外科的な処置が必要になって来るのでしょうか。 -
🩸【1】歯ブラシで出血するのは歯周病のサイン!
- 出血は歯周病による炎症の現れです
- 特に糖尿病の方は歯周病が進行しやすいので要注意
🪥【2】出血してもやさしく丁寧にブラッシングを!
- 出血があっても磨き続けることが大切
- 歯肉の状態が改善されていきます
🧵【3】歯間ブラシとポイックウォーターの併用を推奨
- 歯間ブラシで歯と歯の隙間も清潔に
- ポイックウォーターで歯周病菌を減らす効果も期待
🧠【4】歯茎のふくれは放置しないで!
- 歯茎の境目:歯周病の可能性
- 歯根の近く:根の病気(フィステル)→ 根管治療が必要
🦠【5】重度の歯周病はブラッシングだけでは治りません
- 深い歯周ポケットがある場合、プロの治療が必要
- 歯周病菌のコントロールが治療のカギ
🏥【6】歯科医院での専門的な治療を受けましょう
- 症状に応じて歯周外科も検討されます
- 当院ではPMTCやエアフローで徹底クリーニング
🔄【7】治療後も定期メンテナンスが大切
歯周病のコントロールには継続的なケアが不可欠です
症状が落ち着いても再発予防のために継続通院を
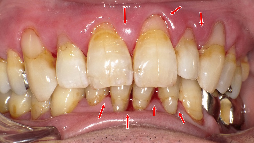
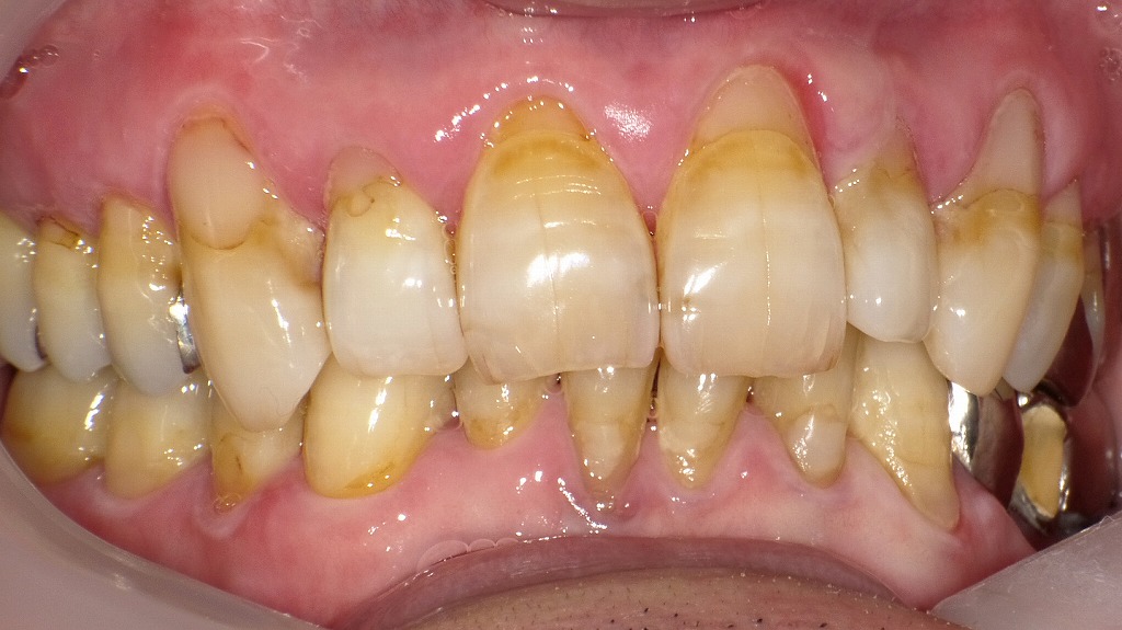
糖尿病と歯周病の悪循環と改善経過|炎症部位・磨き残し・治療効果が一目で分かる症例
糖尿病で歯周病が悪化しやすい理由|腫れ・出血・縁下歯石の典型例
① 正面写真:歯肉の腫れ・出血・プラークの付着が顕著

歯肉が全体に腫れ、軽度の自然出血が確認できる状態。
プラークと縁下歯石が歯周炎を助長し、糖尿病による治癒力低下で炎症が強く出ています。赤矢印で示されるのは、
- 歯肉の腫れ(発赤・膨隆)
- 軽度の自然出血
- 歯肉縁上のプラーク(細菌の塊)と着色
- 歯肉縁下の歯石が疑われる部位
糖尿病があると、血糖コントロール不良により歯肉の炎症が強まり、同じ量のプラークであっても腫れや出血が起きやすいのが特徴です。
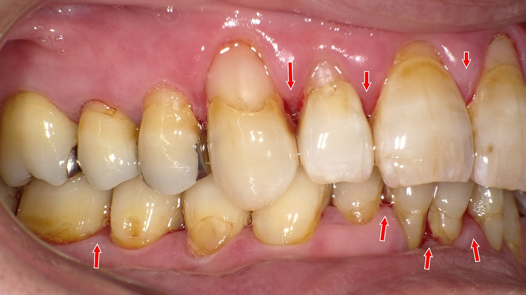
また治癒力が下がるため、炎症が長引きやすく、歯周病が進行しやすくなります。② 右側写真:縁下歯石と歯肉の炎症反応の増大

歯の根元にプラークと縁下歯石が多く付着し、歯肉が赤く腫脹。
糖尿病により炎症反応が増幅し、出血しやすい歯肉の典型例です。右側の画像では、以下の所見が明確です。
- 歯肉が丸く腫れ、縁下歯石による歯肉縁の赤みと出血
- 歯の根元に付着したプラーク・バイオフィルム
- 歯肉の引き締まりが弱く、糖尿病特有の浮腫状の歯肉がみられる
縁下歯石は歯周病を加速させるため、糖尿病患者では特に**早期のスケーリング・ルートプレーニング(SRP)**が重要です。
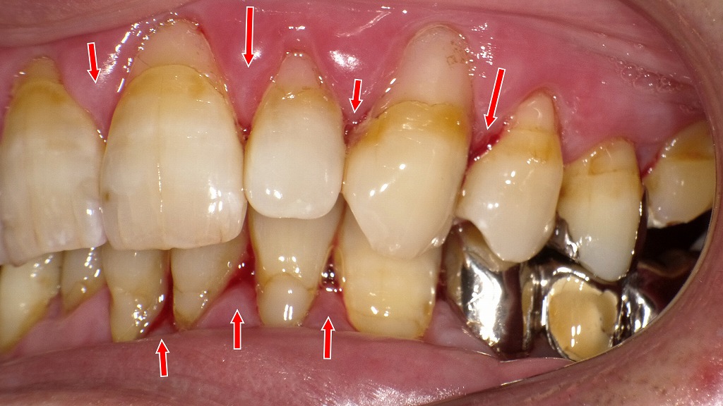
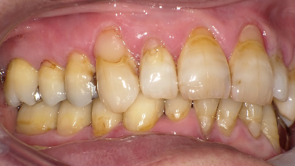
③ 左側写真:広範囲にわたる歯周炎の兆候

広範囲に歯肉の腫れと発赤があり、歯間部には隠れた出血点が多数。
血糖コントロール不良が歯周病の進行を加速させています。左側の画像でも、
- 歯頰側の歯肉がぷっくりと腫れている
- 歯間の歯肉が赤く、**隠れた出血ポイント(BOP)**が多数
- 歯の根元の茶色い付着物はプラーク~縁下歯石の混合
糖尿病による血流障害や免疫力低下により、炎症がさらに助長されている所見として典型的です。
糖尿病があると歯周病が悪化しやすい理由
- 免疫力の低下で細菌に対する抵抗力が弱くなる
- 血管障害で歯肉の治癒力が低下
- プラークに対する炎症反応が強く出る
- 縁下歯石がつきやすい傾向
- 歯周病が悪化すると逆に血糖値が上がりやすくなる(双方向性)
磨き残しチェック:染め出しで見える歯周炎のリスク部位
この写真は、歯の表面に残ったプラーク(歯垢)を染め出した状態を示しています。染め出し液によって赤〜ピンク色に染まっている部分が、**磨き残しのある細菌の塊(バイオフィルム)**です。

赤く染まった部分はプラーク(細菌の塊)で、磨き残しが集中している部位です。
炎症や出血が起きていた場所と染色部位が一致しており、歯周病の進行原因が明確に示されています。① 歯肉縁上に広くプラークが付着
前歯部・犬歯部を中心に、歯と歯ぐきの境目が濃く染まっています。
この部分の磨き残しは**歯肉の炎症(腫れ・出血)**をもっとも引き起こしやすい部位です。② 歯間部に強い染まり:歯間清掃不足の所見
歯と歯の間が特に強く染まっており、
- フロス
- 歯間ブラシ
が十分に使えていない状態が反映されています。
歯間部の磨き残しは、縁下歯石の形成や歯周ポケットの悪化につながりやすい場所です。③ 糖尿病患者に特徴的な炎症の強さと一致
もともと腫れ・出血が確認されていた部位と、今回濃染されている部位が一致しており、
プラークの付着が歯周炎をさらに悪化させていることが明確に示されています。糖尿病があると、同じ量のプラークであっても
- 炎症が強く出る
- 出血しやすい
- 歯周病が進行しやすい
という特徴があるため、この染め出し結果は病態をよく反映しています。
④ 下顎前歯部:特にプラークが厚く付着
下顎前歯の裏側〜歯肉との境界は、唾液腺の影響で歯石がつきやすい場所でもあり、今回も強く染まっています。
この部位の清掃改善は、治療効果に直結します。歯磨き指導と歯石除去後で歯ぐきの炎症が大きく改善
① 正面写真:歯肉の炎症が大きく改善した状態

歯磨き指導と歯石除去により、歯肉の赤み・腫れが大幅に改善。
プラークと縁上歯石が除去されたことで、歯肉が引き締まり、出血の消失も確認できます。治療前に比べて、明らかに次の改善が確認できます。
【改善ポイント】
- 歯肉の赤み(発赤)が大幅に軽減
- 腫れが引き、歯肉の輪郭が明瞭に
- 自然出血が消失し、引き締まった歯肉に近づいている
- 前歯部の縁上歯石と着色の減少が明らか
歯肉が落ち着いており、プラークコントロールが改善したことに加え、スケーリングによる刺激源除去が効果的であったと考えられます。
② 右側写真:歯肉縁の炎症の沈静化とプラーク減少

治療前に強く出ていた歯肉炎症が、清掃指導とスケーリング後に明らかに軽減。
健康なピンク色に近づき、歯肉の輪郭もはっきりと見えるようになりました。治療前は腫れと強い発赤、縁下歯石が疑われる状態でしたが、治療後は以下の改善が見られます。
【改善ポイント】
- 歯肉の色調が健康なピンクに近づいた
- 歯肉の腫脹が軽減し、ポケット辺縁の形が明確に
- 歯の根元のプラークが減少
- ブラッシング指導が反映され、歯間部の汚れが大幅に減少
右側は特に炎症が強かった部位ですが、ホームケアの改善がよく反映された写真です。
③ 左側写真:プラークコントロールの習得が反映された清潔な状態

磨き方の見直しと歯石取りで、歯ぐきの赤みや腫れが落ち着きました。
歯ブラシがきちんと当てられるようになり、お口全体が清潔な状態になっています。左側も治療前と比較し、次のような大きな変化が確認できます。
【改善ポイント】
- 縁上歯石の除去により、歯肉縁の赤みが減少
- 歯間部・歯頸部のプラークが明らかに少ない
- 炎症による光沢(浮腫状のテカリ)が減少し、健康歯肉に
- 全体的にブラッシングが均等に行われている印象
歯肉の腫れが引いたことで、治療前には見えにくかった歯の形態も明瞭になっています。
🦷江戸川区篠崎で糖尿病と歯周病のケアにお悩みの方へ

糖尿病の方は歯周病が進行しやすく、歯茎からの出血や腫れが続くこともあります。当院では、糖尿病患者さんのための歯周病治療やケア指導を専門的に行っております。
「プクッとした腫れが気になる」「ブラッシングしても良くならない」など、気になる症状があれば早めの受診をおすすめします。
江戸川区篠崎エリアで信頼できる歯科医院をお探しの方は、ぜひお気軽にご相談ください。
【動画】歯周病の手遅れの症状
筆者・院長

深沢 一
Hajime FUKASAWA
- 登山
- ヨガ
メッセージ
日々進化する歯科医療に対応するため、毎月必ず各種セミナーへの受講を心がけております。
私達は、日々刻々と進歩する医学を、より良い形で患者様に御提供したいと考え、「各種 歯科学会」に所属すると共に、定期的に「院内勉強会」を行う等、常に現状に甘んずる事のないよう精進致しております。 又、医療で一番大切な事は、”心のある診療”と考え、スタッフと共に「患者様の立場に立った診療」を、心がけております。


