
歯ぐきの健康状態を調べる“プロービング検査”をご存じですか?🦷 プローブという細い器具を使って歯周ポケットの深さを測定することで、歯周病の進行度を数値化できる大切な検査です。数分で終わる簡単な検査ですが、歯を長く守るためには欠かせません。
この記事では、プロービングの流れや数値の目安、痛みや出血の有無まで詳しく解説します。
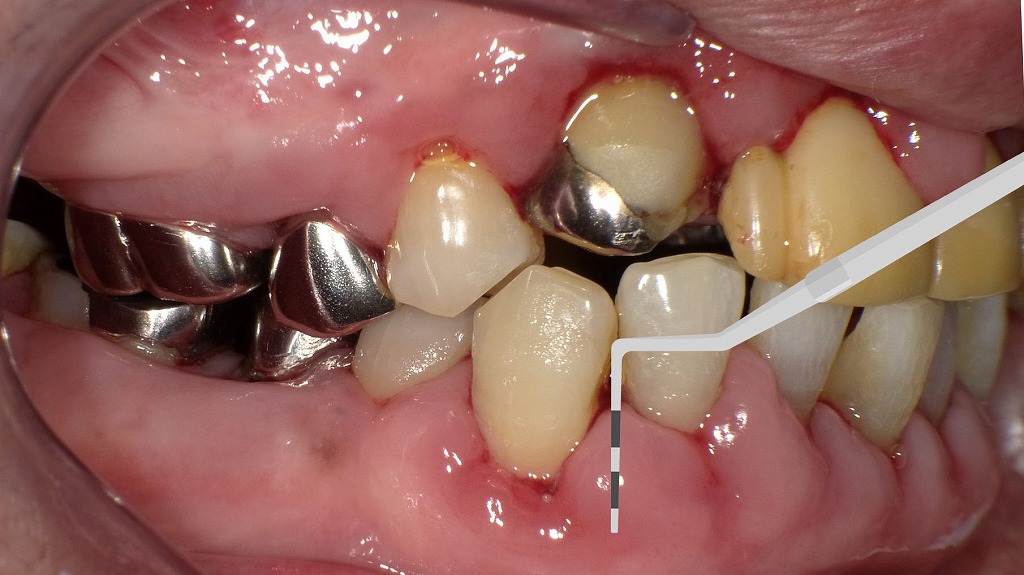
プロービングとは?歯周病を見逃さない大切な検査🦷✨
プロービングとは?
プロービングとは、歯科医院で行う「歯周ポケット測定検査」のことです。細い器具「プローブ」を歯と歯ぐきの間にそっと入れて、歯周ポケットの深さや出血の有無を調べます🔍。
この検査で歯周病の進行度を数値化できるため、歯周病治療に欠かせない大切なステップなのです。


プロービングでわかること📊
- 歯周ポケットの深さ
- 歯ぐきからの出血の有無
- 歯肉の炎症状態
数値や出血の有無は、歯ぐきの健康度を知るための大切なサインです。
プロービングの検査手順📝
まず、専用の「プローブ」という細い器具を使用します。
1️⃣ 歯と歯ぐきの間に軽く挿入
2️⃣ ポケットの深さを測定(1歯につき6点)
3️⃣ 出血や膿があるか確認
検査自体は数分で終わり、痛みはほとんどありません。炎症が強い部分では軽い痛みや出血が出る場合がありますが、一時的なものなので安心してください😊。
プロービングで測定される数値の目安📏

- 健康な歯ぐき:1〜3mm
- 軽度歯周病:4mm前後
- 中等度〜重度歯周病:5mm以上
数字が大きいほど歯周病が進行しているサインです⚠️。
プロービングで分かる歯周病の進行度:重度と健康な歯の明確な違い


〈解説-深い歯周ポケットが確認できる重度歯周病の状態〉
プローブを挿入すると、根の深い位置までスッと入ってしまい、明らかに深い歯周ポケットが形成されています。
X線上でも、歯根周囲の骨が大きく吸収されており、水平的・垂直的な骨欠損が認められます。
これは歯周病が進行し、歯を支える骨が減っている典型的な所見です。
ポケットが深いほど細菌が停滞しやすく、動揺・腫れ・出血・口臭などのリスクが高まります。
〈解説-浅いポケットで健康な歯周組織の状態〉
プローブを挿入しても、浅い位置(1〜3mm)で止まるのが確認できます。
X線でも、歯根を取り囲む骨がしっかりと存在し、歯槽骨の高さが正常に保たれています。
このように浅いポケットは、歯肉が引き締まり炎症の少ない健康な歯周組織の特徴です。
出血がある場合の意味💉
プロービング中に出血があった場合、それは歯ぐきの炎症や歯周病のサインです。
「出血=危険」と捉えるのではなく、「早期発見できた」と前向きに考え、歯科医院での治療やセルフケアの見直しにつなげましょう✨。
他の検査との違い🔎
- レントゲン:骨の状態を確認できる
- プロービング:歯ぐきの健康度を数値で把握できる
両方を組み合わせることで、より正確な診断が可能になります。
プロービングのメリット・デメリット⚖️
✅ メリット
- 歯周病を早期発見できる
- 数値で進行度を把握できる
- 治療効果の確認に役立つ
⚠️ デメリット
- 炎症がある部分では軽い痛みや出血が出ることがある
プロービングの結果をどう活かす?💡

- 定期検診で継続的にチェック
- 歯周病治療の進行管理に活用
- セルフケア(歯磨き・フロス)の改善につなげる
結果を一度確認して終わりではなく、定期的に受けることで「歯を守る習慣」につながります。
まとめ🦷✨
プロービングは、歯周病を早期に見つけて治療につなげるための欠かせない検査です。数分で終わる簡単な検査ですが、あなたの歯の健康を守る大きな役割を果たします。
「最近歯ぐきが腫れている」「歯磨きで血が出る」という方は、ぜひ定期検診でプロービングを受けてみましょう😊。
江戸川区篠崎で歯周病の検査・予防をお考えの方へ🦷

歯ぐきからの出血や腫れが気になる方は、江戸川区篠崎の当歯科医院へ。プロービング検査で歯周ポケットを正確に測定し、歯周病の進行度をわかりやすくご説明いたします。🦷
歯周病を数値で管理し、患者さま一人ひとりに合わせた予防ケアをご提案いたします。
筆者・院長

深沢 一
Hajime FUKASAWA
- 登山
- ヨガ
メッセージ
日々進化する歯科医療に対応するため、毎月必ず各種セミナーへの受講を心がけております。
私達は、日々刻々と進歩する医学を、より良い形で患者様に御提供したいと考え、「各種 歯科学会」に所属すると共に、定期的に「院内勉強会」を行う等、常に現状に甘んずる事のないよう精進致しております。 又、医療で一番大切な事は、”心のある診療”と考え、スタッフと共に「患者様の立場に立った診療」を、心がけております。


