- 1. ペットボトル症候群とは?
- 1.1. ペットボトル症候群と虫歯の関係
- 1.2. ペットボトル症候群と歯周病の関係
- 2. ■ ペットボトル症候群と虫歯・歯周病の悪循環
- 2.1. ペットボトル症候群が招く口腔トラブル|虫歯と歯周病が同時進行する理由
- 2.1.1. ◆ ① プラーク(細菌の塊)が歯面にべったり付着
- 2.1.2. ◆ ② 歯肉炎〜歯周病のサイン
- 2.1.3. ◆ ③ 酸に弱くなった歯面に虫歯リスク
- 2.1.4. ◆ ④ 歯肉近くの歯面の荒れ(酸蝕・歯磨き過多含む)
- 3. ペットボトル症候群の症状と口腔内への影響
- 4. 歯科医院でできる予防とケア
- 5. 自宅でできる予防習慣
- 6. まとめ
- 7. 🌸 江戸川区篠崎で「甘い飲み物をよく飲んでいる」「最近体調が気になる」という方へ
- 8. 【動画】ステイン着色汚れをクリーニングするエアフロー
- 9. 筆者・院長

✅ 近年「ペットボトル症候群」という言葉を耳にする機会が増えています。🧃
清涼飲料水を飲みすぎることで血糖値が乱れ、糖尿病のリスクを高めるだけでなく、虫歯や歯周病の悪化にも直結します。
「喉が渇くからつい飲んでしまう…」という習慣が、気づかないうちにお口と体の健康をむしばむ原因になるのです。
ペットボトル症候群とは?
「ペットボトル症候群」とは、清涼飲料水を過剰に飲み続けることで血糖値が乱れ、糖尿病性ケトアシドーシスを引き起こす状態のことです🧃⚡。特に若者から高齢者まで幅広く発症する可能性があり、健康だけでなくお口のトラブルにも直結します。

ペットボトル症候群と虫歯の関係
ジュースや炭酸飲料に多く含まれる砂糖は、虫歯菌の大好物🍬。


- 🦠 菌が糖を分解して酸を出す
- 🦷 酸が歯のエナメル質を溶かす(脱灰)
- ⚠️ 虫歯の進行スピードが加速
結果として、短期間で虫歯が多発しやすくなります。
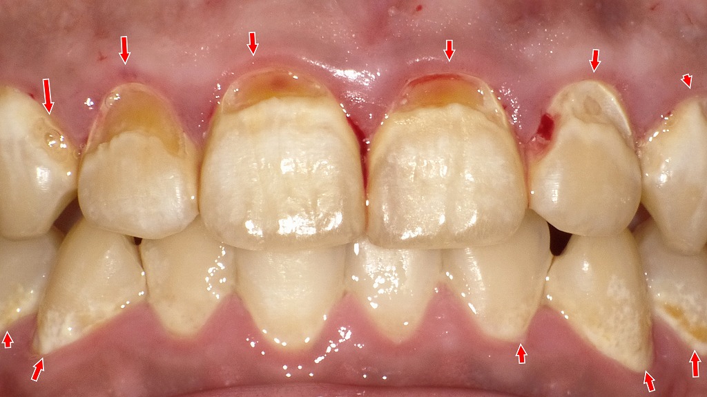
赤い矢印で示す部位は、前歯を中心に広がる初期〜進行した虫歯と歯肉炎の所見です。甘い清涼飲料水やスポーツドリンクを頻繁に摂取する「ペットボトル症候群」では、口腔内が長時間酸性環境となり、歯の表面が脱灰されやすくなります。その結果、歯の根元(歯頸部)や歯と歯の境目に虫歯が多発しやすく、同時に歯肉の炎症も起こりやすくなります。飲み物の種類や飲み方を見直すことが、虫歯予防の重要なポイントです。
ペットボトル症候群と歯周病の関係
糖分の過剰摂取は歯周病菌の増殖を促し、歯ぐきの炎症を悪化させます😣。
さらに血糖値が乱れると免疫機能が低下し、歯周病の進行を止めにくくなります。
特に糖尿病と歯周病は相互に悪化し合う関係にあるため、ペットボトル症候群は歯周病の重症化リスクを高めるのです。
■ ペットボトル症候群と虫歯・歯周病の悪循環
ペットボトル症候群が招く口腔トラブル|虫歯と歯周病が同時進行する理由
この写真には、砂糖入り飲料を日常的に摂ることで起こる典型的な口腔リスクが複数確認できます。

◆ ① プラーク(細菌の塊)が歯面にべったり付着
赤矢印の部分には、白っぽく膜のように見えるプラークが残っています。
清涼飲料水を頻繁に口にすると、口腔内は長時間「糖+酸」にさらされ、プラーク内の細菌活動が活発になり、
- 酸産生の増加
- 歯の脱灰(溶ける)
- 歯肉の炎症悪化
が起こりやすくなります。
◆ ② 歯肉炎〜歯周病のサイン
歯ぐきは赤みを帯び、丸く腫れています。
これはプラークに含まれる細菌により引き起こされる歯肉炎で、放置すると歯周病へ進行します。
ペットボトル症候群の人は、飲み物を頻繁に摂る分だけ、清掃が不十分になりやすく、歯茎の炎症が慢性化します。
◆ ③ 酸に弱くなった歯面に虫歯リスク
矢印で示した前歯表面には、
白濁(脱灰)や褐色の虫歯初期病変が見られます。
ペットボトル症候群では、
- 飲料の糖による酸産生
- 飲料そのものの酸性
- 飲み続けることで口内が常に酸性に傾く
という「二重の酸ストレス」により、虫歯が急速に進行しやすい状態になります。
細かいスナックや清涼飲料を常飲する人に典型的な所見です。
◆ ④ 歯肉近くの歯面の荒れ(酸蝕・歯磨き過多含む)
前歯歯肉付近に見られる茶色い変色や表面のざらつきは、
酸蝕症+プラークの褐色着色が混在している可能性が高い所見です。
清涼飲料水に含まれるクエン酸や炭酸によってエナメル質が軟化すると、ブラッシングによる摩耗も受けやすくなります。
ペットボトル症候群の症状と口腔内への影響

- 🚰 強い喉の渇き
- 💦 頻尿
- 📉 急な体重減少
- 😷 口臭の悪化
- 🩸 歯肉炎や歯周病の悪化
口腔トラブルは全身の症状と同時に出ることが多いため、注意が必要です。
歯科医院でできる予防とケア
- ✅ 定期検診で虫歯・歯周病の早期発見
- ✅ 歯石取りやクリーニングで口腔内環境を改善
- ✅ 食生活・飲み物の習慣改善のアドバイス
歯科医院では、お口だけでなく生活習慣も含めた健康指導を受けられます。
自宅でできる予防習慣
- 🚱 清涼飲料水を控え、水やお茶をメインにする
- 🪥 フッ素入り歯磨き粉で丁寧にブラッシング
- 🍽️ 規則正しい食生活と間食の見直し
- 🏃♂️ 適度な運動で血糖コントロール
小さな習慣の積み重ねが、虫歯や歯周病、そしてペットボトル症候群の予防につながります。
まとめ
ペットボトル症候群は全身の病気だけでなく、虫歯や歯周病を悪化させる大きな要因です。飲み物の選び方や生活習慣を見直し、歯科医院での定期的なケアを受けることが、健康を守る近道になります✨。
🌸 江戸川区篠崎で「甘い飲み物をよく飲んでいる」「最近体調が気になる」という方へ

江戸川区篠崎にある当歯科クリニックでは、虫歯・歯周病の治療だけでなく、生活習慣病と口腔の健康の関わりについてもサポートしています🦷。
「甘い飲み物をよく飲む」「最近歯ぐきの調子が悪い」と感じる方は、ぜひお気軽にご相談ください。篠崎駅南口徒歩1分で、地域の皆さまの健康を守ります。
【動画】ステイン着色汚れをクリーニングするエアフロー
筆者・院長

深沢 一
Hajime FUKASAWA
- 登山
- ヨガ
メッセージ
日々進化する歯科医療に対応するため、毎月必ず各種セミナーへの受講を心がけております。
私達は、日々刻々と進歩する医学を、より良い形で患者様に御提供したいと考え、「各種 歯科学会」に所属すると共に、定期的に「院内勉強会」を行う等、常に現状に甘んずる事のないよう精進致しております。 又、医療で一番大切な事は、”心のある診療”と考え、スタッフと共に「患者様の立場に立った診療」を、心がけております。


