- 1. 【🎞️38秒】口腔ケア革命!ポイックウォーターの効果と使い方を歯科医が紹介
- 2. 🧪 ポイックウォーターの基本情報
- 2.1. 💧 ポイックウォーターとは?
- 2.1.1. 🧪 有効成分と仕組み
- 2.1.2. 🔍 一般的な次亜塩素酸水との違い
- 2.1.3. 🧼 市販うがい薬との違い
- 2.1.4. ⚠️ 他の除菌水(例:パーフェクトペリオ)との違い
- 2.1.5. 💡 次亜塩素酸イオンの役割
- 2.1.6. 🧪 染め出しで確認できる効果
- 2.1.7. 🔬 実際の効果とエビデンス
- 2.2. 🛡 安全性は本当に大丈夫?
- 2.2.1. 👶 赤ちゃんやペットにも使える?
- 2.2.2. 📊 エビデンスと歯科医院での使用実績
- 3. 📊 ルドルフのグラフとは?
- 3.1. 🔍 ルドルフのグラフの見方
- 3.2. 🔬 除菌力とタンパク分解能力の対応表
- 3.2.1. ⚖️ 使用目的に応じたpHバランスがカギ
- 3.3. 🔬除菌力とタンパク分解能力の変化
- 4. 🦠 ポイックウォーターの効果とは?
- 4.1. 🦷 虫歯・歯周病予防への効果
- 4.1.1. 🧼 歯垢(バイオフィルム)除去効果
- 4.1.2. 🦠 殺菌作用と口臭予防
- 4.1.3. 🧪 フッ素との併用は可能?
- 4.2. 😷 ウイルス・感染対策としての活用
- 4.2.1. 🌀 ガラガラうがいの方法とタイミング
- 4.2.2. 🏥 医療現場での使用事例
- 5. 🧼 使用方法と注意点
- 5.1. 🪥 正しい使い方・頻度
- 5.1.1. 🔄 うがい・ブラッシング前の使用順序
- 5.1.2. 🕐 朝晩2回?いつ使えばいい?
- 5.1.3. 🦷 歯科でのプロフェッショナルケアとの併用
- 5.2. ⚠️ 使用上の注意点
- 5.2.1. 📅 開封後の使用期限と保管方法
- 5.2.2. 🧴 金属や衣類への影響
- 5.2.3. 🚫 誤飲時の対処方法
- 5.2.4. ⚠️着色のリスクと対策
- 6. 🏥 歯科医院での導入と販売状況
- 6.1. 🏫 導入している歯科医院の特徴
- 6.1.1. 😊 使用している理由と患者の反応
- 6.2. 🛍 市販と歯科専売品の違い
- 6.2.1. 💻 通販で買える?価格比較
- 6.2.2. 🛒 楽天・Amazon・公式サイトの違い
- 6.2.3. 🎁 試供や無料体験の有無
- 7. 🧭 こんな方におすすめ!
- 7.1. 👶 乳幼児・妊婦・高齢者にも安心?
- 7.2. 🐶 ペットのケアにも使える?
- 7.3. 💨 口臭や歯周病が気になる方へ
- 8. 🧪 次亜塩素酸と次亜塩素酸ナトリウムはまったくの別物
- 8.1. ⚖️ 次亜塩素酸 vs 次亜塩素酸ナトリウム【実験室レベルの比較】
- 8.2. 💧 残留塩素とは?
- 8.3. 🚰 水道水の安全性と残留塩素の基準
- 9. ❓ よくある質問(FAQ)
- 9.1. 💬 Q. 他のうがい薬との違いは?
- 9.2. 🦷 Q. 金属の詰め物がある人でも大丈夫?
- 10. 📚 専門家の見解と口コミまとめ
- 10.1. 🦷 歯科医師の評価・活用例
- 10.2. 💬 利用者の声とレビュー
- 11. 🛠️ポイックウォーターの作り方と使い方
- 11.1. 🛠️ ポイックウォーターの作り方(生成の流れ)
- 11.2. 🪥 ポイックウォーターの使い方
- 12. 価格
- 13. 👪江戸川区篠崎で口腔ケアに力を入れたい方へ
- 14. 【動画】自宅で実践|歯肉炎の治し方
- 15. 筆者・院長

💡最近、歯科医院でよく耳にする「ポイックウォーター」。
殺菌力が高く、安全性にも優れたこの電解水は、虫歯や歯周病、さらにはウイルス対策にも効果があると注目を集めています。
でも、「他のうがい薬と何が違うの?」「毎日使っても本当に安全なの?」と疑問を持つ方も多いのではないでしょうか。
この記事では、ポイックウォーターの【成分・効果・使い方・安全性】を歯科医の視点でわかりやすく解説。
購入方法や口コミ、どんな人におすすめかもまとめてご紹介します。
本気で口腔ケアを見直したい方は、ぜひ最後までご覧ください。
【🎞️38秒】口腔ケア革命!ポイックウォーターの効果と使い方を歯科医が紹介
🧪 ポイックウォーターの基本情報
💧 ポイックウォーターとは?
- ポイックウォーターは、RO水(純水)と精製塩を使って生成される「高機能電解水」です。
- 歯科専用の**洗口液(液体歯磨き)**として開発され、たんぱく質汚れやバイオフィルム(歯垢)を分解・除菌する力があります。


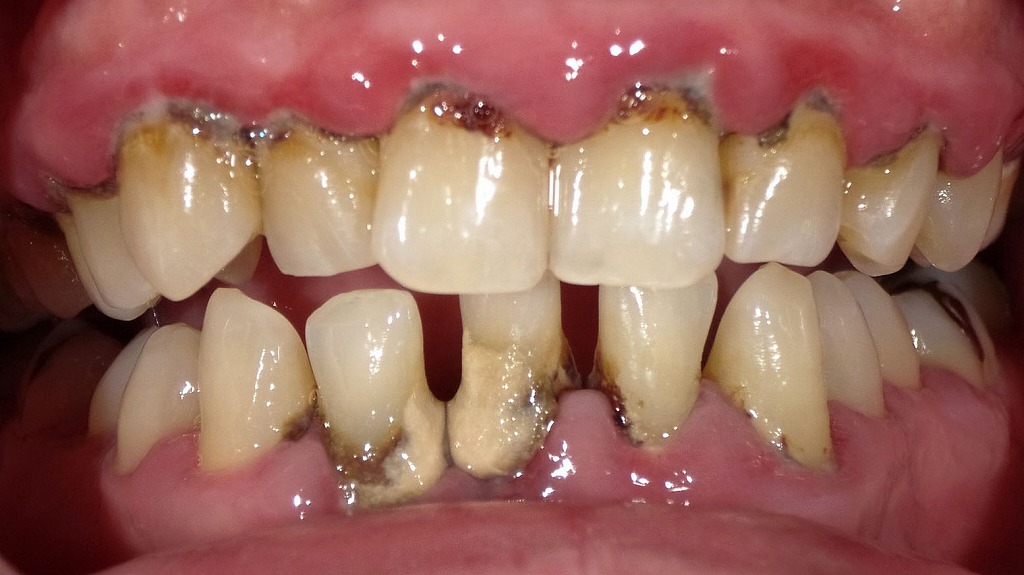
画像では、歯ぐきの腫れや発赤、歯の周囲に付着した歯垢・歯石がみられ、歯周病が進行している状態がうかがえます。
ポイックウォーターとは、次亜塩素酸を主成分とした殺菌水で、歯周病や口臭の原因となる細菌の数を減らす目的で使用されます。
歯周ポケット内の細菌に作用し、口腔内を清潔に保つ補助的なケアとして有効ですが、歯石そのものを除去することはできません。
歯周病の改善には、ポイックウォーターなどのケアに加え、歯科医院での専門的な歯周病治療が不可欠です。
🧪 有効成分と仕組み
- 主成分は、次亜塩素酸(HOCl)と次亜塩素酸イオン(OCl⁻)。
- OCl⁻がタンパク汚れを分解し、その後HOClが細菌を除菌する2段階構造になっています。
🔍 一般的な次亜塩素酸水との違い
- ポイックウォーターは化学薬品・保存料不使用で、電解生成直後の**“超新鮮な状態”での使用が前提**です。
- 一般の次亜塩素酸水に比べ、殺菌力・分解力が高く、残留性や刺激が少ないのが特長です。
🧼 市販うがい薬との違い
- 市販のうがい薬では、バイオフィルムの内部にいる細菌へ効果が届きにくいという弱点があります。
- ポイックウォーターは、バイオフィルムごと分解・除菌するため、より根本的なケアが可能です。
⚠️ 他の除菌水(例:パーフェクトペリオ)との違い
- 一部の酸性除菌水は、表面のタンパク質を変性させてしまい、かえって内部の細菌に届きにくくなることがあります。
- ポイックウォーターは、洗浄と除菌が同時に行えるのが大きな特長です。
💡 次亜塩素酸イオンの役割
- OCl⁻はpH8.0以上・濃度400ppm以上で高いタンパク分解力を発揮します。
- 除菌力はHOClが圧倒的に強く(約80倍)、OCl⁻は主に「洗浄担当」です。
🧪 染め出しで確認できる効果
- 一見きれいに見える歯でも、染め出し液を使うとプラークの残りが視覚化されます。
- ポイックウォーターで20秒洗口するだけで、多くのプラークが除去されることがわかります。



🔬 実際の効果とエビデンス
- 実験室では高い除菌効果が確認されていますが、口腔内での臨床エビデンスは限定的です。
- 現状では、日常のセルフケアを補強する目的での使用が現実的です。
🛡 安全性は本当に大丈夫?
ポイックウォーターは水と塩から作られているため、人体への毒性が極めて低く、安全性が非常に高いとされています。万が一、少量を飲み込んでも問題はなく、誤飲による事故例も報告されていません。
👶 赤ちゃんやペットにも使える?
その安全性の高さから、乳幼児や妊娠中の方、高齢者はもちろん、ペットの口腔ケアにも応用可能です。刺激が少なく、アルコールや界面活性剤も不使用なので、敏感な粘膜にも安心して使える点が特徴です。
📊 エビデンスと歯科医院での使用実績
日本全国の歯科医院でも採用が広がっており、定期的なクリーニングや歯周病治療、インプラント前後のケアに活用されています。また、口臭改善や感染対策としての効果に関する臨床報告も増えており、科学的根拠のある洗口液として評価されています。
📊 ルドルフのグラフとは?
次亜塩素酸(HOCl)と次亜塩素酸イオン(OCl⁻)の存在比率がpHによってどのように変化するかを示したグラフです。
除菌力・洗浄力の強さを理解するうえで、非常に重要な指標とされています。

🔍 ルドルフのグラフの見方
- pH9.0付近
→ 次亜塩素酸(HOCl):約5%
→ 次亜塩素酸イオン(OCl⁻):約95%
➡ このpH領域ではたんぱく分解力に優れた洗浄性重視の状態になります。 - pH7.0付近
→ 次亜塩素酸(HOCl):約60%
→ 次亜塩素酸イオン(OCl⁻):約40%
➡ このpH領域では強い除菌力(殺菌性)を発揮します。
🔬 除菌力とタンパク分解能力の対応表
| pH値 | 主成分の比率 | 主な作用 |
|---|---|---|
| pH7.0 | 🧪 HOCl(60%) / 🧼 OCl⁻(40%) | 除菌力強め(菌を除去・清潔) |
| pH8.0 | 🧪 HOCl(25%) / 🧼 OCl⁻(75%) | バランス型(洗浄しながら除菌) |
| pH9.0 | 🧪 HOCl(5%) / 🧼 OCl⁻(95%) | たんぱく分解強め(汚れ分解・洗浄イメージ) |
⚖️ 使用目的に応じたpHバランスがカギ
- 洗浄(たんぱく分解)を重視したい場合はアルカリ寄り(pH8〜9)
- 除菌(細菌の無力化)を重視したい場合は中性寄り(pH6.5〜7.5)
ポイックウォーターはこのバランスを考慮して設計されており、「洗浄しながら除菌する」理想的な性質を実現しています。
🔬除菌力とタンパク分解能力の変化
うがい前
うがい時の液体歯磨きポイックウォーターは、残留塩素濃度が500ppm/PH9で、理論値では、次亜塩素酸が12.5ppm、次亜塩素酸イオンが487.5ppmの存在割合となります。
洗口時
液体歯磨きポイックウォーター10ccを口に含み洗口すると、まず縁上のプラークが洗浄されクロラミン臭(プールのような臭い)が発生し、次亜塩素酸イオンの濃度は激減し、次亜塩素酸の濃度が上昇します。
洗口20秒後
20秒後の残留塩素は、タンパク分解洗浄や除菌に消費され、 500ppmから約100ppmに減少しますが、酸性物質の微発生により、PH9からPH7近くに変化する為、次亜塩素酸と次亜塩素酸イオンの存在割合の逆転現象が起こり除菌力は5倍近くにもなります。
18℃から36℃への温度上昇
20秒の間に体温により18℃から36℃への温度上昇があり、この事から約4倍の能力になっていると考えられます。つまり除菌力は洗口で5×4=20倍になっていると考えられます。
🦠 ポイックウォーターの効果とは?
🦷 虫歯・歯周病予防への効果
🧼 歯垢(バイオフィルム)除去効果
ポイックウォーターの最大の特長は、たんぱく質を分解する力と殺菌力を兼ね備えている点です。歯の表面や歯周ポケットに付着した「バイオフィルム(歯垢)」は、通常のうがいでは落ちにくい厄介な汚れですが、ポイックウォーターはその膜を分解して、細菌ごと除去しやすくします。
🦠 殺菌作用と口臭予防
殺菌成分である次亜塩素酸(HOCl)は、虫歯菌・歯周病菌・嫌気性菌に高い効果を発揮します。これにより、口腔内の菌バランスを整え、炎症の原因や不快な口臭を根本から改善することが期待されます。
🧪 フッ素との併用は可能?
ポイックウォーターはフッ素と同時併用も可能です。ただし、ポイックウォーターでたんぱく汚れやバイオフィルムを分解除去した後に、フッ素を塗布するのが推奨される順番です。先に汚れを除去しておくことで、フッ素の再石灰化効果がより高まります。
😷 ウイルス・感染対策としての活用
🌀 ガラガラうがいの方法とタイミング
効果的な使い方は、朝・晩のうがいに加え、外出から帰宅後に30秒ほどガラガラうがいを行うことです。特に就寝前の使用は、就寝中の細菌繁殖を抑える効果が高く、おすすめです。
🏥 医療現場での使用事例
感染管理の意識が高い歯科医院では、治療前に患者さんにポイックウォーターでのうがいを行ってもらうことで、院内感染予防を実施しています。また、高齢者施設や小児歯科、妊婦歯科などでも、安全な除菌水として利用され始めています。
🧼 使用方法と注意点

🪥 正しい使い方・頻度
🔄 うがい・ブラッシング前の使用順序
ポイックウォーターは、歯磨き前に使用するのがポイントです。まずポイックウォーターで30秒〜1分程度ガラガラうがいをすることで、歯の表面に付着したたんぱく質汚れやバイオフィルムを分解します。その後にブラッシングを行うことで、より効率的に汚れを除去できます。
🕐 朝晩2回?いつ使えばいい?
理想的な使用タイミングは朝起きた直後と夜寝る前の1日2回です。特に寝る前の使用は、就寝中の細菌繁殖を抑えるうえで効果的。また、外出先から帰宅した後や、風邪やインフルエンザが流行している時期には、追加でのうがいもおすすめです。
🦷 歯科でのプロフェッショナルケアとの併用
ポイックウォーターは、家庭でのセルフケアだけでなく、歯科医院でのプロフェッショナルクリーニングと組み合わせるとさらに効果的です。特に歯周病治療中やインプラント治療の前後に使用することで、炎症の抑制や治癒促進が期待できます。
⚠️ 使用上の注意点
📅 開封後の使用期限と保管方法
ポイックウォーターは保存料を一切含まないため、開封後は約1ヶ月以内の使用が推奨されます。直射日光や高温多湿を避け、冷暗所に保管しましょう。冷蔵庫に入れてもOKですが、使用前には常温に戻すのが望ましいです。
🧴 金属や衣類への影響
ポイックウォーターには微量の次亜塩素酸が含まれており、金属製の容器には適しません。また、衣類に付着すると脱色の可能性があるため、うがい時には服を汚さないよう注意が必要です。
🚫 誤飲時の対処方法
万が一飲み込んでしまっても、ポイックウォーターは水と塩から作られているため少量の誤飲であれば基本的に問題ありません。ただし、大量に飲み込んだ場合や体調に異変がある場合は、念のため医療機関に相談してください。
⚠️着色のリスクと対策
ポイックウォーターにはたんぱく分解能力がある反面、歯の表面にある「ペリクル(再石灰化の足場となる膜)」の付着も阻害してしまいます。その結果、茶渋や着色汚れが付きやすくなることがあります。
➡ 対策としては、ホワイトニング用の歯磨き粉を併用することで着色を防ぐ効果が期待できます。
🏥 歯科医院での導入と販売状況
🏫 導入している歯科医院の特徴
😊 使用している理由と患者の反応
導入の理由としては、以下のようなポイントが挙げられます:
- 歯石除去前のたんぱく質分解効果が高く、施術がスムーズ
- 治療後の炎症予防に役立つ
- 安全性が高く、患者の不安が少ない
実際に使用している患者さんからは「口の中がスッキリする」「口臭が気にならなくなった」「治療後の痛みが軽減した」といった好意的な声が多く寄せられています。
🛍 市販と歯科専売品の違い
💻 通販で買える?価格比較
ポイックウォーターは、基本的には歯科医院で販売される「専売品」となっていますが、一部では楽天やAmazonなどの通販サイトでも取り扱いがあります。ただし、品質保持の観点から“生成直後”のフレッシュな製品が手に入るのは歯科医院のみです。
🛒 楽天・Amazon・公式サイトの違い
- 楽天・Amazon:価格は2,000〜3,000円前後/300mlが目安。販売者によって品質や製造日が異なるため、信頼できる業者からの購入が必要。
- 公式サイト(AT-MARK CONSUL.など):医院と同レベルの品質管理がされている場合が多く、セット購入で割安になるケースもあります。
🎁 試供や無料体験の有無
多くの歯科医院では、初回の検診や治療時に無料体験を実施しているところもあります。気になる方は、事前に医院に問い合わせてみるとよいでしょう。また、定期メンテナンスの際に小分けパックで提供する医院もあります。
🧭 こんな方におすすめ!

👶 乳幼児・妊婦・高齢者にも安心?
ポイックウォーターは薬剤を一切含まず、水と塩だけで生成されている電解水のため、小さなお子さまや妊娠中の方、ご高齢の方にも安心して使用できるのが大きな特徴です。特に、
- うがい薬の味や刺激に敏感な子ども
- 妊娠中のホルモン変化で歯ぐきが腫れやすい方
- 歯磨きが難しい要介護の高齢者
といった方々にとって、低刺激かつ高い除菌力を持つポイックウォーターは非常に有用です。
🐶 ペットのケアにも使える?
ポイックウォーターは犬や猫などペットの口腔ケアにも応用可能です。市販のペット用ケア用品と比較しても、
- 成分がシンプルで安心(無香料・無着色)
- 口の中を傷つけない刺激の少なさ
- 舐めても安全
という点で優れており、歯ブラシに抵抗があるペットにも「飲み水に少量混ぜる」「ガーゼで拭く」などの方法で取り入れられます。
※ただし、動物の種類や体調によっては使用を避けるべき場合もあるため、動物病院での確認をおすすめします。
💨 口臭や歯周病が気になる方へ
ポイックウォーターは、口臭の原因となる「たんぱく汚れ」や「歯周病菌」などの除去に特化した洗口液です。朝の口臭が気になる方や、歯周病の進行を抑えたい方にとって、
- バイオフィルムの分解
- 歯周病菌の殺菌
- 舌苔の軽減
といった効果により、日常的なセルフケアの質を格段に高めることができます。
特に「口臭対策はしているけど効果を感じない」「歯科検診で歯周病の初期と指摘された」などの方は、歯科医院での導入を一度検討してみる価値ありです。
🧪 次亜塩素酸と次亜塩素酸ナトリウムはまったくの別物
「名前が似ている」だけで混同されやすい次亜塩素酸(HOCl)と次亜塩素酸ナトリウム(NaClO)は、性質も用途もまったく異なる物質です。以下に両者の比較を示します。
⚖️ 次亜塩素酸 vs 次亜塩素酸ナトリウム【実験室レベルの比較】
| 項目 | 次亜塩素酸(HOCl) | 次亜塩素酸ナトリウム(NaClO) |
|---|---|---|
| 皮膚・粘膜への影響 | ほぼ無害。微酸性〜弱アルカリ性で刺激が少ない。 | 強アルカリ性。苛性ソーダを含み、粘膜や皮膚には有害。 |
| 殺菌効果 | 高い。ナトリウム塩の10~100倍の殺菌力を持つ。 | 比較的低い(基準値1)。 |
| B型肝炎ウイルスへの効果 | 濃度10ppmで30秒で死滅。 | 濃度1000~2000ppmで20分~1時間かかる。 |
| 細菌芽胞(枯草菌)への効果 | 濃度10ppmで10分以内に100%死滅。 | 濃度100ppmで5分間で99.9%死滅。 |
| 器具への影響 | 中性で腐食性が低く、器具に優しい(使用後の水洗が望ましい)。 | 強アルカリのため器具を傷めやすい。 |
💧 残留塩素とは?
「残留塩素」とは、次亜塩素酸(HOCl)と次亜塩素酸イオン(OCl⁻)の総量を指し、水中の消毒力を維持する重要な成分です。
🚰 水道水の安全性と残留塩素の基準
- 日本の水道水が安全なのは、適正な残留塩素が保たれているからです。
- 水道法により、以下の基準が定められています:
- 一般細菌数:1ccあたり100個以下
- 蛇口での残留塩素濃度:0.1ppm以上
❓ よくある質問(FAQ)
💬 Q. 他のうがい薬との違いは?
A. ポイックウォーターは“たんぱく分解+殺菌”の両方を叶える洗口液です。
市販のうがい薬は主に殺菌・抗炎症成分で口腔内の菌を抑えることが目的ですが、ポイックウォーターは歯や歯ぐきに付着した**「バイオフィルム(たんぱく汚れ)」を分解する力**も持っています。そのため、歯周病や口臭の原因を根本から取り除くことができる点が大きな違いです。しかも無添加・低刺激で毎日使える点も安心です。
🦷 Q. 金属の詰め物がある人でも大丈夫?
A. 基本的には問題ありませんが、一部の金属素材には注意が必要です。
ポイックウォーターは弱酸性~中性の性質を持つため、金銀パラジウム合金などの保険診療で使われる金属とは基本的に反応しません。ただし、長時間にわたって濃縮された状態で接触し続けると、まれに変色や腐食のリスクが指摘されることもあるため、使用後は軽く水ですすぐと安心です。
📚 専門家の見解と口コミまとめ
🦷 歯科医師の評価・活用例
ポイックウォーターは、全国の予防歯科を重視する歯科医師たちから高く評価されています。特に以下のような声が多く見られます:
- 「バイオフィルム除去による歯周病管理がしやすくなった」
- 「治療前に使用することで、感染リスクを大きく下げられる」
- 「患者さんが自宅でもプロケアに近いレベルの口腔ケアを行える」
また、インプラントや歯周外科治療の前後にポイックウォーターを使用することで、炎症の抑制・治癒の促進に効果があったという報告もあります。とくに感染管理が求められる高齢者・妊婦・免疫力の低い患者にとって、低刺激で安心して使える点が高く評価されています。
💬 利用者の声とレビュー
実際にポイックウォーターを使った方からは、以下のようなポジティブなレビューが多数寄せられています:
- 「朝のネバつきがなくなって口の中がすっきり」
- 「歯ぐきの腫れや出血が改善された」
- 「マスクの中の口臭が気にならなくなった」
- 「家族で使えるからコスパもいい」
一方で、「市販のものよりもやや価格が高い」「保存期間が短い」といった声もありましたが、それ以上に安全性・除菌力・歯科医監修の信頼性を評価する声が圧倒的です。
とくに「歯科医院で説明を受けたうえで使い始めて良さを実感した」という意見が多く、専門家による適切な案内と組み合わせることで、満足度が高まる製品だといえるでしょう。
🛠️ポイックウォーターの作り方と使い方
🛠️ ポイックウォーターの作り方(生成の流れ)
- 💧【RO水(純水)を用意】
→ 不純物を取り除いた高純度の水を使用。 - 🧂【高純度の塩を加える】
→ 食塩ではなく医療グレードの精製塩を使用。 - ⚡【専用の電解装置で電気分解】
→ 電気の力で次亜塩素酸(HOCl)と次亜塩素酸イオン(OCl⁻)を生成。 - 🧪【完成:ポイックウォーター】
→ フレッシュな状態で即使用するのが理想。
🪥 ポイックウォーターの使い方
- 🧼【歯磨き前に使用】
→ まず口をすすいで、たんぱく汚れを除去しやすくする。 - 🌀【20〜30秒ガラガラうがい】
→ バイオフィルムを分解&殺菌。 - 🪥【その後に歯磨き】
→ 通常のブラッシングで効果アップ! - 🌙【使用のおすすめタイミング】
→ 朝起きた直後と夜寝る前がベスト。 - 🧴【使用後はしっかりキャップを閉め、冷暗所で保管】
→ 開封後は1か月以内に使い切りましょう。
価格
- 歯科医院でのみ購入可 -
| 通常ボトル付き価格 | 2,500円(税別) 2,750円(税込み) |
| 通常ボトル無し価格 | 2,000円(税別) 2,200円(税込み) |
👪江戸川区篠崎で口腔ケアに力を入れたい方へ

当院では歯科専用の高機能うがい液「ポイックウォーター」を導入しています。虫歯・歯周病・口臭・ウイルス対策に効果的で、赤ちゃんからご高齢の方まで安心してご使用いただけます。
初回体験も可能です。お気軽にご相談ください。
【動画】自宅で実践|歯肉炎の治し方
筆者・院長

深沢 一
Hajime FUKASAWA
- 登山
- ヨガ
メッセージ
日々進化する歯科医療に対応するため、毎月必ず各種セミナーへの受講を心がけております。
私達は、日々刻々と進歩する医学を、より良い形で患者様に御提供したいと考え、「各種 歯科学会」に所属すると共に、定期的に「院内勉強会」を行う等、常に現状に甘んずる事のないよう精進致しております。 又、医療で一番大切な事は、”心のある診療”と考え、スタッフと共に「患者様の立場に立った診療」を、心がけております。


