- 1. 🦷 ホワイトスポットはホワイトニングで消せる?
- 1.1. 🔍 エナメル質形成不全によるホワイトスポットとは
- 1.2. 💡 ホワイトニングでホワイトスポットはどう変わる?
- 1.3. ホワイトニングでホワイトスポットが目立たなくなった症例
- 1.3.1. 1枚目の画像:術前
- 1.3.2. 2枚目の画像:ホワイトニング後
- 1.4. ホワイトニングでホワイトスポットが僅かに改善した症例
- 1.4.1. 1枚目の画像:術前
- 1.4.2. 2枚目の画像:ホワイトニング後
- 1.5. ホワイトニングによりホワイトスポットが目立つようになった症例|術前・術後比較
- 1.5.1. 1枚目の画像:術前
- 1.5.2. 2枚目の画像:ホワイトニング後
- 1.6. 🦷 より自然に仕上げるための治療法
- 1.6.1. アイコン(ICON)によるホワイトスポット治療|削らずに自然な白さへ(術前・術後)
- 1.6.2. コンポジットレジンの経年劣化による変色例:色調不一致と辺縁部のステイン
- 1.7. 🌿 まとめ
- 2. 江戸川区篠崎でホワイトスポット治療をご希望の方へ🦷
- 3. 【動画】ホワイトスポットをアイコンで治す
- 4. 【動画】初期虫歯COを削らずに自分で治す方法
- 5. 筆者・院長

鏡を見たときに、前歯の表面に白い斑点やムラが見えたことはありませんか?
それは「ホワイトスポット」と呼ばれるもので、むし歯や汚れだけではなく、エナメル質形成不全が原因のことがあります。
歯が作られる過程でエナメル質がうまく成熟せず、一部が白く濁って見える状態です。
ホワイトニングをすると歯全体が白くなり、この白い斑点が「目立たなくなる」ことがありますが、
完全に消えるわけではありません。
本記事では、ホワイトスポットの原因と、ホワイトニングでどこまで改善できるのか、
さらに自然な仕上がりにするための治療法について詳しく解説します。
🦷 ホワイトスポットはホワイトニングで消せる?
🔍 エナメル質形成不全によるホワイトスポットとは

エナメル質形成不全は、歯が作られる時期に何らかの影響(高熱、栄養不良、外傷など)を受け、エナメル質のミネラル構造が部分的に弱くなることで発生します。
この部分は光の反射が異なるため、周囲より白く見えます。
ホワイトスポットの特徴は以下の通りです。
- 歯の表面が滑らかで、くぼみがない
- 痛みやしみがない
- 同じ歯列内で対称的に現れることが多い
💡 ホワイトニングでホワイトスポットはどう変わる?
ホワイトニングを行うと歯全体の色が明るくなり、周囲との色のコントラストが減少します。
これにより、ホワイトスポットが**「消えたように見える」または「目立たなくなる」**ことがあります。
ただし、ホワイトニングは「白い部分を溶かして消す」わけではありません。
エナメル質の構造そのものは変わらないため、ホワイトスポット自体がなくなるわけではない点に注意が必要です。
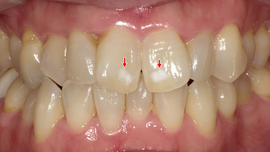
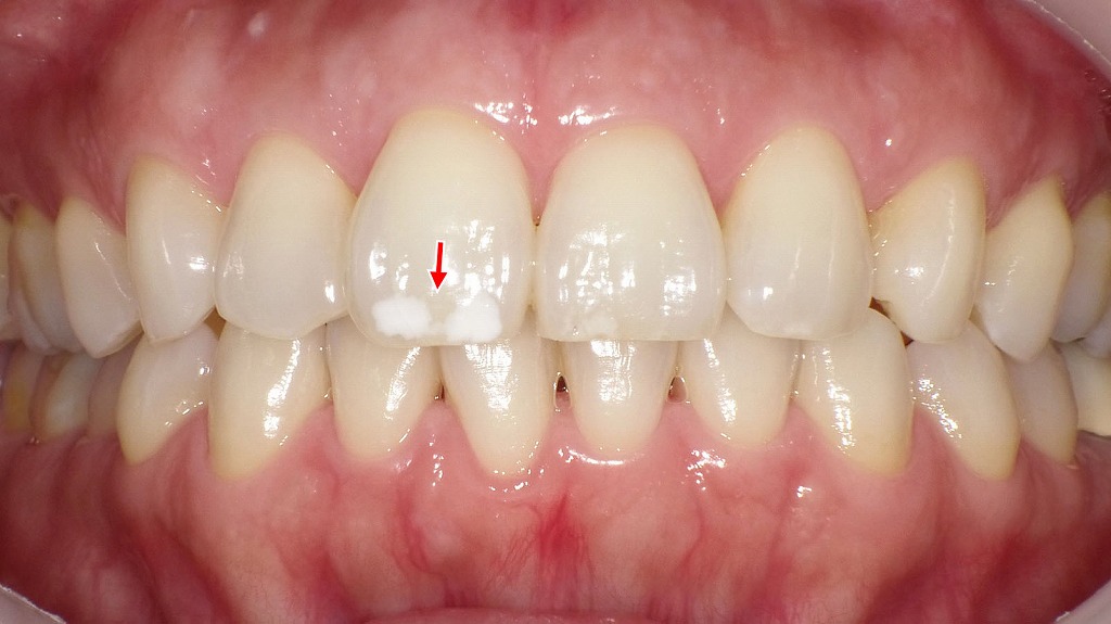
ホワイトニングでホワイトスポットが目立たなくなった症例


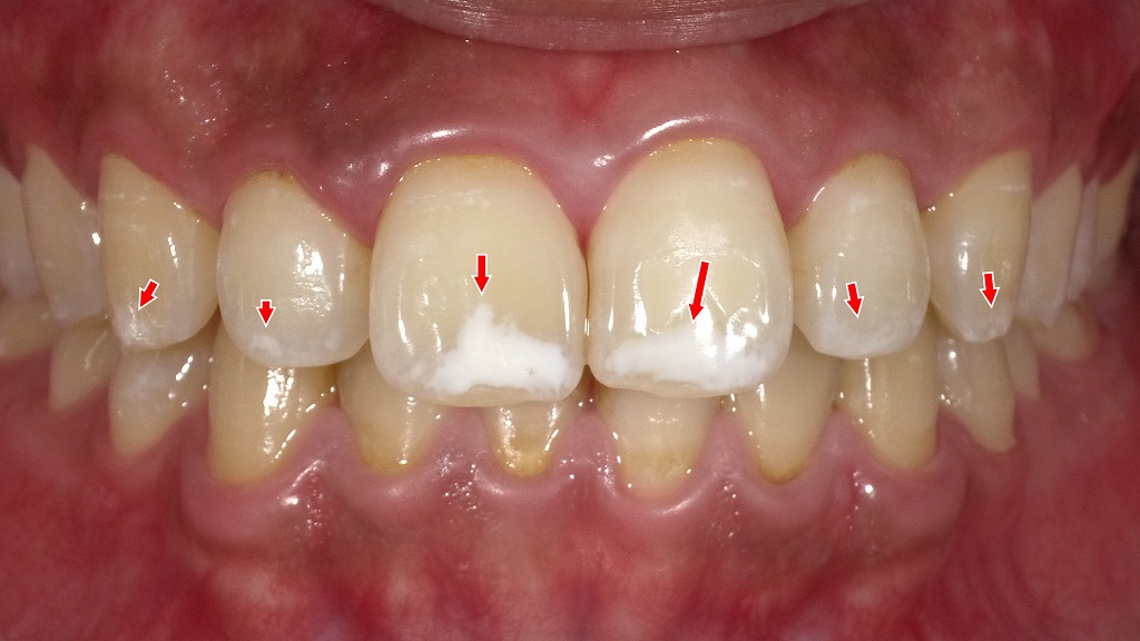
1枚目の画像:術前
1枚目の画像では、上顎前歯(特に中央の2本)に白く不透明な部分が見られます。これはエナメル質形成不全によるホワイトスポットです。歯が作られる発育期に、エナメル質のミネラルが十分に沈着せず、部分的に構造が弱くなった結果、光の反射が異なり白く濁って見える状態です。むし歯ではなく、表面は滑らかで痛みもありませんが、審美的に気になる方が多い症状です。
2枚目の画像:ホワイトニング後
2枚目の画像では、ホワイトニング後の状態を示しています。歯全体が明るくトーンアップしており、周囲の色とのコントラストが減少したことで、ホワイトスポットがほとんど目立たなくなっています。ホワイトニングによって歯全体の明度が上がることで、白斑が自然に馴染み、全体として均一な印象に改善されています。
このように、ホワイトスポット自体を「消す」ことはできませんが、ホワイトニングで目立たなくすることは可能です。
さらに自然な仕上がりを目指す場合は、アイコン治療(浸潤レジン)やMIペーストなどの併用で、より均一な透明感を取り戻すことができます。
ホワイトニングでホワイトスポットが僅かに改善した症例


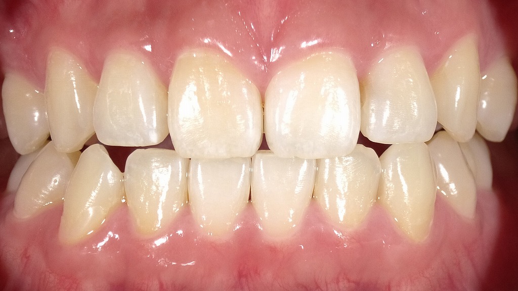
1枚目の画像:術前
1枚目の画像では、エナメル質形成不全によるホワイトスポットが確認できます。特に左上の中切歯(前歯の中央右側)に明瞭な白濁が見られ、隣接する側切歯や犬歯にも白い不透明な部分が点在しています。
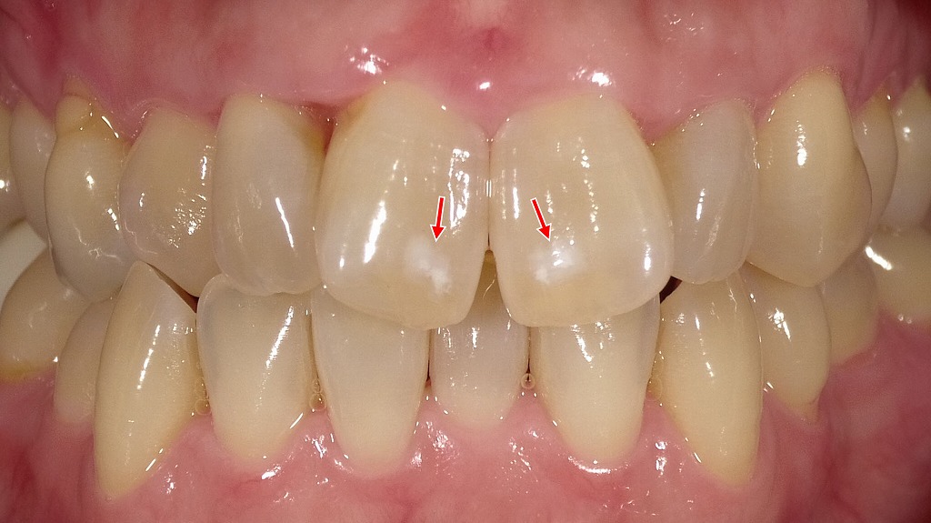
2枚目の画像:ホワイトニング後
2枚目の画像では、ホワイトニング処置後の状態です。歯全体の色調がやや明るくなり、周囲とのコントラストが緩和されたことで、ホワイトスポットがわずかに改善し、以前より目立たなくなっています。完全に消失したわけではありませんが、自然な色のなじみが得られています。
ホワイトニングによりホワイトスポットが目立つようになった症例|術前・術後比較


1枚目の画像:術前
ホワイトニング前の上顎前歯の状態です。
歯の表面に白斑(ホワイトスポット)は存在していますが、歯全体の色調がやや黄味を帯びているため、周囲の歯質とのコントラストが弱く、比較的目立ちにくい状態です。
2枚目の画像:ホワイトニング後
ホワイトニング後の上顎前歯です。
歯全体が明るく白くなったことで、エナメル質内の白斑(ホワイトスポット)が周囲との色差により、以前よりもはっきりと目立つようになっています。
ホワイトニングによって歯が白くなる一方、このようにホワイトスポットが強調されるケースもあります。
🦷 より自然に仕上げるための治療法
ホワイトニングで目立たなくならない場合、以下の治療法を組み合わせることもあります。
- MIペースト(CPP-ACP)塗布:カルシウム・リン酸を補給し、白斑の透明感を回復させる
- アイコン(浸潤レジン治療):ホワイトスポット内部にレジンを浸透させて見た目を均一にする
- コンポジットレジン修復:白斑部を最小限に削って同色の樹脂で修復する
これらを行うことで、ホワイトニング後の仕上がりをより自然に美しく整えることが可能です。
アイコン(ICON)によるホワイトスポット治療|削らずに自然な白さへ(術前・術後)


アイコン(ICON)は、歯を削らず、低侵襲なレジン浸潤により白斑が周囲の歯質となじみ、色調が自然に改善しています。
ホワイトニングだけでは改善しにくいホワイトスポットに対し、見た目の回復と歯質保存を両立できる治療法です。
コンポジットレジンの経年劣化による変色例:色調不一致と辺縁部のステイン

赤矢印は、コンポジットレジン修復の“辺縁部”に生じた褐線(マージナルステイン)を示しています。経年劣化によりレジン表面の微小な隙間に色素が侵入し、周囲の歯質と色調の差が目立っています。
色見本(A3)と比較すると、修復部位の変色が進行しており、審美性の低下が認められます。必要に応じて再研磨や再修復が検討されるケースです。
🌿 まとめ
- ホワイトスポットの原因は「エナメル質形成不全」が多い
- ホワイトニングで目立たなくなるが、完全に消えるわけではない
- MIペーストやアイコンなどの審美修復法を併用することで自然な改善が期待できる
江戸川区篠崎でホワイトスポット治療をご希望の方へ🦷

前歯の白い斑点が気になって笑顔に自信を持てない――
そんなお悩みは、ホワイトニングやアイコン治療などで自然に改善できる場合があります。
江戸川区篠崎の当歯科クリニックでは、ホワイトスポットの原因を丁寧に診断し、
歯の透明感を大切にした治療をご提案しています。
「ホワイトニングで本当に消えるの?」「どんな治療が合うの?」
といった疑問もお気軽にご相談ください。
自然で美しい笑顔を取り戻すお手伝いをいたします。
【動画】ホワイトスポットをアイコンで治す
【動画】初期虫歯COを削らずに自分で治す方法
筆者・院長

深沢 一
Hajime FUKASAWA
- 登山
- ヨガ
メッセージ
日々進化する歯科医療に対応するため、毎月必ず各種セミナーへの受講を心がけております。
私達は、日々刻々と進歩する医学を、より良い形で患者様に御提供したいと考え、「各種 歯科学会」に所属すると共に、定期的に「院内勉強会」を行う等、常に現状に甘んずる事のないよう精進致しております。 又、医療で一番大切な事は、”心のある診療”と考え、スタッフと共に「患者様の立場に立った診療」を、心がけております。


