- 1. 長年の実績で実現する安全で効果的な医療ホワイトニング
- 1.1. オフィスとホームの違いは?迷ったらホームホワイトニングを選ぶべき理由
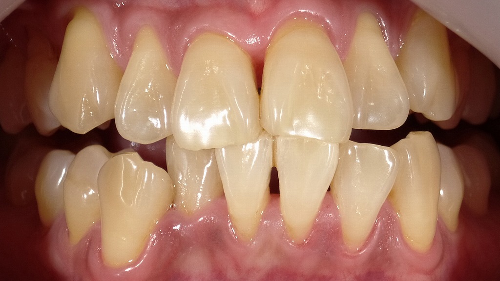
- 1.2. 🖼️ ホームホワイトニングの症例1
- 1.2.1. 【1枚目:ホワイトニング前】
- 1.2.2. 【2枚目:ホワイトニング後】
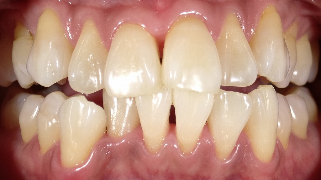
- 1.3. 🖼️ ホームホワイトニングの症例2
- 1.3.1. 【1枚目:ホワイトニング前】
- 1.3.2. 【2枚目:ホワイトニング後】
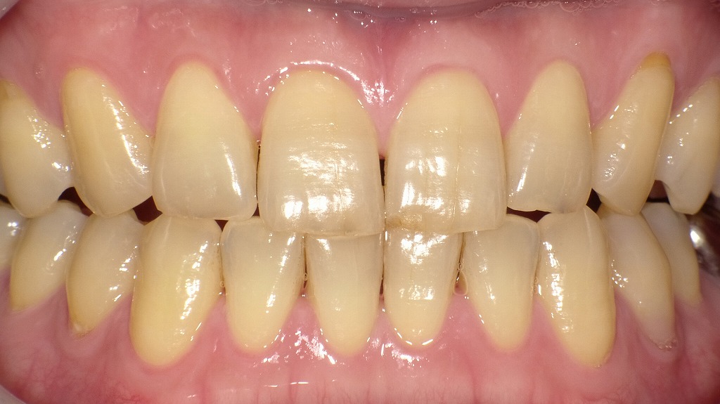
- 1.4. 🖼️ ホームホワイトニングの症例3
- 1.5. 【1枚目:ホワイトニング前】
- 1.6. 【2枚目:ホワイトニング後】
- 1.7. 日本人に優しいティオンホワイトニング:安心の低刺激で白い歯へ
- 1.7.1. ホームホワイトニング
- 1.7.2. ホームホワイトニングの結果に影響する5選
- 1.8. ホワイトニングジェルの正しい使用法:効果的な量と注意点
- 1.9. マウスピース洗浄法
- 1.10. ホームホワイトニングのデメリット・メリット
- 2. 日本人に最適なビヨンドホワイトニング:低刺激で快適なオフィスホワイトニング
- 2.1. オフィスホワイトニング
- 2.2. オフィスホワイトニングの効果と1回の施術でのシェード変化とその限界
- 2.3. 2回のオフィスホワイトニング効果
- 2.4. オフィスホワイトニングの流れ
- 2.5. オフィスホワイトニングのデメリット・メリット
- 3. 短期間で効果を実感!デュアルホワイトニングの魅力とは?
- 3.1. デュアルホワイトニングのメリット
- 4. ホワイトニング歯磨き粉の選び方:白さを維持するためのポイント
- 4.1. おすすめホワイトニング歯磨き粉(研磨剤なし)
- 4.2. ホワイトニング歯磨き粉の限界と効果
- 4.3. ホワイトニング歯磨き粉の効果的な使用方法と安全性
- 5. ホームホワイトニング中に痛みが出たら?効果的な対処法
- 5.1. ホームホワイトニング中の痛み対策
- 5.2. MIペースト
- 5.3. オフィスホワイトニング後の痛み対策
- 6. ホワイトニング中の食事制限:着色を防ぐためのガイドライン
- 6.1. ホームホワイトニング期間中の食事制限と注意点
- 6.2. オフィスホワイトニング後の食事制限
- 7. ホワイトニング前に必須!無カタラーゼ症の検査とその重要性
- 7.1. 無カタラーゼ症とホワイトニングのリスク:安全な施術のために
- 7.2. 妊婦中のホワイトニング
- 7.3. 授乳中のホワイトニング
- 8. セルフホワイトニングの限界:歯は本当に白くなるの?
- 8.1. セルフホワイトニングの限界
- 9. 江戸川区篠崎で痛みの少ない医療ホワイトニングをご希望の方へ
- 10. ホワイトニング記事一覧
- 11. 【動画】ホームホワイトニングの効果的なやり方
- 12. 筆者・院長
長年の実績で実現する安全で効果的な医療ホワイトニング

ふかさわ歯科クリニック篠崎では、10年以上前から医療ホワイトニングに力を入れております。長年の臨床経験により、どなたにも快適な施術を受けていただけるよう、低刺激で効果の高いホワイトニング剤をご用意しております。
現在、歯の色でお悩みでホワイトニング治療をご検討中なら、ご要望を考慮した上で歯科医院だからできる安全で効果的な医療ホワイトニングをご提案いたします。
オフィスとホームの違いは?迷ったらホームホワイトニングを選ぶべき理由
オフィスホワイトニングとホームホワイトニングの選択に迷っている方へ。結論から申し上げますと、ホームホワイトニングをお勧めします。以下に、その理由を詳しく解説いたしますので、参考にしてください。
🖼️ ホームホワイトニングの症例1


【1枚目:ホワイトニング前】
歯の表面に全体的なくすみが見られ、黄ばみが強めに残っています。特に前歯の色が濃く、隣の歯との色の差もやや目立つ状態です。日常の飲食(コーヒー・紅茶・お茶など)や加齢変化による着色が蓄積している印象があります。
【2枚目:ホワイトニング後】
ホワイトニング後は、歯全体の色調が明るくなり、黄ばみが軽減されています。自然な白さの範囲でトーンアップしており、周囲の歯との色のばらつきも少なくなっています。表面の透明感も増し、より清潔感のある口元になっています。
🖼️ ホームホワイトニングの症例2


【1枚目:ホワイトニング前】
歯全体に黄ばみがあり、特に前歯の色がやや濃く見えます。日常の着色(コーヒー・紅茶・お茶など)や加齢による歯質の変化が影響している状態です。透明感よりもややくすんだ印象が強く、色ムラも見られます。
【2枚目:ホワイトニング後】
ホワイトニング後は、歯の色調がワントーン明るくなり、全体が均一で自然な白さになっています。前歯の黄ばみが軽減され、清潔感のある印象に改善されています。歯面のツヤや透明感も増し、写真全体から明るさが感じられるようになっています。
🖼️ ホームホワイトニングの症例3


【1枚目:ホワイトニング前】
前歯を中心に全体的な黄ばみが見られ、特に上顎前歯の色が濃く、歯面がややくすんだ印象です。飲食による着色や加齢変化による歯質の濁りが影響している状態です。上下の歯の色調差も目立ちやすく、全体的にトーンが暗めです。
【2枚目:ホワイトニング後】
ホワイトニング後の写真では、歯全体の明るさが向上し、均一で自然な白さになっています。上顎前歯の黄ばみが大幅に軽減され、歯面の透明感とツヤが増して、清潔感のある印象に仕上がっています。上下の歯の色の統一感も改善されています。
日本人に優しいティオンホワイトニング:安心の低刺激で白い歯へ
ホームホワイトニング
ふかさわ歯科クリニック篠崎では、日本人向けに開発された国産の「ティオンホワイトニングシステム」を採用しています。アメリカ製のホワイトニング剤は、エナメル質が薄い日本人にとって刺激が強すぎる傾向があります。そのため、ホワイトニング初日から歯がしみてしまい、継続を断念する方も少なくありません。
しかし、ティオンホワイトニングは様々な技術革新により、比較的低い10%の過酸化尿素濃度でありながら高いホワイトニング効果を実現し、低刺激性という特徴を持っています。これにより、安心してホワイトニングを続けることができます。
ホームホワイトニングの結果に影響する5選
当院で行ったホームホワイトニングの症例をご紹介します。約2週間で、シェードA3.5からA2まで白くなりました。
ポイント
放置時間
ホームホワイトニングの放置時間は、8時間までなら長ければ長いほど効果が上がります。
ただし、厚生労働省により認可されたホームホワイトニングジェルは、安全面の配慮から使用時間を2時間までとしています。
効果が上がりにくい場合は、自己責任で少し放置時間を延ばすことも検討できます。
ポイント
期間
多くの場合、約2週間で効果が現れますが、さらに白さを追求する場合は、期間を延ばすと良いでしょう。期間が長くなるほど、白さはより際立ってきます。
ポイント
ジェル濃度
ホームホワイトニングジェルの濃度は、濃ければ濃いほど効果が上がります。しかし、日本人の場合は10%の濃度が適しています。
これは、日本人のエナメル質の厚みが欧米人に比べて薄いため、15%以上の濃度を使用すると知覚過敏が起こりやすいからです。
ポイント
タッチアップの頻度
ホームホワイトニングのタッチアップの頻度が増すほど、効果は向上します。
タッチアップを繰り返すことで、白さを維持しやすくなり、次のタッチアップまでの間隔が延び、最終的にはタッチアップの回数を減らすことも可能です。
ポイント
術前のクリーニング
術前にクリーニングや歯石取りを行うことで、ホワイトニングの効果が高まります。
ただし、歯茎を傷つけるほどのクリーニングや歯石取りを行った場合は、約2週間の間隔を空けてからホームホワイトニングを開始すると良いでしょう。クリーニング直後にホワイトニングを行うと、知覚過敏などの不快症状が出やすくなります。
ホワイトニングジェルの正しい使用法:効果的な量と注意点

ホワイトニングジェルをマウスピースに入れ過ぎない
ホワイトニング効果を高めようと、マウスピースにジェルを沢山入れすぎると、溢れて歯茎に痛みや白いただれが生じることがあります。
一歯当たり米一粒程度が適量の目安です。
10%の濃度のホワイトニングジェルならこういった問題は起こりにくいですが、高濃度のホワイトニングジェルの場合は特に注意が必要です。
ホワイトニングジェルの保存方法と有効期限について
ホワイトニングジェルは、開封後は冷蔵庫で保管すると2週間持ちます。
また、ホワイトニングジェルには有効期限があるため、期限内に使い切るようにしてください。
マウスピース洗浄法

マウスピースの正しいお手入れ方法
ホームホワイトニング後のマウスピースは、歯磨き粉や洗剤を使わずに水洗いし、風通しの良い場所で乾かしてください。
マウスピースは熱に弱いため、お湯で洗うのは避けてください。
水洗いだけでぬめりが気になる場合は、マウスピース用洗浄剤の使用をおすすめします。
ホームホワイトニングのデメリット・メリット
欠点
デメリット
デメリットは、最低でも2週間の長期間の実施が必要なことです。成果が不十分な場合は、さらに期間が延びることがあります。
利点
メリット
メリットは、白さの維持が長期間続くこと、全ての歯を均一に白くできることです。さらに、費用対効果が高い点も大きな利点です。
日本人に最適なビヨンドホワイトニング:低刺激で快適なオフィスホワイトニング
オフィスホワイトニング
当院では、「ビヨンドホワイトニング」というオフィスホワイトニングシステムを採用しています。このシステムは、エナメル質が薄く施術時に痛みが起こりやすい日本人の歯に合わせて開発されました。そのため、施術中のしみや痛みが少なく、快適にホワイトニングを受けることができます。
オフィスホワイトニングの効果と1回の施術でのシェード変化とその限界
当院で行ったオフィスホワイトニングの症例をご紹介します。1回の施術でシェードA3.5からA3まで白くなりました。

最大7シェードの変化まで
最初の1回のオフィスホワイトニングでは、シェードの変化は最大で7シェードが限界です。平均すると、5シェードから6シェードの変化が見られます。
しかし、2週間後には後戻りが起こるため、実際には3シェードから5シェードの変化となります。
写真は、当院で施術した1回目のオフィスホワイトニング直後の色の変化を示しています。A3.5がA3に改善した程度です。さらに白さを求めるには、約2週間後にもう一度施術を行う必要があります。
1回で10シェード以上の改善は非常な痛みを伴う
日本人のエナメル質は欧米人に比べて薄いため、10シェード以上の変化を求めると強い痛みを伴うことがあります。
そのため、一度に多くの白さを求めるのではなく、回数を重ねて徐々に白くしていくことが重要です。
2回のオフィスホワイトニング効果
写真は、当院でオフィスホワイトニングを2回行った効果を示しています。A3.5がA2までシェード変化し、7段階の変化が見られます。

タッチアップの頻度
オフィスホワイトニングで得た白さを維持するためには、タッチアップが必要です。
術後1年間は、3~6ヶ月の間隔でタッチアップと呼ばれる追加のホワイトニングを受ける必要があります。タッチアップの回数が増えるにつれて、間隔を延ばすことができます。白さが安定してくれば、1年に1回程度のタッチアップで白さを維持することが可能です。
オフィスホワイトニングの流れ

カウンセリングを行い、歯科医師による口腔内診査の後、必要に応じてレントゲン写真を撮影します。口腔内写真を撮影した後、歯茎を保護するためのガムダムを塗布し、各歯に薬液を塗布して光照射を行います。
また、小さな虫歯や楔状欠損、切端の咬耗などがある場合には、事前に治療しておくか、グラスアイオノマーなどのセメントで仮の治療をしておく必要があります。そうしないと、薬剤が反応した際に強い痛みが起こる危険性があります。
オフィスホワイトニングのデメリット・メリット
欠点
デメリット
- 1回の施術では十分な白さにならないため、2回から3回の施術が必要になること。
- 白さの維持が難しく、色の後戻りが起こりやすいこと。
- 第二小臼歯までがホワイトニングの限界であり、大臼歯などのホワイトニングが不可能なこと。
- 費用的にはホームホワイトニングより高くなる傾向があること。
利点
メリット
メリットは、その日のうちに白さを実感できることです。緊急に歯を白くしたい場合には非常に便利です。
これらの点を考慮し、適切なホワイトニング方法を選ぶことが重要です。
短期間で効果を実感!デュアルホワイトニングの魅力とは?
デュアルホワイトニングは、歯科医院でのオフィスホワイトニングと自宅で行うホームホワイトニングを組み合わせたホワイトニング方法です。この方法は、短期間で効果的に歯を白くするために設計されています。以下にデュアルホワイトニングのメリットについて解説します。
デュアルホワイトニングのメリット
- 即効性と持続性の両立:
- オフィスホワイトニングで短期間で効果を得た後、ホームホワイトニングでその白さを維持します。
- 自宅での手軽さ:
- 自宅でのホワイトニングを併用することで、忙しい日常でも無理なく続けられます。
- 個々のニーズに対応:
- オフィスホワイトニングで得られた結果をもとに、ホームホワイトニングの期間や頻度を調整できるため、個人の希望やライフスタイルに合わせたプランニングが可能です。
デュアルホワイトニングは、即効性と持続性を兼ね備えた効果的なホワイトニング方法です。歯の白さを短期間で実現し、それを長期間維持したい方に最適です。興味がある方は、ぜひ一度当院で相談してみてください。
ホワイトニング歯磨き粉の選び方:白さを維持するためのポイント
ホワイトニング歯磨き粉では歯の内部から白くすることはできませんが、ホワイトニングで白くなった歯を維持するのには非常に有効です。当院では、以下の4種類の歯磨き粉をお薦めしています。それぞれに長所と欠点がありますので、ご自身のライフスタイルに合わせてお選びください。
おすすめホワイトニング歯磨き粉(研磨剤なし)

シュミテクトトゥルーホワイト
ポリリン酸ナトリウム<STP>配合でステイン除去効果があります。
お薦めポイント
シュミテクトトゥルーホワイトには硝酸カリウムが配合されているため、ホームホワイトニング中の知覚過敏防止に効果的です。また、1,450ppmのフッ化ナトリウム(フッ素)により、歯の再石灰化(虫歯予防)や知覚過敏抑制などの効果も期待できます。さらに、安価であることも大きな魅力です。

薬用ポリリンジェルEX
ホワイトニング歯磨き粉Bには短鎖ポリリン酸が含まれており、高いステイン除去効果があります。また、歯の表面をコーティングすることで、歯石や歯垢などが付きにくくなる効果も期待できます。
お薦めポイント
薬用ポリリンジェルEXは、他のホワイトニング歯磨き粉に比べて最もステイン除去効果が高く、歯を白くして白さを維持する力も優れています。
ただし、歯の内部から白くするわけではありません。また、価格が高い点が欠点です。

ルシェロ歯みがきペーストホワイト
弱アルカリ性のペーストがステインを浮かし、Lime粒子がステインを落とします。
お薦めポイント
ルシェロ歯みがきペーストホワイトは、ステイン除去効果、知覚過敏防止効果、虫歯予防効果、価格など中間的な商品です。概ねバランスが取れています。

アパガードリナメル
ナノ粒子薬用ハイドロキシアパタイトが含まれており、傷ついた歯の表面を修復し、歯にミネラルを補給します。
また、歯垢やステインをつきにくくし、初期虫歯を再石灰化することで虫歯予防効果も期待できます。
お薦めポイント
アパガードリナメルには知覚過敏防止効果はほとんどありませんが、他の点では概ねバランスが取れています。ただし、若干割高感があります。
ホワイトニング歯磨き粉の限界と効果

ステインを除去するだけ
歯の黄ばみは、歯の表層のステイン(着色汚れ)とエナメル質内部の色素沈着が原因で起こります。
ホワイトニング歯磨き粉は、歯の内部まで白くするわけではなく、歯の表面のステイン(着色汚れ)を取る効果があります。
したがって、ホワイトニング歯磨き粉を使用しても、本来の歯の白さ以上に白くすることはできません。
ホワイトニング歯磨き粉の効果的な使用方法と安全性
ホワイトニング歯磨き粉は、オフィスホワイトニング後やホームホワイトニング中、またはホームホワイトニング後に使用すると、再着色しづらくなり、白さを維持するのに効果的です。
近年では研磨剤が含まれる製品が少なくなっており、代わりにポリリン酸や微粒子などが配合されています。そのため、歯が削られる心配はありません。
ホームホワイトニング中に痛みが出たら?効果的な対処法
ホームホワイトニングでは絶対に痛みが起こらないという保証はありません。当院では、ホームホワイトニング中の痛み対策として以下の方法を推奨しています。
ホームホワイトニング中の痛み対策

丸1日のお休み
10%の濃度のホワイトニングジェルを使用している場合、ホームホワイトニング中の痛みは起こりにくいですが、もし痛みが生じた場合は、丸1日お休みを取ることをお勧めします。
シュミテクトで歯磨き
知覚過敏防止用の硝酸カリウムが配合されたシュミテクトで、しっかりと歯磨きを行います。
シュミテクトには1450 ppmのフッ素も配合されており、知覚過敏防止には最適です。
シュミテクトの歯磨きで改善されない場合は、次のステップをお試しください。
MIペースト


マウスピースを口腔内装着し30分放置
Miペーストを入れたマウスピースを口腔内に装着し、30分間放置します。その後、マウスピースを外したら、唾液を吐き出す程度にしてください。
Miペーストは飲み込んでも害はありません。
オフィスホワイトニング後の痛み対策

痛みの持続時間と効果的な緩和方法
オフィスホワイトニング後、自宅に帰ってから激痛やしみるといった症状が起こることがありますが、痛みの持続時間は約24時間です。その後、痛みが再発することはありません。
市販のロキソニンSなどの痛み止めを服用することも効果的です。
また、ホームホワイトニングと同様に、シュミテクトなどの知覚過敏防止用の歯磨き粉を使用することも効果があります。
【Amazonで購入】
ロキソニンS 12錠 第一三共ヘルスケア
【楽天で購入】
ロキソニンS 12錠 第一三共ヘルスケア
ホワイトニング中の食事制限:着色を防ぐためのガイドライン
ホームホワイトニング期間中の食事制限と注意点

色の濃い食べ物は避ける
ホームホワイトニングは、最低でも2週間行う必要があります。その期間中は食事制限が必要です。
ホームホワイトニング後の2時間は飲食を控え、特にカレー、コーヒー、赤ワイン、キムチ、コーラ、紅茶などの色の濃い飲食物は着色の原因になるため、極力控えてください。
できるだけ色の薄い食べ物や飲み物を選んで食事をするようにしましょう。
あまり神経質にならなくても大丈夫
ホームホワイトニング後に色の濃い食べ物や飲み物で再着色しやすいのは事実ですが、あまり神経質になる必要はありません。
多少の再着色はホワイトニング歯磨き粉を使用することでかなり防げますし、1日のホワイトニング時間を延ばしたり、2週間以上期間を延ばすなどの対策もあります。
オフィスホワイトニング後の食事制限

術後24時間は色の濃い飲食物は控える
オフィスホワイトニングによって、歯の表面を覆っている被膜(ペリクル)が一旦剥がれ落ちます。
施術後、約2時間かけてペリクルが再生されます。この2時間は飲食を控えてください。
その後の24時間は、色の濃い食べ物や飲み物を控え、禁煙も徹底してください。
ホワイトニング前に必須!無カタラーゼ症の検査とその重要性
当院では、ホワイトニング前にすべての患者様に対して無カタラーゼ症の検査を行います。
無カタラーゼ症とホワイトニングのリスク:安全な施術のために

常染色体劣性遺伝疾患
無カタラーゼ症は、ホワイトニング剤の過酸化水素を分解し無毒化できる酵素「カタラーゼ」が先天的に欠損している常染色体劣性遺伝疾患です。
無カタラーゼ症の出現確率は日本人では0.001%以下と非常に低いですが、ホームホワイトニングのマウスピースから少しはみ出したジェルによって、口腔内に壊疽性潰瘍を作るリスクがあります。
検査方法
簡単な見分け方として、過酸化水素(オキシドール)を歯周ポケット内に滴下し、泡が出れば健康な状態です。
しかし、この方法では必ずしも正確な診断ができません。確定診断としては、針などを使って指先にキズを付け、出血させた部分にオキシドールを垂らします。無カタラーゼ症の場合には、必ず発泡が見られます。
妊婦中のホワイトニング

ホームホワイトニング
妊娠中のホームホワイトニングは避けた方が良いとされています。これは、ホームホワイトニング中にマウスピースからホワイトニングジェルがはみ出し、口腔内に入る可能性があるためです。
オフィスホワイトニング
オフィスホワイトニングでは、ホワイトニングジェルが体内に入ることはないため、必ずしも禁忌とまでは言えません。
ただし、オフィスホワイトニングが臨床試験によって危険性・安全性が確定されたわけではありませんので、慎重に考慮する必要があります。
授乳中のホワイトニング

ホワイトニング剤が母乳に与える影響
お母さんがホワイトニングを行うことで薬剤が体内に入り、それが母乳に影響を与える可能性は低いといえます。
しかし、安全性が確立されているわけではないので、授乳が終わってからホワイトニングを行う方が安心でしょう。
したがって、授乳中に積極的にホワイトニングを勧めることはありません。ただし、妊娠中や授乳中にホワイトニングを行って赤ちゃんに副作用が出たという学会報告は確認されていません。
妊娠中や授乳中にどうしても歯を白くしたい場合は、ホワイトニング歯磨き粉の使用をおすすめします。
セルフホワイトニングの限界:歯は本当に白くなるの?
当院ではセルフホワイトニングはお薦めしていません。
セルフホワイトニングの限界

歯を白くする効果に限界
セルフホワイトニングは、歯医者で行う過酸化尿素や過酸化水素といった歯の内部を漂白する薬剤を使用しているわけではありません。
セルフホワイトニングは、歯の表面に付着したステイン(着色汚れ)を除去するだけであり、自分の持っている本来の歯の白さ以上に歯を白くすることはできません。
お店に通う回数が多い
セルフホワイトニングのデメリットは、歯医者でのホワイトニングに比べてお店に通う頻度がはるかに多いことです。
費用対効果が悪い
1回の単価は安く設定されていますが、店舗に通う回数が多いため、結果的に歯医者でのホワイトニングよりも高額になる可能性があります。また、歯の白さには限界があるため、費用対効果の点でもデメリットとなるでしょう。
歯の白さを維持出来る期間が短い
セルフホワイトニングは、歯の表面の汚れを除去するだけなので、歯の白さを維持できる期間が短いです。
江戸川区篠崎で痛みの少ない医療ホワイトニングをご希望の方へ

\
いつでも
お気軽にご相談ください
/
ふかさわ歯科クリニック篠崎では、加齢や飲食等で歯の色素付着にお悩みの方に、オフィスホワイトニングとして短期間でホワイトニング効果を実感できる歯や歯茎に負担の少ないビヨンドホワイトニングをご提供しております。まや、歯の色が濃い方はホームホワイトニングをお薦めしています。江戸川区篠崎で治療ホワイトニングをご検討中の方はぜひ、当院へお気軽にご相談ください。
ホワイトニング記事一覧
【動画】ホームホワイトニングの効果的なやり方
筆者・院長

深沢 一
Hajime FUKASAWA
- 登山
- ヨガ
メッセージ
日々進化する歯科医療に対応するため、毎月必ず各種セミナーへの受講を心がけております。
私達は、日々刻々と進歩する医学を、より良い形で患者様に御提供したいと考え、「各種 歯科学会」に所属すると共に、定期的に「院内勉強会」を行う等、常に現状に甘んずる事のないよう精進致しております。 又、医療で一番大切な事は、”心のある診療”と考え、スタッフと共に「患者様の立場に立った診療」を、心がけております。

















